精选内容
-
上海六院张维天:嗅母细胞瘤诊治经验
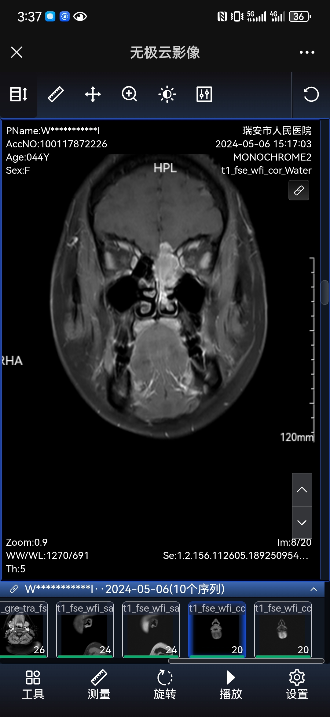
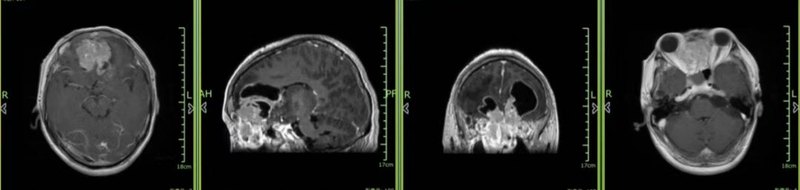
嗅神经母细胞瘤,简称嗅母细胞瘤,是一种罕见的鼻腔鼻窦恶性肿瘤,好发于前颅底筛凹区域的嗅觉黏膜。随着肿瘤生长,嗅母细胞瘤可累及鼻腔、鼻窦各个区域,也常常向上穿透破坏颅底骨质,侵犯颅底及颅内,部分患者就诊时已有淋巴结转移。在疾病早期,患者常常会有鼻塞、鼻出血、嗅觉减退、流涕等不适;而随着疾病的进展及肿瘤对颅底、眼眶、额窦等部位的侵犯,患者也会出现嗅觉丧失、头痛、突眼、复视、溢泪等症状。由于该病较为罕见,患者易被误诊为鼻息肉、内翻性乳头状瘤等较常见的鼻腔肿物,往往需要进行活检或根据手术后病理切片才能最终确诊。目前,手术切除病灶是首选的治疗方法,上海六院耳鼻喉科团队具有丰富的鼻内镜微创手术治疗嗅神经母细胞瘤的经验,尤其在切除侵犯颅底的肿瘤和颅底重建方面独树一帜。下面给大家分享近几年我科诊治的嗅母细胞瘤的部分典型病例。龙X鹏,患者男,23岁患者因“双侧鼻塞3月伴右侧鼻出血,加重1月”至当地医院就诊,同时伴有嗅觉减退、右眼酸痛、溢泪等不适,于外院行鼻咽镜、副鼻窦CT、MRI发现右侧鼻腔肿物,考虑内翻性乳头状瘤可能,为进一步诊治,患者至我院就诊,查体见右侧鼻腔內灰红色息肉样新生物,表面有白色脓性分泌物附着。入院后完善相关检查,我院增强MRI提示病变已侵犯前颅底,根据肿瘤特殊的解剖位置和侵犯行为,结合患者的临床表现,不排除嗅母细胞瘤可能,于是对肿瘤进行了活检,活检病理证实为嗅母细胞瘤。嗅母细胞瘤易侵及颅底,同时邻近眼眶、大血管及神经,要将肿瘤完整切除,手术范围大、时间长、难度高,病灶切除后需要对颅底进行修复和重建,宜采用内镜手术扩大切除肿瘤及筛凹嗅球,术中探查硬膜侵犯情况,根据术中肿瘤范围决定术后是否进行放疗。由于患者既往睡眠打鼾,睡眠监测提示重度夜间低氧血症,生化提示肝功能下降,术前心超提示心尖流出道梗阻,围术期风险高;为了安全、彻底地切除病灶,我科充分发挥六院的多学科协作的优势,在麻醉科、心内科、消化内科的密切配合,以及ICU术后的保驾护航下,患者顺利地接受了鼻内镜手术,病灶被完整切除,术后病理示切缘阴性。尽管手术很成功,患者恢复良好,但是由于肿瘤分期较晚,恶性程度高,因此我们团队又联系放疗科,对术区和引流淋巴结行进一步放疗,以消灭肉眼不可见的癌巢和可能的淋巴结转移灶,减少复发的可能。李X娥,患者女,55岁患者2017年因鼻塞、脓涕等不适就诊于当地医院,行“左侧鼻腔肿物切除术+鼻窦开放术”,术后不适症状基本消失,手术病理提示:嗅神经母细胞瘤。为复查及进一步诊治,患者就诊我科。入院后完善相关检查,结合外院术前影像,考虑肿瘤侵犯前颅底,突破颅内可能,外院手术不够彻底。为切除残余癌灶,我们团队于2017-07-17为患者行鼻内镜下颅底肿瘤切除术+带血管蒂鼻中隔瓣颅底修补术,术中见嗅凹肿瘤残留,送冰冻病理证实,切开硬脑膜,冰冻病理回报肿瘤侵袭,术后患者入ICU监护。后患者恢复可,予以出院,术后定期复诊。2021年,患者因鼻腔异味、脓涕等不适,至当地医院就诊,检查发现鼻腔肿物,活检病理提示小圆细胞,考虑嗅母细胞瘤复发。患者遂至我院就诊,入院后进一步完善相关检查,排除手术禁忌后,我们团队于2021-05-24经鼻内镜切除复发肿瘤,使用颅周骨膜瓣及人工脑膜进行颅底修复,术后入ICU监护,患者恢复良好,术后我院放疗科联合放疗。刘X荣,患者男,49岁患者因“鼻塞半年、流涕2个月”至当地医院就诊,患者自觉嗅觉明显减退,偶有涕中带血和右眼溢泪的症状,查CT及MRI示鼻腔鼻窦肿瘤,侵犯前颅底,活检提示神经内分泌肿瘤(G1)。为进一步诊治,患者就诊我科,门诊拟“鼻腔、鼻窦、颅底恶性肿瘤”收治入院。入院完善相关检查,未发现淋巴结及远处转移证据,外院影像示颅底脑膜增厚,考虑肿瘤侵犯颅内、压迫眼眶。排除手术禁忌后,我们团队于2019-01-21为患者行内镜下颅底病损切除术+颅底修复术,术后入ICU监护,患者恢复良好,予以出院,术后放疗科放疗。半年后患者来院复查,未见复发。王X方,患者女,47岁患者因“左侧涕中带血伴左眼视力下降2月”至当地医院就诊,同时伴有左侧鼻塞、头晕头痛、左眶下及左面部麻木胀痛感,查增强MRI示左侧筛窦占位,伴左咽后、两侧颈部淋巴结肿大,活检病理提示:嗅母细胞瘤。患者遂就诊我院,门诊拟“嗅母细胞瘤”收治入院,入院查体见左侧鼻腔新生物,色红触之易出血,双侧颈部触及肿大固定淋巴结。患者入院后完善相关检查,排除手术禁忌后,我们团队考虑患者目前肿瘤已侵犯左侧眼眶,左眼视力下降明显,遂予甲强龙静滴,弥可保营养神经,应尽早行内镜下鼻腔鼻窦肿瘤切除术+眶减压术,以期改善视力和预后。术后患者恢复良好,一周后行二期手术清扫颅底和颈部淋巴结,病理证实均有肿瘤浸润,出院后予以放化疗。术后3月患者发现颈部出现一肿块,约655cm大小,查PET/CT示鼻腔局部肿瘤复发,已突破左颅底骨质,向上侵犯颅内,左侧面部和颌下多发淋巴结转移,骨转移和肾转移可能,患者和家属有手术愿望,故手术切除颈部皮下肿物和颏下淋巴结,术后继续放疗。陈X能,患者女,37岁患者因“右侧鼻塞2年”入院,鼻塞呈渐进性加重,伴有右侧嗅觉减退,查体见右侧中鼻道粉红色新生物,突入总鼻道。入院后完善相关检查,增强MRI示右侧鼻腔内异常信号灶,考虑内翻性乳头状瘤可能,息肉不除外。因肿物性质不明,排除手术禁忌并与患者充分沟通后,我们团队于2019-07-10为患者进行了鼻内镜下鼻腔鼻窦病损切除术,术中见肿瘤向上源自筛板,向后至蝶筛隐窝,术后病理明确为嗅母细胞瘤。为了彻底切除肿瘤组织,我们于2019-08-14为患者进行了进一步的颅底肿瘤切除术,术中未见可疑组织残留,术后患者入ICU监护。术后恢复可,予以出院,术后联合放射治疗,定期门诊复查随访至今,未见复发。张X,患者男,39岁患者因“鼻塞、脓涕3月”至当地医院就诊,自述有嗅觉减退、右侧面部满胀感,偶有右侧鼻出血等不适,行鼻咽镜检查见右侧鼻腔新生物,取活检未见肿瘤组织。进一步查副鼻窦CT/MRI考虑乳头状瘤可能,遂于该院行鼻内镜手术切除肿物,术后病理示:小细胞恶性肿瘤(高度侵袭性)伴坏死,考虑为嗅神经母细胞瘤。患者携带切片至多家医院病理科会诊,均考虑为嗅母细胞瘤。术后1月左右,患者来到我院就诊,门诊拟“嗅母细胞瘤”收治入院。入院后完善相关检查,未发现淋巴结及远处转移,我院病理科切片会诊示:嗅母细胞瘤伴大片坏死,Hyam’s分级4级,脉管内见癌栓;结合外院术前MRI提示颅底脑膜有增厚,硬脑膜侵犯可能。充分排除手术禁忌后,我们团队于2019-04-17为该患者进行了鼻内镜手术切除颅底残余肿瘤,使用带血管蒂的鼻中隔瓣进行颅底修补重建,术中未见可疑组织残留,术后入ICU监护。患者恢复良好,术后病理未见肿瘤残余,予以出院,密切随访,未行放疗。尽管本例术中已完全切除肿瘤,但由于肿瘤恶性程度高,可能已有早期微小转移,肉眼及影像学检查无法发现。2022年10月,患者因“右颌下无痛性肿物3月余”至当地医院就诊,手术切除肿物后术后病理提示嗅神经母细胞瘤转移。2023年4月患者诉新冠感染后出现右侧鼻塞加重、黄脓涕、涕中带血等症状,于我院就诊。入院查MRI示右侧鼻腔鼻窦嗅母细胞瘤术后复发,侵占下颌窦和右侧眼眶,我们团队为患者行“内镜下颅底病损切除术+鼻内病损切除术+眶减压术”,术后入ICU监护。患者恢复可,术后病理符合复发性嗅母细胞瘤,切缘阴性,予以出院,建议术后放疗。2023年复发术前(上)术后(下)对比图 沈X洋,患者男,32岁患者入院1年前出现反复左侧鼻腔出血,起初未予重视,后症状不改善遂至当地医院就诊,行左侧鼻腔鼻窦肿物切除术,术后病理提示嗅母细胞瘤,术后1月为进一步诊治,就诊我院,门诊拟“嗅母细胞瘤收治入院”。入院后完善相关检查,未发现淋巴结及远处转移证据,结合患者外院术前影像见左侧嗅裂软组织影,考虑为肿瘤残留。排除手术禁忌后,我院鼻科团队于2019-08-14为患者进行了颅底病损切除术+颅底修复术,切除残余癌灶,术后患者入ICU监护。后患者恢复良好,予以出院,定期门诊随访复查,未见复发。王X永,患者男,57岁患者因“鼻塞1年,间断鼻出血半年”至当地医院行CT检查,提示嗅区肿物,后至肿瘤医院行PET/CT检查示:1、右侧鼻腔软组织影,FDG高代谢;2、右侧肿大淋巴结,FDG代谢异常增高,考虑恶性病变可能。患者遂辗转至复旦大学五官科医院就诊,行增强MRI及活检,确诊为嗅神经母细胞瘤,为进一步诊治,患者就诊我科,查体见右侧鼻腔新生物,呈菜团状,表面血管丰富;右侧淋巴结肿大,约鸽蛋大小。入院后完善相关检查,结合外院影像考虑肿瘤可能累及右侧上颌窦、左侧鼻腔,故先行内镜下鼻窦探查术以明确病变范围,制定详细可行的手术方案。排除手术禁忌后,2019-12-06我院耳鼻喉科团队为患者实施了颈部淋巴结清扫术+内镜下颅底病损切除术+带蒂鼻中隔瓣颅底修复术,术顺,术后患者入ICU监护。术后两次鼻腔探查、清理术腔后,患者恢复良好,予以出院。考虑患者肿瘤分期较晚,且已有颈部淋巴结转移,术后予化疗+放疗的联合治疗,后患者定期于我院随访并行鼻腔探查清理术,鼻腔內未见肿瘤复发。2022-08-26复诊时查头颅MRI示颅内多发病灶,考虑肿瘤转移可能,遂转至神经外科拟手术切除病灶以明确病变性质,患者拒绝手术,自动出院。裘X平,患者男,48岁患者因“右侧鼻塞3月”至当地医院就诊,检查见右鼻腔新生物,穿刺活检病理考虑小细胞神经内分泌癌,嗅母细胞瘤不除外。患者遂至我院就诊,查体:右侧鼻腔总鼻道內可见白色乳头状新生物,质软无出血。入院后患者完善相关检查,根据鼻内镜、CT、MRI检查结果及我院病理科会诊意见,患者嗅母细胞瘤(T4N0M0KadishC期)诊断明确,PET/CT及颈部超声未见淋巴结及远处转移证据。排除手术禁忌后,患者于2020-04-08在全麻下行内镜下颅底病损切除术+带蒂鼻中隔瓣颅底修复术,术中见右侧鼻中隔、筛区、蝶骨平台骨质均有肿瘤侵犯,蝶骨平台处脑膜可疑侵犯,术后入ICU监护。术后患者恢复可,予以出院,我们建议患者出院后至放疗科联合放射治疗。陈X华,患者男,46岁患者因“左侧鼻塞4月”至当地医院就诊,偶有左鼻出血、脓涕、溢泪等症状,CT/MRI检查发现筛窦內巨大肿物,向颅内和后鼻道生长,活检病理提示:嗅神经母细胞瘤。为进一步诊治,患者就诊我院。入院后完善相关检查,增强MRI提示肿瘤大小约34mm43mm48mm,累及前颅窝,同时双侧颌下、颈部多发肿大淋巴结,转移可能。我科经过仔细阅片、多学科会诊、讨论之后认为,患者目前嗅母细胞瘤晚期(T4N1M0KadishD期),但无远处转移,仍然可以手术切除肿瘤及肿大淋巴结,术后辅以放化疗以改善预后。排除手术禁忌后,我们于2020-09-24行根治性颈淋巴结清扫+内镜下颅底病损切除术+鼻窦病损切除术,切除绝大部分肉眼可见的肿瘤和淋巴结转移灶,由于病灶切除范围大,采用人工脑膜、大腿阔筋膜和颅骨骨膜瓣进行颅底修复重建,手术耗时13小时,术后患者转入ICU监护。术后患者恢复可,2020-10-09行内镜下鼻窦检查、鼻腔清理术,吸除鼻腔内脓性分泌物和残余纳吸棉,见黏膜瓣血供良好,与周围组织愈合可,未见明显坏死,予以出院,术后放化疗。术前(上)术后(下)对比图:王X敏,患者男,47岁患者因“左侧鼻出血,量大不能自止”至当地医院就诊,诊断为出血性鼻息肉,遂行鼻息肉切除术,术中见肿物与脑膜粘连,颅底骨质破坏,考虑恶性可能,术后病理提示嗅母细胞瘤,患者为求进一步诊治来我院就诊。患者入院后完善相关检查,我院MRI示左侧颅底筛窦区强化影,肿瘤残余可能,未发现远处转移证据。排除手术禁忌后,我们鼻科团队于2021-06-07为患者行鼻内镜下颅底病损切除术,术中见左侧后筛顶部骨质虫噬样改变,局部骨质菲薄,硬膜异常增厚,另蝶骨平台处硬脑膜表面也可见明显肿瘤侵犯,尽可能切除可疑组织后,用双侧鼻中隔瓣进行前颅底修复重建,术后患者入ICU监护。术后患者恢复良好,予以出院,根据术后病理结果和放疗科会诊意见,出院后辅以放射治疗,以期进一步提高患者预后。术前(上)术后(下)对比图: 缪X达,患者男,41岁患者因“左侧鼻塞流涕1年,突发鼻出血1月余”至当地医院就诊,检查发现鼻腔肿物,遂行鼻窦病损切除术,术后病理提示嗅神经母细胞瘤,患者为求进一步诊治就诊我科。入院完善相关检查,未发现肿瘤有远处转移证据,结合外院术前影像见嗅裂、嗅凹及筛孔均有肿瘤侵犯,硬脑膜亦被肿瘤侵及,但肿瘤并未突破至颅内。为了彻底清除肿瘤,在充分排除手术禁忌后,我们团队于2021-08-09为患者进一步行鼻内镜下颅底病损切除术,术中左侧嗅裂见紫红色新生物,触之易出血。术后患者入ICU监护,术后病理回报切缘阴性,患者恢复良好,予以出院。患者出院后于我院规律复查至今,肿瘤未见复发。王X栋,患者男,63岁患者因“右鼻复出血1年余”至当地医院就诊,检查发现右侧鼻腔新生物,活检病理提示:高级别嗅神经母细胞瘤,伴有腺样分化(嗅神经癌),患者为求进一步手术治疗来我院就诊。入院完善相关检查,未发现远处转移证据,CTA示主动脉多发穿透性溃疡形成,请血管外科会诊评估后无绝对手术禁忌,我们团队于2023-06-16为患者进行了鼻内镜下颅底病损切除术,术中见肿瘤累及颅底,切净肿瘤后取右侧鼻中隔瓣修复颅底,冰冻病理回报切缘无肿瘤累及。术后患者入ICU监护,恢复良好,后转入血管外科行胸主动脉支架植入术。患者出院后辅以放疗,定期于我院随访复查,至今未见复发。术前(上)术后(下)对比图: 穆X法,患者男,53岁患者2023年2月因“发现左侧颌下腺肿物”于当地医院行“左颌下腺及肿物切除术”,术后病理示神经内分泌肿瘤(G2),住院期间检查发现双侧鼻腔肿物。追问患者病史,自述双侧鼻塞伴脓涕两年余,伴有鼻出血、溢泪、视力减退、视物模糊等症状,均以左侧为著,嗅觉基本消失。2023年4月外院查PET-CT示:双侧筛窦、鼻腔软组织肿块,侵犯前颅底及副鼻窦,考虑肿瘤性病变;双侧咽后、上颈部多发淋巴结转移。患者为求进一步诊治,门诊拟“双侧鼻腔、鼻窦肿物”收治入院。患者入院后完善相关检查,于2023-05-03局麻下行“鼻内病损切除活检术”,术后病理提示:嗅神经母细胞瘤,2级。因为肿瘤巨大,侵袭颅内、双侧眼眶及各个副鼻窦,且已有颈部淋巴结的转移,手术难度较大,预后不良。我们与患者及家属充分沟通后,决定先予对嗅母细胞瘤敏感的“依托泊苷+顺铂”方案辅助化疗3个疗程,但本例患者化疗效果欠佳。由于患者及家属手术意愿强烈,遂进一步排除手术绝对禁忌,拟分期手术治疗。2023-08-18我们耳鼻喉科团队为患者进行了颈部淋巴结清扫术,经颈部切口外侧入路切除淋巴结转移灶,待患者恢复后再次手术切除鼻内原发灶。2023-09-06,我们为患者进行了鼻腔、鼻窦、颅底病损切除术,术中由于肿瘤占满鼻腔且血供丰富,经鼻处理困难,故选择左侧鼻侧切口入路进行手术,切除颅底、鼻窦、眶内绝大部分肿瘤组织,取人工硬膜覆盖颅底,术后患者入ICU监护,患者恢复可。由于本次手术时间长(10小时),肿瘤血供丰富出血较多,颅内残余肿瘤计划于神经外科二期手术切除。术前(上)术后(下)对比图:嗅神经母细胞瘤,简称嗅母细胞瘤,是一种罕见的鼻腔鼻窦恶性肿瘤,好发于前颅底筛凹区域的嗅觉黏膜。随着肿瘤生长,嗅母细胞瘤可累及鼻腔、鼻窦各个区域,也常常向上穿透破坏颅底骨质,侵犯颅底及颅内,部分患者就诊时已有淋巴结转移。在疾病早期,患者常常会有鼻塞、鼻出血、嗅觉减退、流涕等不适;而随着疾病的进展及肿瘤对颅底、眼眶、额窦等部位的侵犯,患者也会出现嗅觉丧失、头痛、突眼、复视、溢泪等症状。由于该病较为罕见,患者易被误诊为鼻息肉、内翻性乳头状瘤等较常见的鼻腔肿物,往往需要进行活检或根据手术后病理切片才能最终确诊。目前,手术切除病灶是首选的治疗方法,上海六院耳鼻喉科团队具有丰富的鼻内镜微创手术治疗嗅神经母细胞瘤的经验,尤其在切除侵犯颅底的肿瘤和颅底重建方面独树一帜。下面给大家分享近几年我科诊治的嗅母细胞瘤的部分典型病例。龙X鹏,患者男,23岁患者因“双侧鼻塞3月伴右侧鼻出血,加重1月”至当地医院就诊,同时伴有嗅觉减退、右眼酸痛、溢泪等不适,于外院行鼻咽镜、副鼻窦CT、MRI发现右侧鼻腔肿物,考虑内翻性乳头状瘤可能,为进一步诊治,患者至我院就诊,查体见右侧鼻腔內灰红色息肉样新生物,表面有白色脓性分泌物附着。入院后完善相关检查,我院增强MRI提示病变已侵犯前颅底,根据肿瘤特殊的解剖位置和侵犯行为,结合患者的临床表现,不排除嗅母细胞瘤可能,于是对肿瘤进行了活检,活检病理证实为嗅母细胞瘤。嗅母细胞瘤易侵及颅底,同时邻近眼眶、大血管及神经,要将肿瘤完整切除,手术范围大、时间长、难度高,病灶切除后需要对颅底进行修复和重建,宜采用内镜手术扩大切除肿瘤及筛凹嗅球,术中探查硬膜侵犯情况,根据术中肿瘤范围决定术后是否进行放疗。由于患者既往睡眠打鼾,睡眠监测提示重度夜间低氧血症,生化提示肝功能下降,术前心超提示心尖流出道梗阻,围术期风险高;为了安全、彻底地切除病灶,我科充分发挥六院的多学科协作的优势,在麻醉科、心内科、消化内科的密切配合,以及ICU术后的保驾护航下,患者顺利地接受了鼻内镜手术,病灶被完整切除,术后病理示切缘阴性。尽管手术很成功,患者恢复良好,但是由于肿瘤分期较晚,恶性程度高,因此我们团队又联系放疗科,对术区和引流淋巴结行进一步放疗,以消灭肉眼不可见的癌巢和可能的淋巴结转移灶,减少复发的可能。术前术后李X娥,患者女,55岁患者2017年因鼻塞、脓涕等不适就诊于当地医院,行“左侧鼻腔肿物切除术+鼻窦开放术”,术后不适症状基本消失,手术病理提示:嗅神经母细胞瘤。为复查及进一步诊治,患者就诊我科。入院后完善相关检查,结合外院术前影像,考虑肿瘤侵犯前颅底,突破颅内可能,外院手术不够彻底。为切除残余癌灶,我们团队于2017-07-17为患者行鼻内镜下颅底肿瘤切除术+带血管蒂鼻中隔瓣颅底修补术,术中见嗅凹肿瘤残留,送冰冻病理证实,切开硬脑膜,冰冻病理回报肿瘤侵袭,术后患者入ICU监护。后患者恢复可,予以出院,术后定期复诊。2021年,患者因鼻腔异味、脓涕等不适,至当地医院就诊,检查发现鼻腔肿物,活检病理提示小圆细胞,考虑嗅母细胞瘤复发。患者遂至我院就诊,入院后进一步完善相关检查,排除手术禁忌后,我们团队于2021-05-24经鼻内镜切除复发肿瘤,使用颅周骨膜瓣及人工脑膜进行颅底修复,术后入ICU监护,患者恢复良好,术后我院放疗科联合放疗。刘X荣,患者男,49岁患者因“鼻塞半年、流涕2个月”至当地医院就诊,患者自觉嗅觉明显减退,偶有涕中带血和右眼溢泪的症状,查CT及MRI示鼻腔鼻窦肿瘤,侵犯前颅底,活检提示神经内分泌肿瘤(G1)。为进一步诊治,患者就诊我科,门诊拟“鼻腔、鼻窦、颅底恶性肿瘤”收治入院。入院完善相关检查,未发现淋巴结及远处转移证据,外院影像示颅底脑膜增厚,考虑肿瘤侵犯颅内、压迫眼眶。排除手术禁忌后,我们团队于2019-01-21为患者行内镜下颅底病损切除术+颅底修复术,术后入ICU监护,患者恢复良好,予以出院,术后放疗科放疗。半年后患者来院复查,未见复发。王X方,患者女,47岁患者因“左侧涕中带血伴左眼视力下降2月”至当地医院就诊,同时伴有左侧鼻塞、头晕头痛、左眶下及左面部麻木胀痛感,查增强MRI示左侧筛窦占位,伴左咽后、两侧颈部淋巴结肿大,活检病理提示:嗅母细胞瘤。患者遂就诊我院,门诊拟“嗅母细胞瘤”收治入院,入院查体见左侧鼻腔新生物,色红触之易出血,双侧颈部触及肿大固定淋巴结。患者入院后完善相关检查,排除手术禁忌后,我们团队考虑患者目前肿瘤已侵犯左侧眼眶,左眼视力下降明显,遂予甲强龙静滴,弥可保营养神经,应尽早行内镜下鼻腔鼻窦肿瘤切除术+眶减压术,以期改善视力和预后。术后患者恢复良好,一周后行二期手术清扫颅底和颈部淋巴结,病理证实均有肿瘤浸润,出院后予以放化疗。术后3月患者发现颈部出现一肿块,约655cm大小,查PET/CT示鼻腔局部肿瘤复发,已突破左颅底骨质,向上侵犯颅内,左侧面部和颌下多发淋巴结转移,骨转移和肾转移可能,患者和家属有手术愿望,故手术切除颈部皮下肿物和颏下淋巴结,术后继续放疗。陈X能,患者女,37岁患者因“右侧鼻塞2年”入院,鼻塞呈渐进性加重,伴有右侧嗅觉减退,查体见右侧中鼻道粉红色新生物,突入总鼻道。入院后完善相关检查,增强MRI示右侧鼻腔内异常信号灶,考虑内翻性乳头状瘤可能,息肉不除外。因肿物性质不明,排除手术禁忌并与患者充分沟通后,我们团队于2019-07-10为患者进行了鼻内镜下鼻腔鼻窦病损切除术,术中见肿瘤向上源自筛板,向后至蝶筛隐窝,术后病理明确为嗅母细胞瘤。为了彻底切除肿瘤组织,我们于2019-08-14为患者进行了进一步的颅底肿瘤切除术,术中未见可疑组织残留,术后患者入ICU监护。术后恢复可,予以出院,术后联合放射治疗,定期门诊复查随访至今,未见复发。张X,患者男,39岁患者因“鼻塞、脓涕3月”至当地医院就诊,自述有嗅觉减退、右侧面部满胀感,偶有右侧鼻出血等不适,行鼻咽镜检查见右侧鼻腔新生物,取活检未见肿瘤组织。进一步查副鼻窦CT/MRI考虑乳头状瘤可能,遂于该院行鼻内镜手术切除肿物,术后病理示:小细胞恶性肿瘤(高度侵袭性)伴坏死,考虑为嗅神经母细胞瘤。患者携带切片至多家医院病理科会诊,均考虑为嗅母细胞瘤。术后1月左右,患者来到我院就诊,门诊拟“嗅母细胞瘤”收治入院。入院后完善相关检查,未发现淋巴结及远处转移,我院病理科切片会诊示:嗅母细胞瘤伴大片坏死,Hyam’s分级4级,脉管内见癌栓;结合外院术前MRI提示颅底脑膜有增厚,硬脑膜侵犯可能。充分排除手术禁忌后,我们团队于2019-04-17为该患者进行了鼻内镜手术切除颅底残余肿瘤,使用带血管蒂的鼻中隔瓣进行颅底修补重建,术中未见可疑组织残留,术后入ICU监护。患者恢复良好,术后病理未见肿瘤残余,予以出院,密切随访,未行放疗。尽管本例术中已完全切除肿瘤,但由于肿瘤恶性程度高,可能已有早期微小转移,肉眼及影像学检查无法发现。2022年10月,患者因“右颌下无痛性肿物3月余”至当地医院就诊,手术切除肿物后术后病理提示嗅神经母细胞瘤转移。2023年4月患者诉新冠感染后出现右侧鼻塞加重、黄脓涕、涕中带血等症状,于我院就诊。入院查MRI示右侧鼻腔鼻窦嗅母细胞瘤术后复发,侵占下颌窦和右侧眼眶,我们团队为患者行“内镜下颅底病损切除术+鼻内病损切除术+眶减压术”,术后入ICU监护。患者恢复可,术后病理符合复发性嗅母细胞瘤,切缘阴性,予以出院,建议术后放疗。2023年复发术前(上)术后(下)对比图 沈X洋,患者男,32岁患者入院1年前出现反复左侧鼻腔出血,起初未予重视,后症状不改善遂至当地医院就诊,行左侧鼻腔鼻窦肿物切除术,术后病理提示嗅母细胞瘤,术后1月为进一步诊治,就诊我院,门诊拟“嗅母细胞瘤收治入院”。入院后完善相关检查,未发现淋巴结及远处转移证据,结合患者外院术前影像见左侧嗅裂软组织影,考虑为肿瘤残留。排除手术禁忌后,我院鼻科团队于2019-08-14为患者进行了颅底病损切除术+颅底修复术,切除残余癌灶,术后患者入ICU监护。后患者恢复良好,予以出院,定期门诊随访复查,未见复发。王X永,患者男,57岁患者因“鼻塞1年,间断鼻出血半年”至当地医院行CT检查,提示嗅区肿物,后至肿瘤医院行PET/CT检查示:1、右侧鼻腔软组织影,FDG高代谢;2、右侧肿大淋巴结,FDG代谢异常增高,考虑恶性病变可能。患者遂辗转至复旦大学五官科医院就诊,行增强MRI及活检,确诊为嗅神经母细胞瘤,为进一步诊治,患者就诊我科,查体见右侧鼻腔新生物,呈菜团状,表面血管丰富;右侧淋巴结肿大,约鸽蛋大小。入院后完善相关检查,结合外院影像考虑肿瘤可能累及右侧上颌窦、左侧鼻腔,故先行内镜下鼻窦探查术以明确病变范围,制定详细可行的手术方案。排除手术禁忌后,2019-12-06我院耳鼻喉科团队为患者实施了颈部淋巴结清扫术+内镜下颅底病损切除术+带蒂鼻中隔瓣颅底修复术,术顺,术后患者入ICU监护。术后两次鼻腔探查、清理术腔后,患者恢复良好,予以出院。考虑患者肿瘤分期较晚,且已有颈部淋巴结转移,术后予化疗+放疗的联合治疗,后患者定期于我院随访并行鼻腔探查清理术,鼻腔內未见肿瘤复发。2022-08-26复诊时查头颅MRI示颅内多发病灶,考虑肿瘤转移可能,遂转至神经外科拟手术切除病灶以明确病变性质,患者拒绝手术,自动出院。裘X平,患者男,48岁患者因“右侧鼻塞3月”至当地医院就诊,检查见右鼻腔新生物,穿刺活检病理考虑小细胞神经内分泌癌,嗅母细胞瘤不除外。患者遂至我院就诊,查体:右侧鼻腔总鼻道內可见白色乳头状新生物,质软无出血。入院后患者完善相关检查,根据鼻内镜、CT、MRI检查结果及我院病理科会诊意见,患者嗅母细胞瘤(T4N0M0KadishC期)诊断明确,PET/CT及颈部超声未见淋巴结及远处转移证据。排除手术禁忌后,患者于2020-04-08在全麻下行内镜下颅底病损切除术+带蒂鼻中隔瓣颅底修复术,术中见右侧鼻中隔、筛区、蝶骨平台骨质均有肿瘤侵犯,蝶骨平台处脑膜可疑侵犯,术后入ICU监护。术后患者恢复可,予以出院,我们建议患者出院后至放疗科联合放射治疗。陈X华,患者男,46岁患者因“左侧鼻塞4月”至当地医院就诊,偶有左鼻出血、脓涕、溢泪等症状,CT/MRI检查发现筛窦內巨大肿物,向颅内和后鼻道生长,活检病理提示:嗅神经母细胞瘤。为进一步诊治,患者就诊我院。入院后完善相关检查,增强MRI提示肿瘤大小约34mm43mm48mm,累及前颅窝,同时双侧颌下、颈部多发肿大淋巴结,转移可能。我科经过仔细阅片、多学科会诊、讨论之后认为,患者目前嗅母细胞瘤晚期(T4N1M0KadishD期),但无远处转移,仍然可以手术切除肿瘤及肿大淋巴结,术后辅以放化疗以改善预后。排除手术禁忌后,我们于2020-09-24行根治性颈淋巴结清扫+内镜下颅底病损切除术+鼻窦病损切除术,切除绝大部分肉眼可见的肿瘤和淋巴结转移灶,由于病灶切除范围大,采用人工脑膜、大腿阔筋膜和颅骨骨膜瓣进行颅底修复重建,手术耗时13小时,术后患者转入ICU监护。术后患者恢复可,2020-10-09行内镜下鼻窦检查、鼻腔清理术,吸除鼻腔内脓性分泌物和残余纳吸棉,见黏膜瓣血供良好,与周围组织愈合可,未见明显坏死,予以出院,术后放化疗。术前(上)术后(下)对比图: 王X敏,患者男,47岁患者因“左侧鼻出血,量大不能自止”至当地医院就诊,诊断为出血性鼻息肉,遂行鼻息肉切除术,术中见肿物与脑膜粘连,颅底骨质破坏,考虑恶性可能,术后病理提示嗅母细胞瘤,患者为求进一步诊治来我院就诊。患者入院后完善相关检查,我院MRI示左侧颅底筛窦区强化影,肿瘤残余可能,未发现远处转移证据。排除手术禁忌后,我们鼻科团队于2021-06-07为患者行鼻内镜下颅底病损切除术,术中见左侧后筛顶部骨质虫噬样改变,局部骨质菲薄,硬膜异常增厚,另蝶骨平台处硬脑膜表面也可见明显肿瘤侵犯,尽可能切除可疑组织后,用双侧鼻中隔瓣进行前颅底修复重建,术后患者入ICU监护。术后患者恢复良好,予以出院,根据术后病理结果和放疗科会诊意见,出院后辅以放射治疗,以期进一步提高患者预后。术前(上)术后(下)对比图: 缪X达,患者男,41岁患者因“左侧鼻塞流涕1年,突发鼻出血1月余”至当地医院就诊,检查发现鼻腔肿物,遂行鼻窦病损切除术,术后病理提示嗅神经母细胞瘤,患者为求进一步诊治就诊我科。入院完善相关检查,未发现肿瘤有远处转移证据,结合外院术前影像见嗅裂、嗅凹及筛孔均有肿瘤侵犯,硬脑膜亦被肿瘤侵及,但肿瘤并未突破至颅内。为了彻底清除肿瘤,在充分排除手术禁忌后,我们团队于2021-08-09为患者进一步行鼻内镜下颅底病损切除术,术中左侧嗅裂见紫红色新生物,触之易出血。术后患者入ICU监护,术后病理回报切缘阴性,患者恢复良好,予以出院。患者出院后于我院规律复查至今,肿瘤未见复发。王X栋,患者男,63岁患者因“右鼻复出血1年余”至当地医院就诊,检查发现右侧鼻腔新生物,活检病理提示:高级别嗅神经母细胞瘤,伴有腺样分化(嗅神经癌),患者为求进一步手术治疗来我院就诊。入院完善相关检查,未发现远处转移证据,CTA示主动脉多发穿透性溃疡形成,请血管外科会诊评估后无绝对手术禁忌,我们团队于2023-06-16为患者进行了鼻内镜下颅底病损切除术,术中见肿瘤累及颅底,切净肿瘤后取右侧鼻中隔瓣修复颅底,冰冻病理回报切缘无肿瘤累及。术后患者入ICU监护,恢复良好,后转入血管外科行胸主动脉支架植入术。患者出院后辅以放疗,定期于我院随访复查,至今未见复发。术前(上)术后(下)对比图: 穆X法,患者男,53岁患者2023年2月因“发现左侧颌下腺肿物”于当地医院行“左颌下腺及肿物切除术”,术后病理示神经内分泌肿瘤(G2),住院期间检查发现双侧鼻腔肿物。追问患者病史,自述双侧鼻塞伴脓涕两年余,伴有鼻出血、溢泪、视力减退、视物模糊等症状,均以左侧为著,嗅觉基本消失。2023年4月外院查PET-CT示:双侧筛窦、鼻腔软组织肿块,侵犯前颅底及副鼻窦,考虑肿瘤性病变;双侧咽后、上颈部多发淋巴结转移。患者为求进一步诊治,门诊拟“双侧鼻腔、鼻窦肿物”收治入院。患者入院后完善相关检查,于2023-05-03局麻下行“鼻内病损切除活检术”,术后病理提示:嗅神经母细胞瘤,2级。因为肿瘤巨大,侵袭颅内、双侧眼眶及各个副鼻窦,且已有颈部淋巴结的转移,手术难度较大,预后不良。我们与患者及家属充分沟通后,决定先予对嗅母细胞瘤敏感的“依托泊苷+顺铂”方案辅助化疗3个疗程,但本例患者化疗效果欠佳。由于患者及家属手术意愿强烈,遂进一步排除手术绝对禁忌,拟分期手术治疗。2023-08-18我们耳鼻喉科团队为患者进行了颈部淋巴结清扫术,经颈部切口外侧入路切除淋巴结转移灶,待患者恢复后再次手术切除鼻内原发灶。2023-09-06,我们为患者进行了鼻腔、鼻窦、颅底病损切除术,术中由于肿瘤占满鼻腔且血供丰富,经鼻处理困难,故选择左侧鼻侧切口入路进行手术,切除颅底、鼻窦、眶内绝大部分肿瘤组织,取人工硬膜覆盖颅底,术后患者入ICU监护,患者恢复可。由于本次手术时间长(10小时),肿瘤血供丰富出血较多,颅内残余肿瘤计划于神经外科二期手术切除。术前(上)术后(下)对比图:
上海第六人民医院耳鼻咽喉头颈外科科普号
2024年06月03日
363
0
1
-
关于嗅母细胞瘤的诊治问答
关于嗅母细胞瘤的诊治问答嗅神经母细胞瘤是一种十分罕见的恶性肿瘤,只占所有鼻腔鼻窦肿瘤的3%,人群总体发病率不到百万分之一。这种肿瘤来源于前颅底筛凹区域的嗅觉上皮,位于整个鼻腔的“天花板”上,当肿瘤侵袭性生长时,一方面容易向上破坏颅底骨质,侵犯硬膜和脑组织,一方面可能侵入眼眶,引起视力的改变,这是预后不良的主要因素。问题1:嗅母细胞瘤有哪些症状?答:鼻塞、鼻出血是嗅母细胞瘤早期的预警症状。由于肿瘤的膨胀性生长堵塞鼻腔鼻窦,患者在早期就会自觉有一侧的持续性鼻塞,并且会逐渐加重,可能伴有鼻出血、涕中带血、流脓涕等不适。出现上述症状并逐渐加重时,患者应引起重视,及时就医,以免延误诊疗。因为肿瘤原发于嗅觉黏膜,常常会影响患者的嗅觉,导致嗅觉减退或消失,且由于嗅上皮遭到破坏,患者的嗅觉在手术后也很难恢复。而随着肿瘤的进一步生长,侵犯到邻近的额窦、颅底、眼眶时,还会出现头痛、突眼、复视、溢泪等伴随症状。问题2:为什么我手术都做完了,医生才告诉我得了嗅母细胞瘤?答:由于嗅母细胞瘤是一种很罕见的肿瘤,许多医生对它缺乏认识,常常误诊为较为常见的鼻息肉、内翻性乳头状瘤等。我们接诊了多名在外院进行鼻腔肿物切除术的患者,术后病理提示嗅母细胞瘤,于是来我院进一步复查和手术。前面已经提到,嗅母细胞瘤较易侵犯颅底,此时常规的手术难以彻底切除病灶,造成肿瘤的残余和复发,需要进行扩大的切除手术。事实上,初诊即诊断出嗅母细胞瘤并不容易。当嗅母细胞瘤患者因为鼻塞、鼻出血就诊时,体检和电子鼻咽镜往往可以发现红棕色息肉样新生物,位于鼻腔高位。此时需要进一步行增强CT/MRI的检查,来判断肿瘤的大小、血供情况,是良性还是恶性,对周围组织的侵袭程度如何。因为肿瘤特殊的解剖位置和前颅底侵犯的习性,我们可以怀疑它是嗅母细胞瘤,但不能很好地与类似的肿瘤进行鉴别,最终确诊还需要进行活检,在显微镜下观察肿瘤的形态来明确诊断。 (蓝色箭头示肿瘤已向颅内侵犯)问题3:确诊嗅母细胞瘤后,如何进一步治疗?答:根据目前的研究和我们团队治疗嗅母细胞瘤的经验来看,通过手术将病变切除是早期嗅母细胞瘤的首选治疗方法。而根据选择的手术径路的不同,可以分为鼻外径路手术和经天然鼻孔的鼻内镜手术,有研究表明,只要能将肿瘤完全切除,选择不同的手术方式对患者的生存时间没有差异。与开放式手术相比,我们团队更倾向于选择鼻内镜微创手术切除病变,具有创伤小、并发症少、术后恢复快的优势。在手术前,我们要根据影像学检查的结果,对患者的肿瘤进行分期。目前临床上比较常用的分期是Kadish分期和TNM分期,其中Kadish分期较为简明:KadishA期:肿瘤局限于鼻腔内;KadishB期:肿瘤累及1个或多个鼻窦;KadishC期:肿瘤蔓延超出鼻腔和鼻窦,累及眼眶、颅底、脑组织等;KadishD期:出现区域淋巴结转移或远处转移。越是晚期的肿瘤,手术切除肿瘤的难度就越高,术后复发风险也会相应提高,生存率则越低。对于A期B期和部分C期的患者,我们选择通过天然鼻孔入路,在内镜下进行前颅底病变的切除,而对于一部分肿瘤体积大,侵袭多个邻近组织的肿瘤,单纯的内镜手术较难切净,我们团队也有丰富的内镜联合面部入路切除的经验。部分D期患者仅有颈部淋巴结肿大而无远处转移,我们在常规手术的基础上,为患者进行颈部淋巴结的清扫手术。在手术切除颅底肿瘤时,由于嗅球、筛凹及部分颅底的骨质被一并切除,相当于把鼻腔和颅内打通了,因此手术完成时需要立刻进行颅底的修复和重建,减少术后出现脑脊液鼻漏的风险。问题4:手术后是否需要放化疗?答:手术切除肿瘤后,病理科医生会根据镜下肿瘤的形态将肿瘤分为HyamsI-IV级,级别越高说明肿瘤恶性程度越高。这种分级具有预后意义,研究数据大多表明,低级别病变(HyamsⅠ-Ⅱ级)患者的总生存情况通常优于高级别病变(HyamsⅢ-Ⅳ级)。术后是否需要放化疗是我们根据患者术前的Kadish和TNM分期、术中肿瘤切除的情况和术后病理分级和免疫组化结果来综合制定的。一般来说,对于KadishA和B期,病理提示低级别病变的患者,我们术后不对其进行常规放疗,仅门诊定期复查随访。对于KadishC期或者手术切缘阳性的患者,术后联合放疗可以减少复发,改善患者的预后。而如果患者分期很晚,肿瘤已经转移或者恶性程度很高,我们一般术后会同步对患者进行放化疗。问题5:嗅母细胞瘤患者的预后怎么样?答:嗅母细胞瘤的复发率和患者的生存率是和术前分期及术后病理分级息息相关的。由于疾病罕见,临床数据较少且分散,因此相关的统计学数据不够精确,不同的肿瘤中心患者5年生存率范围在60%~80%之间,且随着Kadish分期越晚,Hyams分级越高,患者的生存率会相应的降低。此外,肿瘤的复发一方面和患者本身的遗传因素有关,部分患者会再次发生嗅母细胞瘤;另一方面,肿瘤恶性程度高,可能残存肉眼不可见的微癌巢或发生了早期的微转移,导致肿瘤的复发。因此,术后及放疗后定期的复查随诊是很有必要的,能让我们及时防治肿瘤的复发和手术后的各种并发症,提高患者的生存率。
张维天医生的科普号
2024年06月03日
474
0
1
-
嗅神经母细胞瘤预后怎么样?
张维天医生的科普号
2024年04月11日
58
0
0
-
双镜联合一期切除前颅底嗅神经母细胞瘤
病史简介:患者,男性,58岁,因“嗅觉减退半年,头痛伴视物重影半月”入院。现病史:患者半年前出现嗅觉减退,未予治疗。半月前患者诉头痛,以前额及右眼眶处为主,为持续性胀痛,阵发性加重,维持0.5-1h后疼痛程度缓解,伴有视物重影,眼球内收活动受限,诉右颌下淋巴结肿大,浙大二院颅脑增强MRI提示:筛窦区-额叶囊实性占位,考虑恶性肿瘤(嗅神经母细胞瘤首先考虑)(图1)。浙大二院耳鼻喉科行鼻内镜取组织活检提示考虑嗅神经母细胞瘤,建议住院手术治疗。为求进一步诊断治疗,于浙大四院就诊,门诊拟诊为“前颅底占位性病变:嗅神经母细胞瘤可能”收住入院。 既往史:左侧淋巴结切除术后20年余,术后病理提示良性。否认高血压、糖尿病等病史。 入院查体:神清,语利,双侧颌下各可触及1枚直径约2cm肿物,质地硬,无压痛,活动度一般,双侧视力、视野粗测可,瞳孔等大正圆,直径3:3mm,对光反射灵敏,双眼球内收略受限,其余方向运动充分,眼裂对称;面部无感觉异常、减退,额纹存在,面纹对称,口角无歪斜,伸舌居中,双侧听力粗测无减退,嗅觉粗测明显减退,四肢肌力v级,深浅感觉存在,肌张力对称,巴氏征未引出。图1 颅脑MRI增强检查:筛窦区-额叶见团块状囊实性异常信号影,占位效应重,病灶左右向两侧眼眶突。上下呈跨颅窝改变,呈“哑铃”状,边界尚清,形态不规则,范围约74×49×72mm。 诊治经过:入院后完善术前,视野检查提示散在视野缺损(图2)。综合上述检查结果,诊断考虑:前颅底-筛窦占位性病变,嗅神经母细胞瘤考虑。术前经科室讨论,考虑使用单一手术入路难以全切肿瘤,与家属充分沟通后决定行经鼻内镜联合冠状切口的额底入路切除嗅神经母细胞瘤。 图2 视野检查手术经过如下:(1) 鼻腔部分:神经内镜下切除右侧中鼻甲,离断鼻中隔,暴露蝶窦前壁和双侧蝶窦开口,磨除蝶窦前壁后进入蝶窦。然后由后方逐渐向前方暴露前颅底,开放双侧筛窦,可见肿瘤组织伴增生骨质,肿瘤呈灰红色,质地较韧,血供丰富,取少量肿瘤组织送冰冻病理提示“(颅底肿瘤)小蓝细胞恶性肿瘤,嗅神经母细胞瘤首先考虑”。随后分块切除由前颅底侵犯至鼻腔内的肿瘤组织,可见双侧筛前、筛后动脉参与肿瘤血供,予以离断,最后暴露颅底肿瘤。(2) 开颅部分:取冠状切口左侧单额入路,硬膜外悬吊后弧形剪开硬膜,抬起额叶,暴露肿瘤组织,见肿瘤广泛附着于前颅底。内镜下供血动脉离断后,颅内肿瘤血供明显减少。离断肿瘤基底,切开大脑镰,暴露对侧肿瘤组织。CUSA辅助下肿瘤内减容,然后小心分离肿瘤与额叶粘连,分块切除,注意保护后方的大脑前动脉复合体、两侧视神经和颈内动脉。显微镜下肿瘤基本切除,与鼻腔彻底打通。但肿瘤基底处较深,仍有少许肿瘤残留,取30度内镜下从颅内探查瘤腔,彻底切除位于前方颅底内侧面和嗅沟周围少量残余肿瘤。(3) 颅底重建:显微镜下,取带蒂骨膜瓣,附着于前颅底缺损处,取大腿脂肪填塞固定骨膜瓣,外覆免缝人工脑膜,生物胶水胶封。取大腿阔筋膜,于鼻内镜下覆盖于颅底硬膜缺损处,生物胶水固定,碘仿纱条填塞支撑。手术过程顺利,术后送ICU常规护理,予以抗感染、预防癫痫、护胃、雾化吸痰等对症治疗,术后患者生命体征平稳。术后复查CT未见明显出血(图3)。颅脑MRI增强检查提示肿瘤彻底切除,邻近脑实质未见明显水肿出血(图4)。常规病理检查提示:(1.颅底肿瘤 冰冻及常规)嗅神经母沺胞瘤(Hyams分级4级)。 图3 颅骨CT扫描+三维重建检查:颅脑、筛窦术后改变,未见明显出血。图4 颅脑MRI增强检查:前颅底、筛窦术后改变,未见明显水肿出血。 讨论:嗅神经母细胞瘤(olfactoryneuroblastoma,ONB)一种罕见的来源于特化的感觉性嗅神经上皮的恶性神经外胚层肿瘤,仅占所有鼻肿瘤的3%~5%,于1924年首次报道并命名,发病率约为0.4/100万[1]。这类肿瘤好发于鼻腔顶部、筛板区,可向鼻窦、眼眶、前颅底侵袭生长[2]。嗅神经母细胞瘤的临床表现由解剖位置决定,早期病灶较小时无明显症状,常导致诊断延迟,就诊时多属于中晚期,随病灶增大、病情进展,临床症状表现为鼻塞、反复鼻出血、嗅觉减退、头面部疼痛、视物模糊、眼球突出等,常为单侧症状[3]。嗅神经母细胞瘤的治疗方式主要包括手术、放疗和化疗,首选治疗方法为完整、彻底的外科手术切除,并联合放疗。对于高级别的ONB患者,完全切除后的辅助化疗也是有益的[4]。由于嗅神经母细胞瘤出现在上鼻腔和前颅窝之间的交界处的解剖位置,临床手术治疗存在一定的挑战,手术的最佳时机、最佳方法以及计划切除的范围必须与术后神经功能障碍的风险以及预防其他并发症(脑积水、脑脊液漏、颅内感染)的需要相结合。过去几十年治疗手段一直在不断改进,生存率也得以改善。最初采用经面部入路切除肿瘤,而部分浸润脑膜层进入大脑的肿瘤,通常需要两次手术或者颅面联合入路,实现肿瘤的整块切除[5]。另一方面,内镜手术技术不断发展,与经面、经颅入路相比,内镜手术的优点是手术时间较短、无外部切口、脑实质损伤最小、不操作神经血管结构、无需输血。部分鼻旁和前颅底肿瘤可以使用内窥镜技术完全切除[6,7]。然而,传统鼻内镜手术在某些情况下应用有限,包括肿瘤侵犯眶周鞘、眼眶结构、前桌、额窦侧隐窝以及侵犯颅内>2cm的肿瘤;仅使用传统的内窥镜方式很难完全切除肿瘤[8, 9]。经颅+经鼻内镜联合入路治疗颅内病变是不错的组合术式。与单独入路相比,经颅+经鼻内镜联合入路的优势在于:在血供复杂的颅底肿瘤中能够更好的分离血管,控制出血;对肿瘤的切除更为彻底;能够更好的保留重要组织结构;可以进行非常牢靠的颅底重建;降低感染等并发症的风险。通常来说,累及额窦前壁、大范围硬膜,颈内动脉或者脑实质的颅底肿瘤不建议单独使用经鼻内镜入路。在这种情况下,为了提高肿瘤的可见度和切除程度,以及控制出血,可以增加经颅入路[10]。当然,这种联合入路还要考虑患者的手术史,解剖结构是否清晰等基础条件。根据术前影像结果,本例患者的肿瘤病变位于前颅底中线,向上下、两侧的侵犯范围较大,仅使用经额入路无法处理肿瘤侵犯筛窦的基底部分,且容易造成脑脊液漏和颅内感染,而单一经鼻内镜入路也无法处理颅内上方及两侧的肿瘤组织。因此主刀医生选择内镜下切除筛窦部分肿瘤,离断肿瘤血供,打通颅底。而后,经单额入路,暴露前颅底,切除颅内横向扩展生长的肿瘤。术后患者恢复良好,未发生脑脊液漏及感染等并发症。该手术方案结合了内镜及开颅显微镜下手术的优点,为处理鼻窦的肿瘤侵犯前颅底病变提供了新的经验。 参考文献[1] Olmo HR,StokesSM,FossRD.Olfactoryneuroblastoma:acasereport[J].Headandneckpathology,2016,10(2):256-260.[2] ZhangL, Niu K,ZhuK,etal.Long-termprognosticanalysisafterendoscopicendonasalsurgeryforolfactoryneuroblastoma:aretrospectivestudyof13cases[J]. PloS one,2016,11(11):e0166046.[3] 杨柳青,张义,张磊. 嗅神经母细胞瘤CT及MRI影像表现1例报道 [J]. 中国临床研究, 2023, 36 (06): 955-957.[4] YangJ,SongX,LaiY,etal.Developmentandvalidationofapostoperativenomogramforpredictingoverallsurvivalafterendoscopicsurgicalmanagementofolfactoryneuroblastoma[J]. EClinicalMedicine,2020,29.[5] Dulguerov P, Allal AS,CalcaterraTC. Esthesioneuroblastoma:ameta-analysisandreview[J].Thelancetoncology,2001,2(11):683-690.[6] Radulesco T, Penicaud M, Dessi P,etal.Endoscopicsurgeryfor sinonasal tumors:the transcribriform approach[J].JournalofStomatology,OralandMaxillofacialSurgery,2017,118(4):248-250.[7] YuY,El‐SayedIH,McDermottMW,etal.Duralrecurrenceamong esthesioneuroblastoma patientspresentingwithintracranialextension[J].TheLaryngoscope,2018,128(10):2226-2233.[8] SnydermanCH,PantH, Carrau RL,etal.Whatarethelimitsofendoscopicsinussurgery?:theexpandedendonasalapproachtotheskullbase[J].TheKeiojournalofmedicine,2009,58(3):152-160.[9] TanakaK,OzakiT.NewTNMclassification(AJCCeighthedition)ofboneandsofttissuesarcomas:JCOGBoneandSoftTissueTumorStudyGroup[J].Japanesejournalofclinicaloncology,2019,49(2):103-107.[10] VanNgoC,NguyenH, Aklinski J,etal.Combinednasalendoscopicand subfrontal craniotomyforresectiontumorsofanteriorskullbase[J].JournalofCraniofacialSurgery,2022,33(2):588-591.
浙大二院神经外科科普号
2024年03月30日
247
0
0
-
开颅手术切除颅内外广泛沟通的巨大嗅神经母细胞瘤,挽救患者生命
摘要:因头痛、嗅觉丧失、视力下降、癫痫发作就医的青年男性,检查后发现是前颅底内外沟通的巨大嗅神经母细胞瘤。患者颅内高压、神经功能障碍严重、危及患者生命安全,我们通过开颅手术成功切除前颅底内外沟通的巨大肿瘤,挽救了患者生命、改善了其神经功能。大家平时有头痛、视物模糊、闭塞、嗅觉异常等不适症状,一定要到专科就诊评估、排除相关疾病风险,不要盲目对症处理,延误病情。【基本信息】男,31岁【疾病类型】前颅底内外沟通嗅神经母细胞瘤【就诊医院】中国医学科学院肿瘤医院【就诊时间】2015-6【治疗方案】全麻下行冠状切口额底入路-双侧前颅底内外沟通肿瘤切除+硬膜修补+颅底骨膜瓣修复+鼻窦鼻腔开放重建+骨瓣复位固定术。【治疗周期】住院14天,每半年门诊随访。【治疗效果】术后患者头痛明显减轻,双眼视力较术前明显好转。一、初次面诊 患者因“头痛、嗅觉丧失、视力下降2月伴抽搐1次”到我的门诊就诊。患者当时痛苦表情明显,视力不好、需要家属搀扶引导就坐。 患者2月前无明显诱因出现嗅觉丧失、视力下降症状,未引起重视;后突发晕厥抽搐一次,表现为意识丧失、全身抽搐(考虑为癫痫发作,具体不详);当地医院检查发现颅内外沟通性占位病变,建议转院治疗。近2个月来,有进行性加重的头痛头晕症状,记忆力减退。这时患者意识到病情已非常严重,于是辗转就医、来到我院就诊,寻求进一步治疗。二、治疗经过患者来院时头痛明显、视物不清,查体:神清语利,计算力、记忆力下降,查体欠配合。双瞳孔等大等圆,直径3mm,光反射灵敏;眼球各项运动正常,患者自诉视物重影。粗测双眼眼前1米指数可辨,自述视敏度较前下降,左眼症状重;视野检查不能配合。四肢肌力、肌张力正常。双侧病理征(-)。为了进一步明确病变部位和性质,进行头颅CT和MRI检查,结果提示:前颅底内外沟通性巨大肿瘤,囊变坏死明显;实性肿瘤呈稍长T1、等T2信号,增强后明显均匀强化;囊变区可见囊壁强化。病变以左侧为主,向上推挤压迫双侧额叶,后方推挤压迫双侧基底节区、下丘脑、三脑室和侧脑室,左侧侧脑室、三脑室受压缩窄,右侧脑室扩大;左侧病变后下突入中颅窝,左侧颞叶受压明显。病变突破颅底,侵犯额窦、蝶窦、鼻中隔和鼻甲,左侧上颌窦炎症表现;向两侧累及眶内侧壁。前颅底骨质破坏明显。根据病史和临床症状,并结合头颅CT、MRI的结果,初步诊断为嗅神经母细胞瘤。入院后,医护人员对患者的心理进行疏导,获得患者及其家属的同意后,完善垂体激素、皮质醇、血常规、生化、凝血、心电图等常规术前检查,未见明显异常,排除手术禁忌症。因患者肿瘤巨大、占位效应明显、颅内压很高、神经压迫严重,因此建议患者进行尽快手术、切除肿瘤,保护神经功能、挽救生命。术前向患者和家属充分讲解了手术的必要性和手术相关的风险,征得了患者和家属的同意和配合。在充分完善术前相关准备工作后,在全麻下进行了冠状切口额底入路-双侧前中颅底内外沟通肿瘤切除+硬膜修补+颅底骨膜瓣修复+鼻窦鼻腔开放重建+骨瓣复位固定术,手术顺利,耗时5小时。患者清醒后安返病房。术后肿瘤标本送病理学检查。术后6小时复查头颅CT:提示肿瘤切除彻底,术区未见异常。术后给予患者头孢呋辛预防性抗感染治疗48小时,并给予止血、止吐、保护胃粘膜、补液支持等对症冶疗,患者恢复顺利。三、治疗效果 术后病人恢复良好,体温正常,术后第5天下床活动、恢复正常饮食。查体:神志清楚,言语流利。双瞳孔等大等圆,直径约3mm,对光反射灵敏;眼球各项运动正常、无复视。双眼视力较术前明显改善。颈部柔软、无强直。头痛症状在术后第5天、明显缓解。术后第8天拔除鼻腔填塞承托颅底的碘仿纱条,患者鼻腔干燥,无异常渗出。术后第10天顺利出院。病理结果回报:嗅神经母细胞瘤。四、注意事项1、手术前积极配合医生调整身体状况,保证充足的睡眠。2、术前配合医生完善头颅CT、MRI等辅助检查,以明确病变部位和范围,制定合理的手术方案。3、术后保持大便通畅、避免咳嗽打喷嚏,防止颅底愈合不佳、脑脊液漏。4、术后严格根据医嘱用药,降低术后发生颅内感染等并发症的风险。5、出院后注意休息,注意清淡饮食,均衡营养,避免过度用眼,保证充足的睡眠。6、出院后注意保暖、保持大便通畅、心情舒畅,避免感冒咳嗽、搬动重物、用力大便等动作,防止脑脊液漏发生。7、出院后,如有发热、头痛、恶心、呕吐等不适症状,及时就近就诊。8、因患者为颅底恶性肿瘤,建议术后2周放疗科门诊就诊,考虑辅助性放疗、降低复发几率。9、3个月后回院复查头颅MRI等。 五、个人感悟 嗅神经母细胞瘤是一种来源于鼻腔、鼻窦嗅上皮的神经外胚层恶性肿瘤。临床罕见,发病率较低,约占鼻窦肿瘤的2-3%,发病无性别差异,各个年龄段均可发病。嗅神经母细胞瘤的临床表现不典型,发病早期可无明显临床症状;随病情发展可出现鼻衄、鼻塞,嗅觉减退或丧失,往往伴有头痛;侵入眶腔可导致流泪、视物模糊、眼球突等;侵犯颅内导致额叶损伤可能引起癫痫、精神情感障碍等,严重时由于肿瘤会压迫额叶、视神经、视交叉、垂体、垂体柄、下丘脑,可导致失明、内分泌功能障碍、偏瘫甚至昏迷等。治疗上,以手术切除为主导、结合放化疗的综合性治疗是主要的治疗策略。本例患者2月前嗅觉丧失、视力明显下降、并出现癫痫症状,从肿瘤大小来看、应该病史更长,就是说患者在之前很长一段时间内应该早就有头痛、嗅觉减退、鼻塞等一些症状,但因为症状轻微、往往不被重视。长期的不重视导致未能及时发现肿瘤,肿瘤已经广泛侵犯颅内、极大增加了手术的风险。比较幸运的是,经过我们积极的救治,患者恢复过程还比较顺利。但大家在平时一定要注意,有身体不适、务必及时就医检查,以免延误病情。
孟肖利医生的科普号
2023年02月05日
349
1
0
-
嗅神经母细胞瘤/嗅母(EsthesioNeuroBlastoma,ENB)-放疗视角
https://station.haodf.com/health/article?healthId=8618325133&articleId=9388974599一、概述嗅神经母细胞瘤(esthesioneuroblastoma,ENB)是一种少见的恶性肿瘤,约占所有鼻腔肿瘤的3%~5%,其发病率为0.4/100万。尽管其组织学来源仍未最终确定,但一般认为起源于鼻腔顶部的嗅神经上皮,属于神经外胚层肿瘤。二、流行病学与病因嗅神经母细胞瘤发病率较低,仅占所有鼻腔鼻窦肿瘤的3%~5%,其发病率为0.4/1,00万可发生于任何年龄,文献报道1~90岁均可发生,有两个发病高峰,分别在10~20岁和50~60岁。但有的文献表示并未发现明确的发病高峰。男女发病率相似。目前嗅神经母细胞瘤发病病因尚不详,尚未发现与嗅神经母细胞瘤明确相关的致病因素或暴露因素,吸烟与饮酒这两个与头颈部肿瘤发生密切相关的因素,在嗅神经母细胞瘤中并未发现明确的致病关系。但在动物实验中发现,啮齿动物的连续亚硝胺暴露后可诱发嗅神经母细胞瘤。三、解剖嗅神经母细胞瘤目前起源尚不明,但大多数学者认为起源于嗅区上皮。嗅区位于上鼻甲以上及与其相对的鼻中隔黏膜区域,在活体呈苍白或淡绿色。嗅神经则分布于鼻甲上方及鼻中隔上方嗅区的嗅黏膜中,经筛孔入颅,向上终止于嗅球的前端,因而嗅神经母细胞瘤的好发部位及病变中心多位于上鼻腔及前组筛窦,其自然病史也非常类似于筛窦肿瘤。向上经筛板侵犯前颅窝,向两侧经纸样板侵犯眼眶及眶内容物、翼腭窝,向后可累及视神经,四、淋巴引流早期嗅神经母细胞瘤的淋巴结转移概率较低,多认为KadishA/B期者出现淋巴结转移的概率低于10%,而KadishC期者淋巴结转移概率增加,达20%~44%。淋巴结阳性预后欠佳。对于嗅神经细胞瘤,其最常见的淋巴结转移部位为颈部淋巴结和咽后淋巴结,与原发肿瘤部位及侵犯范围相关,颈部淋巴结转移以ⅠB区及Ⅱ区多见。五、临床表现最常见的临床表现为鼻塞和鼻出血,与其他鼻窦病变的症状相似,缺乏特异性。其他症状有头痛、溢泪、嗅觉丧失、眼球突出、视物模糊、颈部肿块等。有约<1%的病例可出现内分泌异常主要为抗利尿激素分泌增加和库欣综合征。临床检查肿瘤为位于鼻顶、上鼻甲或鼻中隔后上方的息肉样肿物,部分肿物呈结节状,质地偏脆,触之易出血。就诊时病变常已累及筛窦,并可侵犯颅底及颅内脑组织、上颌窦、眼眶、视神经等。文献报道的从首发症状到诊断该病的中位时间为6~11个月。颈部淋巴结转移较多见,就诊时4%~18%的病人伴有颈部淋巴结转移,累积颈淋巴结转移率20%~33%,在KadishC期病人中,淋巴结转移率可高达44%。该病易出现远地转移,累积远地转移率可高达33%~40%,最常见的部位为骨,肺和脑,乳腺、大动脉、脾脏、前列腺、脑脊膜等部位的转移也有报道。嗅神经母细胞瘤的临床异质性很大,有的病变进展很快,生存期很短。而有的在发现肿瘤后,甚至可带瘤生存20年以上。六、诊断与分期嗅神经母细胞瘤的临床表现无特异性,确诊有赖于病理诊断。当肿瘤分化很差时,在光镜下与发生于鼻腔的其他小细胞肿瘤(如恶性黑色素瘤、胚胎性横纹肌肉瘤、神经内分泌癌、恶性淋巴瘤、髓外浆细胞瘤、鼻腔的未分化癌及Ewing's瘤等)较难鉴别。免疫组化检查在嗅神经母细胞瘤的鉴别诊断中有着重要的意义,嗅神经母细胞瘤没有特异的细胞免疫特征,多数肿瘤对神经元及神经内分泌标记呈阳性反应,如神经元特异性烯醇化酶(NSE)、S-100蛋白、嗜铬粒蛋白(chromograninA)、突触素(synaptophysin)等,而上皮膜抗原(EMA)、淋巴细胞共同抗原(LCA)、角蛋白(Keratin)等呈阴性反应。电镜检查对免疫组化仍不能鉴别的病例可以提供帮助。嗅神经母细胞瘤的组织学特征与预后有一定相关性。Hyams根据组织学特征将嗅神经母细胞瘤分为4级,并认为病理分级和预后相关。另外,Hirose及Eriksen均发现在嗅神经母细胞瘤中,S-100蛋白阴性及Ki-67标记指数超过10%也与不良预后相关。注:.H-W菊形团:即Homer—Wright菊形团(又名假菊形团),瘤细胞呈环形排列,中心为嗜酸性的细胞突起;.Flexner菊形团:又名真菊形团,瘤细胞呈环形排列,中心为空腔,似腺样结构。嗅神经母细胞瘤的分期系统最早是由Kadish于1976年提出的,根据肿瘤的侵犯范围分为A、B、C三期,A期是指肿瘤局限于鼻腔,B期指肿瘤侵及鼻窦,C期指肿瘤超出鼻腔和鼻窦范围,包括局部晚期、颈部淋巴结转移和远处转移等情况。后来一些文献认为,Kadish分期中的KadishC期存在很大的异质性,将局部晚期ENB及已出现颈部淋巴结转移或远处转移的病例一起归为KadishC期,影响预后判断。于1993年Foote提出的改良方案增加了D期,即有颈淋巴结或远处转移者为D期。Dulgureov则重新制定了嗅神经母细胞瘤的分期,采用TNM分期方式。但目前应用最广的仍是Kadish分期。七、治疗关于嗅神经母细胞的治疗,目前无成熟的治疗模式,许多小样本数据认为手术联合放疗为优选、应用最广、疗效最佳的治疗模式,能够降低局部复发率,延长生存。Dulguerov报道的系统回顾中,手术加放疗者的5年生存率为65%,单纯手术者为48%,单纯放疗者为37%,P值比较差异有统计学意义。全组的局部复发率为最主要的失败模式,达30%,而手术后辅助放疗的加入,将局部复发率降低至10%以内。Bailey等报道的117例采用不同治疗模式的远期结果,单纯放疗的5年总生存率为36%,单纯手术者为56%,而手术+放疗综合治疗者5年生存率最高达67%。许多研究结果均表明手术和放疗的综合治疗模式是ENB最有效的治疗手段,因此对ENB的治强调手术和放疗的综合治疗,以尽可能地改善预后。下表总结的是手术联合放疗对比单放的治疗疗效对比,均为回顾性研究。目前关于嗅神经母细胞瘤的治疗争论较大,争论的焦点集中在手术方式、化疗的价值、颈部淋巴结的预防治疗等几个方面。(一)手术治疗外科手术在治疗嗅神经母细胞瘤的一个显著进步是在20世纪70年代,其标志为在1976年由Virginia大学的Jane和Fitz-Hugh医师介绍的颅面联合外科手术用于治疗ENB,使手术切除率得到明显提高,改善了其预后。一些文献报道认为从1970年后的ENB的疗效的提高,归结于颅面联合手术的开展。Spaulding分析采用颅面联合手术术式前后的两组病例共25例,结果发现采用颅外手术方式者2年生存率为70%(7/10),而采用颅面联合手术者为87%(13/15)。在KadishC期病例,两者生存率差别更大,分别为50%(2/4)和88%(7/8)。而近现代微创手术的迅速进展,包括在颅底及前颅窝肿瘤的应用,使得腔镜手术在嗅母治疗中的应用越来越广。一些小样本的研究报道内镜手术疗效不差于开放手术。Devaiah回顾性分析361例嗅神经母细胞瘤不同手术方式的疗效时,发现接受内镜手术的生存优于接受开放手术。然而不同手术方式的选择存在一定的偏移,接受内镜手术的患者病期偏早,术后接受更为积极的放化疗,随访期短。因嗅神经母细胞瘤发病率少,目前针对腔镜手术在嗅神经母细胞瘤中的应用仍存在争议,有的研究认为能够达到完整切除的腔镜下手术其预后与颅面联合手术类似。手术切缘是否阴性是影响预后的重要因素。而目前由于嗅神经母细胞瘤多累及前颅窝,即使颅面联合手术也不一定能达到阴性切缘,因此腔镜手术与开放手术孰优孰劣尚不明确。(二)放射治疗许多作者认为手术联合放疗的综合治疗模式疗效较好。其较单纯手术或单纯放疗能提高局部控制率,延长生存期,但这些资料均未得出有统计学意义的结果,考虑可能与病例数少、接受术后放疗者较单纯手术者病期相对更晚等有关。在综合治疗中,采用术前放疗或是术后放疗目前尚无定论,如Eden等的结果提示无论采用术前,或是术后放疗,总生存率差异无统计学意义,但术前放疗较术后放疗提高了局部肿瘤控制率。在放疗与手术的顺序上,国内外有一定区别,国外多主张先行手术切除,然后根据分期、手术情况决定术后的放射治疗方案,如MDAnderson肿瘤中心的治疗原则为先行颅面外科手术,然后术后放疗;国内如中国医学科学院肿瘤医院则主张对已明确诊断的ENB应先行放射治疗,DT50~60Gy时评价疗效,如肿瘤达完全消退或消退明显,可给予根治性放疗,手术留待挽救治疗,如肿瘤消退不明显,则休息2~4周外科手术切除。而目前随着腔镜手术的发展,许多学者开始探索微创手术加高剂量放疗用于ENB的治疗。Polin等分析了34例嗅神经母细胞瘤,采用术前放疗加或不加化疗,取得了81%的5年生存率。2001年Unger等也报道了6例病人,应用内镜下手术加γ-刀治疗,6例病人中,B期和C期各3例;Hyam's病理分级2级1例,3级3例,4级2例;放疗在术后3个月内进行,靶区周边剂量(45%~85%)为16~34Gy。平均随访57个月,所有病例均无病生存。以上结果令人鼓舞,微创手术加高剂量放疗给嗅神经母细胞瘤的治疗提供了一个新的选择,值得进一步探索。对于手术无法切除者,根治性放疗是可选择的治疗手段,既往各文献报道的单纯放疗的治疗效果不一,从37~52%,但病例数少。Broich复习文献发现165例单纯放疗的病人,5年生存率为53.85%。Dulguerov分析24篇病例随访满5年的文献后发现,单纯放疗5年生存率为37%。Kane报道的88例单放的嗅神经母细胞瘤病例,其5年生存率为52%。在比较放疗和手术的疗效时应该注意到,单纯放疗多用于晚期不能手术的病人,因而结果的可比性较差。1.放疗技术常规放射ENB的常规放疗技术与鼻腔筛窦癌相同,根据病变的侵犯范围而设计一正一侧两野交角楔形照射技术,或两侧野对穿照射技术。因侧野未照射到筛窦前组,因此前野开一电子线野,对前组筛窦进行补量,电子线能量多选择6~9MeV。2.调强放疗按中国医学科学院的治疗经验GTV为结合影像学的肿瘤体积,CTV1包括GTV、侵犯的周围邻近器官及周围的高危区域,如包括全部鼻腔、筛窦、侵犯上颌窦的全部、对侧上颌窦的内1/3、鼻咽腔、咽后淋巴结、双侧ⅠB、Ⅱ区淋巴结引流区等,CTV2为颈部预防区。KadishA/B期颈部淋巴结转移率低于10%,是否做颈部预防尚无明确定论,对于KadishC期,则需常规行颈部预防照射,行双中上颈(Ⅰb、Ⅱ、Ⅲ区淋巴结引流区)或全颈照射。调强放疗剂量:GTV:70~76Gy/6~7w,PTV1:60~66Gy/6~7wPTV2:50Gy/5w。此为根治性放疗剂量,术前放疗剂量为50Gy,术后放疗剂量为50~60Gy。注:行根治性同步放化疗,敢疗的靶区CTV1包括了全部鼻腔,筛窦,同侧上颌窦,对侧上颌窦内侧,鼻咽腔,咽后淋巴结引流区,双侧ⅠB、Ⅱ区,右侧Ⅲ、Ⅳ区;CTV2包括左侧Ⅲ、Ⅳ区。3.放疗后不良反应鼻腔及鼻窦肿瘤放疗后软组织及软骨坏死并不常见,总发生率为5%~10%。其中严重的不良反应为眼睛及视通路的不良反应。文献报道若泪腺接受30~40Gy以上的剂量,干眼症是最常见的不良反应。若角膜接受55Gy以上的剂量,发生慢性角膜炎的概率约为20%;白内障的发生与晶体接受的剂量密切相关,若接受10Gy,则5年出现白内障的可能性为5%,若为18Gy,则白内障的发生风险增加至50%;而放疗导致的视网膜病变发生在放疗结束后18个月至5年,剂量小于45Gy时视网膜病变发生率很低,而剂量增加至55Gy时,其发生率增加至50%;视神经病变亦发生在放疗后2~4年,视神经接受剂量为50~60Gy时,视神经病变发生率小于5%,而在剂量增加至61~78Gy时,视神经病变的发生率为30%。(三)化疗自1988年化疗首次应用于嗅神经母细胞瘤治疗后,化疗也越来越多用于ENB的治疗。在嗅神经母细胞瘤的治疗中多作为辅助治疗或术前新辅助治疗,一般不作为单一治疗手段,关于化疗在嗅神经母细胞瘤中的作用目前尚不肯定。常用的化疗药物包括顺铂、多柔比星、长春新碱、环磷酰胺、足叶乙苷,白蛋白紫杉醇等等。化疗在嗅神经母细胞瘤治疗中的地位尚不明确,诱导化疗可以减轻肿瘤负荷,减少肿瘤范围,提高肿瘤切除率,并可能降低远转率。Bhattacharyya等报告了9例嗅神经母细胞瘤及神经内分泌癌病人,其中嗅神经母细胞瘤5例,应用两周期环磷酰胺、足叶乙苷及顺铂化疗,然后行质子加光子立体定向放疗,放疗剂量68Gy,放疗结束后再加用两周期化疗,结果平均随访20.5个月,所有病例均无病生存。Dulguerov报道的75例放疗联合化疗者5年总生存率51%,而单纯放疗者仅为37%,因病例数较少,未达到统计学意义。Kane报道的54例高级别嗅神经母细胞瘤术后或手术联合放疗后是否使用辅助化疗的疗效,其中例为手术或手术联合放疗+化疗组5年生存率为75%,而无辅助化疗组5年总生存为47%,但差异无统计学意义。可以看出化疗的加入可以改善ENB的预后,但因均为回顾性分析,病例数少,差异无统计学意义。目前,对嗅神经母细胞瘤的治疗还存在较多争议。但人们普遍认为,早期病例(KadishA、B期或DulguerovT1、T2期),病理分级为低度恶性(Ⅰ或Ⅱ级),手术切缘干净者,可以考虑单纯手术;而对于其他A、B期病例,加用术后放疗是合理的。目前国外应用最多的手术方案为颅面联合手术。对局部晚期病例(如KadishC期)或切缘阳性病例,加用术后放疗可以明显提高疗效,也可使用术前放疗加或不加化疗。多数文献报道单纯放疗的疗效低于单纯手术,但应该注意到,接受非手术治疗的病人较接受手术治疗的病人病期更晚,因而放疗的地位有待进一步正确评定。对不能接受手术治疗的病人,放疗加化疗的综合治疗应为首选。对于局部晚期病例,颈部应作预防性放疗。八、失败模式局部区域失败及远处转移是主要的失败模式,既往报道的局部复发占18%~30%;区域淋巴结复发占16%~18%;远处转移占10%~27%。中国医学科学院肿瘤医院报道的49例嗅神经母细胞瘤局部失败率为25%,区域失败率为12%,远地失败率为29%,其中首次复发时间为2~77个月,中位复发时间为22个月,但不少失败发生在治疗5年之后,因此嗅神经母细胞瘤需长期随访。复发的患者中近90%接受挽救治疗,复发后的生存时间可达20个月,因此对于复发后的患者亦需积极治疗,部分患者可获得长期生存。九、预后因素(一)年龄Kane分析956例嗅神经母细胞瘤中,发现年龄大于65岁与≤65岁相比,5年总生存分别为53%与78%,预后更差。(二)颈部淋巴结转移Dulguerov等复习文献报道的390例嗅神经母细胞瘤后发现,有颈部淋巴结转移和无颈部淋巴结转移5年生存率分别为29%和64%。中国医学科学院肿瘤医院分析49例ENB亦证实有颈部淋巴结转移和无颈部淋巴结转移的5年总生存率分别是17.8%和70.8%,5年无病生存率分别是0和53.4%,差异有统计学意义。颈部淋巴结转移是预后不良因素。而既往对于是否进行淋巴结预防性照射存在争议。鉴于嗅神经母细胞瘤初诊时淋巴结转移率从10%~30%,KadishC期淋巴结转移率可达44%。在整个病程中出现淋巴结受累的占40%,其中在治疗失败分析时,区域失败是较为常见的失败模式,因而多数作者认为,对于局部晚期病例,颈部应作预防性放疗。Koka分析了33例治疗前无颈部淋巴结转移的病例,接受预防放疗者12例,随访期内没有一例发生颈部淋巴结转移,没接受预防放疗者21例,有19%出现了颈部淋巴结转移。颈部预防放疗的剂量一般给予46~50Gy。对于早期病例,颈部淋巴结的转移率≤10%左右,预防性放疗似无必要。如果已经发生颈部淋巴结转移,积极治疗仍有部分病例可长期存活,淋巴结复发的挽救治疗仍可获得较好疗效,Morita报告部分病例可存活10年以上。1.Kadish分期2001年Duguerov报道的1990~2000年390例ENB中KadishA期的5年总生存率为72%,KadisB期的5年总生存率为59%,KadishC期5年总生存率为47%。2007年JethanamestD基于SEER数据库中从1993~2000年共261例ENB病例中,KadishA期的10年生存率为83.4%,KadishB期10年OS为68.3%,KadishC期10年OS38.6%,KadishD期的10年总生存为13.3%。2010年Kane3报道的1995~2009年956例嗅母KadishA期的5年及10年生存率为88%及79%;KadishB期的5年及10年总生存分别为79%及74%,KadishC期的5年及10年生存率分别为68%及50%。各分期间生存率比较差异有统计学意义,Kadish分期是ENB重要的预后因素。2.Hyams分级嗅神经母细胞瘤的组织学特征与预后有一定相关性。Morita等观察49例嗅神经母细胞瘤发现,病理分级是一个具有显著意义的预后因子,低分级(Ⅰ/Ⅱ级)肿瘤的5年生存率为80%,而高分级者(Ⅲ/Ⅳ级)为40%(P=0.0001)。Dulguerov的一篇荟萃分析汇总了390例嗅神经母细胞瘤的资料,发现HyamsⅠ/Ⅱ级者5年生存率为56%,而Ⅲ/Ⅳ级者为25%,危险比为6.2。最近Kane分析63例ENB患者治疗疗效,发现hyamsⅠ/Ⅱ级与Ⅲ/Ⅳ级的5年总生存率分别为89%vs49%。即使在局部晚期病例中,即KadishC期病例中,hyams分级影响预后,低分级者预后较好,虽然其局部病变非常广泛,其5年总生存率为86%,5年无病生存率为65%,而高分级者5年总生存率为56%,5年无病生存率为49%。GabrialG认为Hyams分级与ENB的生物学行为有一定的相关性。低级别及高级别嗅神经母细胞瘤的自然病程预后不同,低级别者自然病程长,进展慢,淋巴结转移率低,对诱导化疗有效率低,但病变较局限,较少出现颈部淋巴结转移和远处转移,预后较好;而高级别嗅神经母细胞瘤自然病程短,侵袭性强,发病时多为局部晚期,出现颈部淋巴结概率高,对诱导化疗有效,但同时容易复发及远转,预后差。但也有作者报道了相反的结果,认为Hyams病理分级不能判断预后。由于目前hyams病理分级对嗅神经母细胞瘤的预后预测作用尚不明确,因此并没有将hyams分级作为常规病理分级。3.手术切缘状态GruberG报道的28例嗅神经母细胞瘤中,其中13例为R0/R1切除,15例为R2切除或仅为活检术,两组的5年局部失败率分别为8%和47%,无病生存率分别为55%和0%,肿瘤特异性生存分别为91%和51%,两组间比较差异有统计学意义。有研究认为,在腔镜手术情况下,若能达到阴性切缘,预后与开放手术相同。手术切原状态相对于手术方式对预后产生的影响更为明显。十、研究进展因嗅神经母细胞瘤发病率非常少,目前国际上尚无明确的治疗原则及规范的TNM分期系统。目前研究的热点主要在于化疗在嗅神经母细胞瘤中的作用,微创手术联合放疗能否取代开放手术联合放疗,颈部淋巴结预防性治疗等方面。
曾辉医生的科普号
2022年07月18日
2574
0
3
-
嗅神经母细胞瘤综合治疗
王琪医生的科普号
2019年10月11日
1389
0
3
-
嗅神经母细胞瘤治疗
王琪医生的科普号
2019年09月19日
1351
0
1
-
嗅神经母细胞瘤的治疗
嗅神经母细胞瘤(Olfactory neuroblastoma)又称为Esthesioneuroblastoma (ENB)于1924年首先被国外学者命名,是一种来源于鼻腔的非常罕见的恶性肿瘤,占所有鼻腔内肿瘤的1-6%,占所有人类肿瘤不到1%。肿瘤发源于筛板的嗅黏膜,常侵犯副鼻窦、眼眶和颅底,常见的症状包括鼻塞、鼻衄、流涕、副鼻窦区域疼痛、视觉改变、面部麻木,或出现颈部肿块,通常在发现时疾病已经处于局部晚期,颈淋巴结转移发生率为17-27%,远处转移发生率为10-40%。除CT外,MRI是一种有用的分期工具,它能够很好的鉴别肿瘤与副鼻窦炎。 影响ENB预后的因素包括年龄、分期、性别和病理分级。年龄大于50岁的患者预后比女性患者差,有淋巴结阳性的患者较淋巴结阴性的患者预后差(5年生存:29% VS.64%)。病理分级也是一个重要的预后因子,Hyams分级是根据明确的组织学特征如小叶结构、神经纤维背景、菊花团形状、核分裂像、有丝分裂、凋亡和肿瘤钙化来确定的。有报道高分级患者比低分级患者预后显著差(5年生存率:36% VS.81%)。文献报道,ENB在根治性治疗后局部区域失败率为24%-75%,5年生存率为60%-78%,在一篇报道中,接受手术+放疗的患者5年局部控制率为87.4%,而接受单纯手术的患者为51.2%,发生局部区域失败的患者,其失败部位常为筛窦和眼眶,患者也可以发生肝或脑组织转移。对于不同的治疗方法,目前文献上还没有普遍一致的认识,但比较一致的看法是:联合治疗优于单一手段治疗。在一篇报道中,手术联合术后辅助放疗的无复发生存率为92%,而单纯手术为14%,单纯放疗为40%。手术联合放疗可以使生存率提高20%。对于分期为Kadesh A、B的患者,大多数专家倾向于手术联合放疗,而对于C期患者,常需要在上述方案基础上增加化疗。ENB的放疗技术随着时代不同而变迁,从最初的颅内镭植入、钴60、低能射线放疗,到目前的质子或光子射线照射。传统的放疗技术包括三野照射:一个前野和两个侧面楔形野,术后放疗剂量通常为50-65Gy。由于肿瘤靶区靠近许多重要组织器官如眼眶内结构,很难使有效的放疗剂量安全投射到肿瘤部位或手术后瘤床,如果采用调强放疗(IMRT)或立体定向放射治疗,则有可能在保证重要器官受照剂量在耐受剂量以下的同时,给予肿瘤或瘤床更高的剂量,从而提高肿瘤的局部控制率和生存率。目前,也有少数单位开展术前放疗,Polin等报道34例经病理确诊的ENB患者通过术前放疗±化疗,再手术治疗的研究结果,5年、10年生存率分别为81%、54.5%,该研究结果令人鼓舞,因为在这些患者中,有23例均为Kadesh C期。来自Meta分析的结果显示,5年总生存率为45%,5年无疾病生存率为41%。(编译自:Cummings Otolaryngology: Head & Neck Surgery, 5th ed)
陆合明医生的科普号
2011年10月08日
7954
0
1
-
嗅神经母细胞瘤
嗅神经母细胞瘤简介起源于嗅神经的神经外胚层,占鼻腔肿瘤的3%,过去被认为是良性或低度恶性肿瘤.因其确切的组织来源不明确,曾被命名为嗅神经上皮瘤、嗅神经母细胞瘤(0lfactory neuroblastoma,ONB),成感觉神经母细胞瘤(esthesioneuroblastoma,ENB)。 1993年WHO肿瘤病理分类将嗅神经母细胞瘤归于神经元肿瘤,并加括号说明包括嗅神经上皮瘤。本病可见于任何年龄,其中l0~20岁、50~60岁为双高峰,男性多见。该肿瘤一般发生于鼻腔顶部、上壁及侧壁,病程进展较缓慢,呈局部侵袭性生长,可侵及筛窦、上颌窦、蝶窦和额窦,也可向眼眶、鼻咽部和颅内侵犯,可有淋巴结转移,约1/5的病例有远处转移,最常见的部位为骨和肺,乳腺、大动脉、脾脏、前列腺等部位的转移也有报道。临床表现1.症状与体征 嗅神经母细胞瘤发病隐匿且大多数患者症状不明显, 早期主要症状有鼻塞鼻出血、头痛、流涕及失嗅等慢性鼻窦炎症状,其中失嗅出现率最高。进展期患者还会出现溢泪、突眼、复视和视力损害等眼部症状。极个别患者出现抽搐、意识丧失等神经精神症状。检查发现, 患者鼻腔上部肿瘤, 多为灰红色, 质地较脆, 触之易出血。目前本病多采用Kadish等提出的临床分期:A期肿瘤局限于鼻腔;B期肿瘤侵及鼻窦;C期肿瘤超出鼻腔和鼻窦范围,可侵犯筛板、眼眶、颅底、颈部或远处转移。2.影像学特征 CT表现为等密度影,MRI呈Tl等或低信号、T2高信号且不均匀强化。CT能很好的提示肿瘤组织对其周围骨结构的破坏情况,而MRI则能清晰显示肿瘤组织向毗邻软组织,尤其是颅内和眶内的浸润程度。诊断与鉴别诊断ENB起病隐匿,临床表现无特异性,确诊主要依赖于病理检查,ENB在光镜下表现为高密度的小圆形细胞,大小一致,少数纤维状胞浆,核深染,瘤细胞排列成小叶状、片状、条索状,绝大多数病例均存在多少不一,典型及不典型的菊形团结构。该瘤低倍镜下需与未分化癌、恶性淋巴瘤、胚胎性横纹肌肉瘤等相鉴别。治疗自从1924年Berger 首次报道以来,目前已经报道1 000多例。嗅神经母细胞瘤治疗有单独手术、放疗、手术结合放疗,但化疗的作用不能确定,尚没有标准的化疗方案。目前主要采用以手术治疗为主的综合治疗。根据手术径路的不同分为鼻外径路手术和经鼻鼻内镜手术。鼻外径路手术(缅中掀翻,鼻侧切开)径路宽阔,术野清晰,能够充分暴露肿瘤边界;其缺点除了面部遗留瘢痕和可能导致畸形外,部分病例还可引起以下围手术期及术后并发症:持续的脑脊液漏、额瓣脓肿、颅腔积气、硬膜下血肿并感染、前额骨盖坏死、额窦黏液囊肿、泪道狭窄和单侧失明。鼻内径路手术。经鼻内径路切除前颅底恶性肿瘤具有以下优点:①能非常好的窥视整筛窦区域,尤其是前筛区和蝶窦;②保留了向外的骨性边界,减少了囊肿形成的可能性,避免了对年轻患者面部、颅骨发育的影响;③自额窦后壁下部至蝶骨平面中部、侧面至纸板的脑膜缺损均可经此径路于显微镜或内镜下进行修复;④避免了面部瘢痕与畸形。术前放疗,可以有效地缩小肿瘤体积,使较大的肿瘤能够在鼻内镜下完整切除。术后放疗可以降低肿瘤复发,提高疗效。多数学者认为ENB 的预后与Kadish 分期有关。据统计该病A、B、C 期的5 年生存率分别为75%、68%和41%。
陈晓红医生的科普号
2011年03月27日
13631
0
1
相关科普号

曾辉医生的科普号
曾辉 主任医师
武汉市第六医院
肿瘤科
2403粉丝812.1万阅读

陆合明医生的科普号
陆合明 主任医师
广西壮族自治区人民医院
放疗科
4粉丝2.2万阅读

梁莉医生的科普号
梁莉 主任医师
北京大学第三医院
肿瘤化疗科
509粉丝15.1万阅读
-
推荐热度5.0史剑波 主任医师中山一院 耳鼻咽喉科/鼻专科鼻窦炎 293票
小儿腺样体肥大 120票
鼻中隔偏曲 66票
擅长:慢性鼻窦炎、鼻息肉,腺样体肥大,鼻腔良性和恶性肿瘤、鼻眼相关、鼻颅底外科疾病的诊治 -
推荐热度4.5王德辉 主任医师上海市五官科医院 鼻科鼻肿瘤 24票
鼻窦炎 19票
鼻中隔偏曲 16票
擅长:擅长多种鼻部、鼻眼相关和鼻颅相关疾病的药物及鼻内镜手术治疗。包括但不限于以下疾病: 1)鼻炎、鼻窦炎、鼻息肉、过敏性鼻炎、鼻部囊肿、鼻中隔弯曲,鼻内翻性乳头状瘤等良、恶性肿瘤; 2)慢性泪囊炎、外伤后失明、突眼、脑脊液鼻窦及颅底区肿瘤等。 3)鼻咽纤维血管瘤,嗅沟脑膜瘤、垂体瘤、鼻咽癌等多种鼻及鼻颅底区良恶性肿瘤的治疗。 4)以及其他的一些鼻眼和鼻颅相关的疾病 -
推荐热度4.3倪晓光 主任医师医科院肿瘤医院 内镜科鼻咽癌 182票
咽部肿瘤 139票
喉癌 47票
擅长:擅长: (1)鼻咽喉部良恶性肿瘤的诊断和鉴别诊断:鼻咽癌、口咽癌、下咽癌、喉癌 (2)鼻咽喉部良恶性肿瘤的内镜下微创治疗:声带息肉、声带白斑、咽喉部乳头状瘤、早期喉癌、早期下咽癌 尤其擅长: (1)咽喉早癌的内镜筛查及早诊 (2)咽喉早癌的内镜下微创治疗 (3)鼻咽癌的诊断及鉴别诊断 (4)声带息肉和声带白斑的鉴别诊断和微创治疗 (5)咽喉部乳头状瘤的微创治疗 (6)声带粘连的内镜下微创治疗 (7)原发灶不明颈部淋巴结转移癌的诊断及病灶检出 特色: (1)门诊局麻下声带息肉微创摘除术 (2)门诊局麻下咽喉部乳头状瘤切除术 (3)门诊局麻下声带白斑的微创剥脱术 (4)门诊局麻下声带粘连的微创分离术 (5)早期咽喉癌激光微创消融术 (6)咽喉早癌窄带成像(NBI)喉镜的精准诊断