精选内容
-
什么是肺大泡
肺大泡是肺部常见的一种良性病变,通俗来说,就是肺泡壁因各种原因破裂后,相邻的肺泡互相融合,形成了一个或多个含气的囊腔。这些囊腔大小不一,小的可能只有几毫米,大的则能达到数厘米。肺大泡的形成与肺泡壁的损伤密切相关。长期吸烟是重要诱因,香烟中的有害物质会反复刺激肺泡,导致肺泡壁弹性下降、逐渐破裂。此外,慢性阻塞性肺疾病、肺部感染、空气污染等因素,也会通过持续损伤肺泡结构,促使肺大泡形成。少数年轻人则因先天性肺泡发育异常,也可能出现这种情况。多数患者初期并无明显症状,往往是在体检时偶然发现。但当肺大泡体积较大或数量较多时,会占据肺部空间,影响正常肺组织的通气功能,进而出现胸闷、气短、活动后呼吸困难等表现。最危险的是肺大泡破裂,可能引发自发性气胸,导致突发胸痛、呼吸困难,需紧急处理。 对于无症状的肺大泡,通常无需特殊治疗,定期复查即可。若反复引发气胸或症状明显,则需手术切除。日常生活中,患者应戒烟、避免剧烈运动,减少肺部刺激,降低破裂风险。了解肺大泡的基本知识,能帮助我们更好地保护肺部健康。
孙勇医生的科普号
2025年07月05日
536
0
4
-
肺气肿与肺大疱的区别
肺气肿是一种慢性肺部疾病,主要特征是肺泡壁的破坏和肺泡腔的异常扩张。这种病变导致肺组织弹性减弱,气体交换功能受损。肺气肿最常见的原因是长期吸烟,其他因素包括空气污染、职业暴露和遗传因素(如α1-抗胰蛋白酶缺乏症)。患者通常表现为进行性加重的呼吸困难、气短、咳嗽和痰液分泌。随着病情进展,患者可能会出现桶状胸、呼吸急促和发绀等症状。影像学检查(如胸部X光或CT)可显示肺部过度膨胀、肺纹理稀疏和膈肌低平。治疗通常包括戒烟、药物治疗(如支气管扩张剂和糖皮质激素)、氧疗和康复训练。肺大疱是肺组织中形成的大型囊泡,通常直径超过1厘米。肺大疱的形成与肺气肿密切相关,但也可能由其他因素引起,如肺部感染、先天性肺囊肿或外伤。肺大疱的壁较薄,容易破裂,导致气胸。气胸是一种严重的并发症,气体进入胸腔,压迫肺组织,导致急性呼吸困难。影像学检查(如胸部X光或CT)可清晰显示肺大疱的位置和大小。对于无症状的小型肺大疱,通常采取观察等待策略;而对于引起症状或反复破裂的肺大疱,可能需要手术切除。总的来说,肺气肿和肺大疱都与肺组织的异常扩张有关,但它们的病理机制和临床表现有所不同。肺气肿是一种慢性、进行性疾病,主要影响肺泡结构和功能;而肺大疱则是肺组织中形成的大型囊泡,可能引起急性并发症如气胸。两者都需要通过影像学检查进行诊断,并根据病情严重程度采取相应的治疗措施。
刘小兵医生的科普号
2025年01月24日
390
0
2
-
肺大疱是什么病?严重吗?
周云芝医生的科普号
2025年01月15日
32
0
4
-
肺大泡是什么?需要治疗吗?这几件事千万记住!
最近常常有患者拿着胸部CT来咨询关于肺大泡的一些问题,很多人在网上查阅资料后发现肺大泡无法用药根治,顿时茶饭不思,在这里我们带大家正确认识肺大泡。什么是肺大泡?肺大泡,是指由于各种原因导致肺泡腔内压力升高,肺泡壁破裂,互相融合,在肺组织形成的含气囊腔。肺大泡定义为扩张状态下,直径超过1cm的肺内气腔(图1),巨型肺大泡是指至少占据一侧胸腔30%的大泡(图2)肺大泡的常见原因是什么?1.气管的炎性病变如肺炎、肺结核、慢性支气管炎等,因炎性病变,气管出现水肿、狭窄,造成管腔部分阻塞,产生活塞作用,空气能进入肺泡而不易排出去,使之肺内压增高。2.吸烟、空气污染对于长期吸烟及其他有害气体和职业粉尘吸入史的患者,人体在吸入这些有害的气体、细颗粒物后,这些物质经过气管、细支气管,最终在肺泡停留沉积下来,它们会长时间的刺激、破坏正常的肺泡结构,肺泡壁破裂,从而形成肺气肿,随着破坏的进一步持续,这些肺气肿也将进一步破坏,融合成片,从而最终形成肺大泡。3.原发性肺大泡原发性肺大泡,可能与肺发育不良有关,多见于体形瘦高的青少年,其原因可能与青春期发育过程中,骨骼生长过快,肺相对生长缓慢,在胸顶和肺尖部有一个筋膜过渡牵拉肺尖部组织,导致该处肺组织的肺泡发育不良形成肺大泡。肺大疱如何治疗呢?肺大泡一种不可逆转的肺部病损,一般不能自愈,且目前尚无特效药物治疗,手术是治疗肺大泡唯一有效的方法,但不是所有的肺大疱均需手术质量。如一些较小的、局限的、数量少的肺大泡,多不会引起临床症状,通常不需要治疗。由气道炎症、肺气肿等病变导致的肺大泡,需要积极治疗原发病。肺大泡如果大于胸腔的1/3,就被称为巨大的肺大泡,可能对周围的组织形成较大的压迫,甚至对生命产生威胁,这种情况要尽快进行手术治疗。肺大疱患者的注意事项1.吸烟及空气污染是肺气肿的首要诱因,因此远离烟草及空气污染能够减缓进程;2.平时不要做剧烈的运动,不要手提重物,不要突发性的大声咳嗽及大笑,避免肺大泡破裂,产生自发性气胸;3.适当锻炼身体,增强身体的抵抗力和免疫力,根据自身情况,参加一些适当的体育活动,注意营养,多进食优质蛋白质以及含维生素较高的食物,提高机体抵抗力;4.避免呼吸道感染,每次呼吸道感染后肺功能都受影响。对于慢性阻塞性肺疾病、支气管哮喘等原发性疾病,积极治疗原发病,改善肺功能;5.若出现由肺大泡破裂导致的胸痛、胸闷、呼吸困难等不适症状,应及时到医院治疗。
何明医生的科普号
2024年08月23日
889
0
2
-
发现肺大泡该怎么办?
发现肺大泡该怎么办?Q1什么是肺大泡?肺大泡又称肺大疱,通常将肺内圆形或类圆形、直径>1厘米的薄壁囊腔称为肺大泡,其病因及形成机制尚未完全明确。肺大泡病因包括气道发育异常、肺部感染、外伤、肿瘤、自身免疫疾病等。肺大泡发生机制可能有:1.支气管活瓣样阻塞使气体“只进不出”或支气管进行性狭窄导致气体“易进难出”,远端腔隙空气滞留,肺泡壁破裂,肺泡腔增大融合;2.远端小血管或毛细血管堵塞致缺血性坏死及肺泡、小气道扩张;3.各种蛋白酶介导结缔组织降解及弹性组织离解,破坏肺泡壁;4.细支气管壁破坏致管腔狭窄;5.干扰离子通道、线粒体代谢而破坏气道上皮;6.破坏上皮细胞连接。Q2肺大泡是一种疾病吗?肺大泡不是独立的疾病,多继发于肺部的基础疾病,如肺炎、肺结核、肺气肿等疾病,少部分患者因支气管发育异常出现肺大泡。另外肺淋巴管肌瘤病、朗格汉斯组织细胞增多症、干燥综合征、系统性红斑狼疮等疾病肺部均可表现为肺大泡,甚至肺恶性肿瘤也可表现为囊腔型,需要与肺大泡鉴别。肺大泡好发于身材高大、瘦弱的成年人,有小支气管病变、慢阻肺、肺结核、肺炎、肺部有创伤、肺癌等疾病患者易合并肺大泡,同时长期吸烟、嗜酒、喜好激烈运动、在粉尘环境工作的人群也是肺大泡的高发人群。Q3肺大泡有哪些症状?肺大泡是否有症状取决于肺大泡的数量多少、大小程度以及患者是否存在其他肺部疾病。对于肺功能基础状态良好的患者,数量较少且较小的单纯性肺大泡可不引起任何症状,仅在患者进行X光和CT检查中被发现。随着疾病的发展,出现体积较大或者数量较多的多发性肺大泡时,患者肺部功能明显下降,会出现胸闷、气短、疲劳等情况,尤其是肺大泡发展为超过一侧胸腔容积1/2的巨型肺大泡时或者合并有慢阻肺等基础肺部疾病的患者,其胸闷、呼吸困难的症状会更为明显,患者活动能力明显下降。如合并感染则会出现发热、咳嗽、咳痰、胸痛、咯血等症状。靠近胸膜的肺大泡,在患者剧烈咳嗽、搬重物、用力排便、剧烈运动时,肺大泡内压力剧增易破裂出现自发性气胸,表现为突发呼吸困难及胸痛。Q4肺大泡需要治疗吗?对于无症状的肺大泡,不需要进行治疗,只需要定期体检即可。伴有其他基础疾病的肺大泡则需治疗基础疾病。如肺大泡有破裂风险,日常生活中应避免剧烈咳嗽、突然用力、剧烈活动等。当肺大泡并发感染时,要使用抗生素积极治疗感染症状,如反复感染,可考虑手术治疗。如出现占一侧胸腔大于1/2以上的巨大肺大泡,压迫正常肺组织,患者出现明显呼吸困难则需手术治疗。当肺大泡破裂出现自发性气胸时,可以采用胸腔闭式引流的非手术治疗方式。如肺大泡破裂反复引发自发性气胸则需手术治疗。Q5肺大泡都有哪些治疗方法?开胸或电视胸腔镜是目前肺大泡的主要治疗手段,经皮穿刺肺大泡引流术难以达到完全减容,而内科胸腔镜下肺大泡减容术兼具电视胸腔镜及经皮穿刺肺大泡引流的优点,可能成为今后肺大泡治疗的重要手段。另外,经支气管镜置入单向活瓣逐渐成为治疗肺大泡的新方法。原文链接:https://mp.weixin.qq.com/s/CflGD4K824M7-5YL_xiLuw
张临友医生的科普号
2024年08月11日
559
0
1
-
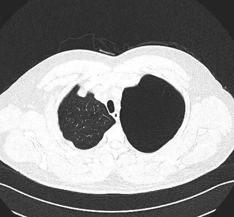
包裹性气胸与巨型肺大泡的鉴别
我们知道,肺大泡在胸片上容易误诊气胸,然而,有时候胸部CT检查也可能误诊气胸。在临床上千万要警惕,有时候气胸并不是那么容易诊断。多发的肺大泡、巨大的肺大泡,即使做了CT,也不是那么容易诊断的。拿不准的时候,不要轻易行胸腔闭式引流,戳破肺大泡会造成无穷无尽的痛苦!那么,我们如何区分气胸和肺大泡(多发的肺大泡、巨大的肺大泡)呢?♥肺大泡的症状:⑴咳嗽咳嗽是最常见的症状,干咳或带有白色痰液的咳嗽,经常发生在晚上或者运动后。⑵气喘或呼吸困难呼吸困难是肺大泡的主要症状,即使在安静状态下,患者也会感到气不够用,一口气接一口气地呼吸,不间断地出现呼吸困难的表现。⑶哮鸣音患者在呼吸时出现高调呼吸音,这是气流由肺脏经过因炎症而变得狭窄的呼吸道时所产生的声音。⑷胸廓的紧缩感患者感觉到胸部好似包扎了过紧的绷带,像穿着束身内衣一样,或者跟别人过度的拥抱一样。♥气胸的症状:⑴胸痛:大部分气胸患者有不同程度的胸痛。胸痛可突然发生,呈刺痛或胀痛,咳嗽及深吸气时疼痛加剧。老年人感觉迟钝,胸痛的表现往往不如年轻人明显,容易造成早期诊断的延误。⑵呼吸困难:常与胸痛同时发生,年轻人肺压缩小于30%,呼吸困难不明显。老年人多有慢性肺部疾病,且肺功能差,会出现明显呼吸困难。⑶咳嗽:多为胸膜受到刺激引起的干咳。如果合并感染,则咳嗽加重,咳出脓性痰液。以上三症状为气胸三联征。肺大泡与气胸两者在症状、体征和X线胸片上均类似,鉴别要点为:①巨型肺大泡病史长,症状发生较慢;而气胸病史短,症状多突然发生。②大泡气腔呈圆形或卵圆形,位于肺野内;而气胸为带状气影,位于胸部外带胸膜腔内。③肺上部大泡可见基底缘向下凹陷,下缘下外方肺组织向上外方伸延;而上胸部包裹性气胸其外下方气影向外下方倾斜。④肺大泡若在下叶,则肋膈角圆钝,贴近胸壁处可见到被挤压的肺组织和(或)胸膜,气腔内无液平面;而气胸患者肋膈角可见到液平面。⑤经较长时间观察,肺大泡体积基本不变;而气胸的形态则变小,最后消失。怀疑局限包裹性气胸者最好行胸部CT检查,能够区别巨大肺大疱和局限性包裹性气胸。♥实战演习1:下图是肺大泡,还是气胸?仔细看,“气胸”里面居然有肺纹理!高度警惕肺大泡。这个时候,一定要多个层面连续地看,就会发现其实是肺大泡,千万不可激动。♥实战演习2:不要以为上面的局部巨大肺大泡很简单,有些巨大肺大泡会充满整个胸膜腔,压缩肺组织,不仔细阅片,随时可能“跌进茅坑”。下面这个患者,放了引流管,“气胸”持续存在,复查胸部CT示肺仍压缩90%。最后胸外科把“气胸”切了,其实就是个肺大泡。♥实战练习3:什么?上面的练习太容易了?那我们再来一个复杂的。气胸?肺大泡?这是个难题。首先,要在电脑上多个层面、连续、仔细地阅片。综上所述,肺大泡肯定有,气胸可能有。因为CT是横断片,包裹性气胸有可能导致气胸边缘出现肺组织、肺纹理,所以,气胸是有可能的。问题来了,CT示气胸可能,临床医生该如何处理?⑴很简单,对比以前的CT患者1月前只有散在的肺大泡,所以此次的是肺大泡+包裹性气胸。所以,立即行胸腔闭式引流,很奇怪的是,给患者放粗管引流,两三分钟之后,这个患者的呼吸困难就缓解,血氧饱和度(SpO2)直线上升!注意,肺大泡也可能在短期内形成(比如感染引起小气道阻塞),但是引起多发巨大肺大泡的可能性极小。⑵没有以前的胸部CT,就看临床表现假如患者突发胸痛、呼吸困难,则考虑气胸,行胸腔闭式引流。假如患者呼吸困难没有明显加重,不要轻易行胸腔闭式引流,特别是症状和平时差不多的情况下。患者有症状,但是和平时差不多,或者只轻微加重,建议住院观察,动态观察影像学,“肺大泡”短期内明显加重,也要考虑气胸。另外,这个患者是包裹性气胸,不要按照常规的套路在锁骨中线第二肋间进行胸腔闭式引流,选择气胸最多的地方留置引流管可能效果更好。胸膜腔是密闭的,在下肺留置引流管,上肺的气体一样会因为负压的作用跑出来。多发巨大肺大泡,特别是初学者,不要轻易诊断气胸,更不要轻易行胸腔闭式引流,要仔细阅片,结合临床表现,综合分析!♥消失肺综合征:消失肺综合征又称特发性肺大泡综合征,1937年Burke首次报道了一例肺囊性病变患者出现“消失肺”的特征,并首次使用了“消失肺”(vanishinglungs)一词作为诊断名称。以进行性增大的巨大肺大泡表现为特征,一般始发于双侧或单侧肺尖部,大部分为男性,发病原因不明,无肺部或支气管源性疾病。临床症状以进行性加重的疲乏和呼吸困难为主。“消失”一词源于对其X线征象的形象化描述,即肺大泡逐渐增大,大泡区肺纹理逐年逐月消失。放射学诊断标准包括单侧或双侧肺出现巨大肺大疱,至少占半胸的三分之一。认为此疾病的发生与:肺尖部的解剖和生理学特殊性有关,首先从血供分析,肺尖部肺泡氧分压低,易发生营养性血供障碍,导致肺泡弹力纤维的破坏,其次肺尖部胸膜腔负压比肺底部平均要大7.5cmH₂O,致使肺尖部肺泡容易扩张,因而此病好发于肺尖区。可能与支气管动脉及肺动脉闭塞、支气管狭窄阻塞,肺实质破坏、肺神经分布的变化及胸膜等周围组织结构的变化有关影像学表现具有一定特征性。X线表现:胸部X线上表现为巨大肺大疱,多位于中上肺,单发或多发,肺体积增大;肺大泡体积较大,整体占据单侧胸腔体积三分之一以上;肺大泡内可见纤细的条状分隔影;邻近肺叶受压,膨胀不良。患者的CT片子如下:CT显示:无压缩带,边缘比较模糊,所以是特发性肺大泡综合征。胸片显示:右肺无肺组织,纵隔左移,诊断:气胸。结果CT显示是:特发性肺大泡综合征,CT片子如下图所示:气胸通常将肺向肺门压缩,而肺大泡可将肺向四周压缩,如果病灶外野看到肺组织或者病灶内可见肺纹理则为肺大泡。如下图所示:气胸线通常为一条白细线,而时间较长的肺大泡通常为较粗的纤维化白线且不均匀,很多肺大疱和肺组织之间有逐渐过度区域。包裹性液气胸时,胸水包裹部位的最低处,肺大泡合并感染(肺泡内积液或分泌物)时通常也是在病灶的最低部位,但胸水和肺泡内积液(感染)的密度上有所区别,胸水的密度一般更灰,而肺泡内积液相对胸水的密度偏白。胸水一般在最低部位且靠近胸膜,而肺泡内积液(感染)和胸膜之间通常有肺组织或者线型较高密度(一般为白线)分开。♥思考:看看下面这两个图分别像什么?
孙普增医生:《好大夫》专号
2024年08月11日
342
0
0
-
肺大泡可怕吗?
王蕾医生的科普号
2024年08月02日
168
0
0
-
胸腔镜下肺大疱切除缝扎术
一、肺大疱简介肺大疱是一种肺部疾病,其特征是肺组织内形成异常的囊性改变,导致肺组织膨胀并充满气腔。通常是由于肺部组织受到损伤,如炎症、吸烟等,导致肺泡壁弹性变弱,最终形成肺大疱。二、手术病例分享病例背景:患者张先生,25岁,左侧反复发作气胸。行胸部CT发现肺大疱,决定进行胸腔镜微创手术。手术过程:手术采用全身麻醉,患者取侧卧位。笔者通过胸腔镜在胸部微创切口进入胸腔,仔细探查肺部情况。发现张先生的肺部有多处肺大疱,笔者团队决定采用完全切除的方法进行治疗。手术过程中,笔者小心地分离并切除肺大疱,确保没有遗漏。同时,进行注水实验,确保其余小的大疱清除彻底。需要强调的是,笔者尤其注意避免肺大疱的破溃,如破溃之后,较大的肺大疱的边界则难于寻找,切除范围如不彻底则术后容易复发。术后观察:术后第一天,张先生恢复良好,可以下床活动。第二天晚上即可拔管出院。术后床头胸片提示肺复张良好。嘱咐他定期复查,避免剧烈运动,并提醒其戒烟及避免二手烟。肺大疱胸腔镜微创手术是一种安全有效的治疗方法,适用于各种程度的肺大疱患者。通过术前评估、术中精细操作和术后观察,可以确保手术的安全和成功。同时,患者应积极配合医生的治疗建议,戒烟并定期复查,以获得更好的治疗效果。
门万夫医生的科普号
2024年06月16日
191
0
1
-
肺大泡有时候很危险,不是因为漏气
在我们日常的医疗实践中,肺大泡是一种常见的呼吸系统疾病,其特征是肺内出现一个或多个直径大于1厘米的含气囊腔。这些囊腔通常是由肺泡壁破裂并相互融合形成的,它们可能位于肺部的任何部位,但更常见于肺尖。小的肺大泡一般不引起症状,而肺大泡破裂后可导致气胸,也就是肺内的空气漏出到胸膜腔,从而压迫肺脏,可以引起胸闷、胸痛。这种自发性气胸症状一般不严重,也有一部分人可以自愈,但是这样的良性病,有时候却会暗藏危机,若不及时处理可能危及生命。这位患者就是一个典型案例,他因胸痛5小时就诊,胸片检查提示气胸。我们进行了胸腔闭式引流术,通过引流管将胸膜腔内的气体排出。然而,在引流过程中,发现引出的不止有气体,还有血性胸水,这通常意味着胸膜腔内有出血。这个时候患者并没有贫血的症状,血压、红细胞都正常,但是我们继续严密观察引流液,没有变颜色,而且量在继续增多。趁着病人一般身体状况还好,我们紧急安排了胸腔镜手术,同时进行了充足的备血。胸腔镜探查是一种微创手术,医生通过胸腔镜可以直观地观察胸膜腔内的病变情况。在探查过程中,发现患者胸壁上的小血管正在出血。经过仔细分析,出血的原因是气胸后肺压缩,导致肺大泡与胸壁粘连的地方撕裂。当时胸腔内已经聚集了将近1000ml的血性胸水。幸运的是,手术进行得非常及时,我们成功止血并切除了病变的肺大泡。术后患者恢复顺利,很快便出院回家。这个病例告诉我们,肺大泡并不只是简单地漏气那么简单,它还有可能引起出血等严重并发症。刚开始出血时,人体有一定的代偿能力,症状不明显,如果就诊不及时,后果则可想而知。除了出血之外,空气进入胸腔内还会导致肺部感染,胸膜炎,脓胸,而胸腔是抗生素不容易到达的区域,感染较难控制,所以及早治疗是很重要的。因此,对于肺大泡患者来说,一旦出现胸痛、呼吸困难等症状时应及时就医检查。医生会根据患者的具体情况制定合适的治疗方案。不要让小病惹了大麻烦。
新乡市中心医院科普号
2024年06月10日
586
0
2
-
关注不一样的肺大泡、气胸!
昨天下午门诊遇到一位肺大泡、气胸的患者,活动基本正常,询问病史还有肾脏肿瘤、面部皮肤毛囊改变,并有家族遗传史,辗转于多家医院的皮肤科、肾科、呼吸科,其实应该联系起来,想到一种罕见的遗传病,即BHD! BHD综合征是一种罕见的常染色体显性遗传病,由编码毛囊素蛋白的抑癌基因FLCN突变所引起。其典型临床表现通常包括多发肺大泡、复发性自发性气胸、皮肤纤维毛囊瘤和各种组织学类型的肾脏肿瘤。男女患病率大致相同,常在30-40岁出现症状。超过80%的患者胸部CT显示双肺多发肺大泡,超过半数患者有一次或多次气胸发作。气胸家族史是诊断BHD综合征的重要线索。BHD综合征一般不会导致肺功能进行性丧失和慢性呼吸功能不全。约30%的患者会出现肾脏肿瘤并可能表现为多发及复发。BHD综合征的诊断基于遗传、临床和/或皮肤组织病理学。治疗主要包括气胸时的胸膜固定术,定期影像学筛查肾脏肿瘤以及在先证者的家族中筛查BHD综合征患者。
苗青医生的科普号
2024年06月10日
358
0
1
肺大疱相关科普号

胸外科吴亮医生的科普号
吴亮 主任医师
上海市第一人民医院(北部)
胸外科
8217粉丝24.3万阅读

田雪医生的科普号
田雪 副主任医师
上海市第一人民医院(北部)
呼吸科
26粉丝442阅读

孙希文医生的科普号
孙希文 主任医师
上海市肺科医院
影像科
2.4万粉丝374.9万阅读
-
推荐热度5.0吴亮 主任医师上海市第一人民医院(北部) 胸外科肺癌 474票
肺部结节 212票
纵隔肿瘤 44票
擅长:肺部磨玻璃结节、肺实性结节、肺部肿块、肺癌、气胸、肺大疱、支气管扩张、肺隔离症、肺部错构瘤等,良恶性食管肿瘤,气管肿瘤,胸壁肿瘤和纵隔肿瘤(胸腺瘤,胸腺囊肿,胸腺癌)等的诊断和鉴别诊断。手汗症,漏斗胸以及儿童普胸外科疾病(肺和纵隔良恶性疾病)的诊治。 擅长单孔(肋间/剑突下切口)胸腔镜解剖性肺段和肺叶切除、复杂肺段及联合肺段切除,Davinci机器人辅助解剖性肺段和肺叶切除;掌握胸外科快速康复(ERAS)理论及实践,实现围手术期无管化(无气管插管,无中心静脉管,无导尿管等)。擅长肺癌的精准综合治疗(新辅助化疗、新辅助靶向治疗和新辅助免疫治疗等),早期多原发肺癌的个体化治疗,局部晚期肺癌的外科治疗(气管支气管成形及袖式切除、肺动脉成形及袖式切除)。擅长重症肌无力/胸腺肿瘤,纵隔神经源性肿瘤,纵隔畸胎瘤的外科治疗手术,包括单孔VATS胸腺切除、剑突下双拉钩悬吊胸腺切除,Davinci机器人辅助胸腺切除等。擅长气管外伤,气管良性狭窄,气管肿瘤、气管食管瘘的个体化治疗。擅长胸腔、胸壁巨大肿瘤的外科治疗。擅长手汗症微创治疗。擅长纵隔镜淋巴结活检。 -
推荐热度4.6杜海磊 副主任医师上海瑞金医院 胸外科肺部结节 285票
肺癌 178票
多汗症 12票
擅长:以胸腔镜微创手术为基础治疗肺部小结节,肺癌,手汗症,纵隔肿瘤,食管癌,气胸,肺大疱等 -
推荐热度4.6张楼乾 主任医师南京鼓楼医院 胸外科-肺外科肺部结节 913票
肺癌 538票
纵隔肿瘤 67票
擅长:早期肺小结节的诊断、3D重建技术; 早期肺癌精准单孔肺段微创手术; 中央型肺癌的单孔微创手术; 前纵隔肿瘤剑突下入路微创手术; 剑突下单孔微创肺癌根治术; 食管癌微创手术; 手汗症超微创手术; 胃食管反流微创手术