医学科普
发表者:彭易坤 人已读

【前言】在实际临床工作中经常遇见家长会讲:“我家小孩睡觉时并没有张口呼吸现象”,当再次追问是否微微张口或用口呼吸时?家长会马上回答“有这种现象”,其实小孩用口呼吸不可能像成人一样完全张大口呼吸,只要有微微张口呼吸现象都是不正常的,所以从医学专业和易于跟患者沟通的角度把“张口呼吸”改为“用口呼吸”更为贴近生活。

人类呼吸时,气流既可以通过鼻腔也可以通过口腔进入呼吸道。在正常情况下,绝大部分人习惯用鼻呼吸,这也是我们提倡的正确的呼吸模式。鼻腔不仅仅是气流通过的通道,同时鼻腔能够对吸入的空气起到温暖、湿润和过滤的作用。正常情况下,在睡眠时鼻呼吸的自然表现是上下唇微微闭合,气流自然通过鼻腔进行呼吸。然而,“用口呼吸”的气流主要通过口腔而非鼻腔进入呼吸道。
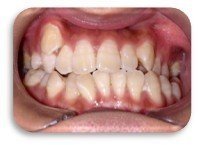
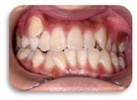
在这个颜值越来越重要的时代,家长们不禁会关心孩子除了快速长大长高之外,还会为其他出现的问题而焦虑。比如有些小孩牙列不齐, 牙间隙过大, 牙排列拥挤,"暴牙"或"哨牙"(上颌前牙向前突出 ),"地包天"或"反颌"(下颌前牙向前突出于上颌前牙) 等牙颌面畸形不仅影响牙颌面容貌,本来可爱面相的宝宝变得越长越丑了。于是家长会带着患儿来到口腔正畸科就诊,咨询“牙齿畸形”如何矫治。这时,口腔正畸科医生可能会问:“孩子是否有鼻炎?”一部分家长会回答:“是的。孩子鼻子总是塞,所以习惯用嘴巴呼吸。”并惊讶于医生看一眼牙齿就能猜到鼻部的疾病,真神。实际上,这并不是医生的“神机妙算”,而是长期“用口呼吸”会使患儿出现具有一定特点的用口呼吸面容。那么,“用口呼吸”究竟是怎么一回事?一旦发生又该怎么处理?


在临床工作中经常遇见家长会讲:“我家小孩睡觉时并没有用口呼吸现象”,当再次追问是否微微张口时?家长会马上回答“有这种现象”,其实小孩用口呼吸不可能像成人一样完全张大口呼吸,只要有微微张口呼吸现象都是不正常的。

“用口呼吸”的原因是什么?
正常人呼吸是通过鼻腔完成的,用口呼吸习惯,即常因慢性鼻炎、鼻窦炎、鼻甲肥大、扁桃体肥大或腺样体肥大等鼻咽部疾病,使得鼻呼吸阻塞,只好长期用用口呼吸替代鼻呼吸,日常生活中小孩最常见的原因是扁桃体肥大、腺样体肥大或两者均肥大。如果患儿张嘴睡觉还出现打呼噜的情况,则需要警惕很可能存在腺样体肥大、扁桃体肥大或两者均肥大情况。除上述病因以外,也有少部分患儿并不存在鼻咽部疾病,而仅仅是因为个人习惯于长期“用口呼吸”。


“用口呼吸”会对颜值和身体造成什么影响?
如果患儿从小就有不良的呼吸习惯,那么随着年龄变大,脸形会随着不断变化,具体表现为出现上前牙前突、上牙弓狭窄,唇肌松弛、开唇露齿、唇外翻,下颌及舌下降,脸型变长等。“用口呼吸”还可能导致口腔干燥、诱发或加重呼吸道疾病,如小孩最常表现为慢性咳嗽症状等。此外,“用口呼吸”和鼻通气不畅,会导致脑部发育供氧不足,对患儿的记忆力和智力发育造成不利影响。若是因为腺样体肥大或扁桃体肥大引起的用口呼吸,可能还会引起分泌性中耳炎,从而出现小孩听力下降情况,主要表现为看电视喜欢把声音调到很大或小声跟其讲话听不清楚等症状。另外小孩哮踹也跟用口呼吸有一定的关系。为什么这么讲呢?因为用口呼吸的小孩一般都有扁桃体和腺样体问题,而扁桃体和腺样体肥大或炎症会引起鼻炎鼻窦炎,还会引发过敏性鼻炎,从而出现鼻腔分泌物倒流入下呼吸道,表现出哮踹症状。
如果小孩已经有“用口呼吸”了,怎么办?
第一、应首先治疗慢性或急性的鼻呼吸道疾病,必要时切除过大的扁桃体和腺样体,待鼻呼吸道完全通畅后,再酌情进行矫牙。
第二、年幼并有“用口呼吸”的小孩,在面部和口腔畸形上不严重时,除了教育其不用口呼吸外,还可用前口腔前庭盾改正“用口呼吸”习惯,并配合每天做上下唇、颊肌的训练,即反复用上下唇夹住一张硬纸片并且快速抽出,每天三次,每次5分钟左右。
第三、也可以戴1/2口罩或颏兜等方法获得纠正。
总之及早解除“用口呼吸”习惯,一定程度可有助于减少口腔及面部畸形出现的概率,以及降低未来进行矫牙的难度。
【后话】
在临床工作中有很多家长会问“为什么现在有那么多小孩出现扁桃体和腺样体肥大问题?”我的回答是:第一随着人们生活水平的提高,人们对健康意思明显增强,也有经济条件来医院就诊看病。第二、随着医疗技术水平的提高,医生对此病的认识也在提高和进步,另外多学科学术交流的增多,人们对此病的认识也非常重视。第三、新的医疗检查设备纤维鼻咽喉镜和电子鼻咽喉镜应用于临床后,诊断水平得到明显的提高,以前仅仅只靠简单的问诊和间接喉镜很难做出精准诊断。
所以关注小孩颜值要从牙齿开始,更需要关注耳鼻咽喉科方面的疾病。
本人专家门诊:周二上午8:00-12:00和周五下午13:00-17:00.
本文是彭易坤版权所有,未经授权请勿转载。 本文仅供健康科普使用,不能做为诊断、治疗的依据,请谨慎参阅
发表于:2020-01-07