学术前沿
发表者:屈建强 人已读
近期,全球各大网站纷纷刊载一个重磅新闻:全球首台可用于临床的7T磁共振MAGNETOMTerra已经正式取得CE认证,可以用于临床!

因为7T具有巨大的潜力,已经正在改变、未来也必然会继续改变整个磁共振成像发展的方向。

Brodmann areas—MRI

Sulcus and gyrus—MRI
Coronal,sagittal,and axial cuts—MRI
Coronal,sagittal,and axial cuts—cadaver
多年来的研究已经证实,7T提供了数倍于传统3T磁共振的信噪比和空间分辨率,在神经、血管、肿瘤、骨关节等多个方面都会带来全新的突破性进展。
Terra实现超高分辨率磁敏感加权成像
MRA图像
极高分辨率的解剖结构成像和脑连接通路功能成像


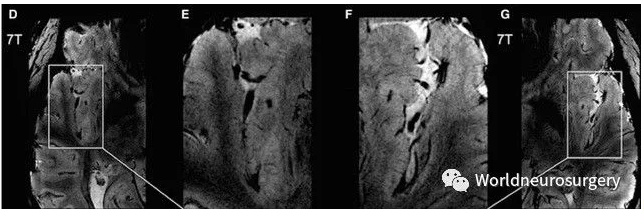
7T图像与活体组织标本对比
目前7T磁共振带给神经科用途浅析
难治性局灶性癫痫

局灶性难治性癫痫患者在常规场强MR下未见明显异常,对其行7T磁共振扫描,上图为GRE图像。
多发性硬化

上一排图像显示的是以侧脑室下角邻近小静脉为中心的一个典型的MS病变。
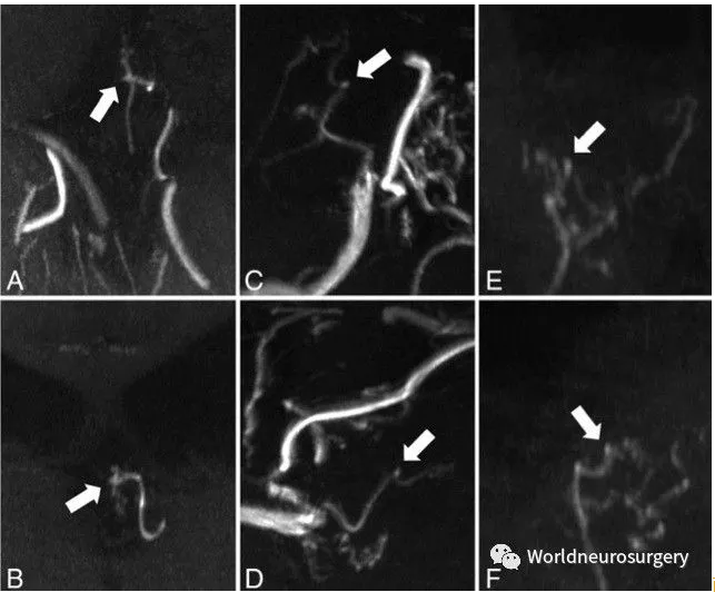
烟雾病(moyamoya病)
7T TOF-MRA能发现传统较低场强磁共振不能发现的微动脉瘤。这对我们了解烟雾病的病理生理机制提供了更多证据。

两个不同的角度观察3个患者的7T磁共振TOF-MRA影像,可以发现脑室内的侧支血管形成了微动脉瘤(箭头所示)

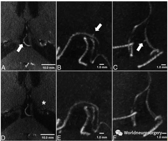
同一患者的7T磁共振TOF-MRA影像。
肌萎缩侧索硬化

上排为健康对照组,下排为ALS患者的SWI图像。

目前国内已经安装3台7T磁共振,包括中科院生物物理研究所、浙江大学、首都医科大学附属北京天坛医院,相信在不久的将来,可用于临床的7T磁共振MAGNETOMTerra也会进入国内的大型医院,探索临床前沿问题并造福患者。
本文为转载文章,如有侵权请联系作者删除。本文仅供健康科普使用,不能做为诊断、治疗的依据,请谨慎参阅
发表于:2017-10-13