论文精选
发表者:邵永祥 人已读
巨脑回畸形为不完全性脑回缺如,只表现为脑回减少,巨脑回畸形为不完全性脑回缺如,只表现为脑回减少,体积增大。巨脑回畸形首先是次要脑回减少,严重者可仅有主要脑回,巨脑回畸形常常合并无脑回畸形


巨脑回属脑神经元移行畸形的一种;脑神经元移行畸体积增大。巨脑回畸形首先是次要脑回减少,严重者可仅有主要脑回,巨脑回畸形常常合并无脑回畸形
巨脑回属脑神经元移行畸形的一种;脑神经元移行畸形包括无脑回、巨脑回、多小脑回、脑裂畸形和灰质异位等。巨脑回畸形是由于脑代谢障碍引起皮质细胞发生层状坏死,坏死区起屏障作用,因此较晚发生移行的神经元受阻而不能形成正常脑皮质,导致脑皮质增厚,脑回增宽,脑沟裂变浅;脑髓质变薄及脑室轻中度扩大。
巨脑回畸形是大脑发育停留在原始阶段所致即胚芽层在胚胎个月以前发生发育障碍显微镜下发现仍保留原始皮层的层细胞结构皮层结构不完全神经细胞分化不成熟由于神经母细胞向周围移位发生障碍常在白质中发现异位的神经细胞有时集团存在呈结节状在半卵圆中心小脑自质脑干等处均可见有异位的灰质团块
严重者表现为智力迟钝甚至生后不能存活存活者常有智力低下伴发癫痫预后也不良
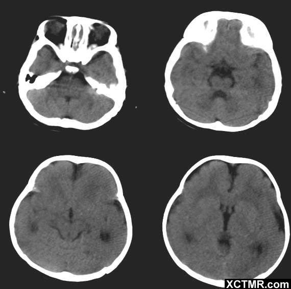
巨脑回的CT表现为:显示大脑半球皮质明显增厚,脑白质减少,脑沟变深多发生在额顶叶附近的蛛网膜下腔增宽病侧脑室扩大
除了巨脑回畸形,胼胝体发育不良外,患儿应还有侧脑室扩大畸形,因三角区及枕角周围白质明显减少,且无明显低密度改变而不支持PVL和肾上腺白质营养不良。 本畸形无特殊疗法以保守治疗为主,加强日常的锻炼。
一侧巨脑畸形是1835年由Sims命名的一种罕见的脑发育畸形,以一侧半球或其中的几个脑叶的发育畸形,以精神运动发育迟滞、偏瘫、偏盲及顽固性癫痫为特征,表现为大脑半球的全部或部分错构瘤样过度增生,缺乏神经元的增殖、移行和组织化,目前认为是胚胎发育期8到16周原生基质受损所致。


本病以受累大脑半球弥漫性肥大为特点,并伴有一侧脑室扩张和中线结构移位,小脑和脑干亦可受累。病理示病变侧为无脑回或多小脑回改变,皮质增厚且皮质层结构紊乱。与健侧相比,患侧的神经元数目下降,胶质细胞数目上升。
临床表现为始于新生儿期的顽固性癫痫及感知和运动发育障碍,I可分为单独型、综合征型、完全型3个主要类型。
MR表现为受累侧大脑半球中到重度增大;皮质发育不良,脑回宽,脑沟浅,皮层增厚;白质信号不均匀,提示灰质异位和发育不良的神经元和胶质。
典型患者的侧脑室形状颇具特点:它按患侧半球增大的比例增大,额角伸直,指向前上方。患侧半球大多功能缺失,且可成为癫痫病因。
MRI是诊断该病的金标准,既可用于诊断,也可用来作为治疗的参考。由于此病对抗癫痫药物均有抗药性,因此尽早手术是治疗此病的最佳方法。手术方式包括大脑半球切除,半侧大脑皮层切除及脑皮层部分切除。
本文是邵永祥版权所有,未经授权请勿转载。 本文仅供健康科普使用,不能做为诊断、治疗的依据,请谨慎参阅
发表于:2015-04-28