精选内容
-
手术成功切除脑干海绵状血管瘤
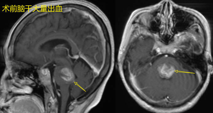
脑干海绵状血管瘤(brainstemcavernousmalformation,BSCM)占所有颅内海绵状血管瘤的0.4%-0.6%,但却是导致脑干出血的重要原因。多见于20-40岁的中青年人,女性多于男性。反复出血是造成脑干损伤患者伤残和死亡的重要原因。脑干海绵状血管瘤首次出血率仅为0.6%~1.1%,但是发生再次出血的几率大大上升,高达30%~60%。因此对于脑干海绵状血管瘤,如果出血引起比如瘫痪、感觉减退、行走不稳等等症状的,以及反复出血,病灶越来越大的,都应该积极手术治疗。否则可能会引起灾难性的后果。完整切除病灶进行全切手术是根治海绵状血管瘤的根本方法。由于病灶深藏于脑干这一人体最关键的生命中枢区域,手术难度极高、风险极大,因此许多患者及家属听到“脑干手术”二字极度担忧,惧怕手术。甚至很多医生也认为脑干是外科手术的禁区。事实上,随着显微神经外科技术的进步,脑干海绵状血管瘤并非不可治疗,关键在于精准的手术策略和丰富的经验积累。今天,我将通过两个成功手术案例,向大家展示:脑干海绵状血管瘤的全切手术是完全可行且安全的!病例一:反复脑干出血,精准手术解除隐患36岁的女性患者,因突发右侧肢体乏力、构音障碍入院。影像学检查显示:桥脑背侧部位脑干海绵状血管瘤,伴近期出血。病灶深在,体积大,直径约3cm,几乎占据了整个脑干。✅手术指征明确:患者有明显的症状,病灶出血量大,随时可能导致更严重的神经功能损害,甚至危及生命,因此手术是最佳选择。✅手术入路选择:结合影像学分析,选取经膜帆入路,进入四脑室,在病灶位于脑干最表浅的部位进入,这样可以避开运动、感觉神经纤维束以及其他重要的重要神经核团,减少术后功能损伤的风险。✅在术中神经电生理监测的辅助下,手术团队精准地定位病灶,并通过自然间隙到达血管瘤区域。在显微镜下,完整分离病灶,与正常脑组织彻底剥离,全切病变组织,同时严格控制出血,避免术中并发症。✅术后患者意识清晰,肢体力量恢复良好,无明显新增神经功能障碍。术后2周患者可以下地行走,构音障碍明显改善,右侧肢体活动度恢复接近正常水平。术后七个月复查MRI:血管瘤完全切除,无残留,病灶周围无明显水肿,患者恢复良好。➡️手术总结:桥脑部位的脑干海绵状血管瘤虽然位置复杂,但通过合理的入路规划和精细的显微手术操作,可以实现安全全切,并在术后实现良好功能恢复。病例二:眼球活动困难、面部和肢体麻木,脑干显微手术助患者回归正常生活32岁的女性患者,因行走不稳、头晕,伴有左眼睑下垂、眼球活动困难、右侧面部及肢体麻木,MRI提示中脑海绵状血管瘤。因中脑负责意识清醒等重要功能,且有运动神经束,以及各种重要的神经核团,手术风险极大。因此外院进行了保守治疗。患者2个月后复查病灶无缩小,症状无改善,生活质量明显下降。✅手术指征明确:患者症状明显、典型,有明确的中脑损伤及动眼神经核团损伤,虽然病变位于中脑,但术前查体及影像学评估表明手术完全可以避开运动神经,做到安全切除病灶。✅手术入路选择:病变位于中脑左侧,选择颞下入路,从脑干的侧方进入,这样可以避开脑干前部的运动神经纤维束,同时实现最大程度的手术病灶暴露。✅术中采用术中电生理监测及神经导航,确保手术精准定位。显微镜下仔细分离血管瘤,完整切除,同时避免损伤周围重要功能区。✅术后患者头晕症状明显缓解,行走能力大幅度改善。术后三个月,患者眼睑下垂、眼球运动完全恢复正常,独立行走、运动无任何异常,身体状况恢复至正常水平。复查影像显示手术效果良好,无病灶残留,患者生活质量术后显著提升。➡️手术总结:针对有明显症状的脑干海绵状血管瘤,术前评估手术的安全性尤其重要。通过精准手术入路及显微手术技术,可实现安全全切,并大幅改善患者症状,使其回归正常生活。脑干海绵状血管瘤手术的关键要点💡手术指征:反复出血或已有神经功能障碍者,强烈建议手术。静止无症状者,可观察,但若病灶接近表面或增大,应慎重考虑手术。💡手术难点:脑干部位解剖复杂,血供丰富,操作空间极其狭小,稍有不慎可能引发严重神经功能损害。术中神经监测、显微技术及精准入路选择是降低手术风险的关键。💡手术能否做到全切?答案是可以!在有经验的神经外科团队操作下,合理选择手术入路,精细显微剥离技术,结合术中监测和导航,脑干海绵状血管瘤是可以安全全切的。结语:科学选择,精准手术,重拾健康人生脑干海绵状血管瘤虽然曾被视为“禁区”,但随着现代神经外科技术的进步,精准的手术策略可以使患者安全获益。本案例的成功手术不仅证实了脑干手术的可行性,也再次强调:科学评估+精准手术=安全治愈。
李宾医生的科普号
2025年03月26日
205
0
0
-
脑海绵状血管瘤是临床上比较常见的一类疾病,治疗方法可以分为非手术治疗和手术治疗两种。
张继医生的科普号
2024年10月17日
133
0
2
-
脑海绵状血管瘤诱发癫痫怎么办?
姚晨医生的科普号
2024年08月04日
10
0
0
-
请问脑血管瘤用手术吗?
狄奇医生科普号
2024年07月01日
38
0
0
-
海绵状血管畸形
治疗前症状性右额上回海绵状血管畸形,可以采用额瓣,定位、手术难度不大。治疗中正好我们复合手术室,利用DSA更加精准定位,5cm直切口小骨瓣。治疗后治疗后7天皮内缝合,不用拆线。治疗后即刻病变完全切除,创面小,无出血。
张子焕医生的科普号
2024年06月03日
111
0
1
-
咬肌内静脉畸形
治疗前咬肌内静脉畸形,病人每次吃东西用劲时,在面部出现明显的包块,无疼痛感!在影像上可以看到明显占位性病变!治疗后治疗后45天患者经过介入硬化栓塞治疗一个疗程后复诊,包块消失,用力咬东西时,包块不再出现!
王代武医生的科普号
2024年03月04日
60
0
1
-
脑内(包括脑干)海绵状血管瘤--相关科普知识
脑内海绵状血管瘤实际不是真正的肿瘤,而是“血管畸形”的一种。为神经外科比较常见的一个疾病。请注意脑外海绵状血管瘤和脑内海绵状血管瘤不是同一个疾病。比如海绵窦海绵状血管瘤就是一个特殊的疾病你。脑内海绵状血管瘤实际是众多薄壁血管组成的海绵状异常血管团。主要表现是畸形血管不断反复出血,出血又不断溶解吸收,但吸收不完全,导致局部病灶不断增大,增大过程可以非常缓慢,甚至几十年变化不明显,很少发生致命性大出血。打个比方,好比有个金属自来水管,间歇性渗水,水又被风干吸收,这样漏水处局部有锈蚀团块不断增大,速度不一。相当一部分患者为多发性海绵状血管瘤,即脑内不止一处病灶,有2个或2个以上病灶,有的病灶非常多,似“满天星”。部分患者有家族遗传史。1.慢性头痛:发作间期不一定,头痛轻微甚至不被重视;2.癫痫:不同形式的表现,如肢体不自主抽动、突发一过性意识丧失、肢体发作性麻木、嗅幻觉、视幻觉、听幻觉等等。1.头颅CT:常见为脑内高密度灶2.头颅磁共振平扫、增强、SWI(磁敏感):三者相结合基本可以确诊该病,并与其他肿瘤相鉴别。海绵状血管瘤有时与脑内黑色素瘤鉴别有一定困难。SWI(磁敏感):可以发现常规磁共振扫描不能发现的其他海绵状血管瘤的微出血灶。3.脑电图:辅助确定有无异常脑电波发放,就是癫痫波。下面是同一患者68岁(2023年)的头颅CT和磁共振,可见T2磁共振显示的海绵状血管瘤比CT多,SWI显示的更多(患者有脑干海绵状血管瘤)。患者并无头痛和癫痫症状,正常生活,其实他脑内这些海绵状血管瘤已经存在很多年了!其儿子2014年先发现有脑内多发性海绵状血管瘤,其中一处发生出血而手术,证实为海绵状血管瘤。其儿子2014年(27岁)因为突发头痛伴视物模糊发现“左枕叶出血,性质待定”手术切除左枕叶病灶,病理证实为“海绵状血管瘤”,其他病灶散在,无明显症状,无癫痫,随访观察即可。下面这位患者2015年发现海绵状血管瘤,无症状,因此无需任何处理,随访近9年无变化。合并的静脉畸形本身一般不会导致出血,而且它收集脑组织的静脉回流,因此手术时要尽量保护保留它。1.随访观察:对于偶然发现、无明显症状的,不做任何处理,定期复查磁共振即可;2.抗癫痫治疗:病灶位于重要功能区,有癫痫症状的患者,手术可能导致瘫痪的建议抗癫痫药物治疗观察3.手术切除病灶:病灶位于非功能区,导致反复出血头痛、癫痫症状的首选手术切除,可根治。4.放疗有争议,多数认为无效,可造成放射性损伤,并可诱发新的海绵状血管瘤!(下文有案例)5.无药物可以治疗使得海绵状血管瘤缩小或消失!下面这个67岁男性,右侧脑室旁海绵状血管瘤,其实可以不用任何治疗,但患者被推荐选择伽马刀放疗后3月,出现放疗性水肿。下面这个女孩2017年因为右侧肢体不灵活,发现左基底节海绵状血管瘤,考虑病灶继续长大将导致瘫痪,我予以手术,术后肢体肌力逐渐好转。2023年7月来复诊,基本如常人。下面这个患者,突发头痛,发现脑室内海绵状血管瘤。我予以手术。术后3月恢复良好。为一个非常特殊的部位的海绵状血管瘤,是否手术争议较大!主要原因在于脑干内有主管头面部各种运动和感觉的核团,四肢感觉和运动的神经传导束经过,通俗的说就是有管理手脚活动与感觉的电线都从这里经过,而脑干的延髓只有拇指大小,神经密集。脑干部位的海绵状血管瘤出血可以压迫和破坏神经传导束和核团,出现肢体麻木,乏力、视物重影、行走不稳、喝水呛咳等表现,但是随着出血吸收,这些症状又可以逐渐缓解甚至基本消失。下一次再出血可以导致症状再现,如此症状反复。重要的是2次出血的时间间隔,出血量不能确定。患者从首次发现脑干海绵状血管瘤出血开始,到下一次发现出血症状之间可能数年甚至10~20年不等,而出血量多数不大!如果手术去清除脑干的海绵状血管瘤,必然对海绵状血管瘤周围的脑干内神经传导束或神经核团有不同程度的骚扰或破坏,有可能破坏是不可逆的,从而导致功能恶化。因此脑干海绵状血管瘤的手术与否争议较大!要权衡得失再定手术与否!1.对于靠近脑干表面的海绵状血管瘤,如反复出血或出血量大压迫神经,手术容易接近,首选手术。2.对于脑干内,离脑干表面较深在的病灶,一般选择观察,因为手术必然要切开脑干表面到达病灶,对脑干内神经传导束或神经核团有不同程度的骚扰或破坏,可能导致功能恶化,因此更倾向于观察。病例一、脑干海绵状血管瘤患者,女性,2020年30岁时发现脑干海绵状血管瘤,未手术随访观察,2020年6月1号与2024年1月27号磁共振对比,脑干的中脑处海绵状血管瘤出血大部分吸收,并无明显症状。继续随访观察。病例二、患者,女,38岁,头晕伴右侧肢体肌力下降检查发现海绵状血管瘤,病灶体积较大,且靠近脑干表面,已有肢体肌力下降,故建议手术切除。2022年12月14日我予以手术,全切病灶。术后出现暂时性左侧肢体肌力下降(因为手术必然对周围神经传导束有一定骚扰),因为神经传导束没有显著损伤,故之后逐渐恢复,无明显其他神经损伤等明显后遗症。术后近3月(2023年3月)门诊复查视频,行走自如。2024年1月复查磁共振及CT显示病灶无复发。术后1年门诊复查视频病例三、女性,2019年(56岁),头晕发现脑干背侧海绵状血管瘤,位置深在,当时症状不明显,随访观察,3年后(2022年)病灶增大,出现头晕加重行走不稳,当地医生推荐来我处就诊,和家属沟通风险后予以行病灶切除术,术后症状好转。2022年7月11日(术后一月)行走较自如2022年8月30号术后3月复查磁共振,显示海绵状血管瘤全切。
安徽省立医院神经外科科普号
2024年02月10日
671
1
3
-
静脉畸形是个终身病?先改善疼痛,不影响关节其次才是美观有症状就需要治疗,没有症状可以暂时观察?
丁语医生的科普号
2024年01月20日
21
0
0
-
颅内海绵状血管瘤,会引起癫痫、头痛。
陈祎阳医生的科普号
2024年01月17日
51
0
3
-
聚桂醇泡沫硬化治疗静脉畸形
何晓奇医生的科普号
2023年11月27日
39
0
0
相关科普号

孙力泳医生的科普号
孙力泳 主任医师
首都医科大学宣武医院
神经外科
3612粉丝7.6万阅读

刘星涛医生的科普号
刘星涛 主治医师
医生集团-四川
线上诊疗科
652粉丝8.9万阅读

杜固宏医生的科普号
杜固宏 副主任医师
复旦大学附属华山医院
神经外科
2490粉丝3.7万阅读
-
推荐热度5.0李海波 主任医师广州医科大学附属妇女儿童医疗中心 介入血管瘤科血管瘤 312票
淋巴管瘤 19票
肝血管瘤 4票
擅长:1、儿童脉管疾病:血管瘤、淋巴管瘤(畸形)、静脉畸形、动静脉畸形等 2、儿童恶性肿瘤:肝母细胞瘤、肾母细胞瘤及视网膜母细胞瘤等。 3、对儿童良性食道狭窄的球囊扩张和支架置入治疗也有一定的研究。 特色:婴幼儿血管瘤的介入治疗、新生儿巨大淋巴管畸形治疗、复杂静脉畸形消融治疗、动静脉畸形介入治疗 -
推荐热度4.9郭磊 主任医师山东大学附属儿童医院 血管瘤与介入血管外科血管瘤 217票
淋巴管瘤 38票
鲜红斑痣 9票
擅长:1.儿童血管瘤的综合无创治疗(外敷、口服、注射、介入、激光、消融、微创手术等九种无痕治疗方式)。 2.淋巴管瘤(淋巴管畸形)、静脉畸形、动静脉畸形及肿瘤的不开刀微创介入治疗。 2.K-T综合征、K-M综合征、儿童肝血管瘤、视网膜母细胞瘤、肝母细胞瘤、肝癌、肾母细胞瘤、神经母细胞瘤、横纹肌肉瘤的介入治疗、儿童食道狭窄的球囊扩张和支架置入治疗及血管性疾病,如布-加氏综合症、急慢性动/静脉血栓栓塞、血管狭窄、肾血管性高血压、血管破裂出血的诊断与微创精准介入治疗。 -
推荐热度4.8申刚 主任医师首都医科大学附属首都儿童医学中心 血管瘤及介入血管中心血管瘤 224票
淋巴管瘤 16票
肾动脉狭窄 8票
擅长:1、行业权威: ●国内首家血管瘤及介入血管中心创始人,兼任中国国家卫生健康委员会能力建设和继续教育中心儿科介入专家委员会主任委员、中国儿童血管瘤血管畸形联盟主任委员等; ●深度参与:编撰《中华医学会整形外科分会血管瘤与脉管畸形诊治指南(2024)》,创建中国首个儿科介入治疗基地,建立儿科介入培训体系,每年举办中国儿科介入高峰论坛。 2、近30年临床诊治经验,让广大患者少走弯路: ●荣膺全国病友推荐“7届年度好大夫”荣誉称号,个人每年完成介入&血管瘤门诊人次超过6000人次,迄今为止主刀及参与介入手术50000余台,尤其擅长儿童,低龄患者的介入微创治疗; 3、接诊范畴: (1)血管性疾病:如血管瘤、血管畸形、KT综合症(Klippel-Trenaunay Syndrome)、PW综合症(Parkes-Weber Syndrome)等(儿童成人均可)。 (2)淋巴管疾病:如淋巴管瘤、淋巴管畸形的介入治疗。 (3)儿童肿瘤的介入治疗:包括视网膜母细胞瘤、肝母细胞瘤、肝血管瘤等。 (4)血管相关疾病:如肾血管性高血压、布-加氏综合症、动静脉血栓栓塞、血管狭窄、动脉炎等。 (5)儿童脑血管及脊髓血管疾病:包括婴幼儿脑血管造影及介入治疗。 (6)妇科疾病的介入治疗:如盆腔淤血综合征、子宫肌瘤、子宫腺肌病的栓塞治疗,以及不孕症的介入治疗。