精选内容
-
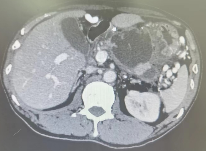
胰腺肿物——浆液性囊腺瘤
胰腺浆液性囊腺瘤(serouscysticneoplasm,SCN)约占原发性胰腺囊性肿瘤的16%[1],主要好发于中老年女性,且女性发病年龄普遍早于男性,也称为“奶奶瘤”,与胰管不相通[2]。SCN可发生于胰腺的任何位置,其中胰体和胰尾部发生率较高,且有逐年增加的趋势[2-3]。胰腺SCN常见的临床表现为非特异性腹痛,其他症状包括胰胆管梗阻、腹部肿块、乏力、恶心呕吐和体重减轻等,亦有相当比例的患者无症状,为影像学检查偶然发现[2,4]。SCN绝大多数为良性病变,预后良好,极少发生侵袭和转移,死亡率接近0%[5]。临床上对于SCN患者通常选择定期观察随访,只有临床症状明显、病灶较大、生长迅速或无法排除恶性可能的SCN才考虑手术切除[5-6]。SCN是一种预后良好的胰腺良性肿瘤,无症状患者通常无需采取手术治疗[4]。随着医学影像辅助检查的发展,胰腺囊性病变的检出率日益增加[12],因此提高术前影像诊断准确率,规避手术的创伤与风险变得日益重要。在临床实践中,常因SCN影像学表现不典型而无法排除其他具有恶变潜能的肿瘤,如MCN、IPMN、pNET等。CT和MRI是诊断胰腺囊性病变最常用的影像检查方法,PET-CT、EUS、超声造影、EUS-FNA也对诊断具有辅助价值。微囊型是SCN最常见与典型的影像学形态表现[2,14],纤维瘢痕、中央钙化和周围血管改变是诊断SCN的特异性CT征象,有助于与MCN、IPMN的鉴别诊断[15]。但SCN在CT中表现多样,部分病例缺乏钙化、纤维瘢痕等典型特征,而部分则可能出现类圆形、单囊型外观,或有分隔增厚、胰管扩张、胰腺实质萎缩等不典型表现,可能是术前误诊的重要原因[1]。(文献来源:王端,吴东,戴梦华,等.胰腺浆液性囊腺瘤手术切除患者172例的临床及影像学特征分析.中华胰腺病杂志,2024,24(01):33-38.DOI:10.3760/cma.j.cn115667-20230930-00036)浆液性囊腺瘤是良性肿瘤,常见于60岁以上的女性,恶变率极低,整体恶变率低于1%[18,19]。肿瘤生长过程中会压迫邻近器官,有时为了控制症状仍需要切除,尤其是年轻患者;如肿瘤最大径>10cm,建议手术切除,因为患者生存期长,肿瘤生长过程中可能会产生压迫症状或与血管致密粘连包裹,导致肿瘤不可切除。大部分浆液性囊腺瘤生长缓慢且无症状,所以如能获得明确诊断,不需要定期随访。(文献来源:楼文晖.对胰腺囊性肿瘤诊治中几个问题的思考[J].中华外科杂志,2024,62(10):909-912.)SCN是一种良性肿瘤,其特征是成簇的微小囊肿,这些囊肿的隔膜含有丰富的血管。恶性肿瘤的风险极低[9]。然而,对于大小超过4cm的肿瘤或因可能出现恶性肿瘤或症状表现(如腹痛、饱胀和黄疸)而快速生长的肿瘤,建议切除[10,11]。SCN偶尔会长得非常大,并与周围组织形成严重的炎症粘连,使手术作和解剖复杂化[12]。SCN的特点是恶性潜能极低[9]。对于肿瘤超过4cm、表现出可疑的恶性肿瘤特征、表现出快速生长(每年>4mm)或引起症状,可考虑手术切除[10,11]。巨大的SCN会诱发严重的炎症和粘连,压迫多个周围器官和组织,从而使手术干预复杂化。在某些情况下,切除邻近器官和主要血管(如结肠和门静脉)对于切除大SCN是必要的[12,17\u201219]。Liu等[12]报道了6例巨型SCN手术病例。在一个例子中,胰十二指肠切除术由于门静脉广泛受累而导致切除不完全,需要术中修复。另一例病例需要部分切除横结肠,因为肿瘤粘连牢固[12]。此外,巨型SCN通常会形成大量动脉供血器,导致脆弱的静脉结构扩张并使胰腺切除术复杂化。本病例中的肿瘤有两条原发性供血动脉:部分栓塞的GDA和完全栓塞的DPA。这种方法有效地防止了肿瘤扩张,缩小了扩大的引流静脉的大小,便于手术治疗。事实证明,进入肿瘤背侧的DPA栓塞至关重要,因为该区域最初难以进入。此外,在SMA线上方横切胰腺并将肿瘤从脾静脉向胰头分离,尽管门静脉分支晚期受伤,但仍可以安全、完全切除。考虑到胰十二指肠切除术对此类高血管分布肿瘤的复杂性,术前栓塞是巨型SCN的有效管理策略之一。高血管性胰腺肿瘤的术前动脉栓塞术可能会控制术中大量出血的风险,从而可能促进良好的术后病程。鉴于肿瘤难以管理、广泛的血管分布和严重的炎症粘连,巨型SCN的胰十二指肠切除术可能具有挑战性。采用IR进行术前流入控制是大型高血管性胰腺肿瘤有价值的胰腺切除术策略之一。(文献来源:MatsuyoshiT,IkenagaN,NakataK,OkamotoD,MatsumotoT,AbeT,WatanabeY,IdenoN,KakuK,FujimoriN,OhuchidaK,OkabeY,OdaY,IshigamiK,NakamuraM.Acaseofpreoperativeembolizationforagianthypervascularpancreaticserouscysticneoplasminpancreaticoduodenectomy.SurgCaseRep.2024Sep6;10(1):208.)
陈青山医生的科普号
2025年07月20日
261
0
0
-
胰腺囊性肿瘤,手术风险大难做决策!
赵东兵医生的科普号
2025年06月18日
65
0
4
-
与胰腺囊肿“和平共处”的智慧——同一天三位门诊患者的随访启示录
当体检报告上出现“胰腺囊性病变”时,很多人会陷入恐慌,仿佛体内埋藏了随时引爆的“炸弹”。事实上,超过70%的胰腺囊肿属于低危类型,例如生长缓慢的浆液性囊腺瘤(恶变率<0.1%)和分支胰管型IPMN(5年恶变风险约3%)。国际权威指南《Fukuoka共识》早已明确:若囊肿直径<3厘米且无壁结节、胰管扩张等高危特征,密切随访观察才是首选策略,而非贸然手术。 -病例1:69岁Z先生(随访9年),宁波当地医院体检发现2cm胰头囊性病灶,医生建议手术。2019年来我院门诊就诊,精准评估为分支胰管型IPMN,无需马上手术。每年接受MRI检查,至今病灶略增大。期间饮酒后发作胰腺炎1次,血糖始终正常。 -病例2:70岁D先生(随访5年半),本市某大型三甲医院检查发现1.6cm病灶,医生建议手术。2020年来我院门诊就诊,精准评估为囊腺瘤,无需手术。每年接受影像检查随访,病灶形态稳定,生活如常。 -病例3:68岁G先生(随访5年),普外科手术期间发现胰头囊肿。2020年来本人门诊,精准评估为分支胰管型IPMN,定期CA19-9联合影像学追踪,未出现恶性转化迹象。 现代医学为低危囊肿患者量身定制了“雷达式”监测方案: -影像追踪:CT/MRI可清晰观察囊肿形态变化,超声内镜(EUS)能分辨毫米级壁结节; -生物标记:CA19-9、CEA等肿瘤标志物动态监测,比影像更早预警恶变倾向; -基因检测:针对高危类型(如主胰管型IPMN),KRAS、GNAS基因突变分析可辅助风险评估。 胰腺手术需切除部分腺体,可能引发糖尿病(发生率15%-30%)、脂肪泻(20%-40%)等终身并发症。研究表明,对低危囊肿实施预防性手术的患者,术后生活质量显著低于保守观察组。正如国际胰腺病学会(IAP)强调:“手术刀应留给真正需要的人,而非焦虑本身。” 医学的本质是平衡的艺术。对胰腺囊肿而言,既不忽视潜在风险,也不滥用治疗手段,用科学监测取代盲目恐慌,才能守护珍贵的胰腺功能与生命质量——这三位患者的“带瘤生存”之路,正是现代医学理性之光的生动写照。
杨峰医生的科普号
2025年03月28日
412
1
9
-
请问医生ipmn一定要手术切除吗?
肖志文医生的科普号
2025年03月17日
55
0
0
-
胰腺假性囊肿的治疗理念与技术
胰腺假性囊肿是指胰腺周围或胰腺内部的有完整非上皮性包膜包裹的液体积聚,属于胰腺囊性病变的一种,是急慢性胰腺炎和胰腺外伤的一种常见局部并发症,极少数并发于胰腺肿瘤,囊内含有渗出的胰液积聚,多数囊肿与主胰管相通,常常难以吸收。胰腺炎症等病变严重时导致胰管破裂,出现胰液外渗,这些消化酶刺激胰腺周围组织,最终在胰腺周围形成一个囊状结构,囊内是液体成分(包括胰液、血液和坏死胰腺组织),囊壁是纤维状的疤痕组织,这就是胰腺假性囊肿。胰腺假性囊肿的治疗是一个多学科参与的综合治疗过程,目前尚存在治疗理念不统一、干预时机不明确、并发症处理不完善等问题。但随着内镜技术的快速发展和广泛应用,其治疗方式的选择已从既往以外科治疗为金标准转变为包括内镜、手术和经皮穿刺引流治疗等在内的多样化治疗模式。张继红医生综合文献观点并结合自身经验,将胰腺假性囊肿相关知识特别是胰腺假性囊肿形成机制、治疗理念与技术总结如下,供广大同行和病员参考。一、胰腺假性囊肿形成机制及特征1、形成机制胰腺炎症等病变严重时,胰管破裂、胰液外渗,胰腺实质自身消化、出血、坏死和液化,主胰管或其分支胰管局部断裂、管腔阻塞、引流不畅,胰腺实质或胰周出现液体积聚,周围被增生的纤维组织包裹,长期不能吸收就形成胰腺假性囊肿。胰腺假性囊肿实质上就是一个炎症渗出的漏口,而不是一个独立的结构。2、胰腺假性囊肿的特征(1)囊壁无上皮细胞:胰腺假性囊肿是由肉芽和纤维组织构成的囊壁;(2)囊内含有胰腺分泌物、肉芽组织和纤维组织,因此囊液可以检出胰酶。(3)广义的胰腺假性囊肿狭义的胰腺假性囊肿来源于急性胰腺炎的急性胰周液体积聚,以液体为主(慢性胰腺炎、胰腺肿瘤或其他原因所致的胰腺假性囊肿可能与胰管梗阻导致的潴留性囊肿有关);包裹性坏死来源于急性坏死物积聚,含有较多胰腺和胰周坏死组织成分。二者均可引起细菌和真菌感染导致感染性胰腺坏死,后者更易引起。广义的胰腺假性囊肿包括包裹性坏死。二、胰腺假性囊肿的危害与临床表现1、危害胰腺假性囊肿大小、形态各异,直径小于5cm的假性囊肿6周内大约有50%可以自行吸收。胰腺假性囊肿的危害在于:压迫症状和囊内感染、出血或破裂等并发症,严重时危及生命。囊肿内出血系因胰周或上腹部的许多血管常构成囊壁的一部分,如胃左静动脉、胃右动静脉、脾动静脉,血管壁被激活的胰酶和感染侵蚀,可突然发生破裂导致腹腔出血;囊肿破裂、感染可并发胰瘘、肠瘘;发生囊肿胃肠道瘘时可同时并发消化道出血。2、临床表现少数较小的胰腺假性囊肿无症状,仅在体检时发现。较大的胰腺假性囊肿可能出现以下临床表现。(1)囊内压增高:肿块逐渐增大,伴有上腹饱胀,持续性疼痛,并向腰背部放射。(2)压迫症状:囊肿增大压迫附近器官,可出现相应症状。如囊肿压迫幽门可引起幽门梗阻;压迫十二指肠可引起十二指肠淤积和高位肠梗阻;压迫胆总管可引起阻塞性黄疸;压迫结肠可引起低位肠梗阻;压迫下腔静脉引起下腔静脉梗阻症状及下肢浮肿;压迫输尿管可引起肾盂积水;压迫胰腺本身引起胰腺萎缩,发生胰腺内外分泌功能减退,出现消化不良、糖尿病等。(3)并发症症状:囊肿破裂可出现腹膜炎,消化道内瘘表现,甚至引起胰瘘、肠瘘等严重并发症;感染可出现感染中毒症状;并发囊肿内、腹腔内或消化道出血,可出现失血性休克表现。(4)消耗症状:急慢性胰腺炎所致的消耗使病人消瘦、体重下降。(5)肿块体征:上腹触及囊性肿块,表面光滑,不可推动,不随呼吸活动,可有压痛。三、胰腺假性囊肿的诊断和鉴别诊断方法1、X线诊断胃、结肠气泡影移位,胰腺钙化,囊壁弧形致密现状影。2、B超无创、经济、方便、准确率高,被列为诊断胰腺假性囊肿的首选方法,能识别囊肿大小、位置、性质、囊壁厚度、囊内有无分隔等特征。3、CT水样密度,边界清晰,囊壁薄而均匀,无壁结节的囊性肿块,可单房或多房状;增强后囊壁轻度强化,囊内容物不强化。CT“气泡征”是感染性胰腺坏死的直接证据。4、MRI与MRCPMRI更有利于判断囊肿性质、液体及坏死物含量,MRCP可以辨别囊肿与主胰管是否相通。5、ERCPERCP是直接造影,可确定囊肿的存在和位置,并有助于与胰腺癌相鉴别。假性囊肿时ERCP表现有囊肿充盈;主胰管梗阻,梗阻端呈锥形或截然中断;胆总管受压移位;非沟通性囊肿时胰管分支受压和局限性分支不充盈。但约有半数假性囊肿不与主胰管沟通,故胰管造影正常不能否定诊断。ERCP亦可检查有否瘘管存在。但ERCP可促使继发感染或使炎症扩散,故在诊断业已肯定的病例,不宜列为常规检查。6、超声内镜判断囊肿性质、区分假性囊肿与包裹性坏优于CT和MRI,可精确判断囊肿内坏死物比例,鉴别假性囊肿与包裹性坏死;CT无法确诊感染性胰腺坏死时,内镜下细针穿刺活检有助于判断囊肿或包裹性坏死是否合并感染。不建议单纯以诊断为目的的细针穿刺,通常在拟行内镜引流前实施。7、DSA对假性囊肿有肯定的诊断价值,能显示病变部位。囊肿区呈无血管区,并见邻近血管移位变形。能正确地诊断血管受侵情况,确定有否出血和出血来源(囊肿内出血、消化道出血和腹腔内出血),判断囊壁内有否假性动脉瘤存在。血管造影对判断假性囊肿是否侵入脾内,较B超和CT更有价值。四、胰腺假性囊肿治疗理念1、胰腺囊肿囊肿的治疗理念胰腺假性囊肿治疗的最终目的是消除假性囊肿或包裹性坏死的危害,基本原理是消除囊腔或去除病灶。囊壁未成熟前,如无严重感染、无全身中毒症状、囊肿较小增大不明显、除外恶性者无需手术治疗,随访观察即可。对于尚未成熟、囊肿并感染等并发症尚不适合手术时,一般采取非手术治疗方法。对于囊肿已经成熟,随访不吸收,有明显症状或出现明显并发症者才需要手术治疗。2、治疗指征(干预时机)当胰腺假性囊肿或包裹性坏死出现下列情况不易自行消散:(1)囊肿直径>6.0cm;(2)囊肿持续6周以上;(3)合并感染、出血、压迫毗邻脏器等并发症。慢性胰腺炎引起的胰腺假性囊肿囊壁厚,且伴有胰管中断,囊肿出现后不易自行吸收。依据《中国胰腺假性囊肿内镜诊治专家共识意见(2022)》,囊肿直径<6.0cm,无明显症状且无并发症,可通过制酸、抑酶、抗感染及营养支持等保守治疗,观察一段时间,争取自行吸收;胰腺假性囊肿/包裹性坏死持续4周以上,且囊肿直径>6.0cm、继发压迫症状、囊肿进行性增大、囊肿合并感染或胰源性门静脉高压等情况,有干预指征。慢性胰腺炎引起的假性囊肿很难自行消散,建议积极引流,若有恶变倾向则应早期外科手术治疗。3、外科手术治疗指征(1)一般认为,胰腺假性囊肿形成超过6周,直径大于6cm(有人提出囊壁厚度大于1cm),即可手术治疗。(2)出现囊肿破裂、出血、感染、压迫胆管、静脉和胃肠道等明显并发症。据不完全统计,胰腺假性囊肿发生并发症时,如不及时引流,死亡率高达10-50%(《广东医学》1992)。(3)非手术治疗过程中,囊肿进行性增大;(4)复杂胰腺假性囊肿,如合并脾动脉假性动脉瘤、囊内乳糜漏、主胰管中断等;(5)多发性假性囊肿、多发主胰管狭窄并其他复杂疾病如胰头炎性肿块;(6)合并慢性胰腺炎或胰管狭窄,或不能除外胰腺癌者。五、胰腺假性囊肿治疗技术总体来讲,胰腺假性囊肿和包裹性坏死应先行保守治疗和内镜治疗,经保守及内镜治疗无效,或与胃、十二指肠壁相隔较远且无法行经皮穿刺引流者,应行外科手术治疗。消除囊腔靠引流、去除病灶靠切除,因此,治疗方式包括置管外引流、内镜引导下内引流与外科手术引流和手术切除病灶(囊肿切除术、胰腺部分切除术)。1、引流术外科引流的原则:通畅、彻底、微创、顺应、确定。通畅:通畅引流是外科引流必备条件,就近、低位引流是最基本的策略;彻底:引流彻底可使病程缩短,避免发生并发症;微创:对组织损伤或干扰最小,应避免损伤大块组织、大血管、神经及重要脏器和关节腔;顺应解剖生理要求:应考虑皮纹走向、关节功能、术后瘢痕形成及对邻近组织的影响;确定病原菌:怀疑有细菌感染时,应做细菌培养及药敏试验。引流的原理:通过有吸附、导流、虹吸、压力梯度、胃肠蠕动等达到将积聚的液体引出体外或腔内。引流的目的:消除异常液体(血液、胆汁、胰液、肠液、脓液等)积聚,防止感染发生或扩散,解除压力和液体对局部组织器官的损害,促进伤口愈合。胰腺假性囊肿和包裹性坏死引流的基本原理:通过置入导管或外科手术的方式,将囊肿内的液体和坏死组织导流到体外或胃肠道,通过压力梯度及胃肠蠕动促进液体引流,最终使得囊腔缩小甚至消失,达到解除囊肿压迫和预防囊肿破裂、感染、出血等并发症的目的。(1)外引流术囊肿距胃壁较远,且有经皮穿刺路径,应先行超声引导下经皮穿刺外引流术(percutaneouscatheterdrange,PCD)。但外引流术主要针对胰腺假性囊肿情况较为复杂、囊壁尚未成熟且伴有感染、出血及较严重的腹腔或腹膜坏死组织者、症状明显但全身情况不适合内引流术的紧急情况。因临床上确有部分病例经外引流治愈的假性胰腺囊肿患者,故欧洲胃肠内镜学会建议PCD或内镜穿刺引流作为胰腺感染性包裹性坏死的首选治疗方法,但PCD易形成胰液外漏和电解质丢失,PCD后有一定出血、感染、胰瘘或肠瘘方式率,须密切观察并及时干预。(2)内镜下内引流手术①胰管支架引流术假性囊肿或包裹性坏死与主胰管相通、继发于慢性胰腺炎者,选择ERCP放置胰管支架引流。ERCP引流后有并发感染或急性胰腺炎的风险,对于胰管部分中断者必要时联合超声内镜下引流。②超声内镜引流术超声内镜引导下穿刺引流术为治疗假性胰腺囊肿与包裹性坏死的首选治疗方法,即在超声内镜引导下建立胃肠壁(多为胃壁)与囊壁的通道达到囊肿内引流的目的。具有操作成功率高、并发症发生率及复发率低、住院时间短等优势。基本原则是:囊肿达到治疗指征时,选择囊肿距离消化道最近处(最膨出处)穿刺引流,必要时还可细针穿刺排除囊内肿瘤。穿刺路径避开大血管,遵循置入导丝-电切-扩张窦道-置入支架步骤。一般选用塑料支架,但坏死物成分较多者选用双腔固定金属支架。塑料支架引流有堵塞、移位、并发感染与出血的风险;双腔固定金属支架引流有一定出血风险,需密切观察病情,一旦出血需紧急拔出支架,必要时介入止血或外科手术治疗。双腔固定金属支架引流后出现发热等感染表现,需性内镜直视下坏死组织清除术。随访:每隔3-6月进行影像学复查,必要时再次干预或手术干预。支架何时取出的问题:理论上应于损伤修复后,即胰腺囊肿消散后取出。有文献报道于3周后取出有利于降低囊肿复发率,但对主胰管异常者应具体问题具体分析,适当延长支架管放置时间。内镜下置管引流的相对或绝对禁忌证有囊肿内出血、感染、区域性门静脉高压(脾静脉或门静脉受压)、假性动脉瘤等并发症,或不除外囊性肿瘤,或距离胃肠壁较远(>1.0cm),或穿刺容易导致大血管损伤。这是往往需要外科手术干预。(3)内引流手术假性胰腺囊肿与包裹性坏死与胃、十二指肠壁相隔较远且无法行经皮穿刺引流者,应行囊肿内引流术。远期疗效好,复发率低,是目前手术治疗的主要方式,具体要根据囊肿位置与周围器官的解剖结构关系决定行囊肿空肠Roux-en-Y吻合术、囊肿十二指肠吻合术或囊肿胃吻合术(囊壁与胃后壁粘连者尤为适合,但后期可能发生吻合口出血)。手术关键是清除囊内坏死组织和分隔,吻合口要大和低,以免坏死物和食物残渣潴留囊内并发感染。手术时机:急性胰腺炎所致胰腺假性囊肿应尽量延期至囊肿形成4-8周后(一般6周后),慢性胰腺炎并发的胰腺假性囊肿因囊壁较厚无需延期手术干预时间。2、囊肿切除术为最理想的方法,但仅适用于较小的囊肿或引流效果不佳的胰尾多发或多房性假性囊肿,特别适用于位于胰体尾部且被摸完整的囊肿。3、胰腺部分切除术有胰腺严重病变、复杂胰腺囊肿或不能除外胰腺肿瘤者,可行胰腺切除术。具体手术方式依据不同情况采取胰体尾部切除、胰腺次全切除、胰十二指肠切除等。4、当今治疗趋势随着微创技术的进步,处少数情况外,以腔镜手术治疗为主流的微创手术治疗方法已经逐渐取代了既往的外科手术治疗。(1)内镜下囊肿胃引流术超声内镜引导下胰腺囊肿胃引流或支架置入术对与胃壁粘连的胰腺假性囊肿是较好的微创治疗方法,但本人认为不适宜于有分隔和大量坏死物存在的胰腺假性囊肿。(2)腹腔镜手术腹腔镜囊肿胃吻合术、腹腔镜囊肿空肠吻合术、腹腔镜胰体尾切除术,其中以腹腔镜囊肿胃吻合术和腹腔镜胰体尾切除术治疗胰腺假性囊肿效果最佳,并发症最低。文献报道腹腔镜囊肿胃吻合术、腹腔镜囊肿空肠吻合治愈率、再手术率和病死率无显著差异;但囊肿胃吻合术简单易行,手术时间和住院时间更短,应为首选术式。胰腺假性囊肿术后并发症包括胰腺出血、感染、胰漏、脾脏及胃肠道损伤等,需密切观察,实时处理。张继红医生提示:符合手术治疗的胰腺假性囊肿患者,应尽快到肝胆胰外科就诊,以期尽早获得正确治疗。腹腔镜手术具有微创、精准、快速康复的优势,在手术决策时,优先选择腹腔镜囊肿胃或空肠Roux-en-Y吻合术和腹腔镜胰体尾切除术等微创手术方式治疗胰腺假性囊肿和包裹性胰腺坏死,符合安全、高效、精准和微创的外科治疗理念。参考文献(略)
张继红医生的科普号
2024年10月15日
423
0
0
-
发现胰腺囊性肿瘤应该怎么办?
胰腺肿块可分为实性和囊性肿块,部分实性肿块易于囊变和部分囊性肿块因实性成分的增多而外观表现为囊实混合型肿块,因此胰腺肿块大致分为囊性、实性和囊实混合性肿块,这些肿块实际上包括肿瘤性和非肿瘤性肿块,增加胰腺肿块了的诊断难度要。肿瘤性肿块即为胰腺肿瘤,包括实性表现为主的肿瘤、囊性表现为主的肿瘤以及囊实混合性肿瘤。面对胰腺肿块,我们应结合其病理学基础来深刻了解胰腺肿块内各种成分所对应的影像学表现,才能对胰腺肿瘤的诊断和治疗做出正确决策。临床上经常见到胰腺囊性肿瘤,那么,是否所有的胰腺囊性肿瘤均需要手术治疗呢?张继红医生结合《中国胰腺囊性肿瘤诊断指南(2022年)》,从胰腺囊性肿瘤的临床病理联系论述胰腺囊性肿瘤的诊疗决策,阐明并非所有胰腺囊性肿瘤均需要手术治疗。一、临床胰腺肿瘤分类的基本依据 1、实性表现为主的胰腺肿瘤胰腺导管上皮癌的两种主要成份是肿瘤细胞和纤维组织,均为实性,且乏血供,决定了胰腺导管上皮癌呈低密度或者T1WI低信号、T2WI稍高信号,肿块呈实性,极少囊变,增强后一般只有轻度强化。 2、囊性表现为主的胰腺肿瘤《中国胰腺囊性肿瘤诊断指南(2022年)》定义胰腺囊性肿瘤(pancreaticcysticneoplasm,PCN)是指源于胰腺导管上皮和(或)间质组织的囊性肿瘤性病变。囊性表现为主的胰腺肿瘤实质上是因为胰腺肿瘤内含有液体成分为主,表现为囊性包块。主要包括黏液性囊性肿瘤(mucinouscysticneoplasm,MCN)、导管内乳头状黏液性肿瘤(intraductalpapillarymucinousneoplasm,IPMN)、浆液性囊腺瘤(serouscysticneoplasm,SCN)、实性假乳头状肿瘤(solidpseudopapillaryneoplasm,SPN)和囊性神经内分泌肿瘤(cysticneuroendocrinetumour,cNET)。3、囊实混合表现的胰腺肿瘤胰腺囊性肿瘤实性成分增多、实性肿瘤囊性变均可表现为胰腺囊实混合性肿瘤。囊性肿块因实性成分的增多而表现为囊实混合型肿块:这类肿块包括微囊型SCN、嗜酸细胞型IPMN(intraductaloncocyticpapillaryneoplasm,IOPN)、胰腺导管内管状乳头状肿瘤(intraductaltubulopapillaryneoplasm,ITPN)。微囊型SCN因囊内分隔较多,增强后分隔轻度强化,而使整个肿块呈囊实外观。IOPN和ITPN均为实性成分多,黏液分泌少的肿瘤,表现为位于胰管内偏实性肿块。胰腺囊实性肿物多数情况是良性病变,但也有较多恶性的可能。易囊变的胰腺实性肿瘤有:胰腺神经内分泌肿瘤(PNEP)、SPN,其次还见于ACCP和胰腺腺鳞癌(pancreaticadenosquamouscarcinoma,PASC),它们囊变的病理基础各不相同。二、发现胰腺肿块应该怎么办?发现胰腺包块后,应根据超声、CT、核磁等影像学检查,观察实性包块是否出现强化等特殊影像特征,必要时超声内镜检查,高度怀疑恶性或神经内分泌肿瘤时应行PET-CT检查;然后根据本公众本文章“如何判断胰腺肿块的良恶性”来综合判断肿物的性质。胰腺肿物鉴别的基本要领是肿物的大小、位置、数量、轮廓,性质、钙化及与胰管的关系,包膜、边界及其与血管的关系,周围器官受累、转移和淋巴结转移等情况综合判断胰腺肿瘤的良恶性,有的可以直接得出诊断。超声引导下的病理穿刺活检需谨慎进行,对于经评估需要手术治疗的病例可行术中快速冰冻切片检查。对于治疗决策,应根据具体病变部位以及是否有恶性倾向,来选择随访观察、保守治疗或者手术切除。具体的治疗方案,应根据病变性质、患者情况以及相应的影像学检查,来进行综合判定。三、胰腺囊性肿瘤的诊断和治疗决策本文结合《中国胰腺囊性肿瘤诊断指南(2022年)》(以下简称指南)在此重点阐述胰腺囊性肿瘤的诊断和治疗决策。1、PCN诊断和鉴别诊断的意义指南支出:部分PCN存在恶变为胰腺导管腺癌的风险,因此其鉴别诊断具有重要的临床意义。对PCN患者进行随访的主要目的是缓解临床症状和(或)预防恶性肿瘤发生,同时避免临床上的过度治疗。SCN常见类型为多囊型、蜂窝型、寡囊型。SCN典型影像表现为微囊,蜂窝状,囊壁薄,病灶中心可见星芒状疤痕可伴有钙化。MCN单发,囊壁厚,蛋壳样钙化及分隔,壁结节。MCN的恶变率大约为17.5%,若能在“原位癌”时诊断,患者可完全治愈。影像上出现下列征象提示恶变:①囊内实性成分增多;②有明显强化的壁结节;③囊壁不规则增厚以及大囊附近出现多个子囊;④囊内实性成分较多、肝内转移及相邻血管受侵;⑤肿瘤直径>8cm。SCN和MCN均与胰管不相通,IPMN与胰管相通。IPMN按其形态可分为分支胰管型、主胰管型和混合型,以前两者多见。分支胰管型IPMN呈与胰管相通的“葡萄串状”的囊性病灶,常常伴有上游胰管的扩张;主胰管型IPMN表现为主胰管弥漫性或局段性扩张,胰管内可见细小壁结节;混合型IPMN同时兼有二者表现。主胰管型和混合型IPMN恶变率最高,下列征象提示有恶变:发生胰腺炎、主胰管直径>15mm、有壁结节和钙化提示主胰管型IPMN恶变侵向,囊腔>3cm,囊壁增厚、有壁结节和胰管扩张10mm提示分支胰管型IPMN恶变侵向。值得注意的是IPMN易并发粘液阻塞性胰腺炎,有时甚至以炎性肿块表现,误诊为其他性质的病例不在少数。2、PCN的诊断要点根据指南推荐,PCN的诊断注意以下要点:(1)大多数PCN无症状,需谨慎地将症状归结于PCN所致。(2)B超和CTB超和CT是诊断胰腺肿瘤最常用的手段。B超作为普遍性检测手段,能第一时间方向胰腺囊性肿物的大小、位置、数目等情况,为进一步明确诊断提供基础依据。CT增强一般采用三期扫描:动脉期、胰腺实质期和门脉期。对评估囊性、实性和囊实混合性胰腺肿瘤均具有重要意义,对囊性肿瘤的包膜、壁结节、囊内分隔及血供的判断具有极高的临床实用价值。(3)MRI检查是诊断PCN的首选方法。T2WI对液体成分极为敏感,表现为高信号,增加了PCN阳性检出率;其次,MRCP利用水的长T2特性,主要显示胰管、胆管及其分支结构等,是判断PCN与胰管关系的最佳序列;MRI具有较好的软组织分辨度,尤其是T1WI,对发现PCN内的壁结节具有较强的优势,结合对比剂注射后的强化特征,可以判断PCN是否有恶变倾向;最后,MRI中的弥散加权成像(diffusionweightedimaging,DWI)是一种无创性评价生物体内水分子扩散运动状态的成像技术,为组织成像对比提供了新的角度和技术,对判断PCN有无恶变倾向提供有力证据,是SCN与pNET鉴别的重要序列。(4)超声内镜(EUS)的应用范围影像学如提示存在肿瘤最大径≥3cm、壁结节>5mm、囊壁增厚或强化、主胰管扩张>5mm、胰管截断伴远侧胰腺萎缩、淋巴结肿大、CA19-9升高、肿瘤增长速度≥5mm/2年等高危征象时,建议行EUS进一步评估。EUS联合其他影像学检查可提高PCN的诊断准确率。(5)超声内镜引导下细针穿刺活检(EUS-guidedfine-needleaspiration/biopsy,EUS-FNA/FNB)对于影像学检查不能确定性质的PCN或EUS-FNA/FNB可能改变治疗策略时,建议行EUS-FNA/FNB,行囊液细胞学及生物化学分析,对PCN的诊断和鉴别诊断具有重要意义。(6)囊液分析囊液分析如拉丝试验、细胞学指标、淀粉酶、CEA、葡萄糖检测及KRAS/GNAS基因突变分析可用于鉴别PCN类型。拉丝试验是鉴别黏液性和非黏液性PCN的一项操作简单方便的方法。黏液性PCN通常含有高度黏稠的囊液。该试验即在拇指和食指之间放置一滴囊液并拉伸,如囊液拉长>3.5mm提示拉丝试验阳性,即PCN为黏液性,其灵敏度和特异度分别为58%和95%。拉丝试验的缺陷主要是观察者间一致性存在较大差异。囊液细胞学诊断PCN的灵敏度低但特异度高。低水平囊液淀粉酶(<250IU/L)可以排除98%假性囊肿。高水平的囊液CEA往往提示黏液性PCN。囊内葡萄糖浓度低可预测黏液性PCN,而高浓度葡萄糖则提示浆液性PCN。(7)超声内镜引导经穿刺针活检钳活检术(EUS-guidedthroughtheneedlemicroforcepsbiopsy,EUS-TTNB)EUS-TTNB相比EUS-FNA能显著提高PCN的诊断效能,同时EUS-TTNB不良事件发生率较低。(8)细针型共聚焦激光显微内镜(needle-basedconfocallaserendomicroscopy,nCLE)应用于拟行手术治疗而无法排除SCN的PCN患者。nCLE观察到表面血管网、腺上皮和微绒毛结构分别提示SCN、MCN和IPMN诊断。对于准备行手术治疗的PCN患者,如无法排除SCN的可能,应行nCLE观察,如能找到典型的表面血管网结构,可以确诊SCN,从而避免不必要的手术。(9)增强EUS(contrastenhancedEUS,CE-EUS)CE-EUS可显示病变血供,建议使用CE-EUS进一步评估壁结节,亦有助于评估囊内血管和分隔。CE-EUS上出现壁结节、实性肿块或分隔的过度强化,需警惕病变恶变可能,应考虑对病变处进行EUS-FNA。(10)胰管镜检查合并高危征象或临床难以鉴别主胰管型IPMN或混合型IPMN行建议胰管镜检查。3、随访策略并非所有胰腺囊性肿瘤均需要手术治疗。大多情况下需要随访观察,PCN恶变的高危因素是外科手术的绝对适应证。随访对象:(1)诊断考虑为MCN或IPMN的无症状性PCN且具备手术条件的患者应列为随访对象。(2)恶变风险极低的SCN患者建议随访。随访策略:指南推荐:(1)临床确诊为SCN者根据症状进行随访。(2)无高危征象的IPMN或MCN可根据病灶大小制定监测随访策略病灶小于1.0cm者每个2年随访EUS或MRI一次;病灶1.0-2.0cm者每1年复查EUS或MRI一次;病灶2.0-3.0cm者确实是MCN或IPMN每6-12月复查EUS或MRI一次,如不是则性EUS(FNA)确诊,确诊为SCN则根据症状随访,确诊为MCN或IPMN仍每6-12月随访一次。(3)含高危征象的IPMN或MCN经多学科会诊(multi-disciplinarytreatment,MDT)行手术治疗,未行手术者建议间隔6个月进行MRI随访。下图是指南推荐的胰腺囊性肿瘤诊断随访流程图。4、胰腺囊性肿瘤应在何时手术?预防胰腺癌的最佳目标是在PCN为重度异型增生时即手术切除病灶,因此识别PCN合并重度异型增生或浸润性癌的危险因素至关重要。迄今为止,已有数个临床和影像学方面的高危因素被确认。虽略有不同,但大多数指南认为黄疸、病灶大小(大多数指南推荐病灶长径≥3cm)、强化壁结节>5mm、实性成分、细胞学检查阳性、主胰管扩张≥10mm为PCN恶变的高危因素,因此也是外科手术的绝对适应证。对于SCN一般不主张手术,有作者提出大于6.0cm或增长迅速、有压迫症状、不能除外恶性者才需要手术治疗。对于IPMN现行指南均推荐壁结节是行手术治疗的绝对指征。壁结节大小的最佳值目前尚无定论。恶性分支胰管型IPMN的生长速度快于良性分支胰管型IPMN,且生长速度≥2.5mm/年的癌变风险显著升高。主胰管>10mm、壁结节、实性成分、CA19-9升高与PCN恶变相关。SPN属于交界性肿瘤,有一定恶性潜能和远处转移风险,各指南均建议手术切除。
张继红医生的科普号
2024年10月15日
410
0
1
-
什么样的胰腺囊性肿瘤需要手术
1.通常所说的胰腺囊性肿瘤包括:浆液性囊腺瘤、粘液性囊腺瘤、胰腺导管内乳头状黏液瘤和实性价乳头状瘤四种,临床特点如下表:1.IPMN手术指征比较复杂且专业性强,建议找专业的胰腺外科专家详细评估。2.胰腺肿瘤的诊断专业性极强,各种肿瘤之间误诊率高,因此往往需要综合超声、CT、磁共振、超声内镜、PET-CT等多种检查综合判断。3.胰腺手术风险高,尤其是胰十二指肠切除术,术后即使顺利恢复,也对消化功能造成终生影响,因此要严格控制手术指征,既避免延误治疗,也要避免盲目的手术。
孟凡斌医生的科普号
2024年08月05日
600
0
0
-
一句话科普:会癌变的粘粘糊糊的胰腺囊腺瘤(3)
一句话科普:会癌变的粘粘糊糊的胰腺囊腺瘤(3)1胰腺粘液性囊腺瘤(MucinousCysticNeoplasm,MCN)由分泌黏液的上皮柱状细胞和卵巢样基质组成,囊内是粘液,看着有点恶心,鼻涕一样。2多见于中年女性,高发年龄为48~55岁,多发生于胰腺体尾部。3属于癌前病变,总体癌变率大约15%左右。4诊断主要依靠影像学检查,如CT、MRI等,5治疗方法主要是手术切除。现在一般都是腹腔镜下微创切除。如果术中判断尚未恶变,建议保留脾脏。因为会变成癌症,所以要给予足够重视。
郑大一附院科普号
2024年07月24日
377
0
0
-
胰腺长了囊肿怎么办?
费健医生的科普号
2024年06月19日
177
0
7
-
胰腺长了囊肿,到底该怎么办?
费健医生的科普号
2024年06月19日
166
0
4
胰腺囊肿相关科普号

樊军卫医生的科普号
樊军卫 主任医师
上海市杨浦区市东医院
普外科
80粉丝5.7万阅读

金佳斌医生的科普号
金佳斌 主任医师
上海交通大学医学院附属瑞金医院
胰腺外科
5731粉丝27.7万阅读

高松医生的科普号
高松 副主任医师
天津医科大学肿瘤医院
胰腺肿瘤科
127粉丝3.7万阅读
-
推荐热度5.0徐晓武 主任医师复旦大学附属肿瘤医院 胰腺外科胰腺癌 534票
神经内分泌肿瘤 100票
胰腺囊肿 92票
擅长:擅长各种胰腺良恶性肿瘤、神经内分泌肿瘤、肝胆脾脏良恶性肿瘤和胃肠道间质瘤的微创手术治疗(机器人/腹腔镜手术),尤其是胰腺良性肿瘤及低度恶性肿瘤的保留功能微创手术。胰腺肝胆各种良恶性肿瘤的外科综合治疗及辅助化疗。 -
推荐热度4.7吴伟顶 主任医师复旦大学附属肿瘤医院 胰腺外科胰腺癌 332票
胰腺囊肿 40票
胰腺疾病 17票
擅长:各种胰腺和肝脏、胆道良、恶性肿瘤的微创手术治疗(机器人/腹腔镜手术),尤其是胰腺良性肿瘤的保留功能微创手术和胰腺恶性肿瘤的多学科治疗,胰腺肝胆各种肿瘤的外科综合治疗及辅助化疗。 -
推荐热度4.4虞先濬 主任医师复旦大学附属肿瘤医院 胰腺外科胰腺癌 598票
胰腺囊肿 29票
神经内分泌肿瘤 20票
擅长:胰腺良恶性肿瘤,神经内分泌肿瘤,胃肠道间质瘤,肝胆脾良恶性恶性肿瘤,十二指肠良恶性肿瘤的综合诊治。