医学科普
发表者:檀谊洪 人已读
慢性淋巴细胞性甲状腺炎又称桥本甲状腺炎,是因机体免疫功能紊乱导致。特点是甲状腺弥漫性淋巴细胞浸润、甲状腺抗体水平升高、甲状腺肿大和/或甲状腺功能不同程度异常,是引起成人甲状腺功能减退(甲减)的主要原因。好发于30—5O岁的女性。
一、病因
可能与遗传、高碘摄入、感染等因素有关。
二、表现
1.无任何症状
2.颈部肿块
3.甲亢或甲减
4.出现甲状腺癌病灶
三、检查
1.甲状腺功能:正常或异常
2.甲状腺抗体五项:早期为TG-Ab升高,后期aTPO滴度明显升高,TRAb正常。

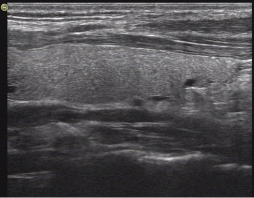
3.B超:表现为甲状腺体积增大,弥漫性低回声,不均质改变,典型的出现“网格征”,见下图:

图1 正常甲状腺超声的表现,腺体均匀。

图2 慢性甲状腺炎的表现,腺体可见很多小黑片状区域,呈网格状。
4.放射性核素显像:表现为甲状腺增大,分布不均匀与稀疏。甲状腺摄碘率早期可正常或者升高,后期摄碘率下降。
5.细针穿刺活检:出现可疑恶性的结节,需要穿刺细胞学检查排除恶性。
四、诊断
甲状腺肿大、质地韧、抗体阳性、B超特征。
五、处理措施
1.甲状腺功能正常:无明显临床症状者,每半年到1年随复查一次甲功,每年复查一次B超。怀孕期间建议每月复查一次甲功。
2.甲减:查甲功指标TSH>10 mU/L需服用左甲状腺素片治疗;TSH<10 mU/L者,若伴有aTPO阳性、血脂升高、怀孕女性、不孕女性、心脏缺血,需服用左甲状腺素片治疗。
3.甲亢:通常短期使用控制心率药物和激素可缓解,若持续存在需考虑使用抗甲状腺药物治疗。
六、饮食
原则上低碘饮食,不吃海带紫菜,少吃海鲜。目前医学研究表明补硒无效,夏枯草可能有助于降低抗体和腺体肿大。

本文是檀谊洪版权所有,未经授权请勿转载。 本文仅供健康科普使用,不能做为诊断、治疗的依据,请谨慎参阅
发表于:2020-12-25