医学科普
发表者:刘继喜 人已读
阿米巴肠病又称为阿米巴痢疾,是由致病性溶组织阿米巴寄生虫侵入肠道引起的感染性疾病。全球范围内均可发病,多见于发展中国家,如中美洲和南美洲地区,部分亚洲地区以及非洲撒哈拉地区,其中,2000-2010年期间墨西哥约有800万人血清学检测阳性,印度东北部一些洲的粪便检测阳性率高达15%。由于旅游等原因,一些发达国家阿米巴感染也不能忽视,如美国加州和德克萨斯每年诊断阿米巴肠病约329例和200例。尽管发病率很难统计,近期的一项资料显示,全球每年约有5万多人死于阿米巴肠炎。该病经过粪口途径传播,也可通过粪口途径相关的性接触传播。阿米巴肠病可分为无症状型、普通型、暴发型及慢性型。其中暴发型仅占约0.5%,但死亡率超过40%。阿米巴肠病常见的临床表现为不同程度的腹痛、腹泻伴血便,与溃疡性结肠炎和肠结核相似,容易误诊、漏诊。土耳其的溃疡性结肠炎患者粪便阿米巴检查率高达32%。因此,流行病学资料在阿米巴肠病的诊断治疗中显得尤为重要。
溶组织内阿米巴感染常用的诊断方法包括病原直接镜检、血清学诊断、分子诊断和肠道病变组织活检。病原直接镜检,即显微镜检测到患者粪便中的包囊或分泌物、组织切片内的滋养体。血清学免疫诊断方法则具有较高的敏感度和特异度,特异性抗体IgM可在溶组织阿米巴急性感染后5-7天内测出,抗体IgG在感染后能持续数年。分子诊断可检测患者标本中虫体DNA或石蜡切片中的 DNA,敏感性更高。
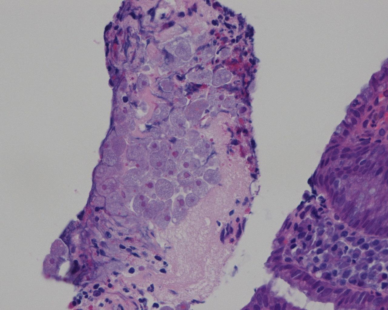
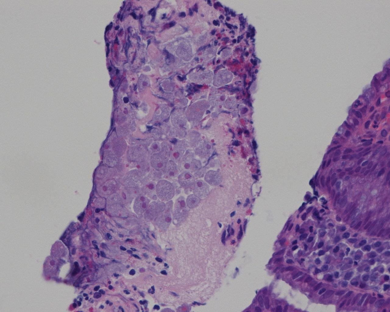
肠镜检查在阿米巴肠炎的诊断方面具有重要作用,病变的主要部位为盲肠,其次为回肠末端、横结肠、降结肠等部位。病变早期,仅表现为黏膜表面散在糜烂,病变进展时,经典的阿米巴肠炎可表现为口小底大的烧瓶状溃疡,边缘呈潜行性,伴不同程度充血、水肿及炎性渗出;也可表现为充血、水肿的溃疡表面被覆黄、白色脓苔,周围可见纤维状坏死物,类似“荷包蛋”样改变,因此又被称为荷包蛋样溃疡.
治疗阿米巴肠炎,首先应用甲硝唑或替硝唑药物杀灭滋养体,然后应用杀灭包囊药物如巴龙霉素、双碘喹啉、二氯尼特等。依米丁对阿米巴滋养体有直接杀灭的作用;氨基喹啉类药物氯喹治疗肠外阿米巴效果显著;二氯散糠酸脂可直接杀包囊。对于初次治疗失败的,建议尝试使用甲硝唑 750mg 3次/天连续服用14天后服用巴龙霉素 500mg 3次/天共7天。此外,疑似或者确诊腹膜炎患者,应同时使用广谱抗菌药物;出现肠穿孔、脓肿,中毒型巨结肠的患者需要外科干预。


参考文献:
1.周璞,王逸明,胡敏等。以转移性右下腹痛为表现的暴发型阿米巴肠炎一例并文献复习.中华全科医师杂志,2020,19(4):361-363.
2.陈玉玲,樊翔,王龙飞等。阿米巴性结肠炎3例临床病理分析并文献复习.临床与实验病理学杂,2017,33(1):90-92.
3.Significance of amebiasis: 10 reasons why neglecting amebiasis might come back to bite us in the gut. PLoS Negl Trop Dis,2019,13(11): e0007744.
本文是刘继喜版权所有,未经授权请勿转载。 本文仅供健康科普使用,不能做为诊断、治疗的依据,请谨慎参阅
发表于:2020-07-23