医学科普
发表者:尹战海 人已读
西安交通大学第一附属院医院运动医学与关节外科团队:尹战海 修金涛 吉喆 白浪 徐美光 李媛 蒋永彬

图1.锻炼很重要,但也要避免发生髋关节撞击综合征(Femoro-Acetabular Impingement Syndrome, FAI)。
一、什么是髋关节撞击综合征(FAI)?
由于股骨头颈交界处和(或)髋臼的解剖异常,在髋关节运动终末期股骨头颈与髋臼发生不正常接触、碰撞,产生反复的微型创伤导致髋臼盂唇和相邻关节软骨之间的退行性改变,从而引发一系列临床症状。典型症状表现为腹股沟区慢性疼痛,屈曲和内旋受限,最终发展为髋关节骨关节炎。

图2.髋关节骨质异常易发生髋关节撞击征。
二、髋关节撞击综合征(FAI)的好发人群
各年龄段,以爱好运动的青壮年多见。常见的损伤动作有压腿,深蹲(锻炼、建筑、装修),瑜伽、弓箭步、劈叉等髋关节过度屈曲外展的动作。摔倒导致股骨近端扭转,也可发生髋关节撞击综合征(FAI)。

图3.过度屈髋动作可导致髋关节撞击。
三、髋关节撞击综合征(FAI)的常见症状和体征
1.髋关节周围“C”形区疼痛,腹股沟区疼痛,不适,蹲下时明显。可伴放射痛(股骨后侧或外侧、臀部深处、大转子、膝关节、腰背部、骶髂关节、大腿)。 患侧髋关节会有弹响、绞索、僵硬,屈曲内收内旋的活动受限。

图4.髋关节撞击征首先表现为股骨大转子周围、髋前(腹股沟)、髋后(臀部)“C”形区的疼痛。
2.髋屈曲内收内旋(FADIR, Flexion ADduction Internal Rotation)时疼痛:髋臼前唇、股骨头颈外上方撞击。
髋屈曲外展外旋(FABER, Flexion ABduction External Rotation)时疼痛:髋臼外侧唇、股骨头颈前侧撞击。

图5.髋关节撞击征在髋屈曲内收内旋(FADIR),和/或 髋屈曲外展外旋(FABER)时出现疼痛。
五、髋关节撞击综合征(FAI)的常见病因
(1) 骨发育异常:
① 凸轮型(cam-type): 股骨头颈交界处异常隆起,屈曲时股骨头颈撞击髋臼缘。

图6.髋关节撞击可由股骨头颈交界处骨质异常隆起造成(凸轮型Cam)。
② 钳夹型(pincer-type): 髋臼前外侧缘太长,屈曲时股骨头颈前侧撞击髋臼缘。

图7.髋关节撞击也可由髋臼前外缘骨质过长造成(钳夹型Pincer)。
③ 混合型(mixed-type):发病率最高,约60%-70%的患者同时出现。

图8.髋关节撞击多数同时存在凸轮(Cam)和钳夹(Pincer)。
(2) 髋关节盂唇损伤:髋关节周围“C”形区疼痛、活动受限。
盂唇(labrum)附着于髋臼缘,像一个“皮搋[chuāi]子(马桶疏通器)”,在关节内少量关节液形成负压的条件下,可以吸住股骨头,防止股骨头脱位。
盂唇感觉神经分布丰富,髋关节撞击损伤盂唇,导致髋关节周围“C”形区疼痛,髋关节活动受限。

图9.髋关节撞击主要损伤的是髋臼缘的“盂唇”,因富含神经纤维的盂唇受损,出现髋关节周围疼痛。
七、髋关节撞击综合征(FAI)的影像学检查
(1)X线片:
① 凸轮Cam:A. 手枪柄样畸形

图10.双髋正位X线片可看到股骨头颈“手枪柄”样隆起。
B. α角增大> 50°(45°Dunn位)

图11.患髋45°Dunn位X线片可看到股骨头颈α角增大> 50°。
②钳夹Pincer: A.外侧中心边缘角(Lateral Center Edge angle, LCE) >39°,提示髋臼外侧过度覆盖。(正常范围为25°~ 39°,<25°髋关节发育不良。)

图12.双髋正位X线片可看到患髋外侧中心边缘角(Lateral Center Edge angle, LCE) >39°。
B.髋臼后倾:髋臼前缘线位于髋臼后缘线的外侧:阳性交叉征(8字征)

图13.双髋正位X线片可看到患侧髋臼前缘线位于髋臼后缘线的外侧:阳性交叉征(8字征)。
(2)CT:

图14.患髋CT三维重建可评估手术前后凸轮(Cam)和钳夹(Pincer)的程度和改善情况。
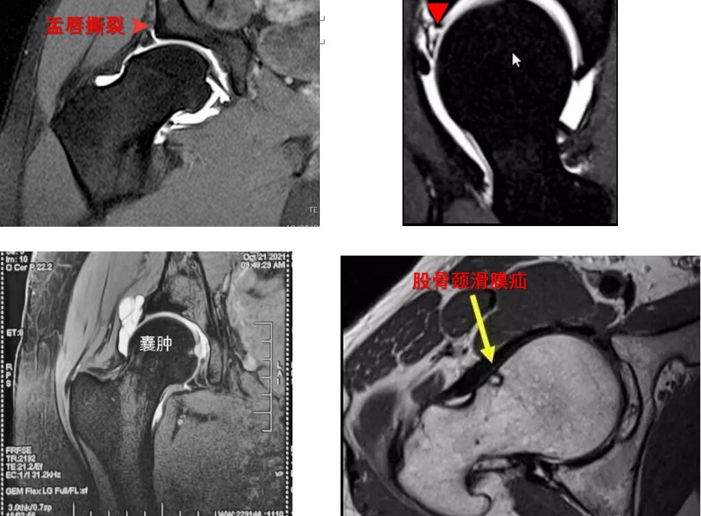
(3)磁共振:(单髋3.0T):盂唇损伤撕裂,囊肿,滑膜疝。(斜矢状位、斜冠状位、横轴位)

图15.患髋磁共振可评估盂唇损伤的程度和囊肿形成的情况。
八、封闭
将具有止痛作用的局部麻醉药(利多卡因、罗哌卡因)和消炎作用的糖皮质激素(曲安奈德、得宝松)(在超声引导下)注射入髋关节腔内,起到缓解疼痛、改善功能的作用;也可进一步明确髋臼盂唇的损伤情况。

图16.超声引导下的封闭可缓解患髋疼痛,并进一步的明确诊断。
九、治疗
(1)去除撞击因素:Cam,Pincer磨除成形
(2)盂唇缝合固定修复

图17.髋关节镜微创手术可以磨除增生骨质,缝合修复损伤的关节盂唇,减除髋关节疼痛,恢复髋关节的功能。
本文是尹战海版权所有,未经授权请勿转载。 本文仅供健康科普使用,不能做为诊断、治疗的依据,请谨慎参阅
发表于:2022-04-26