精选内容
-
颌骨里的隐形“炸弹”
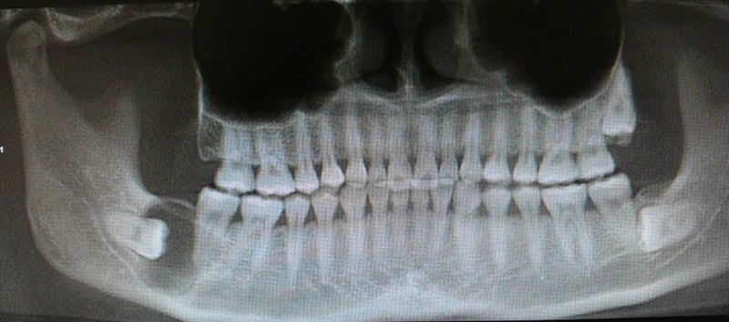
首先还是科普时间:疾病名词------含牙囊肿。含牙囊肿又称滤泡囊肿。发生于牙冠或牙根形成之后,在缩余釉上皮与牙冠之间出现液体渗出而形成含牙囊肿,多来自单个牙胚,临床上见囊肿含一个牙;也可来自多个牙胚,临床上囊肿含多个牙。在影像学,也就是拍片上会看到一个牙齿埋在颌骨里并且牙冠外侧围绕一个气球样的影响,好像气球把牙冠包在里面了。下面,故事开始了!早晨9点左右,口腔外科门诊,一个神色焦急的母亲牵着孩子快步进来。“医生好,麻烦你帮我看看我的孩子,已经10岁了,这边的牙齿疼就在当地诊所看牙,一拍片就发现左边骨头里有东西,当地治不了,说要到上级医院才能治。您看看,他都没什么感觉,就是这边的牙一直没换而已,不会有什么大问题吧?”。让我们来看看这位母亲手中的片子:图一:口腔曲面断层片:明显看到右侧下颌恒牙垂直生长,这是正常的恒牙胚,而左侧呢,里面的牙齿好像在睡觉,横着长了,牙齿周围还有一圈阴影,外侧有一条隐约白色的边界线。这个地方就是病变区了。上面的乳磨牙并未被替换。图二:口腔牙科CT:可见水平埋伏的恒牙(第一、第二前磨牙)头向唇侧,根部向舌侧,好像两只泥鳅拼命的想向外游。牙根已经穿出下颌骨。图三:这两个埋伏牙的牙根弯曲,基本成120°,牙齿的下面为大面积的低密度阴影,即为囊肿区域,唇侧骨壁已缺失,仿佛两个泥鳅已经 “冲”出来了。图四:牙齿的下方为囊性病变的主要区域,可见正常的下颌骨里面的骨小梁已消失,局部骨壁并未出现破坏,下颌骨也未出现隆起,所以患者并无明显感觉。这是个啥??根据影像学表现,符合含牙囊肿的诊断。这种囊肿为良性病变,属于牙齿发育过程中上皮层异常分泌导致的,与进食及生活习惯无关。因牙齿位置不正,并未替换掉本该替换的乳牙,所以患者左侧下颌乳磨牙一直存在,而其他部位的第一乳磨牙均以替换并恒牙萌出。另外因为埋伏恒牙水平生长,牙根极度弯曲,正畸科医生无法采用正畸方案将该牙牵引出,故建议拔除。其实,如果埋伏的恒牙位置是直立的,牙根比较直,即便是有囊肿,我们也应该保留该恒牙。针对于这个小患者,治疗方案就是:拔除乳牙后沿着拔牙窝拔除埋伏的恒牙并刮除囊肿,以后局部恒牙缺失,需要长期带间隙保持器,保持缺牙的间隙,待成年后种植牙修复。而手术的过程中,我们需要全麻辅助、微创拔牙方法尽可能多保留骨质,即能拔除埋伏的牙又要减少创伤,刮除囊肿的时候还要尽量避免对下牙槽神经的损伤,这些都是操作重点。没有探雷器,如何发现这颗“炸弹”?下面我们再谈谈如何发现这种毫无症状、隐蔽性极强的疾病。人的一生有两副牙齿,第一副牙齿叫乳牙,出生后6个月就开始萌出,直到2岁左右萌出完毕。第二幅牙齿叫恒牙,一般在5岁半左右开始萌出,到13岁左右除智齿外都萌出完毕,乳牙全部被替换掉。通常恒牙萌出的规律是先下颌再到上颌,由前向后,左右同名的牙一同萌出。如果发现上颌(下颌)左右两侧同一个部位的牙齿萌出速度不同,一侧已经乳牙替换恒牙萌出,而另一侧乳牙未见松动,且2个月以上未见动静,那就需要来口腔科拍个曲面断层片检查一下,及时发现这种隐身病变。提到手术就怕怕,不理它会怎样?如果你高傲、任性不治疗会怎样呢?囊肿就会慢慢长大,就像个气球,不断扩张,把骨质变薄,牙齿松动,甚至病理性骨折。虽然是良性病变,威力也不小吧!所以还是早期发现早期治疗!这种含牙囊肿治疗上如何做呢?两种考虑:一、恒牙埋伏且牙根完整自立、牙齿形态正常无畸形,可采用局部开窗的保守治疗方式,约80%的病例囊肿在一年内会逐渐缩小甚至消失,恒牙顺利自然萌出。二、恒牙畸形、水平或倒置、牙根弯曲的囊肿,或者经过开窗半年内无明显缩小或者继续变大的,还是要拔除埋伏恒牙、刮除囊肿的手术治疗。如果您仔细阅读了上面的病例,估计您回家的第一件事就是:儿子,过来,张开嘴给爸爸(妈妈)看看。。。。。。后记:文中该病例已于昨日全麻下顺利手术治疗完毕,小孩子很听话,复苏很好,术后未见明显并发症。以后也会把日常诊疗过程中接诊的常见疾病病例以这种形式科普给大家,希望能让更多的普通人多了解口腔疾病,重视口腔健康,预防为主,早期发现早期治疗。祝愿大家笑口常开!
董皓医生的科普号
2020年05月08日
7537
0
4
-
面部膨隆,原来是颌骨含牙囊肿
临床上有患者因为面部逐渐膨隆,近期加重伴有疼痛就诊,检查确诊为上颌骨含牙囊肿。含牙囊肿(Dentigerous cyst)又称为滤泡囊肿(Follicular cyst),是一种牙源性囊肿,起源于发育过程中正常的牙滤泡。一般是由于未萌发或部分萌发牙的釉质器的星形网层发生囊肿样变性,牙滤泡周围液体渗入牙冠与上皮之间而成。发生在釉质完全形成之后,在缩余上皮与牙冠之间有液体渗出和蓄积而形成囊肿,故该囊肿内包含有一个牙齿;如果囊肿来自多个牙胚,可发生多发性含牙囊肿。年轻病人多见。单发最多见。好发于上颌尖牙区及上颌第三磨牙区,也可发生于下颌第三磨牙区和下颌前磨牙区。下颌骨较上颌骨发生较多。含牙囊肿生长缓慢,无自觉症状,囊肿长大时可引起颌骨膨隆,面部畸形,乒乓球弹性感。其囊内物清亮,黑褐色或褐色液体,内含胆固醇。巨大囊肿可破坏上颌窦各壁而致面颊、口腔前庭、硬腭及牙槽突等处隆起,由于张力的作用使眼球向上、向外移位,或膨胀向鼻腔发生鼻塞。无感染时局部往往无典型疼痛。X线片中见圆形透光区,其内有完整的恒牙,囊肿区可发现先天性缺牙。由于CT能够清晰分辨囊肿与周围骨质以及所包含在内的牙齿结构,因此CT是诊断含牙囊肿的首选影像学检查方法。CT表现为:1.CT平扫示囊肿为低密度的肿块,囊壁周边见骨质硬化,囊腔密度略高于水样密度,囊内可见畸形的小牙或牙冠。2.增强扫描通常不强化,仅在囊肿继发感染时,可见囊壁轻度环形线样强化。3.囊肿可向鼻底和上颌窦内膨胀性生长,引起相应的压迫性骨质吸收破坏。本囊肿为良性,但可能变为造釉细胞瘤或颌骨内鳞状细胞癌。手术原则为完整摘除囊肿和挖除埋藏的牙齿。
黄郁林医生的科普号
2019年11月29日
2486
0
0
-
含牙囊肿(一颗爱吹牛的智齿——最后把自己吹飞了)
智齿是口腔中最古灵精怪、最有个性、最爱调皮捣蛋的一颗牙齿;让人无法忽略、不得不关注、不得不为它上医院的一颗牙齿,或是在青春少年时、或是在而立之年、或是在耄耋之年。 他们或目无纪律站错队伍—异位萌出;或藏污纳垢不洁身自好—龋坏;或与邻牙卿卿我我勾肩搭背—近中阻生。但今天我要和大家说的是下面这一颗爱吹牛的智齿的故事。 原本他也和另一边的那颗智齿一样,默默地躺在小七的脚下继续着他们的地下恋情。可是谁知这颗智齿爱吹牛,越吹越大。结果导致了他们地下恋情被发现,小七也变得摇摇欲坠。 虽然改革开放这么多年了,早恋也越来越低龄化了,但是我们也得坚决阻止这颗爱吹牛的智齿对小七的损伤。于是我们戳破了他的弥天大谎… 其实这个爱吹牛的智齿就是含牙囊肿。 含牙囊肿(dentigerous cyst),是指囊壁包绕一个未萌出牙齿的牙冠并附着在该牙牙颈部的囊肿,其中多个牙胚发生的囊肿也称多发性含牙囊肿。含牙囊肿一般发生在釉质完全形成后,残留的成釉器发生囊性变。 含牙囊肿是常见的颌骨囊肿之一,多发生在20~50岁。囊肿多发生在下颌第三磨牙区,其次为上颌尖牙区、上颌第三磨牙和下颌前磨牙区,可能与这些部位的牙齿容易发生阻生有关。 含牙囊肿生长缓慢,早期无自觉症状,常常是因为牙齿未萌、缺失或错位进行X线检查时发现,囊肿进一步长大时可引起颌骨膨隆导致面部畸形、牙齿移位或松动,口内前庭沟饱满。 含牙囊肿的X线表现为边缘规则光滑的圆形或类圆形透光区,周围骨硬化似皮质骨,轮廓清晰,其内含有未萌出牙齿。未萌出牙可以处于牙齿的不同发育阶段,以恒牙多见,也可以是埋伏牙或多生牙。 含牙囊肿需要连同所含牙齿一起手术刮除。 本文系吴煜医生授权好大夫在线(www.haodf.com)发布,未经授权请勿转载。
吴煜医生的科普号
2016年06月05日
29206
3
3
含牙囊肿相关科普号

吴煜医生的科普号
吴煜 副主任医师
北京大学第三医院
口腔科
1.1万粉丝27.1万阅读

董皓医生的科普号
董皓 副主任医师
广西壮族自治区人民医院
口腔颌面外科
18粉丝3.4万阅读

阿里木江·吾守医生的科普号
阿里木江·吾守 副主任医师
上海市口腔医院
口腔颌面外科
1.3万粉丝8万阅读
-
推荐热度5.0张雷 主任医师北大口腔医院 口腔颌面外科口腔颌面部肿瘤 168票
口腔颌面部囊肿 68票
舌癌 31票
擅长:各种常见口腔颌面外科疾病的诊治,主要是口腔颌面部肿瘤手术及综合治疗、唾液腺疾病诊治,口腔颌面部及头颈部缺损术后修复,颌面部外伤及畸形修复,面部畸形整复,牙齿导致颌骨疾患(颌骨囊肿,牙源性肿瘤),牙槽外科相关疾病及种植牙,复杂阻生牙埋伏牙拔除,特色:口腔颌面部疾病的微创治疗 -
推荐热度4.5王佃灿 副主任医师北大口腔医院 口腔颌面外科口腔颌面部肿瘤 210票
口腔颌面部囊肿 43票
拔牙 14票
擅长:腮腺肿瘤,舌下腺囊肿,口腔癌,颌骨肿瘤。阻生牙/多生牙拔除(仅限名医挂号) -
推荐热度4.4韩伟 主任医师南京市口腔医院 口腔颌面头颈外科口腔颌面部肿瘤 76票
口腔颌面部囊肿 27票
舌癌 10票
擅长:独立主刀各类颌面部肿瘤手术4000台以上 每年在省内外各单位进行手术演示及疑难手术会诊近百次 临床擅长各类疑难、复杂口腔恶性肿瘤的手术治疗 擅长头颈局部晚期恶性肿瘤的靶向治疗、免疫治疗及化疗策略 专攻腮腺、颌下腺、舌下腺等良性肿瘤的精细化手术 在颌面部复杂骨折的手术矫治方面有丰富经验