医院介绍 查看全部
科普·直播义诊专区 查看全部
- 急性结肠憩室炎伴穿孔的微创治疗体会
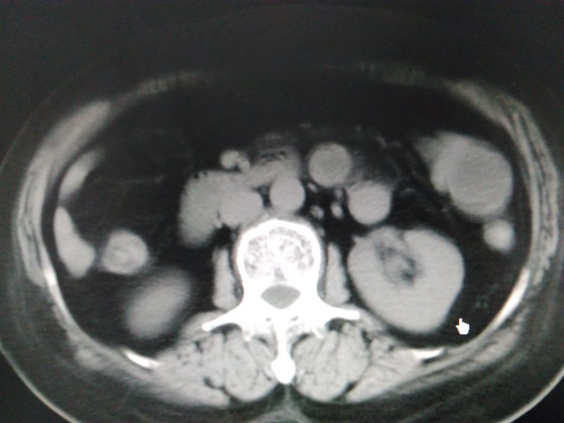
急性结肠憩室炎是一种常见疾病,结肠憩室好发于回盲部、升结肠和乙状结肠,也可分布全结肠,憩室可单发,多数为多发。临床上急性结肠憩室炎可在急诊抗炎补液后缓解,腹痛症状明显或伴有发热者需住院治疗,一般于禁食加强抗炎支持治疗后症状可缓解。大多数急性结肠憩室炎为急性蜂窝织炎,表现为结肠和系膜及其周围脂肪垂的炎症,病情进展可化脓坏疽穿孔,特别是憩室内伴有粪石,憩室根部较小者更易穿孔。结肠内容物有微小渗漏则有腹膜炎表现,大网膜多能覆盖病灶区,炎症局限,大多数保守治疗可免于急诊手术。当结肠憩室穿孔后就形成粪水性腹膜炎,需要及时急诊手术治疗,本病例部位在回盲部,CT复查回盲部憩室炎伴穿孔,阑尾已增粗考虑继发性阑尾炎,因此行腹腔镜下憩室切除+阑尾切除术,手术顺利。 总之,结肠穿孔破裂,排除肿瘤、异物刺伤和外伤,多数为急性结肠憩室炎所致。 结肠憩室炎只有大出血、穿孔、梗阻或脓肿形成等情况下,需急诊手术治疗。腹腔镜手术是其首选手术方式,对于憩室较大的可用内镜切割闭合器切除憩室,小憩室穿孔可直接套扎器套扎即可,也可全层倒刺线缝合。对于结肠炎症严重水肿明显,全层倒刺线缝合更安全,再将大网膜缝在边缘覆盖穿孔区,旁边放置引流,考虑肠漏可能大者放置冲洗引流双套管。
王小军 副主任医师 上海交通大学医学院附属松江医院 普外科5514人已读 - 警惕CT不显示的异物肠梗阻,需及时手术治疗
腹痛呕吐不一定是急性胃炎患者女性,56岁,因呕吐腹痛消化内科住院,CT检查未见明显异常,胃镜提示未见明显异常,患者腹痛加剧伴发热,请我科会诊,六小时后复查CT发现小肠不全梗阻可能,仔细对比影像小肠梗阻部位有改变,影像提示空肠肠腔饱满,补充询问患者数日前进食柿子,考虑肠梗阻可能,急诊腹腔镜探查,从回盲部开始探查至梗阻部位,正中打开6厘米小切口,将梗阻段小肠提出腹腔外,远端空虚小肠约5-10厘米处纵形切开小口,挤碎质硬的异物横形缝合即可,创伤小回复快! 我科近期有几例异物致肠梗阻病例,以进食柿子和石榴等食物有关,因此有一定的季节性,保守治疗肠梗阻往往难以缓解,曾有尝试保守治疗一周最终手术治疗,因异物往往质硬,回肠较空肠肠腔细小,并难以通过回盲瓣,因此一旦诊断及时急诊手术探查小肠切开取出异物,疗效显著!同时提醒广大患友尽量少进食易形成异物的食物,一旦进食了腹痛就诊时要告知医生,早诊断早治疗效果好!
王小军 副主任医师 上海交通大学医学院附属松江医院 普外科2176人已读 - 任性的阑尾去哪里了?
异位阑尾炎的微创治疗避免了拉链式的延长切口异位阑尾的患者,腹腔镜手术是您的福音曾经许多主任觉得阑尾炎腹腔镜手术完全没有必要,开腹手术切口也不大,并发症也不多。到遇到异位阑尾,肥胖患者,弥漫性腹膜炎等特殊情况时,往往需要大的延长切口,创伤极大术后感染肠梗阻等并发症明显增多!随着微创理念深入人心,医师在操作水平提高,患者的观念认知改变,微创手术给患者带来非常大的好处,异位阑尾在术前较难发现其位置,因此阑尾位于肝下,后腹膜,左下腹和盆底时,腹腔镜能快速找到阑尾并于切除,术后恢复快并发症少!是这类特殊患者的首选手术方式!
王小军 副主任医师 上海交通大学医学院附属松江医院 普外科1800人已读
问诊记录 查看全部
- 患者:女 36岁最后交流时间 11.10摔伤两天,一直有上碘伏消毒加无菌敷贴,今天起来黄了一块肉,想确认一下有没有发炎,伤口没有那么痛了,好...总交流次数54已给处置建议
- 胃不舒服 做过了胃镜 目前在中信医院做过胃镜 但是有个息肉病理还没取 这两天没时间... 想知道病理结果总交流次数13已给处置建议
- 患者:女 33岁最后交流时间 10.18剖腹产23天伤口还有点点疼,伤口正常吗?有脂肪液化吗医生总交流次数18已给处置建议
- 前列腺癌根治手术(自己理解是膀胱与尿道重新连接)第七天,有导尿管,这个导尿管是一直打开(夹子全天打开...总交流次数18已给处置建议
- 患者:男 30岁最后交流时间 08.26十天前做了腹腔镜手术,肚子上有5个伤口,回到家后去医院换药,医生说伤口有皮下脂肪液化,现在每天都换药...总交流次数25已给处置建议
关注度 上海市 第62名
总访问量 13,954,142次
在线服务患者 10,436位
直播义诊 7次
科普文章 199篇
年度好大夫 2位