精选内容
-
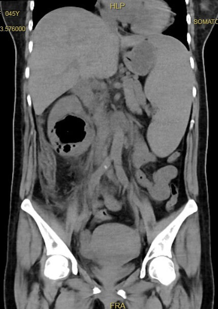
气肿性肾盂肾炎的诊断与处理
气肿性肾盂肾炎(EPN)是一种肾实质、集合系统与肾周的产气感染,是一种少见的肾脏严重急性感染性疾病,发展迅速,病情危重,死亡率比较高。主要以肾实质及周围组织弥漫性坏死、肾盏及肾周筋膜产生大量气体为特征。肺气肿性肾盂肾炎(EPN)是最严重的尿路感染类型之一。EPN是一种肾脏的急性坏死性感染,通常与高肾丢失率和死亡率有关。EPN感染的症状可以是非特异性的,但发热、胁腹痛和恶心的临床三联征是最常见的表现。最佳EPN治疗是有争议的,在早期研究中建议进行紧急肾切除术,而最近的证据支持更保守的方法。大肠杆菌、肺炎克雷伯菌和奇异变形杆菌是最常见的病原体。建议最初使用广谱抗生素,例如第三代或第四代头孢菌素类和碳青霉烯类药物。糖尿病、梗阻性尿路病和高血压是最常见的危险因素,往往需要同时治疗。紧急引流用较大尺寸的引流管指示,以达到更好的引流功能。CT引导比超声引导下的插入成功率更高。肾切除术应保留为保守治疗无效患者的最后手段。病因:1.未能有效规范控制血糖:糖尿病患者居多,控制不佳的高血糖,导致免疫力低下,为细菌生长提供有利条件。2.泌尿系统梗阻:主要为泌尿系结石或肿瘤导致。3.产气菌导致尿路混合性感染:主要为大肠埃希菌,这类细菌易酵解葡萄糖,产生大量乳酸和二氧化碳。4.免疫力低下:免疫缺陷、器官移植、大量激素使用患者。影像学检查:CT具有不受前后重叠、气体干扰等优越性,是目前诊断本病最佳方法之一,具有很高的敏感性、特异性及准确性,特别是CT多平面重建能够清晰显示泌尿系的梗阻部位和性质,可以明确病变的范围及严重程度,为临床诊断及治疗方案提供重要的参考价值。CT表现:肾脏体积增大,轮廓模糊,肾实质广泛破坏,并产生大量气体分布于肾实质、肾盂、输尿管及肾周间隙。累及肾周筋膜可形成肾周脓肿。实验室检查:白细胞计数明显增高,大部分糖尿病患者检测血糖明显升高或尿糖阳性,尿培养检出大肠杆菌,严重者出现肌酐明显升高等肾功能损害表现。临床表现:一般表现为腰痛、发热,部分并伴有寒战、呕吐,严重者可意识错乱、休克昏迷及发生急性肾衰竭等危急症状。查体肾叩痛是常见体征。抗生素:严重感染的治疗应始终从积极复苏开始,包括提供足够的静脉补液、供氧、胰岛素介导的血糖控制和广谱抗生素。经验性抗生素可降低革兰阴性全身性感染病例的死亡率。抗生素的选择必须对常见细菌有效,如大肠杆菌、肺炎克雷伯菌和奇异变形杆菌。其他致病微生物包括铜绿假单胞菌和肠球菌属。EPN的首选单药治疗应对这些最常见的病原体有效。推荐使用第三代或第四代头孢菌素和碳青霉烯类药物。联合治疗,例如使用阿米卡星和第三代头孢菌素,是一种替代策略,因为大肠杆菌、肺炎克雷伯菌和奇异卟啉单胞菌的耐药率较低。EPN可分为复杂性尿路感染或尿道脓毒症。在这两组中,通常建议治疗7-14天。但持续时间应与基础疾病的治疗密切相关。因此,我们建议在治疗这些患者时连续使用抗生素2周。在轻度疾病中,抗生素治疗至少1周仍然是必要的。引流:为了获得更好的引流,建议使用更大尺寸的引流管,最好在CT引导下插入,这比在超声引导下插入的成功率更高[33]。对于包裹性脓肿或多发性脓肿病例,应使用多根导管。引流管应保留在原位,直到随访CT显示EPN特征消退。建议在初始治疗后4-7周进行随访CT扫描,以评估结局并确定是否需要进一步的侵入性操作[34]。不幸的是,尽管有证据表明药物治疗结合充分引流可以提供更好的治疗结果,但由于缺乏比较研究,哪种类型的引流是最佳的仍然未知。由于大多数已发表的证据都是基于PCN的使用,因此药物治疗联合PCN可被视为轻度患者的标准疗法。切肾:在过去的20年里,EPN的治疗偏好发生了很大变化。在早期研究中,肾切除术被认为是EPN治疗的最佳治疗策略,一些报道显示,与手术治疗相比,药物治疗的死亡率更高。目前,EPN的首选治疗方法已从侵入性手术发展到更保守的方法,这可能是由于影像学检查方式和抗生素使用的改进以及引流技术的进步,这些因素共同将EPN的相关死亡率降低至21%;尽管肾切除术已成为不太受欢迎的一线治疗选择,但对于保守治疗失败的患者来说,它仍然是一种重要的治疗策略。对于EPN控制不佳且对药物治疗和经皮引流无效的患者,后续仍需行肾切除术。
丁翔医生的科普号
2024年10月22日
229
0
0
-
女性是否应该更重视非复杂性尿路感染?
非复杂性尿路感染(uncomplicatedUTIs,uUTIs),大肠杆菌是最主要的致病菌;而在有泌尿系统疾病的病人身上,主要致病菌则是肠杆菌及肠球菌。尿路感染占社区感染的第2位,女性发病率远高于男性在女性中,年龄每增加10岁,发病率便增加1%。约有10%的女性每年会发生一次尿路感染,第一次发生尿路感染后有30%-50%的女性患者在1年内会再次发生感染。约有60%的女性一生中至少发生一次尿路感染。存在下尿路症状并排除妇科疾病或其他引起膀胱过度活动症状的疾病即应考虑非复杂性膀胱炎:1)常突然发病。2)临床表现为尿频、尿急、尿痛、耻骨上膀胱区或会阴部不适、尿道烧灼感。3)尿液浑浊,常见终末血尿,有时为全程血尿,甚至有血块排出。4)一般无全身症状,体温正常或仅有低热。5)在老年女性患者中,泌尿生殖系统症状不一定与膀胱炎有关。诊断非复杂性尿路感染实验室检查很重要!实验室检需要:1.尿常规:亚硝酸盐阳性可提示革兰阴性菌的存在;白细胞酯酶提示尿液中白细胞的存在2.血常规:如果出现发热应行血常规检查,急性肾盂肾炎常见血白细胞、中性粒细胞升高,急性膀胱炎可无上述改变3.尿涂片镜检细菌:能快速诊断有意义细菌尿,但有假阳性和假阴性的可能4.尿细菌培养:推荐适用于下列患者:怀疑急性肾盂肾炎患者;症状没有缓解或在治疗结束2~4周复发患者;症状不典型的女性患者。对于非复杂性尿路感染,我们要分清几种情况,针对性治疗:1.绝经前非妊娠女性急性非复杂性膀胱炎的治疗(1)短程抗菌药物疗法一线治疗可选择采用磷霉素氨丁三醇(3g隔日1次,共1-3次)呋喃妥因(100mg每日3次,连用5日)左氧氟沙星(500mg每日1次,连用3日)第二代头孢菌素(如头孢呋辛酯、头孢克洛等)若所在地区的大肠埃希菌耐药率<20%,可选复方新诺明(160/800mg,每日2次,连用3日)治疗绝大多数急性非复杂性膀胱炎患者经短程疗法治疗后,尿菌可转阴.(2)对症治疗治疗期间多饮水,可有效减少复发。可用抗胆碱能类药物缓解尿频、尿急等症状国内有学者报道,对首次发生下尿路感染者,可选择单次使用抗菌药物,而对有多次发作史者,给予3-5日疗程可降低尿路感染的再发率2.绝经后女性急性非复杂性膀胱炎的治疗治疗方案同绝经前非妊娠女性的急性非复杂性膀胱炎。有研究表明,阴道局部使用雌激素霜剂(雌三醇乳膏)可使绝经后妇女泌尿生殖道萎缩的黏膜恢复,并增加阴道内乳酸杆菌的数量,降低阴道pH,从而有利于预防尿路感染再发。长期使用雌激素可能会增加女性肿瘤的发病率,故应在妇科医师的指导下应用。3 .非妊娠女性急性非复杂性肾盂肾炎的治疗急性肾盂肾炎常累及肾间质,有发生菌血症的危险,应选用在尿液及血液中均有较高浓度的抗菌药物其治疗原则是:控制或预防全身脓毒症的发生消灭侵入的致病菌预防再发轻症患者在致病菌的特性和药敏试验结果尚不清楚情况下,不推荐选用氨苄西林或第一代头孢菌素作为急性肾盂肾炎首选治疗药物,因为现已发现约有超过60%的大肠埃希菌对它们耐药在大肠埃希菌氟喹诺酮类药物耐药率低于10%的地区,推荐使用喹诺酮类药物作为一线治疗方案目前推荐用于非复杂性肾盂肾炎口服经验治疗的抗菌药物为氟喹诺酮类(环丙沙星:500mg每日2次,连用7日;左氧氟沙星:500mg每日1次,连用5日)和第二、三代头孢菌素类对氟喹诺酮类过敏或者已知耐药的情况下,如果病原体敏感,可使用复方新诺明(160/800mg,每日2次,连用14日)或第二、三代头孢菌素类药物如果用药后48~72小时仍未见效,则应根据药敏试验选用有效药物治疗。治疗后应追踪复查,如用药14日后仍有症状,则应根据药敏试验改药,再治疗6周重症患者采用静脉用抗菌药物进行治疗,可选用氟喹诺酮类,氨基糖苷类,第三、四代头孢菌素仅在具有早期培养结果表明存在多重耐药菌的患者中考虑使用碳青霉烯类药物对于出现尿脓毒血症的患者,有必要对产超广谱β-内酰胺酶(ESBLs)的病原体进行经验性抗菌药物覆盖最初接受静脉用抗菌药物治疗的患者,在临床症状改善并且可以口服抗菌药物时应转为口服抗菌药物序贯治疗,疗程7~14天
钟山医生的科普号
2024年06月13日
728
0
4
-
复杂病例:双J管留置8年,双肾、输尿管多发结石,重度积水,左肾包膜下血肿,发热40度(BL001)
5月18日入院的一位患者,病例编号:BL001。持续更新该患者后续治疗过程。时间引导线:2024年5月18日入院:右侧双J管留置8年,双肾、输尿管多发结石,双肾极重度积水,左肾包膜下血肿,肾功能不全,急性肾盂肾炎,发热40度。2024年5月19日急诊行经尿道左输尿管支架置入+右肾穿刺引流术。2024年5月21日腹部平片提示右侧输尿管内为两根双J管,其中一根已断成3段。2024年5月29日全麻下行经尿道膀胱钬激光碎石(双J管表面)+膀胱段双J管取出+腹腔段双J管②取出+左输尿管支架置入+右侧经皮肾镜碎石+右侧输尿管支架①拔除+输尿管支架②肾脏段取出+右侧输尿管支架置入。输尿管支架取出并置换全过程手术视频2024年5月31日CT可见左肾包膜下积血已液化,对左肾组织压迫严重,左肾周渗出较前明显。2024年6月4日患者持续左腰痛,低热,考虑与左肾包膜下血肿有关。超声引导下行左肾包膜下血肿穿刺,抽出积血340ml。穿刺前超声下已难以辨别肾脏形态,穿刺后,压迫解除,肾脏形态逐渐清晰。2024年6月5日拔除右肾造瘘管。2024年6月6日拔除导尿管。2024年6月7日出院。拟1月后返院,处理左侧输尿管及左肾结石。详细病情:患者,男,47岁,8年前于上海某医院行右肾结石手术(开放),术后右侧输尿管支架置入,后医生告知需长期留置双J管,或选择行肾造瘘(具体原因不详,估计是输尿管狭窄),患者选择留置双J管,术后2月成功更换1次,医生告知此管可留置1年。不到1年时,患者前去更换,更换失败,医生告知无法拔出(患者如此陈述,具体不详)。后辗转多家医院,未果,一直留置至今。2024年4月11日就诊我院,CT提示双肾重度积水,皮质变薄,左肾尚无包膜下出血,具体如下。门诊医生建议上级医院进一步治疗。(患者未行治疗)2024年5月18日凌晨3点,突然出现左侧腰腹部疼痛,持续性绞痛,稍剧尚可忍,伴发热,体温最高40℃,无寒战肢冷,无恶心呕吐。就诊我院急诊,CT、血常规、肾功能(Cr188umol/L)结果如下。拟“泌尿系结石”收住入院。入院测体温37.5℃,左侧腰痛明显,予止痛治疗后好转。查尿白细胞:1731/ul。PCT:12ng/ml。目前予舒普深抗感染、止血、绝对卧床休息等对症治疗。I期处理方案2024年5月19日复查肌酐:217umol/L,血白细胞:10.11×10^9/L,CRP:211mg/L。持续左腰腹疼痛。急诊行经尿道左输尿管支架置入+右肾穿刺引流术,备左肾穿刺引流术(经尿道左输尿管支架置入失败后选择)。经尿道输尿管镜下左输尿管支架置入术,进入膀胱,见膀胱内尿液浑浊,右侧输尿管支架表面完全被结石覆盖,左侧输尿管开口结石堵塞,经反复推顶,略有松动后,置入导丝,该结石松动退回至输尿管,导丝引导下置入6F双J管顺利。留置导尿,尿液为脓白色。具体手术过程如下:右肾穿刺引流过程:2024年5月20日:术后至次日生命体征均平稳,左侧腰痛缓解。复查血白细胞,肌酐较前降低(217umol/L将至177umol/L)。美罗培南抗感染治疗。2024年5月21日:尿培养:优美颗粒链菌,美罗培南敏感。复查尿常规WBC3386/ul。继续美罗培南抗感染。查腹部卧位平片,才发现原来右输尿管内留置的双J管为两根,其中一根已断为3截,一段在肾脏,一段在输尿管,一段在膀胱。影像图片如下:双J管2已自然断裂,术中可能钳夹困难,难以完整取除。这无疑又增加了手术难度。II期处理2024年5月29日全麻下行:先截石位:经尿道膀胱钬激光碎石(双J管表面)+膀胱段双J管取出+腹腔段双J管②取出+左输尿管支架置入改90°左侧卧位:右侧经皮肾镜(通道22F)双J管表面碎石+右侧输尿管支架①拔除+输尿管支架②肾脏段取出+右肾下极大量椭圆形结石碎石取石。经肾镜通道,见肾盂输尿管交界处扭曲、黏膜增生水肿,无法找到正常通道。改截石位:输尿管镜沿右侧输尿管上行通过盂管交界处狭窄,进入肾脏,导丝引导下置入6F肿瘤支架管1根。取出的两根右侧输尿管支架,输尿管支架①原为完整1根,于输尿管开口处激光截断,故为2段。输尿管支架②为三段:膀胱段、腹腔段、肾内段。支架管①支架管②2024年5月31日(夹闭右肾造瘘管状态下)CT可见右肾积水明显缓解,右肾多发结石(较前减少),右侧输尿管支架位置正常。但左肾包膜下积血已液化,对左肾组织压迫严重,左肾周渗出较前明显。2024年6月4日患者持续左腰痛,低热,考虑与左肾包膜下血肿有关。超声引导下行左肾包膜下血肿穿刺,抽出积血约340ml。穿刺前超声下已难以辨别肾脏形态,穿刺后,压迫解除,肾脏形态逐渐清晰。穿刺后腰痛缓解,体温恢复正常:2024年6月5日拔除右肾造瘘管。2024年6月6日拔除导尿管。2024年6月7日出院,总共花费约3万元。III期处理拟1月后处理左侧输尿管及左肾结石。持续更新,欢迎关注。
嘉兴中医医院科普号
2024年05月20日
1862
2
3
-
怎么判断肾于肾炎?
曹志强医生的科普号
2022年11月17日
93
0
0
-
穿刺活检对肾脏有伤害吗?
肾脏疾病种类繁多,病因及发病机制复杂,经常会出现临床表现与肾脏的组织学改变并不完全一致的情况。很多时候临床医生为了明确诊断会建议肾病患者做肾穿刺检查。很多患者听到穿刺两个字会很恐惧,对肾穿刺的安全性有所顾虑,就此针对门诊中经常被问到的肾穿刺的相关问题,做个简单的解答,希望能对缓解患者穿刺前的焦虑有所帮助。 问:什么是肾穿刺? 答:肾穿刺即肾活检,又称为肾穿刺活检术。主要是在超声或ct定位下将穿刺针刺入肾脏,同时取出几个组织用作活检病理学,通过细胞学检查,明确诊断出特定的疾病状况。 问:什么情况下需要做肾活检? 答:1、考虑为弥漫性病变引起的肾脏损害。 2、不明原因的血尿,不能排除非肾小球源性血尿时。 3、不明原因而持续的蛋白尿。 4、经临床各项检查,考虑为肾小管--间质病变者。 5、肾功能不全者,在诊断和确定治疗方案存在困难时。 6、怀疑为慢性肾盂肾炎,但又不能排除慢性肾炎时,而且临床上又无足够证据进行鉴别诊断者。 7、肾移植后出现可疑的排斥反应,或诊为排斥反应而治疗又无效,或怀疑原有肾病又复发时。 8、其它:如不明原因的高血压,病情与治疗需要应进行连续肾穿刺活体组织检查以修正诊断,修订治疗方案者。 问:肾穿刺安全吗? 答:医生在进行穿刺前会对患者的身体状况进行全面的评估,排除肾活检的禁忌症,包括凝血情况、感染风险等。正常人体内一个肾脏大约有100万-120万肾单位,肾活检时取出20-40个肾小球,对肾功能的损伤微乎其微。活检的结果可以很好的帮助临床医生明确诊断、判断肾病的种类、严重程度以及选择治疗方案。 肾活检的并发症包括有出血、感染等,发生率低,一般情况下经过药物对症治疗、降低血压等医疗手段可以很好的控制并发症,所以总的来说肾活检是相对安全的。
姜宗培医生的科普号
2021年12月10日
897
0
0
-
病案精选:慢性肾盂肾炎
肾盂肾炎是一种微生物导致肾盂和肾实质产生炎症的疾病,因生理构造不同女性发病率远高于男性,一般分为急性与慢性,二者的症状表现有很大的不同。慢性发病往往比较隐秘,病程多在半年或一年以上,发病之初症状不很明显,容易被忽略。 首先,大部分患者经常出现低热、疲劳、乏力以及食欲不振,小部分会有头痛和记忆力减退的症状。还可能出现尿频尿急,但只有合并间质性肾炎时才会比较明显。其次,到了中晚期伴随症状会越来越多,比如出现水肿与贫血。然而,慢性肾炎最明显的症状是会出现无症状性的菌尿,即使上述症状都已经消失,体内致病菌依然存在,只有尿液检验结果才可以判断是否完全康复。 所以,定期常规体检真的很有必要。下面来了解一下对于此病中医的治疗病案吧~ 张某某,女,40岁。初诊:2009年7月13日。 主诉:复发性排尿不畅、尿痛1周。 诊查:去年10月因排尿不畅、尿道灼痛去当地某医院检查,诊为“肾盂肾炎”,经治好转,以后又曾复发并治愈。1周前因久坐室内潮湿缝毛衣,出现发热头痛,体温37.6℃,尿频尿急,尿道灼痛,少腹胀痛,腰背酸楚,口干纳差,大便秘结。URT:PRO(+)、LEU(++)、ERY(++)。舌红少津、苔薄黄,脉滑数。 中医诊断:淋证。 西医诊断:慢性肾盂肾炎。 辨证:湿热阻遏下焦,阻滞气化,水道不利。 治法:清热解毒,清化下焦湿热。 选方:姚正平“泌尿系感染——毒热型经验方”加减。 处方:当归12g,连翘12g,赤小豆30g,萆薢12g,炒知母12g,炒黄柏12g,萹蓄15g,瞿麦15g,白茅根30g,车前草18g,飞滑石18g,甘草9g,益智仁12g,乌药9g,蒲公英15g,水煎服,5剂。 二诊(2009年7月21日):服上方5剂后,已无发热头痛,尿频、尿痛、尿急显减,少腹仍有胀痛,腰背仍酸困,口干、纳差、便秘均见好转。守方5剂。 三诊(2009年10月17日):服上方后诸症均减,患者自行停药。近日前症又有复发,小溲淋沥频数,尿道热涩不利,少腹微胀,腰背酸困,舌红苔白腻,脉滑数。以上方增损续服。 四诊(2009年12月3日):上方连服21剂,诸症消失,尿检未见异常。为巩固疗效,嘱其服知柏地黄丸2月,以善其后。 随访(2012年3月):前症未再发。 按语 肾盂肾炎相似于中医之“热淋”“湿热淋”“血淋”等范畴。西医认为其发病主要是细菌感染所引起,常见的是大肠杆菌。感染途径大多数是从尿道、膀胱、输尿管而上达于肾脏。多发于女性,病情有急性、慢性或慢性肾盂肾炎反复急性发作。 中医认为其发病源于饮食失节、喜怒失常、房劳过度、脏腑不和等因素构成了抵抗力低下,脏腑功能失调所谓“肾虚膀胱热”的内虚现象。至于感染可分两种。一为内毒,即湿热郁久而生内毒;一为外毒,指各种原因引起的病菌侵入。 本案患者膀胱有热,热郁久而生毒;适逢外邪入侵,化而为热,内外合邪,同气相求,致湿热阻遏下焦,阻滞气化,水道不利。治以清热解毒、清化下焦湿热,用北京名老中医姚正平先生治疗“泌尿系感染——毒热型经验方”,其原方为当归12g,连翘12g,赤小豆30g,败酱草30g,蒲公英30g,木通9g,炒知母12g,炒黄柏12g,萹蓄30g,车前草30g,茅根15g,赤芍9g,益智仁12g,川萆薢9g,乌药9g。 本方由三组药组成。一取《丹溪心法》萆薢分清饮之川萆薢、益智仁、乌药,温化别浊,后二者又名缩泉丸具有缩尿作用;《医学心悟》萆薢分清饮之黄柏、车前子以清热通淋。二为当归连翘赤小豆汤,从《金匮要略》中“赤小豆当归散”化裁而来,配用蒲公英、败酱草以加强解毒作用。三是茅根、赤芍、萹蓄、木通、知母五味药,有凉血活血、清热通淋作用。 根据“急则治其标,缓则治其本”的原则,此病在急性发作期之后,即使症情缓解,亦不可停止治疗,应转入治本阶段,即以补肾为主,佐以小量解毒清热通淋之剂,以巩固疗效减少复发。而本案患者不遵医嘱,自行停药,造成病症反复、疗程延长,此种情况临床常见,这也是造成慢性肾盂肾炎缠绵难愈的一种因素所在。 预后与预防 1、注意外阴及尿道口的清洁卫生,勤换内衣,特别是女性月经期、妊娠期与抵抗力下降时 2、饮食上要以高热量、高纤维、低盐低脂、半流质、易消化的食物(如冬瓜、海菜、萝卜)为主,并且多饮水很重要 3、生活上要多锻炼,提高免疫力,避免劳累和便秘 4、若患有此病,女性患者要禁止盆浴,以免加重病情
李荣群医生的科普号
2021年10月03日
2831
0
1
-
慢性肾盂肾炎是肾炎吗?
专家简介:蒋宇峰,医学硕士,主任医师,硕士研究生导师。目前主要从事慢性肾脏病的中西医结合防治研究,擅长慢性肾炎蛋白尿、血尿、早中期慢性肾衰、泌尿道感染、高血压肾病、糖尿病肾病、间质性肾炎、高尿酸血症肾病、狼疮性肾炎、紫癜性肾炎、肾盂肾炎、原发性肾小球肾炎等中西医治疗和肾虚诸证的中医调治。尿毒症晚期的血液透析血管通路建立,腹膜透析手术治疗及尿毒症并发症的治疗。在慢性肾脏病治疗中以中医特色为主,标本施治。肾炎,即肾小球肾炎,是由多种病因引起的肾小球结构和功能损害;而肾盂肾炎是细菌感染性疾病,病变部位在肾盂、肾盏或肾间质,两者是完全不同的疾病。1、什么是慢性肾炎?慢性肾炎即慢性肾小球肾炎,起病隐匿,进展缓慢,可持续数十年。早期可有乏力、疲倦、腰痛、食欲减退等非特异症状,容易忽视。慢性肾炎以中青年男性多见,如果治疗不及时,危害比较大,肾功能逐渐减退,出现蛋白尿、血尿、水肿、高血压等典型表现,后期血尿素氮、血肌酐升高,直至肾衰竭。慢性肾炎病因不明,无法根治。治疗的主要目的是延缓肾功能减退,改善临床症状。而不以消除蛋白尿及血尿为目标。治疗措施包括一般治疗、降压利尿等,中医在治疗慢性肾炎中具有毒副作用小、辨证论治的优势。2、慢性肾盂肾炎慢性肾盂肾炎是一种上尿路感染,可有急性肾盂肾炎的病史,比如高烧、腰痛、尿白细胞增多、尿细菌培养阳性等。如果急性肾盂肾炎治疗不彻底,就会转成慢性肾盂肾炎,表现为腰痛、乏力或者低热。但多数症状隐匿,表现不一。临床诊断本病的主要依据是病史长,且有反复发作的尿路感染史,清洁中段尿细菌培养>105个/毫升,肾脏有形态改变(包括肾内疤痕形成,肾盂肾盏变形或肾萎缩体积缩小)。治疗方法以抗生素控制感染为主。3、慢性肾炎与慢性肾盂肾炎如何鉴别?病史:反复尿路感染,伴随有尿频、尿痛、腰痛等症状,应考虑慢性肾盂肾炎。尿液检查:如白细胞增多明显,尿细菌培养阳性,有助于慢性肾盂肾炎的诊断,而慢性肾炎以尿中反复出现蛋白尿为主。影像学检查:B超提示双侧肾脏不对称缩小;静脉肾盂造影发现有疤痕变形,呈杵状扩张,或肾影两侧不对称,均提示慢性肾盂肾炎。慢性肾盂肾炎的肾功能损害以肾小管为主,可有低磷性肾性骨病等,而氮质血症或尿毒症较轻,且发展缓慢。当慢性肾炎合并感染时,用抗生素治疗后尿检改变和氮质血症虽会好转,但慢性肾炎的症状仍然存在,而慢性肾盂肾炎则症状会基本消失。
蒋宇峰医生的科普号
2021年07月24日
1468
0
1
-
感觉尿浑浊怎么回事?
尿液浑浊原因可能有: 1、除尿浊外,还伴有尿急、疼痛、尿频等膀胱刺激症状,有的可伴有血尿,尤其是女性患者,常考虑急性膀胱炎。如果还伴有全身乏力、发热、腰痛,考虑为急性肾盂肾炎。 2、只针对尿液混浊,不伴有任何其他不适,尤其是在冬季,考虑尿液尿酸结晶,无需治疗,多喝水即可。 3、尿液浑浊,油性或乳糜性,视为乳糜尿。如果出现尿液浑浊现象,一定要到正规医院就诊,积极检查和治疗。
凌青医生的科普号
2021年07月15日
1625
0
0
-
慢性肾小球肾炎和慢性肾盂肾炎的区别
慢性肾小球肾炎和慢性肾盂肾炎,这是两个完全不同的疾病,那么有的患者容易混淆。慢性肾小球肾炎,它也简称慢性肾炎,主要临床表现是血尿、蛋白尿、水肿、高血压,起病比较隐期,逐渐发展可能会进展到尿毒症。 慢性肾盂肾炎是一种细菌感染引起的尿路感染,只不过它属于是上尿路感染,那么常常有急性肾盂肾炎的病史,比如高烧、腰疼、尿白细胞增多、尿细菌阳性。那么治疗如果不彻底,那么会转成慢性肾盂肾炎。那么慢性肾盂肾炎的表现可能没有高烧,主要表现为腰疼、乏力或者低热。 擅 长 擅长中西医结合治疗各种肾脏疾病(糖尿病肾病、高血压肾病、血尿蛋白尿、慢性肾炎、IgA肾病、膜性肾病,肾病综合征、狼疮性肾炎、慢性肾功能不全、肾结石、尿路感染等)、高血压、糖尿病、高脂血症、高尿酸血症、痛风、冠心病、急慢性支气管炎、慢性胃炎、甲状腺疾病、高脂血症等。
安海燕医生的科普号
2021年04月10日
3333
1
6
-
为什么有些肾脏病病人会出现腰疼?
刘红亮医生的科普号
2020年05月24日
1355
0
3
肾盂肾炎相关科普号

赵进喜医生的科普号
赵进喜 主任医师
北京中医药大学东直门医院
肾病内分泌科
6099粉丝212.3万阅读

刘晓利医生的科普号
刘晓利 副主任医师
上海市同济医院
老年医学科
380粉丝62.2万阅读

蒋宇峰医生的科普号
蒋宇峰 主任医师
上海中医药大学附属曙光医院西院
肾病科
59粉丝1万阅读
-
推荐热度5.0李松杨 主任医师医生集团-上海 肾病内科肾盂肾炎 19票
尿路感染 13票
肾炎 9票
擅长:急慢性泌尿系感染,肾小球疾病,高血压肾病,糖尿病肾病,肾动脉硬化,间质性肾炎、急慢性肾功能衰竭,压力性尿失禁,顽固性失眠,病毒性心肌炎等。 -
推荐热度3.9许戎 主任医师北京大学第一医院 肾病内科肾病 130票
肾炎 85票
肾功能衰竭 75票
擅长:急性肾炎,慢性肾炎,肾病综合征,IgA肾病,膜性肾病,微小病变,急性肾衰竭,慢性肾衰竭,尿毒症,血液透析,腹膜透析,肾穿刺活检,临时和长期血透导管,动静脉内瘘手术。 -
推荐热度3.7苏涛 主任医师北京大学第一医院 肾病内科肾病 6票
肾病综合征 4票
间质性肾炎 4票
擅长:急性肾损伤,复杂重症肾脏病。 肾小管间质病相关急性肾损伤或慢性肾衰竭: 包括特发性及药物相关急性间质性肾炎,TINU综合征,IgG4肾病,干燥综合征,结节病等免疫相关肾小管间质病,肾小管酸中毒, 抗肿瘤药物相关肾损伤。