精选内容
-
大口地呼吸,自由地奔跑(典型案例:肺动脉吊带+气管狭窄的外科治疗策略)
小宝今年7岁了。虎头虎脑,超级可爱。我喜欢他围着我、拉着我,对我笑,调皮逗乐。可惜他不能大动,因为他安静状态下,即使一动不动,呼吸声也是粗重的、费力的,能听到气管深处由于狭窄发出来的紧促气流声。若是稍微活动一下,足以让他喘气喘上半天的。他根本不能做任何运动。所以小宝不瘦,胖乎乎,很可爱。7年前,生后2个月时,小宝诊断为肺动脉吊带、先天性气管环伴狭窄,在我院接受了肺动脉吊带手术治疗。经过讨论和风险考虑,只做了肺动脉吊带的矫治术,气管狭窄随访观察。2个月的小婴儿同期行肺动脉吊带、气管狭窄手术的风险偏高。小宝按照预期的方案,严密监测手术后孩子的呼吸机使用情况及呼吸状态,他平稳渡过了围术期,顺利出院。先天性气管环,指的是:通常情况下人类的气管由18-22个软骨环构成骨架,来保持气道的通畅。软骨环呈C型,C开口的部分称为膜部,是软组织。气管环则不然,软骨环呈O型,没有开口的膜部,直径较正常气管部分小。因此先天性气管环,通常伴随气管狭窄。肺动脉吊带,指的是:左肺动脉起源于右肺动脉远端,绕行至气管后方,在气管和食管之间走向左肺门供应左肺。左肺动脉走形迂曲,环绕气管,常常伴随先天性气管环、气管狭窄。通常称为:环—吊带综合征。意思是这两者往往同时出现。至今业内对于环-吊带是否需要同期处理,仍存在争议。原因不外乎:风险和获益。同期手术,创伤大、手术时间长、风险高,对于小月龄婴儿来说尤其显得风险偏高,增加了术后管理的难度;同时,气管环尽管是O型环,但依然存在发育长大的可能性;而且气管环狭窄的程度也有不同。因此,并不是每一个气管环患者都需要同期手术。仔细而详尽的评估每一位患者的气道狭窄情况,通过无创的CT和有创的气管镜相结合,综合患者的基础状态,制定合理的手术方案,是每一位心外科医生要仔仔细细考量的。认识小宝妈妈7年了。抚养小宝长大,确实是一件比较困难的事。别人家的娃,感觉风一刮就长大了。小宝,风一刮,就感冒了。特别容易感冒,一感冒就肺炎。由于气管狭窄,肺里的分泌物排不出来,炎症反复,肺炎迁延难愈。小宝一年两次肺炎,一次半年。就是这样,小宝慢慢长大了。新的问题显现出来:除了容易呼吸道感染,大运动也不能做。一动就喘。这成了小宝妈妈的心病。通过门诊的初步CT评估和运动耐力的询问,我给她制定了气管手术方案和建议。妈妈带着小宝来了。我蹲下来,看着小宝微笑的双眼,说:我们今年的小目标,是让你能大口地呼吸、自由地奔跑。好不好?小宝笑着说:好!(注:本图经作者皖豫授权使用)多年来,治疗气管狭窄已经开发出许多不同的外科手术技术,包括短段狭窄的端对端吻合术、使用自体心包、气管自体移植、同种异体主动脉移植的补片气管成形术,以及目前作为主流的气管滑片成形术(Slide技术)。Slide技术是通过在狭窄段的中点切开气管,对近端和远端气管段的相对侧进行纵向切口,并进行斜向的滑动吻合。术中游离和松解气管,通过滑动缩短气管,但增加其直径。这种创新技术在世界各地的专业气道中心显示出了令人印象深刻的成果,存活率超过70%。其术后重症监护病房住院时间通常显著缩短,且并发症较少。是目前全世界通用的主流气管手术技术。小宝是懂事的宝宝,术前准备,他从不哭闹。手术如期进行。由于是二次手术,胸骨后黏连,开胸花了点时间。游离气管、分叉。长段的狭窄,将近5cm长。充分游离松解,采用经典的Slide手术方式,牺牲了2.5cm的长度,直径增加一倍,达到正常标准。气管镜清除渗出,再次检查确认吻合部位,完美。第2天,顺利撤离呼吸机。第3天,回普通病房。喘息声没有了。伴随了小宝7年的喘息声。术后2周,各方面恢复满意,呼吸道情况良好。可以出院了。我目送他和妈妈走进电梯。他回头看看我,和我招手再见,灿烂一笑。气管手术在早期的并发症主要有:吻合口漏、肉芽增生、气管再狭窄、气管软化等。随着外科技术水平及专业团队协作的提升,并发症发生率大大降低,但仍然存在。本文主人公属于大年龄患儿,术后气管软化、塌陷、肉芽增生导致再狭窄的可能性较小。但小年龄患儿,可能在术后发生气管、支气管软化,导致管腔塌陷、狭窄,甚至需要再次手术干预处理。小宝气管手术顺利恢复,得益于目前围术期的多团队协助,术前气管镜检查、术中定位、术后清理气道、远期检查评估,影像学精确评估狭窄程度、长度、解剖位置,外科团队成熟的手术方案,护理团队的物理治疗:拍背、电按摩、雾化,抗生素的合理使用。已经形成一整套完善流程。多年前,专程去上海儿童医学中心学习气管手术的情形依然历历在目。一个人,走的快;一个团队,走的远!
石卓医生的科普号
2025年02月13日
107
0
0
-
气管高位狭窄支架植入
患者甲状腺占位、食管占位压迫侵犯临近气管,导致患者呼吸困难。气管镜可见狭窄上段距离声门不足2cm,狭窄长度约3cm,气管切开困难,气管插管患者难以忍受,只能气管支架植入。气管造影可见狭窄处只有3mm。支架植入后,可见支架膨胀良好,患者无呼吸困难消失
郑大一附院郑东院区科普号
2023年05月20日
162
0
0
-
甲状腺巨大肿块致气管狭窄
男,40岁,平卧时有呼吸困难半年入院。行右侧甲状腺肿瘤切除术。术后恢复可,呼吸无困难。体会:1)这种气管狭窄需麻醉医生评估能否插管顺利。必要时备体外循环。2)术前需评估肿瘤与气管界限,是否侵犯气管。3)术中评估狭窄段气管璧有无软化。必要时预先悬吊。
杨治力医生的科普号
2022年11月14日
151
0
2
-
3岁女童患重度气管狭窄合并心脏畸形,医生一招巧“整形”
充电一小时,待机一整天。正常3周岁的小孩子精力充沛,活泼好动,跑跑跳跳。3岁的小平平(化名)在别人眼里是一个非常可爱的小姑娘,十分文静,但是体力远不及同龄人,她从不爱活动,还特别容易出汗,活动耐力越来越差。原来,命运之神频频向她伸出“魔掌”,在她的身体里埋藏了许多隐形“炸弹”。平平被医生诊断出气管及心脏多处畸形:先天性气管狭窄(O型血管环),I型桥支气管,双重血管环(肺动脉吊带,右位主动脉弓,迷走左锁骨下动脉,kommerell憩室),室间隔缺损......一长串的诊断不仅让当地医生束手无策,更让平平一家人焦虑不堪。平时照顾平平小心翼翼,连最常见的感冒发烧都让他们惶恐不安,多次求医未果,慕名来到广东省妇幼保健院。近日,广东省妇幼保健院心脏中心团队为平平巧妙设计了手术方案,用比成人发丝还细的可吸收滑线,重塑患儿气管,并为患儿完成“补心”手术,结束了一家人的噩梦。环环相扣“箍”气管,遭遇心脏畸形难上难“从孩子出生起,我们就开始了四处寻医问诊,却没找到合适的治疗方案。”平平妈妈回忆说,宝宝出生后不久因为新生儿肺炎住院,却被医生查出罕见心血管畸形:肺动脉吊带,室间隔缺损。医生说,这是人类认识最晚的一种先天性血管畸形,距今仅有百余年,发生率非常低,但婴儿期自然病死率90%以上。当地医院无条件医治,建议去北京,上海,广州这些一线城市作进一步检查治疗,但这一治,就是一场长达近3年的就医“马拉松”之路。“孩子能熬到3岁来做手术实属奇迹。”广东省妇幼保健院心脏中心黄景思主治医师解释说,入院后完善检查,我们发现平平的问题远比肺动脉吊带及室间隔缺损要复杂得多。平平患有十分罕见的双重血管环合并桥支气管,O型软骨环。本应该从主动脉弓左侧向下出发的气管选择了从主动脉弓右侧下行,而本应该从肺动脉主干发出的左肺动脉却“不走寻常路”,从右肺动脉的后下方发出来,再从气管和食管中间横穿而过,由右向左伸向左肺,像“魔爪”似地卡住患儿的气管。CT和纤支镜检查显示气管自身还存在多处问题:主气管下段长段狭窄为O型软骨环,狭窄长度长达15mm,右侧支气管不是正常起自主气管的真隆突,而是起自左侧支气管,导致右侧肺组织长期得不到充足的“养分”。这样的患者随着年龄的增长,发生肺炎,反复咳喘的概率极高,一旦起病,往往十分凶险,呛奶、呼吸道感染,都可能因一滴奶液、一滴呼吸道分泌物导致患儿的致命性窒息,难以到达医院得到有效救治。一站式手术同期解决气管心脏难题短短的6小时,医生却需要完成6个不同的手术。入院后第2天,平平就被安排手术。手术要帮平平“解放”被双重血管环“箍住“的气管,并帮他“撑开”狭窄的部分,同时还要修复心脏上的“漏洞“,手术风险和难度非同小可。消毒,切皮,游离气管,血管,切断,缝合……简短十几个字的背后却需要医生用几毫米的缝线进行外翻吻合数百次,期间要避开喉部的神经,将“迷路的”左肺动脉移回到正常位置,结扎动脉韧带,缝合憩室,从狭窄处离断气管,上下滑动成形气管,用可吸收支架外固定气管。经过奋战,医生给平平完成了气管,隆突及右中间干成形+气管外固定成形+肺动脉吊带矫治+迷走左锁骨下动脉移植+kommerell憩室+室间隔缺损修补。手术后,平平恢复十分顺利,术后第2天顺利撤机,第7天转入普通病房,第14天顺利出院。术前诊断和手术方式很关键“遗漏了任何一处诊断,轻者患者多遭一次罪,重则可能会错失治疗的良机。”广东省妇幼保健院心脏中心主任、学科带头人孙善权表示,先天性气管狭窄是一种罕见却严重威胁患儿生命的气道结构阻塞性疾病,往往与先天性血管环密切相关,如肺动脉吊带、双主动脉弓、无名动脉压迫综合征、回旋弓、右位主动脉弓并迷走左锁骨下动脉等,以及特殊类型的血管压迫,如十字交叉左右肺动脉、肺动脉走形异常、主动脉窗窄小、主动脉弓低位、中位降主动脉等,术前完善纤支镜和CT检查很关键。该病极少单独存在,与约50%气管狭窄患儿还可合并有不同程度的先心病,如果仅处理心脏畸形而不处理气管狭窄会引起反复呼吸道的感染、呼吸窘迫和严重低氧血症。危重患儿可能需要反复的气管插管和机械通气治疗。目前,虽然各种各样的气管狭窄手术方法多有报道,但具体到每一个患儿,仍然需要依据病变程度和范围,设计和选择合理的手术方法。随着技术的不断成熟,一站式同期手术解决各类气管狭窄合并心脏畸形已经成为我院心脏中心常规操作。
孙善权医生的科普号
2022年10月20日
327
0
1
-
如何解决食管癌支架植入术后压迫气道狭窄
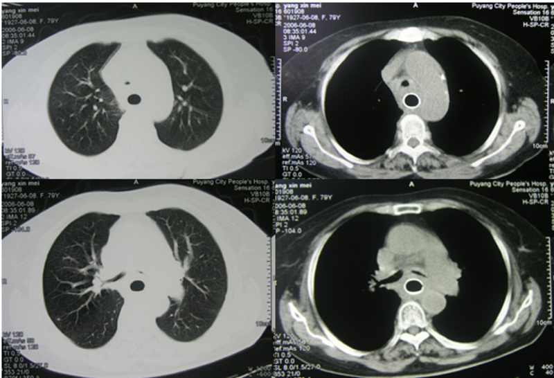
女,79岁,4个月前因食管中上段鳞癌性狭窄行食管内支架置入,能够顺利进食。20天前出现咳嗽、呼吸困难,渐渐加重,夜间不能平卧。4天前胸部SCT示:气管下段及左主支气管严重狭窄(图1)。食管支架推移肿瘤压迫双侧支气管,导致通气困难。取出食管支架前功尽弃,遂引入气道Y型支架解除气道压迫症状(图2)。CT复查主气管和支气管、食管均通畅(图3)
段旭华医生的科普号
2022年10月16日
239
1
0
-
“生命大运转”——跨越3700公里,顺利救治3公斤重度气管狭窄早产儿
2022年8月15号晚上1点,一辆来自黑龙江佳木斯的救护车停在了广东省妇幼保健院急诊门口。又一个“背着”呼吸机历经42个小时,途中两次心肺复苏抢救,从祖国的最北端,跨越多个城市,辗转3700余公里,到达最南端的广州,开启生命的“希望之门”。车上,是一名气管重度狭窄,纠正胎龄仅1个月,体重3公斤的早产儿,生命已危在旦夕。车外,是“等待已久”,随时准备好开展救治的医护人员。入院后第三天,一场长达6小时的气管、隆突、右主支气管综合成形手术顺利完成,这场手术也治愈了他的“顽疾”,让他能像正常宝宝一样自由呼吸。在这里,有来自全国各地的“气管狭窄”这样的“接力赛”在广东省妇幼保健院心脏中心屡见不鲜。1小时前,另一名同样患有桥支气管重度狭窄的小雨(化名),通过高铁转运(重庆-广州),在广东省妇幼保健院的急诊入院,顺利完成手术,拟近日出院。患有食管闭锁、气管狭窄、右心室双出口伴重度肺动脉高压等多器官畸形的艾菲莎(化名),前往3000多公里远的北京寻求医疗帮助,辗转多家医院,均因无法医治的原因被拒绝接收。最终,救护车又疾驰2000公里转至广东省妇幼保健院心脏中心,进行了一次同期手术治愈出院。8个月大的飞飞(化名),患有先天性血管环(肺动脉吊带)合并先天性气管重度狭窄,在北京某医院手术并住院长达3个多月,使用普通呼吸机都难以有效通气,在使用高频振荡呼吸机的情况下,血气二氧化碳分压高达110mmHg(正常35-45)。在孙善权主任指导下,当地医院呼吸科置入金属气管支架,改善呼吸状态,再经高铁转运至广州,最终在广东省妇幼保健院顺利手术。已经在广东省妇幼保健院治愈出院的5个月大的希希(化名),曾经从辽宁葫芦岛先后辗转沈阳、北京、济南、上海等大医院,均被告知气管狭窄蔓延至右中间干支气管,该病例属于国际上手术难题。湖南的童童(化名)如今已经像同龄人一样上了幼儿园。3年前被救护车转至广东省妇幼保健院时,才7个月大,一场咳嗽差点要了他的命,童童整段主气管广泛狭窄且严重梗阻,最窄的地方只有1.6mm,不及正常孩子的1/4。广东省妇幼保健院心脏中心是国内最早开展儿童气管成形手术的医院之一,迄今已有12余年,已完成各类型的气管狭窄成形手术达170余例,各类血管环手术已达400余例,手术总成功率约97.6%,新生儿气管成形手术成功率约96.2%,90%的病例从外地(院)转入,其中不乏来自于北京、上海、西安、武汉、成都、重庆、长沙等医疗发达都市的周边地区,30例为外院手术后遗留气管狭窄后再次手术的。把“绝望”化为“希望”从“劝家属放弃”到患者康复后“觉得不可思议”,从“孩子住进监护室我就放心”到“手术后跟正常孩子一样”,从“曾是一对绝望的父母”到“我们在黑暗中看到光明”,在广东省妇幼保健院心脏中心,这些话已成为家属和医护之间交流的“家常”。儿童中心气道狭窄性疾病多为疑难及急危重症,而先天性气管狭窄算是外科界的天花板。对于危重症先天性气管狭窄患儿,既要保证转运的安全,又要具备成功手术的硬核技术,还要兼顾术后监护的重担,每一个环节都容不得半点疏忽。在广东省妇幼保健院的心脏中心,有一支24小时随时待命的外科团队,还有一支“精通十八般武艺”的内科团队,除了掌握小儿心脏专科知识,还需精通心脏超声,纤支镜检查等技术支持。心脏中心的护士也同样像孩子的父母一样守护孩子的健康。撑起气管狭窄患者的一片天理解家属的“无能为力”,所以“竭尽全力”。“不要让患者白跑一趟”,“没有什么比孩子的命更重要”,这些话是孙善权主任的口头禅。//作为科室领头人,孙善权主任在国内率先开展回旋主动脉弓解交叉手术、降主动脉移植手术等术式,改良了传统的“滑片成形”方法,采用“气管综合成形技术”,避免术后气管发生“8”字形变形和“唇”样变形软化,2022年被邀参与《中国儿童中心气道狭窄呼吸介入与多学科协作诊疗专家共识》的编写。在他的引领下,心脏中心监护室已配备最先进的纤支镜设备,监护室医生可专业自主完成术前的纤支镜检查诊断,术中的纤支镜检查配合和术后的纤支镜复查治疗,大大方便了各类气管狭窄病例的诊治。一棵树只有一直往上长,才知道可以到达怎样的高度;一群人,只有一直往前走,才知道能够实现怎样的梦想。做小儿先天性气管狭窄的“追光者”,还在“夹缝中生存”的孩子自由的呼吸,任重道远。
孙善权医生的科普号
2022年09月13日
301
1
3
-
食管闭锁术后的先天性气管软化 需要关注的一个外科问题
气管软化是指气管软骨环与膜性组织比由4:1-5:1减小为2:1-3:1,甚至软骨环缺缺如(见图)。先天性气管软化是指气管软骨本身发育不良。继发性气管软化指外力压迫气管,如双主动脉弓、无名动脉压迫综合症等。先天性气管软化最常见的为气管食管瘘和食管闭锁,近75%患儿气管软骨周长减少及气管膜部扩大,并导致气管后壁张力降低而出现膨升,这种类型的气管狭窄与完全性气管环是两种不同的病理基础。但是临床表现相似,多见反复呼吸道感染,气促,多痰和肺功能明显减弱。我们发现,并非大多数气管食管瘘或者食管闭锁术后气管软化会随着年龄增大而改善,其本身存在异常的病理学形态就是外科干预的适应证,症状明显的患者建议早期外科手术。术前气管镜视频很好显示了这类气管软化的病理学形态,气管塌陷,后壁膨升,导致气管狭窄。旧的技术包括气管内支架容易出现气管肉芽,并发症多,尤其金属支架对气管内膜创伤大,不易取出。上海儿童医学中心心胸外科心外一病区团队,采用可吸收外支架技术,成功治愈30例先天性气管软化患儿,患儿术后症状明显改善,效果显著,值得临床推广,并应对患儿家属宣传。与完全性气管环滑片手术技术(Slide技术)不同,外支架植入不需要切开气管壁,手术创伤相对减小,并发症少。术后气管镜显示,通过外支架植入,气管狭窄明显改善。
王顺民医生的科普号
2022年09月04日
1065
2
11
-
新生儿做完肺动脉吊带和气管狭窄手术后,长大后能跟正常孩子一样吗?
儿童节免费直播义诊
2022年08月17日
152
0
0
-
气管支架治疗恶性大气道狭窄
李海涛医生的科普号
2022年07月24日
354
1
9
-
舌骨悬吊治疗效果怎样,我是舌后气道狭窄,你们医院患者做过吗可以做吗
世界保健日直播义诊
2022年07月11日
235
0
0
气管狭窄相关科普号

陶章医生的科普号
陶章 副主任医师
盐城市中医院
肺病科
1364粉丝734.9万阅读

段旭华医生的科普号
段旭华 主任医师
郑州大学第一附属医院郑东院区
放射介入科
118粉丝2万阅读

李建斌医生的科普号
李建斌 副主任医师
广州医科大学附属妇女儿童医疗中心
心脏中心
968粉丝2.2万阅读
-
推荐热度5.0王顺民 主任医师上海儿童医学中心 心胸外科气管狭窄 61票
室间隔缺损 43票
先天性心脏病 28票
擅长:擅长各类复杂先天性心脏病外科根治和简单先心病微创治疗。外科技术包括肺动脉吊带和气管狭窄滑片技术,还包括大动脉错位,完全性肺静脉异位引流,右室双出口,单心室,永存动脉干,法乐四联症,肺动脉闭锁,主动脉弓缩窄或中断,完全性房室通道等等 -
推荐热度4.6王浩 副主任医师上海儿童医学中心 心胸外科气管狭窄 31票
房间隔缺损 24票
先天性心脏病 20票
擅长:擅长房间隔缺损、室间隔缺损等常见先心病的腋下切口微创手术。 擅长法洛四联症、右心室双出口、肺动脉狭窄或闭锁、主动脉缩窄或中断、肺静脉异位引流、瓣膜疾病等复杂先心的手术治疗。 擅长双主动脉弓、右弓左迷憩室、旋主动脉弓、肺动脉吊带等各类血管环的外科诊疗。 擅长先天性气管狭窄的外科诊疗。 -
推荐热度4.4周云芝 主任医师应急管理部应急总医院 呼吸与危重症医学科肺癌 32票
气管狭窄 17票
气管疾病 10票
擅长:肺癌,良恶性气道狭窄,气道瘘封堵,顽固性气胸;开展了经支气管镜下肿瘤消融、支架置入及取出、粒子植入、光动力治疗,经皮穿刺消融肺癌,经血管介入治疗肺癌等技术