精选内容
-
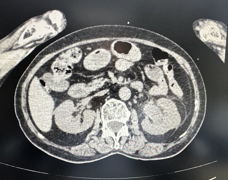
膀胱全切输尿管皮肤造口术后 肾积脓
膀胱癌术后输尿管皮肤造口患者,既往一直在外地更换支架管,近期尿液混浊 黏稠度增大,反复发热伴间断寒战,体温最高40度,于外地更换支架管无效,更换后管路迅速堵塞。来我院后完善CT检查提示左侧肾积水,PCT12ng/ml,结合临床表现考虑肾积脓可能性大。给予更换10F支架管,并在控制压力的情况下冲洗肾盂,冲出脓液约100ml,后患者尿液逐步恢复清亮,PCT恢复正常。建议皮肤造口患者尿液混浊尽早处理,积脓后风险极大,也增加了治疗难度。
北大人民医院泌尿外科科普号
2024年04月07日
97
0
0
-
肾脓肿病例二:带了10余年的肾造瘘管,终于能够拔掉了
肾脓肿是泌尿外科相对少见的疾病,虽然是良性的,但是患者可能出现高热、腰痛、腹痛等临床症状,严重影响患者的生活质量。这位女性患者,今年60岁。20年前因为输尿管结石做过体外冲击波碎石术,18年前在外院做了右肾造瘘术,9年前在我院再次做了右肾造瘘术。这么多年来,患者一直带着右肾造瘘管,每隔一段时间就要定期更换,里面还是经常引流出脓性液体。一方面,因为脓肾切除的手术难度大,多数医院和医生不愿意做这个手术;另一方面,患者自己觉着右肾还有一些功能,也不愿意切除它。患者最近又出现腰腹部疼痛症状,来我们医院就诊,做CT检查发现:右肾造瘘术后,右肾脓肿,右肾及输尿管多发结石。正所谓祸不单行,患者左肾也有多发结石。为了评估双肾功能,我们做了肾动态+GFR(肾小球滤过率)检查。结果提示:右肾血流灌注差,功能重度受损,左肾血流灌注及功能正常。患者面临的情况就是:1.右侧脓肾,功能显著下降,已经带肾造瘘管10余年;2.左肾功能正常,但是存在多发结石。与患者及家属反复沟通病情及治疗方案,后来选择开放手术切除右侧脓肾,然后同时行左侧超细肾镜的微创手术以完全清除左肾结石。一次麻醉,解决了困扰患者的两大问题。术后1个月,患者来我们医院复查,拔除了左侧输尿管支架管,右侧腰部切口也愈合很好。患者带了10多年的造瘘管,终于说再见了!
朱照伟医生的科普号
2023年11月28日
227
0
1
-
脓肾、无功能肾
李彬彬医生的科普号
2023年11月24日
71
0
0
-
结石引起的脓肾,耽误不起
近日,收治了一名女性患者,主因“左腰部疼痛1天”入院。入院查血常规,血象,中性粒细胞升高,提示感染。查肾功能示:血肌酐升高为393umol/L,肾小球滤过率降低至12.3。患者泌尿系CT显示左肾积水严重,一枚大结石堵在输尿管里,右肾多发结石。考虑患者结石引起严重积水并有感染征象,高度怀疑肾积脓可能。故急诊行B超引导下经皮左肾穿刺造瘘术。术中情况:术前检查的肌酐和肾小球滤过率和术后的对比:明显改善术前,术后CT对比,积水明显减轻;左肾造瘘位置良好。患者目前恢复良好,待II期行经皮肾镜碎石取石术。温馨提示:肾内大结石早期往往没有任何症状,一旦出现感染或充满集合系统就会带来严重的后果,即肾积脓,肾功能严重受损。所以患有肾结石的患者一定要早发现,早处理,避免严重并发症的出现而后悔莫及。
黄真医生的科普号
2023年06月20日
118
1
1
-
肾积脓怎么办?常规穿刺造瘘引流二期手术?有没有更加安全有效的方法?
近日泌尿外科初收治一名女性患者,56岁,反复左侧腰背部不适,伴发热,体温最高39°C,伴纳差,恶心等症状。急诊行全泌尿系CT提示:左肾积水,左输尿管上段结石,左肾多发结石,左肾周渗出明显。入院治疗抗炎3天效果不理想。考虑左侧脓肾可能性大。上尿路梗阻性疾病常引起肾功能损害,或伴感染积脓,急性梗阻性肾盂化脓,如果不及时引流,其引起的脓毒血症及感染性休克死亡风险高。及时解除梗阻是临床治疗的关键。经皮肾穿刺造瘘(PCN)是一种暂时或永久性解除尿路梗阻的微创手术。常规来说可以考虑超声引导下经皮肾穿刺造瘘术,能快速有效地解除梗阻和控制感染,保护肾功能,同时为下一步的诊断和治疗创造有利条件。存在问题:1.合并肾内多发小结石,细小结石容易堵塞造瘘管,造成引流不畅,2.脓液粘稠也容易引流不畅,3.需要二期甚至三期手术,增加住院时间及患者经济负担。现在是按照传统做法,直接置管引流,临时解除梗阻?有没有更好的方法,安全、快速的彻底解除梗阻?
刘启明医生的科普号
2022年05月21日
378
0
0
-
嵌顿性输尿管结石完全性梗阻导致的脓肾
有些输尿管结石梗阻时间太长,引起发热、脓肾导致引流大量脓液,需要及时控制手术时间,以保护肾脏、控制感染、预防尿源性脓毒血症引起的败血症、感染性休克为主,碎石已经是次要的了,可以感染控制以后二期处理,以免引起严重并发症危及生命。输尿管结石梗阻时间太长,对肾功能损伤很大对于一些难以排出的陈旧性脓苔可采用PCN负压清除,但对于尿源性脓毒血症要加以重视术后白细胞<4×109/L。目前初步认为亚胺培南、去甲肾上腺素、晶体冲击治疗感染性休克有一定积极意义。全身炎症反应综合征(SIRS)诊断标准包括:①体温>38℃或<36℃;②心率>90/min;③呼吸>20/min或PaCO2<32.25mmHg;④术后白细胞>12×109/L或<4×109/L。上述4项标准符合≥2项者诊断成立。术前陈旧性脓苔大量脓苔固化形成结石样组织,ct值约119-226左右有些输尿管结石导致脓肾,萎缩肾晚期只能手术切除,由于慢性感染导致与肠管,下腔静脉粘连明显,手术时要尤为注意。有些固化的脓苔仅凭内支架引流是不够的,还需要经皮肾途径清理、引流。术后一年复查改善明显有些输尿管狭窄患者长期留置输尿管内支架管需要定期复查检测,以免出现支架管移位、尿源性脓毒血症和感染加重。引流脓液肾功能恢复一月后再次行二期PCNL
丁翔医生的科普号
2022年05月19日
331
0
1
-
感染梗阻因素导致脓肾的治疗
脓肾是一种严重的肾脏化脓性感染,肾实质组织遭到广泛性破坏,大量坏死组织与肾脏形成一巨大脓腔。可由肾皮质化脓性感染未能控制发展而来,也可由肾结石、肾盂肾炎、肾结核、肾积水等疾病发展过程中合并尿路梗阻、感染所致。病理表现肾脏组织严重破坏,肾内为大量脓液所充斥,治疗上在合理使用消炎药物基础上,病情严重者需要进行肾脏切除术,若治疗不及时可能发生严重并发症导致患者死亡。CT可以显示肾实质中形态不一、边缘模糊的混合密度肿块,中央为低密度,增强扫描示肾实质增强明显降低,肾盂肾盏不显影等尿路情况。脓肾需合理应用抗生素,根据情况可穿刺引流缓解症状,缓解感染中毒性休克症状。病情严重者,若肾功能不能恢复,对侧肾功能正常,可以将功能丧失的脓肾切除,同时给予退热、营养支持、改善症状的支持治疗,治疗周期不少于4~6周。血常规可有白细胞升高,PCT、CRP等感染指标升高X线腹部平片可以帮助排除有无其他肾脏病变,检查可见肾影不清,有时可发现尿路结石。????有些结核引起的脓肾,需要足量全程的抗痨治疗。有些患者感染控制不佳会逐步出现双侧肾脏感染??有些老年糖尿病女性患者对于感染的抵抗力相对较差,并发感染性结石引起梗阻时往往容易引起并发脓肾。感染性结石长期不治疗导致脓肾
丁翔医生的科普号
2020年12月01日
1023
0
1
-
NO.122 肾积脓
肾积脓又名肾脓,是一种极为严重的肾化脓性感染,肾组织广泛性破坏,致使全肾形成一脓囊,功能丧失。陈双全医生门诊时间:每周五下午(普泌),每周六下午(男科)。地址:四川省南充市顺庆区—茂源南路1号—川北医学院附属医院—泌尿外科
陈双全医生的科普号
2019年12月18日
1432
0
0
-
尿路结石与全身炎症反应综合征、脓毒血症、感染性休克
结石引发的梗阻及并发的感染、碎石术导致结石内部的细菌及致热原的释放都是引发尿路感染或者全身炎症反应综合征(SIRS)甚至尿脓毒血症的重要因素。经皮肾镜碎石取石术和逆行途径的肾内手术(RIRS)是目前治疗上尿路结石常用的微创手术方式,此两种手术围手术期都存在感染性并发症发生的风险,严重时会并发尿脓毒血症。尿脓毒血症即由尿路感染引起的脓毒血症。当尿路感染出现临床感染症状并且伴有全身炎症反应征象即可诊断为尿脓毒血症。虽然脓毒血症的主要病原体是革兰阳性菌,但尿脓毒血症主要是革兰阴性菌,且真菌引起的脓毒血症比率逐渐上升。真菌性尿脓毒血症并不常见,多见于二重感染及长期留置输尿管导管的状态下,应引起足够重视。目前初步认为亚胺培南、去甲肾上腺素、晶体冲击治疗感染性休克有一定积极意义。SIRS诊断标准包括:①体温>38℃或<36℃;②心率>90/min;③呼吸>20/min或PaCO2<32.25mmHg;④术后白细胞>12×109/L或<4×109/L。上述4项标准符合≥2项者诊断成立。2015年04月急诊患者:患者,女,62岁,张家港人,右侧腰痛一月,有结石史5年,仅行排石治疗一次,一直未予重视,一月前出现右腰痛低热,与当地诊所消炎解痉治疗,效果不佳,且逐渐出现高热39.5℃、右腰痛加剧,遂来我可求诊,入院诊断为右肾输尿管连接结石嵌顿,右肾多发结石,右侧脓肾,右肾重度积水,入院后积极调整抗生素,患者血象从入院时白细胞15.55×109/L,下降至6.1×109/L,腰痛有所缓解,体温下降至37.2℃,鉴于考虑右侧脓肾患者病情已趋平稳,遂行右侧经皮肾穿刺引流脓肾,穿刺成功引流出大量脓液,但10分钟后患者立即出现寒战,发抖以致无法言语,并逐渐出现谵妄,低血压,遂立即开展针对脓毒血症抢救治疗,两周后方逐渐平稳,后行腹腔镜下右侧脓肾切除术,患者经我们医护人员精心抢救,并一度进入ICU行血滤治疗,最后在死神面前抢回一条命,医疗费用巨大。CT显示右肾输尿管连接2cm左右不规则结石嵌顿,并导致右肾下极感染继发性的结石形成血象显示白细胞计数如同-----过山车样-----惊悚,这对医生绝对是压力山大嘿腹腔镜下脓肾切除可见大量砂砾样结石和那枚元凶结石,肾脏萎缩,皮质菲薄,内可见大量絮状脓苔样改变,以我们中心治疗结石多年的经验,此类脓肾千万不要盲目自信保留,否者后患无穷,切记。术后病理提示:脓肾合并尿路上皮癌国外有报道认为结石刺激导致的最常见的尿路上皮肿瘤为鳞状细胞癌;中国台湾的研究提示结石刺激引起尿路上皮癌更多见,此外,还有报道认为结石刺激导致肾细胞癌的概率可能高于尿路上皮癌。目前此类现象尚无定论,综合各类文献,我们初步认为肾结石是肾盂肿瘤的发病的高危因素,且以尿路上皮癌和鳞状细胞癌较为常见。肾结石引起肾盂肿瘤可能的发病机制包括:(1)结石本身对肾盂黏膜的长期机械性刺激,结石的慢性刺激可引起肾盂鳞状上皮和腺上皮化生、恶变;(2)结石合并感染后对肾盂黏膜的慢性炎症刺激;(3)结石合并梗阻,致使尿液淤滞,尿源性致癌物对肾盂黏膜的长期作用。尿路结石伴梗阻积水时,肾脏受积水长期压迫发生萎缩,肾脏发生缺血性变化,因此,肿瘤往往发展缓慢,临床特征隐匿。一旦手术去除结石,解除梗阻,肾脏供血得以改善,肾盂肿瘤往往迅速发展,如果不及时诊断和治疗,预后很差。2019年06月手术患者,女性,65岁,盐城市人,右侧腰痛不适十余年,加重一周入院,十年来患者自觉右酸痛一直未予重视,近期来子女带其到上海一三甲医院体检发现右肾多发结石,右肾重度积水,右肾皮质萎缩,GFR:左肾GFR:27.0ml/min,左肾功能中度下降,右肾GFR:0.64ml/min,右肾已丧失功能,肾功能:Cr120umol/L;遂来我院求诊;术前诊断:右肾多发结石,右肾重度积水,右肾无功能,鉴于左肾盂输尿管连接部结石梗阻时间太长,右肾已无功能,实质萎缩,呈皮囊样改变,最终只能行腹腔镜下右侧肾输尿管切除术,一并取出皮囊肾和右肾多发结石。CT检查提示:右肾多发结石,右肾重度积水,右肾皮质萎缩,左肾窦钙盐沉积,左肾小囊样低密度灶。术后腹膜后减压渗出明显,予以输血对症处理术中发现肾动脉纤细,萎缩明显肾静脉萎缩,汇入中央静脉萎缩肾脏呈皮囊样改变,皮质菲薄肾结石由于嵌顿时间过长,引起肾盂肾盏分隔形成,互相并不连通,形成包裹性的感染灶2016年5月PCNL手术患者,女性,47岁,左肾铸型结石,左脓肾,经皮肾穿刺引流出大量脓液,2周后行PCNL治疗PCNL术中沿原先穿刺通道进入集合系统,可见大量脓苔及疤痕等炎性组织大量脓苔附着于结石表面患者为感染性混合结石,质地松脆,予以清除,尽可能缩短手术时间,防治脓毒血症发生。2017年3月PCNL手术患者,女性,52岁,右肾多发结石,右脓肾,右孤立肾,糖尿病,患者因右侧腰痛伴反复发热两周,来院后经抗炎治疗后行经皮右肾穿刺引流出大量脓液,终止手术,充分引流1月后再行PCNL治疗。PCNL术中扩张进入集合系统,见大量脓液涌出,需立即中止手术,防止尿源性脓毒血症发生,否则患者有因感染性休克死亡的风险。一月后沿原先穿刺通道进入肾盂及肾盏,仍可见引流不畅的肾盏内结石表面仍有可见少许脓苔及炎性组织清除结石后可见肾乳头由于慢性炎症都已经坏死,此脓肾已经达到肾切的标准,只是由于病人为只有一个肾脏的孤立肾患者,一旦切除,患者只能血透治疗了,与患者家属沟通后,医患双方都冒着巨大风险来进行了保肾的手术,以延长患者达到需要血透治疗的时间而已,这一类感染性结石引起的脓肾往往即使结石清除,但由于肾实质内的慢性炎症长期存在,肾脏会逐渐萎缩失去功能,或脓肾迁延不愈甚至形成窦道,预后极差。2018年11月手术患者,男性,77岁,张家港人,右侧腰酸不适两年伴反复发热三周入院,既往患者有右肾囊肿、和糖尿病史,两年来患者自觉右侧腰酸未予重视,三周前自觉右侧腰痛明显加剧,且出现发热畏寒,体温波动于38-39度左右,于当地医院消炎补液解痉无效后,CT:左肾囊肿,右肾多发复杂性囊肿,双肾结石、右肾积水,右侧输尿管上段结石约1.0cm;肾功能:Cr130.1umol/L;尿常规:WBC1411.67/HP,C反应蛋白57,鉴于右输尿管结石梗阻时间太长,右肾已形成感染灶,且炎症指标明显升高,右肾区叩击痛明显,考虑脓肾可能性极大,遂行右侧经皮肾穿刺引流术,留置一根肾造瘘管于肾囊肿感染灶、另外一根置于肾盂,均引出大量脓液,积极控制感染一周,择期行输尿管镜下钬激光碎石术。研究结果发现,对于直径>2.5cm的肾结石伴或不伴肾积水,中段尿培养阴性的情况下,使用预防性抗生素组术中发现肾盂尿及结石培养阳性的比例更低,术后发热机率更低,可降低脓毒血症及内毒素血症风险分别达69%及78%。从统计分析显示以上措施可减少术后SIRS?的发生,但不能杜绝其发生,只是对术后多数SIRS患者治疗有利。这说明在目前的医学条件下开展针对结石的相关手术尚不能完全避免SIRS、脓毒血症、感染性休克的发生,对于结石病人来说“结石要肾,而感染要命”这句名言,绝对不是唬人的,值得医患双方重视。双侧输尿管结石、石街引起尿路梗阻需要及时行经皮肾穿刺,解除梗阻,保护肾功,降低感染因素。2019年1月右肾下盏结石合并感染,控制感染后一期行输尿管软镜下套石篮取石术。软镜视野下可见右肾下盏大量脓苔予以冲开脓苔方可见伴脓苔附着的感染性结石予以套石篮完整套取结石由于患者为反复多发结石体质,曾经过多次开放手术,PCNL和软镜治疗,输尿管已扩张明显,遂直接将结石沿扩张的输尿管套出取出的结石可见脓苔附着结石分析提示为感染性含钙混合结石大肠杆菌等产气细菌导致的感染对于一名专业治疗结石的医生来说,无论您的手术技艺多么高超,您治疗的结石病人越多,您就会遇到更多的患者发生RIRS、脓毒血症;既然命中注定,躲是躲不掉的,我们医生需要时刻保持一颗敬畏之心,术前充分准备,加强抗感染;术中发挥技术熟练的特长,减少肾内压,缩短手术时间;术后加强监测指标,争取做到早发现、早治疗。SIRS、脓毒血症、和感染性休克是一个连续的临床过程。与其他脓毒血症一样,影响尿脓毒血症预后的一个关键在于患者能否得到早期的诊断和治疗。需要对尿脓毒血症患者严密监测。其主要措施包括,保证引流通畅、提高器官的灌注水平、充分的生命支持治疗以及合适的抗生素药物治疗。
丁翔医生的科普号
2016年08月10日
10403
0
2
-
肾周脓肿有哪些症状?
常见白细胞增多和脓尿,但并非所有病人都有。大多数病人尿培养阳性,血培养阳性者占20%~40%,肾周脓肿在临床上与急性肾盂肾炎的不同之处是:前者在住院前已有较长时间的症状,且抗生素治疗开始后仍长期发热;肾周脓肿的症状一般持续5日以上,而急性肾盂肾炎一般短于5日。超声检查通常可显示脓肿,但CT是最可靠的检查方法,几乎所有的肾周脓肿均可被CT测出,X线胸部检查约半数病人有异常,可见同侧肺炎,肺不张,胸腔积液或患侧横膈抬高,约有半数病人腹部平片也有异常,可见肿块,结石,腰大肌阴影消失和产气菌感染引起的肾周区肠外气体。排泄性尿路造影可见肾脏不影或显影很差,肾盏变形,肾脏向前移位和单侧肾脏固定,X线透视或呼气/吸气期拍片显示的结果最清楚。
孙伟桂医生的科普号
2011年10月18日
4735
0
0
肾脓肿相关科普号

唐旭医生的科普号
唐旭 副主任医师
北京大学人民医院
泌尿外科
310粉丝394阅读

陈双全医生的科普号
陈双全 副主任医师
川北医学院附属医院
男科
4931粉丝84.3万阅读

王伟医生的科普号
王伟 主任医师
上海市公共卫生临床中心
泌尿外科
1740粉丝15.1万阅读
-
推荐热度5.0宁豪 副主任医师山东省立医院 泌尿外科前列腺癌 21票
肾肿瘤 20票
前列腺增生 7票
擅长:对泌尿外科重大疑难疾病的诊治经验丰富,擅长前列腺癌、膀胱肿瘤、肾肿瘤、肾上腺肿瘤及前列腺增生等泌尿生殖系统疾病的诊断及微创治疗。尤其擅长前列腺癌的精准诊断及个体化治疗(超声引导下前列腺穿刺活检、保留性神经的腹腔镜前列腺癌根治手术、前列腺癌的放射性粒子植入治疗、去势抵抗前列腺癌的治疗等),前列腺增生的微创手术,肾肿瘤的保留肾脏腹腔镜微创手术,膀胱癌的保留膀胱综合治疗,腹腔镜膀胱全切+原位新膀胱术,男科显微镜手术等微创手术。 -
推荐热度4.7陈奇 主任医师上海交通大学医学院附属仁济医院(东院) 泌尿外科肾结石 329票
输尿管结石 71票
泌尿系结石 20票
擅长:泌尿系结石的诊治:微创手术(经皮肾镜、输尿管软镜等,尤其擅长超微通道经皮肾镜取石术UMP);内科排石、预防结石的治疗。上尿路肿瘤的腔内微创治疗。梗阻性肾病的治疗。泌尿外科其他腔内手术。 -
推荐热度4.6王科 主任医师青岛大学附属医院 泌尿外科肾肿瘤 71票
前列腺增生 58票
前列腺癌 33票
擅长:擅长泌尿系肿瘤诊治和泌尿外科腹腔镜手术。