典型病例
发表者:陈伟民 人已读
近日,来自印度甘地医学科学研究所的 Mohamed 教授等人发表了一篇病例报道,刊登在最新一期 AJNR 杂志上,仅根据病史和影像学检查结果,你能诊断吗?
患者男性,42 岁,慢性头痛伴癫痫发作。

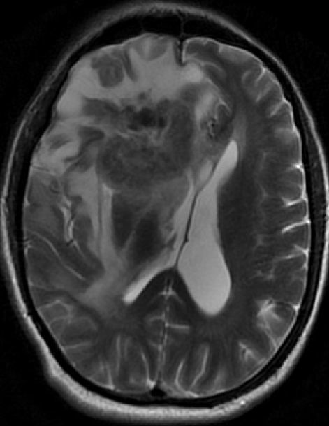
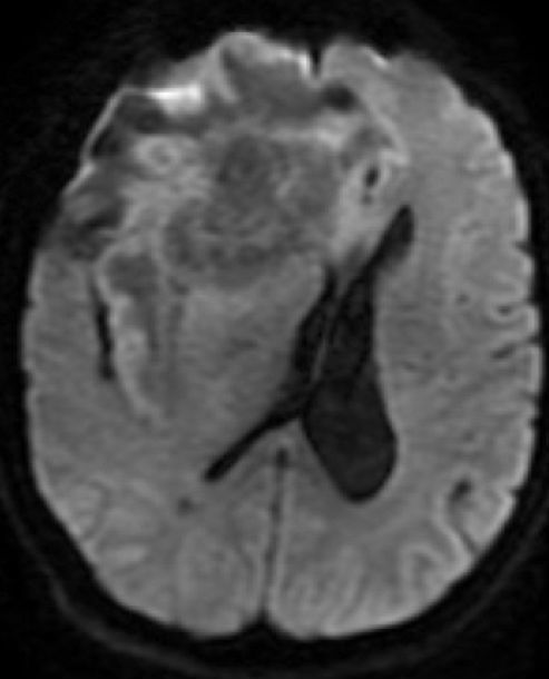
图 A:横断面 MRI T2 像显示右额叶可见一不均匀的病灶,病灶周围有血管性水肿。水肿压迫了同侧的侧脑室,中线向左偏移;

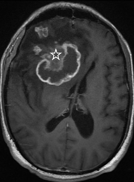
图 B:横断面 MRI T1 像对比增强显示肿块有环状的强化,同时在病变的前部有不均匀强化(图中星号所示),另外还可看到数个散在的点状增强

图 C:DWI 像未见扩散受限;

图 D:MRS 只看到一个脂质 - 乳酸峰,未见其它峰。
中枢神经系统性结核瘤
中枢神经系统性结核瘤在发展中国家是常见病,是脑或脊髓实质占位病变,以脑结核瘤占绝大多数,脑结核瘤是脑内由类上皮和含有结核菌的巨噬细胞组成的干酪性肉芽肿病灶,可形成钙化,广泛的干酪性坏死也偶可形成冷脓肿。结核瘤既不是稳定结核性脑膜炎的并发症,亦非不能治愈的晚期病变,不足 10% 的结核瘤合并结核性脑膜炎。
临床表现:
发热、咳嗽及体重下降。
诊断要点:
1. 不均匀病灶;
2. 影像学可以根据干酪样坏死的程度有不同的表现,在典型的神经系统结核瘤,干酪样坏死物不会引起任何扩散受限;
3. 用造影剂后显现出来的环状病灶容易被误认为是肿瘤坏死物;
4. 磁化传递(MT)成像断有助于该病的诊断,由于低磁转化,病灶外壁会表现为高信号。
鉴别诊断:
肿瘤坏死;化脓性脓肿;肿瘤样脱髓鞘病变。
治疗:
抗结核治疗,必要时手术治疗。
本文为转载文章,如有侵权请联系作者删除。本文仅供健康科普使用,不能做为诊断、治疗的依据,请谨慎参阅
发表于:2015-06-28