医学科普
发表者:黄晋熙 人已读
今日星期天的胸科专科门诊除了鸡胸和漏斗胸的宝宝还是一如既往的多之外,囊腺瘤与隔离肺的宝宝或胎儿也不少。

*一个早上48个宝宝的就诊量
家属关心的问题稍做汇总,先和大家讲一下肺囊腺瘤这个疾病家属最关心的几个问题。
胎儿期:我家宝宝肺头比(CVR)越来越大了怎么办?几周趋于稳定?剖腹产还是顺产?
肺头比是一个很好的衡量方式,计算方法也相对简单,我阅读近5年内国外的文献报导,有的提示34周趋于稳定,有的研究提示36周,但在我看来,这个数值不重要,更重要的是动态监测,近5年内我随访的宝妈们有到36+5周时还在增大的,也有从30周开始就逐渐变小的。所以我们的建议是,大排畸后2至4周复查一次彩超,如果CVR明显增大了,建议2周查一次,以确定是否需要宫内治疗,如果没有明显增大,不用满怀焦虑之心一直复查,只需定期产检便可。
大于1.6常常预示风险增大,但不是说大于1.6就一定会有并发症,目前我院接诊CVR最大的患儿为2.99,在2019年10月于出生后第4天手术,目前再过3个月这个宝宝就一周岁了,恢复得很健康。这也作为当时国际上最小的肺囊腺瘤手术患儿之一,被接收发表在胸心外科学杂志上。

所以CVR值可作为参考,但也别对持续增大的CVR过于焦虑,及时就诊小儿胸外科,我们会给你最全面的回答。
至于剖腹产与顺产,目前没有确切的观点来证明囊腺瘤宝宝不能顺产。
2.出生后:如何复查,何时手术。
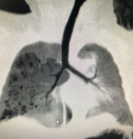
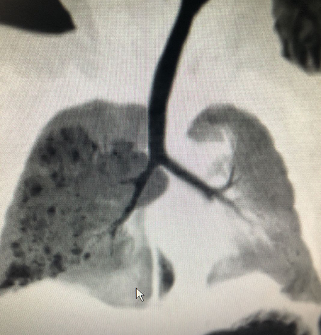
建议术前要有一次的CT检查,以明确病变所在肺段,对于手术切肺叶还是切肺段、肺亚段、联合亚段等提供有利帮助。增强CT主要是用于分辨病变的血管供应。随着胎儿肺部超声的发展,病变部分的血管可以用彩超来诊断,关于胎儿肺部超声可能大家知道的很少,我会在随后的科普中再专门和你们说。
如果反复出现感染,有可能使得病灶内积聚大量炎症,特别是II型、III型的肺囊腺瘤,手术时我发现这些宝宝的中至大的囊泡内总会积脓。 如果生后没有反复肺炎,亦不用反复检查,出现气喘、呼吸困难的时候再及时复查便可。
3.手术对宝宝会不会造成很严重的影响?切掉了一部分肺之后会不会影响以后的呼吸功能?
肺囊腺瘤是一块没有发育好的肺,不具有呼吸功能,只具有“占位子”的功能,还会压迫旁边的心肺,

目前的微创手术对宝宝的创伤是很小的,并不像以前开胸手术这样的“重创”,而和这肿块比起来,反倒是肿块带给宝宝的才是“重创”。
至于切掉之后,我们如果采用的是肺段或者肺亚段切除,保留了大量的正常肺组织,那宝宝的肺功能和肺容积会恢复得很快。我院所有的术后宝宝过一个月过来复查的胸片或CT以及肺功能都提示已经恢复到正常宝宝的水平。
不管科普归科普,具体问题还需具体分析,家长们如果对自家的宝宝情况有疑问,还请及时与我们联系。
本文是黄晋熙版权所有,未经授权请勿转载。 本文仅供健康科普使用,不能做为诊断、治疗的依据,请谨慎参阅
发表于:2020-07-05