典型病例
发表者:叶文正 人已读
胸腹部皮疹1年
患者,男性,21岁,发现胸腹部暗褐色网状皮疹伴轻微瘙痒不适1年,否认家族遗传病史及其他特殊病史。


胸腹部可见网状暗褐色斑块伴有局部色素沉着及色素脱失,微距呈乳头瘤样外观。

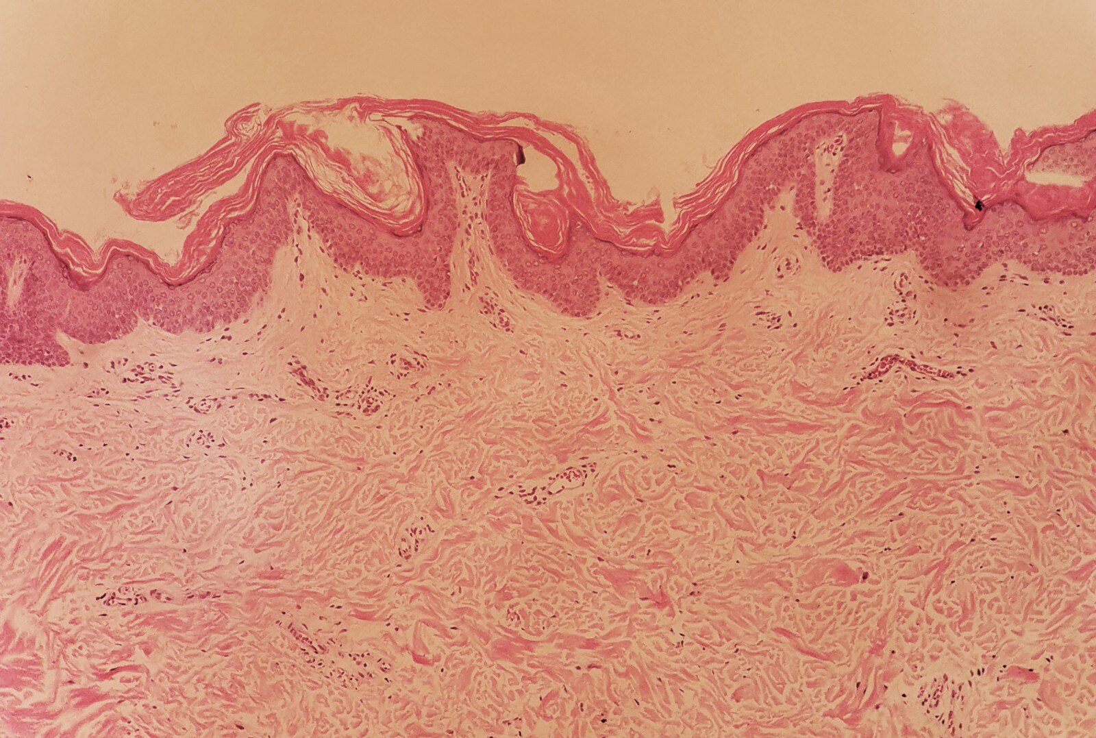
表皮网篮状角化过度及轻度乳头瘤样增生,真皮浅层血管周围散在单一核细胞浸润。
融合性网状乳头瘤病
融合性网状乳头瘤病(confluent and reticulated papillomatosis,CRP)是一种病因不明、相对少见的良性角化性皮肤病。最早由Gougerot 和Carteaud 报道并描述。CRP 的病因现尚无明确的定论,目前认为可能与角化异常、宿主对寄生的卵圆形糠秕孢子菌的异常反应、遗传因素、皮肤淀粉样变及内分泌疾病:如肥胖、2 型糖尿病、多毛症、库欣综合征、甲状腺功能不全、女性的月经异常等因素有关,近年来有学者认为本病与角蛋白16 功能的缺失与突变有关。
CRP 皮损发展缓慢,通常呈慢性病程。皮损一般开始于胸、腹、背部,以躯干为中心,并可逐渐向两侧蔓延,皮损中部可融合成片,周围呈网状分布,也有皮损呈波纹状分布的报道,主要好发部位为躯干上部、腋下和颈部。但也可见于肘窝、腘窝、耻骨上区等少见部位。CRP 一般为散发病例,但可见家族性发病的报道,这提示CRP可能和遗传相关。 CRP 的皮损组织病理表现为角化过度,乳头瘤样增生,乳头间表皮呈不同程度的棘层肥厚,可见基底层色素增加,真皮浅层血管轻度扩张,管周少许单一核细胞浸润,可见噬黑素细胞。临床上,本病主要与花斑癣、黑棘皮病、疣状表皮发育不良等疾病相鉴别。
CRP 目前尚无标准治疗方案,主要治疗药物包括口服或局部使用抗真菌药物; 抗生素类药物,如米诺环素、多西环素、阿奇霉素、红霉素等; 口服或外用维A 酸类药物,如异维A 酸、维胺酯、阿维A、维A酸乳膏、阿达怕林凝胶等,其他治疗方式有皮质类固醇激素、他克莫司、水杨酸、5-氟尿嘧啶、液氮、皮肤消磨术等。
END
本文是叶文正版权所有,未经授权请勿转载。 本文仅供健康科普使用,不能做为诊断、治疗的依据,请谨慎参阅
发表于:2020-08-19