精选内容
-
骨软骨瘤病和内生软骨瘤病都是遗传性疾病吗?
骨软骨瘤病与内生软骨瘤病简介临床上,在所有的良性软骨系统肿瘤中,以骨软骨瘤和内生软骨瘤最为常见。骨软骨瘤和内生软骨瘤多为单发,一旦发病部位达到两处及以上,即可相应诊断为骨软骨瘤病和内生软骨瘤病。这是两种罕见但重要的骨骼疾病,对病人的生活质量和健康状态有着显著的影响,往往在儿童及青少年时期由于骨骼畸形及生长障碍就医而被诊断。成年后,由于关节对位不良,常常导致关节疼痛和退行性变。更为重要的是,尽管两者为良性病变,但均具有恶变为软骨肉瘤的风险。因此,本文将重点介绍这两类疾病的病因、症状、主要治疗方法,以及预防疾病恶变需要注意些什么,供大家学习交流。一、骨软骨瘤病骨软骨瘤病(多发骨软骨瘤),又被称为遗传性多发性外生骨疣(MultipleHereditaryExostoses,MHE),是一种常染色体显性遗传病。它主要表现为多个外生骨疣(即骨软骨瘤)在骨骼表面背向关节生长,这些外生骨疣可以在全身各处出现,但尤其常见于长骨的干骺端,如股骨、胫骨和肱骨,也常见于中轴骨,如骨盆、肩胛骨和脊柱。1.遗传特点骨软骨瘤病的发生与EXT1或EXT2基因的突变有关,约70-94%的多发骨软骨瘤病患者存在EXT1/2胚系突变。EXT1基因在染色体8q24区域,EXT2基因位点在11p11-13,骨软骨瘤病以EXT1突变更为常见。EXT基因编码的蛋白质Exostosin参与了细胞表面的分子信号传导,包括对多种生长因子的组织分布及生物有效性的调节。当EXT1或EXT2基因突变时,会影响软骨细胞的信号传导,导致软骨细胞过度增殖和骨骼发育异常。骨软骨瘤病作为显性遗传病,意味着只要父母中有一方携带这种突变基因,子女就有同等几率患病。两个显著的特点为,(一)、男性患者由于青春期长,生长板闭合较晚,因此一般男性畸形程度较女性重。(二)、EXT1基因突变的患者表型特征更突出,无论男女,身体骨软骨瘤的数量、肢体的短缩程度、身材矮小程度和中轴骨受累的几率都比EXT2基因突变更为明显(p<0.0005)(JBoneJointSurgAm,2011;ClinOrthopRelatedRes,2015)。2.临床表现骨软骨瘤病通常在儿童时期发病,随着骨骼的生长,外生骨疣的数量和大小会逐渐增加。患者主要症状包括:1)骨骼畸形和身材矮小:骨软骨瘤会导致骨骼生长异常和畸形,从而影响身高。2)疼痛和功能障碍:骨软骨瘤可能会压迫周围的肌肉、肌腱、神经和血管,导致疼痛和功能障碍。3)关节活动受限:骨软骨瘤会影响关节活动,导致关节活动受限。4)恶变风险:虽然骨软骨瘤病是良性疾病,但仍有恶变为软骨肉瘤的风险,这种恶变通常发生在成年患者身上,恶变率为5%左右。意大利Rizzoli研究中心研究了多发性骨软骨瘤的基因型-表型的相关性,调查了529名患者,将患者分为轻、中和重三型(如下表),26例恶变患者多发骨软骨瘤的诊断年龄平均为7.6岁,恶变诊断年龄平均为28.6岁。恶变为软骨肉瘤的部位最多见于骨盆和肩胛骨,但未发现恶变的风险与性别、畸形程度、骨软骨瘤的数量以及EXT1/2突变显著相关(JBoneJointSurgAm,2011)。3、临床分型临床上按照患者表型特征分为轻(I型),中(II型)和重(III型)三型。529患者中1/4为重型,其他3/4为轻中型(轻/中型约1:1)。(来自JBoneJointSurgAm,2011)典型病例男性,29岁,自幼诊断为多发骨软骨瘤,因骨盆部位包块入院,术前检查怀疑骨盆骨软骨瘤恶变,手术行肿瘤切除,保留髋关节后柱,股骨头髋臼重建,假体置换,术后病理确诊软骨肉瘤I级,现为术后10年,肿瘤未复发,功能良好。随访10年行走视频二、内生软骨瘤病内生软骨瘤病(多发内生软骨瘤,Enchondromatosis)是一种非遗传性基因突变导致的疾病,主要特征为骨内多处出现内生软骨瘤。这些软骨瘤通常是良性的,但在某些情况下可以恶变为软骨肉瘤。Ollier病和Maffucci综合征是内生软骨瘤病最常见的两种类型。Ollier病:以多发性内生软骨瘤为特征,通常累及长骨和扁平骨,如股骨、胫骨、骨盆等。患者可能在儿童时期就表现出症状,随着骨骼成熟,软骨瘤的数量和大小可能会增加。Ollier病患者除了骨骼畸形外,还可能面临骨折和疼痛的风险。Maffucci综合征:即软骨营养障碍-血管瘤综合征,是一种更为罕见的内生软骨瘤病,其特点是多发性内生软骨瘤与多发性软组织血管瘤同时存在。血管瘤通常位于上肢,如手部和前臂,但也可能出现在下肢和躯干。Maffucci综合征患者除了骨骼畸形外,还可能面临血管瘤破裂出血和内生软骨瘤恶变为软骨肉瘤的风险。女性,63岁,Maffucci综合征,骨盆及股骨近远端受累,股骨畸形。左侧骨盆内生软骨瘤恶变为软骨肉瘤。1.遗传特点内生软骨瘤病的病因尚未完全明确,但研究表明,非遗传性基因突变起着重要作用。IDH1基因位于染色体2q33.3,IDH2基因在15q26.1,IDH基因编码一种酶称为异柠檬酸脱氢酶,这种酶在细胞内催化异柠檬酸转化为α-酮戊二酸。IDH1/2突变见于81%Ollier病和77%Maffucci综合征患者。IDH1突变常见的类型是在IDH1基因的第132位氨基酸发生突变,替换了精氨酸(arginine,R)为组氨酸(histidine,H),因此被称为R132H突变。IDH2基因突变发生在第四外显子的R140和R172。IDH1/2突变导致酶活性的异常改变,使其催化产物从α-酮戊二酸转变为2-羟戊二酸(2-hydroxyglutarate,2-HG),细胞内促癌代谢产物2-HG异常积累,影响骨骼发育,导致内生软骨瘤的形成。需要强调的是,内生软骨瘤病并非遗传性疾病,因此患者的家族成员通常不会患病。2.临床表现内生软骨瘤病早期通常不伴明显症状,随着骨骼的生长,内生软骨瘤的数量和大小也会逐渐增加。患者可能出现骨骼畸形、关节活动受限等症状。在严重病例中,软骨瘤可能累及整个骨骼系统,导致严重的残疾。此外,与骨软骨瘤病类似,内生软骨瘤病也存在恶变为软骨肉瘤的风险。恶变率因病情严重程度而异,但总体上高于骨软骨瘤病,其中在Maffucci综合征患者中,恶变率甚至高达50%以上。因此,内生软骨瘤病患者同样需要定期复查。三、治疗方法与管理策略目前,对于骨软骨瘤病和内生软骨瘤病尚无有效的药物治疗方法。对于无症状或症状轻微的患者,通常无需治疗,只需定期随访观察。然而,当骨疣或内生软骨瘤压迫周围组织、引起疼痛或关节活动受限时,手术治疗是可供选择的手段,手术方法包括切除骨疣、矫正畸形等。对于成年患者和恶变风险较高的患者,定期复查尤为重要。通过X线、CT和MRI等影像学检查手段,可以及时发现并处理恶变病灶。四、骨软骨瘤病和内生软骨瘤病的异同五、总结与展望因此回到本文的标题上,骨软骨瘤病是遗传性疾病,而内生软骨瘤病是非遗传性疾病。二者均是罕见的骨骼疾病,虽然它们是良性的,但仍有恶变为软骨肉瘤的风险。定期随访和及时治疗可以帮助预防恶性变,改善患者的预后。
燕太强医生的科普号
2024年06月16日
1823
2
15
-
脊椎骨软骨瘤
骨软骨瘤是好发于长管状骨近关节部位的良性肿瘤。可单发或多发,单发者称外生骨疣,无遗传性,恶变比例为1%;多发者有家族遗传倾向,称为遗传性多发性骨软骨瘤病,恶变比例高,为5%~25%。常引起骨骼发育异常,导致肢体畸形。脊椎骨软骨瘤占原发性脊椎肿瘤的4%,是最常见的脊椎良性肿瘤。单发性的多见于20~30岁,多发性的多见于10~20岁。虽然所有的脊椎都可发病,但颈椎、特别是C2多见。大部分是脊椎后部结构发生病变,也有椎体本身发病的。关于发病原因有几种假说,如胚胎时期软骨细胞错置于骨表面所致,或起源于肌腱附着处的软骨纤维组织。骨软骨瘤由三部分组成:顶端薄层纤维组织,即软骨膜;膜下为透明软骨形成数毫米厚的软骨帽盖;帽盖下为正常骨皮质和骨松质延续形成的瘤蒂。脊椎骨软骨瘤多位于椎弓,呈球状,表面光滑。巨大者可呈分叶状、菜花状。软骨膜大部分是胶原纤维,软骨帽则由软骨细胞与基质构成,通过软骨内成骨成骨。骨性基底成分与所在部位骨质构造相同。一般骨骼发育成熟后的成年人软骨帽变薄或大部消失,肿瘤即停止生长。若继续增长应疑为骨软骨瘤恶变,形成继发性软骨肉瘤。本病多数无临床症状。出现症状的病人多不足20岁,男多于女。引起症状均由肿瘤增长导致,有时表现为局部肿块,约0.5%~1%的病变可突人椎管内压迫脊髓引起神经症状,也可压迫血管。另外,外伤也是诱发症状的原因。继发性脊柱侧弯较常见。骨软骨瘤靠近脊椎小关节者可导致活动障碍,在肿瘤基底部的病理骨折偶可引起剧烈疼痛。X线片上肿瘤呈球状或菜花状,可与椎体重叠,呈周边不整的团块状致密影,内有不规则的斑点状钙化或骨化影。累及邻近椎体时,可见相应的压迹。CT轴位图像可清楚显示病变部位、界限及形态,表现为皮质骨和骨松质均与母骨相连续的骨性突起,表面有软骨帽覆盖,其内可有点、环状密集钙化。增强扫描无明显强化。脊椎骨软骨瘤多起自椎弓骨皮质,以宽基底依附于母骨,向椎管内或椎管外突出;基底部骨小梁亦与母骨骨小梁相连,具有特征性。顶端软骨帽常见钙化斑点。MRI显示肿瘤的中心区域T1加权像呈高信号,T2加权像呈等信号的正常骨髓,在肿瘤的边缘,两者均可见低信号的骨皮质。软骨帽通常很薄,T1加权像呈低信号,T2加权像呈高信号则表示肿瘤生长或透明软骨残存,高信号消失代表肿瘤停止生长。软骨帽厚度如厚于10mm则疑有恶变的可能。增强扫描肿瘤常无明显强化。病人如在30岁以上且有疼痛症状,ECT显示“热”性核素浓集的病变可能为骨软骨瘤恶变或软骨肉瘤。诊断为良性骨软骨瘤的要点是边界清楚、分叶状的松质骨与骨皮质相连,不伴有相邻骨质的破坏,软骨帽的厚度在10mm以下。骨软骨瘤的手术适应症包括:①压迫脊髓引起神经症状;②出现疼痛或脊柱侧弯;③恶变为软骨肉瘤可能。
潘峰医生的科普号
2024年05月03日
130
0
1
-
儿童骨软骨瘤是良性还是恶性
岳芳医生的科普号
2024年02月19日
61
0
0
-
儿童骨软骨瘤需要手术吗?
周晓康医生的科普号
2024年01月05日
110
0
2
-
骨软骨瘤:一种常见的良性骨病变
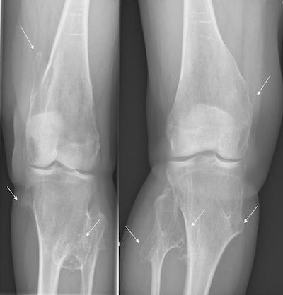
骨软骨瘤:一种常见的良性骨病变骨软骨瘤,是青少年时期骨骼发育过程中形成的一种良性肿瘤,在人群中并不少见。通常是孤立生长的肿物,不伴有疼痛(图1)。在部分病例中,可见多发性骨软骨瘤(图2),这可能与某些基因突变相关,具有家族遗传特征。(一)骨软骨瘤会变成恶性肿瘤吗?存在恶变的风险,但是风险极低。恶变风险:孤立生长骨软骨瘤(<1%)小于多发性骨软骨瘤(1%-5%)。绝大部分的骨软骨瘤随着青春发育期结束保持稳定,不再生长。骨软骨瘤需要定期拍片子评估是否生长,监测骨软骨瘤的大小和形态是否发生改变。(二)骨软骨瘤的临床表现大部分没有特殊不适,通常是检查意外发现无痛骨性包块肿物表面的滑囊发炎或者刺激周围的韧带,可以出现疼痛压迫症状:神经受压,出现疼痛、麻木;血管受压,出现肢体缺血表现严重病例中,多发性骨软骨瘤可导致儿童骨骼畸形(三)骨软骨瘤的治疗对于绝大部分孤立性骨软骨瘤,没有症状,不需要特殊治疗;但是需要定期复查X线,观察大小和形态改变如果引起疼痛、压迫症状等,或者复查X线发现肿物大小、形态有改变(发生恶变的征兆),可以选择手术切除,术后存在一定复发风险对于多发性骨软骨瘤,建议手术切除
北大医院骨科杨程显的科普号
2023年11月15日
915
0
3
-
什么是小儿骨软骨瘤?如何治疗
什么是小儿骨软骨瘤?如何治疗!?骨软骨瘤又称外生骨疣,是儿童期最常见的良性骨肿瘤。该肿瘤通常位于干骺端的一侧骨皮质,向骨表面生长。可分为单发和多发性骨软骨瘤。后者有遗传倾向,并影响骨骺发育或产生肢体畸形,称为多发性遗传性骨软骨瘤病,或骨干续连症。本病严格讲来不属于肿瘤,而是生长方面的异常,或称错构瘤。瘤体有软骨帽和一个从骨侧面突出的骨组织。本症又称骨疣,其成因可能是从靠近骨膜的小软骨岛长出,或来自骺板软骨。 凡软骨化骨的部位均可发生,但下肢长管状骨占1/2,股骨下端和胫骨上端最多。其次为肱骨上端,桡骨和胫骨下端以及腓骨的两端。病变位于干骺端,随生长发育逐渐远离骺板。骨疣内的骨髓中脂肪组织丰富。骨疣的增长是靠软骨帽深层的软骨化骨作用。病儿发育成熟后,骨疣即停止生长。成年后,软骨帽逐渐退化以至消失,偶持久存在并可继发为软骨肉瘤。考虑到该肿瘤将随着骺板闭合会停止生长,而且恶变率极低(单发性在0.5%~1%,多发性为2%左右),当出现局部疼痛、妨碍关节活动或压迫血管、神经和脏器时,可以接受手术治疗。
陈珽医生的科普号
2023年07月25日
509
0
1
-
骨软骨瘤常见问题汇总
1、骨软骨瘤会恶变吗?骨软骨瘤也叫骨刺,轻微的骨刺一般是不会引起恶变的。但有些部位的小骨刺,最主要的问题是会引起活动后的疼痛,有的小朋友是摸起来不痛,一动起来或者活动多了就会痛,有的小朋友会痛得很厉害。骨软骨瘤是一种良性骨肿瘤,发生恶性改变的机会非常小,反复手术后复发、或者反复损伤导致周围血肿疼痛等情况,需要小心。2、骨软骨瘤会自己消失吗?骨软骨瘤不会自己消失,想要解决这个问题,只能做手术,但并不是一发现就要立即手术,因为这不是一个危及生命的疾病。但手术早点做好还是晚点做好,相对来说还是早一点做比较安全,也能省掉后续很多麻烦。3、骨软骨瘤不手术会怎么样?骨软骨瘤如果不手术,就是选择带瘤生存,也就是说这个肿瘤是永远留在身体里的,不手术瘤体是不会消失的。比如膝关节处的骨软骨瘤,有可能影响膝关节的活动,比如孩子的膝关节转到某个位置或方向的时候会引起疼痛。4、骨软骨瘤只是偶尔疼,但是能跑能跳不影响生活,需要手术吗?上述这样的情况,可以选择先观察,定期到医生门诊随访,如果拍片子或者影像学检查肿瘤也一直是安全和静止的,就可以继续观察。如果肿瘤部位感觉有变化,或者影像学检查提示肿瘤开始变化了,就需要考虑手术了。5、骨软骨瘤如果不手术会继续长大吗?骨软骨瘤随着孩子的生长,可能会发生一些变化,比如越长越大,导致疼痛加重,或者引起其他不适。6、骨软骨瘤会影响发育吗?影响长高吗?理论上,骨软骨瘤是一种局部生长的肿瘤,对儿童的身高长高是非常有限的,几乎忽略不计。7、骨软骨瘤手术切除以后会复发吗?手术切除以后有一定的复发概率,因为目前骨软骨瘤发生的原因并不清楚,手术只是把长出来的瘤切掉了。导致发生这个肿瘤的真正原因并没有被发现也没有被解决,因此,存在一定的复发比例。经验相对丰富的医生,有一些手术的技巧来帮助降低复发率的发生。8、骨软骨瘤手术需要植骨吗?骨软骨瘤的手术要根据肿瘤的具体情况来决定手术的方式和方法,以及是否需要植骨,是否采用人工骨植骨等,通常情况下大多数患者不需要植骨。9、骨软骨瘤是单发还是多发有什么影响?骨软骨瘤有单发和多发等不同的分类和情况,单发的情况多见。也有孩子会出现多部位的多发骨软骨瘤,有的情况下,多的不计其数,这种情况往往会诊断为多发性骨软骨瘤病,这种情况除了肿瘤本身的问题以外,还会导致上肢或者下肢出现一系列继发性的关节畸形,所以通常单发的骨软骨瘤患者的临床治疗结果要远远好于多发性骨软骨瘤病的患者。
张网林医生的科普号
2023年02月28日
593
0
4
-
骨软骨瘤手术切除以后会复发吗?
手术切除以后有一定的复发概率,因为目前骨软骨瘤发生的原因并不清楚,手术只是把长出来的瘤切掉了。导致发生这个肿瘤的真正原因并没有被发现,也没有被解决,因此,存在一定的复发比例。经验相对丰富的医生,有一些手术的技巧来帮助降低复发率的发生。
张网林医生的科普号
2023年02月23日
289
0
0
-
骨软骨瘤会恶变吗?
骨软骨瘤也叫骨刺,轻微的骨刺一般是不会引起恶变的。但有些部位的小骨刺,最主要的问题是会引起活动后的疼痛,有的小朋友是摸起来不痛,一动起来或者活动多了就会痛,有的小朋友会痛得很厉害。骨软骨瘤是一种良性骨肿瘤,发生恶性改变的机会非常小,反复手术后复发、或者反复损伤导致周围血肿疼痛等情况,需要小心。
张网林医生的科普号
2023年02月23日
497
0
0
-
小朋友骨软骨瘤严重吗
康庆林医生的科普号
2023年02月12日
171
1
5
骨软骨瘤相关科普号

岳芳医生的科普号
岳芳 主任医师
河北省儿童医院
胸外科
223粉丝1570阅读

杨滨医生的科普号
杨滨 主任医师
医生集团-北京
线上诊疗科
3343粉丝27.6万阅读

陈珽医生的科普号
陈珽 副主任医师
上海交通大学医学院附属新华医院
小儿骨科
812粉丝5.6万阅读
-
推荐热度5.0郑炳鑫 主治医师青岛大学附属医院 骨肿瘤科骨肿瘤 192票
软组织肿瘤 95票
体表肿瘤 30票
擅长:①四肢恶性及良性骨肿瘤(骨转移癌,软骨肉瘤,骨巨细胞瘤,骨软骨瘤,骨样骨瘤,单纯骨囊肿/动脉瘤样骨囊肿,骨纤维结构不良,纤维皮质缺损,非骨化纤维瘤等)的外科治疗; ②各类骨与软组织肉瘤(骨肉瘤,尤文肉瘤,脂肪肉瘤,平滑肌肉瘤,未分化肉瘤等)的保肢外科治疗和规范新辅助化疗/靶向治疗/免疫治疗;肢体黑色素瘤的外科综合治疗; ③脊柱、骶骨、骨盆转移癌(肺癌,乳腺癌,肾癌,前列腺癌,甲状腺癌,肝癌等)的射频消融+骨水泥微创治疗和外科手术综合治疗; ④脊柱原发肿瘤(椎管内神经鞘瘤/神经纤维瘤/脊膜瘤,脊柱浆细胞骨髓瘤、淋巴瘤、骨巨细胞瘤、脊索瘤、骨母细胞瘤/骨样骨瘤等)的外科治疗; -
推荐热度4.9岳斌 主任医师青岛大学附属医院 骨肿瘤科骨肿瘤 154票
软组织肿瘤 71票
体表肿瘤 18票
擅长:骨与软组织肉瘤的新辅助化疗+肿瘤根治性切除保肢重建+术后放化疗、基因检测联合靶向药物治疗等规范化综合性治疗;利用计算机三维重建系统术中精确切除高风险脊柱(颈、胸、腰、骶椎及椎管内)肿瘤、骨盆肿瘤并重建中轴稳定性及功能;精确切除肢体肿瘤进行肿瘤髋、膝、肩、肘关节置换;全肱骨置换、节段性假体置换等保肢手术等。熟练掌握软组织肉瘤的间室切除、根治性切除,并辅以术中射频灭活有效降低肿瘤复发率等一系列骨肿瘤专业技术。 -
推荐热度4.5许炜 主任医师上海长征医院 骨科骨肿瘤 62票
脊柱肿瘤 58票
椎管内肿瘤 24票
擅长:脊柱转移性肿瘤(肺癌、乳腺癌、肝癌、肾癌、前列腺癌转移等);脊柱原发肿瘤(如脊索瘤、骨巨细胞瘤、骨肉瘤、血管瘤、骨母细胞瘤等);脊柱退变性疾病(颈椎病、腰椎间盘突出症等);椎管内肿瘤(神经鞘瘤、脊膜瘤等);脊柱结核;脊柱外伤,脊柱疾病微创治疗,四肢肿瘤、骨折等