侧颅底手术病例
发表者:杨军 人已读
病例
报道
经迷路径路面神经瘤切除+腓肠神经移植术
病例摘要:
患者,女,65岁
简要病史:患者右耳听力下降50余年,未予重视。10年前起出现右侧口角歪斜,当地医院予以针灸等保守治疗后可好转,但反复发作。1月前出现右耳流脓,当地医院就诊,诊断为“面神经瘤”。
查体:右侧外耳道软组织团块,鼓膜无法窥及。右侧面神经功能 HB-IV。右侧AC<BC,WT右偏。
辅助检查:纯音测听:右耳气导PTA52dB,ABG30dB。言语测听:右侧言语识别率100%,言语识别阈28dB。
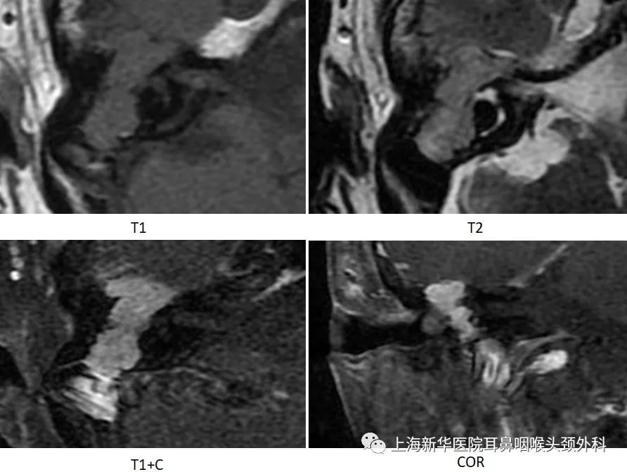
影像学检查:
术前CT

术前MRI

治疗经过
右耳后弧形切口向下延伸,暴露腮腺。向前掀起肌骨膜瓣后,切断外耳道,见外耳道内新生物。乳突轮廓化,磨除外耳道后壁,见乳突腔、鼓室内肿瘤组织,向上方侵蚀颅中窝底骨质,未突破硬脑膜。取部分肿瘤组织送冰冻,提示“神经鞘瘤”。磨开面神经垂直段骨管,打开茎乳孔,暴露面神经颞骨外段总干,在茎乳孔处面神经外观正常,遂在此处切断。切取断端面神经送冰冻,提示“未见肿瘤累及”。沿面神经走行向上磨除骨质暴露肿瘤,切除迷路,可见面神经垂直段、水平段、膝状神经节、迷路段全程受累,主体部分在膝状神经节。磨除迷路骨质,暴露并打开内听道,见面神经内听道段正常。彻底切除肿瘤组织,并剥离颅中窝及颅后窝硬脑膜表面的肿瘤。
测量面神经内听道段断端至颞骨外段总干断端长度,于右侧外踝取腓肠神经约8cm。
9-0prolene线将移植的腓肠神经与面神经断端远端吻合,近端用生物胶固定。
封闭咽鼓管鼓口,“Blind Sac”技术封闭外耳道。
彻底止血并冲洗术腔,腹部脂肪充填整个术腔,将耳后肌骨膜瓣复位后拉拢缝合,皮瓣复位后分层缝合。

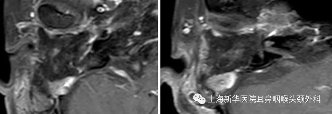
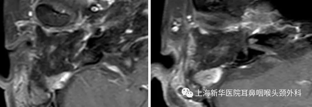
术后CT:

术后增强MRI:

文献回顾及讨论
面神经鞘膜瘤(Facial Nerve Schwannoma,FNS)是一种少见的、生长缓慢的良性肿瘤,在面瘫患者中约有5%是由FNS所引起。面神经走行复杂且分段较多,而FNS又可发生在面神经传导通路上的任何区域。面神经贯穿于颅底复杂的解剖结构,临床治疗具有一定困难,手术风险较高。
对于面神经鞘膜瘤患者,术中为了完整切除肿瘤,对面神经的损伤一般难以避免,因此,多考虑同期或二期行面神经重建术。一般面神经修复或重建的手术方式与肿瘤的大小、位置、与周围结构的关系、患者术前的听力水平、面瘫程度等因素有关。本例患者因肿瘤侵犯迷路段至垂直段面神经,术后面神经缺损距离较长,无法直接行断端吻合,故采用腓肠神经移植修复面神经。一般认为面神经麻痹程度越重,术后面神经功能的恢复越差,也就是面神经功能恢复的程度取决于神经修复时有功能的神经纤维存在的多少。面神经移植术后,远期面神经功能最佳可达HB-III级。文献报道结果表明移植神经的传导速度随时间推移而渐增大,移植后3年神经传导速度接近腓肠神经或面神经正常值的下限。
腓肠神经作为自体神经游离移植材料有其特定的优点: (1)切取该神经后副损伤小,仅足背外侧皮肤感觉障碍, 一般在术后3-6个月后消失, 对生活无影响。(2)切取的神经较长, 为25-40cm,且可切取两侧, 能修复神经的长段缺损。(3)该皮神经位置恒定, 表浅, 切取方便, 比其它神经移植材料有其优越性。
本文是杨军版权所有,未经授权请勿转载。 本文仅供健康科普使用,不能做为诊断、治疗的依据,请谨慎参阅
发表于:2020-05-14