医学科普
发表者:郑立岗 人已读
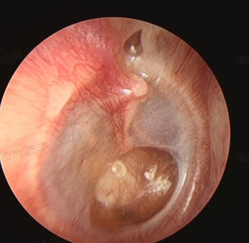
来自广东佛山顺德的刘女士,由于体检发现右侧鼓膜内陷,听力下降,当地医生建议捏鼻子鼓气,但是坚持了几个月没多大效果。最后听说佛山复星禅诚医院耳鼻喉治疗这种情况比较专业。就找到耳鼻喉郑立岗医生,检查后发现李女士是粘连性中耳炎,听力有下降,建议做耳内镜微创手术。

考虑后李女士及时入院了,这次做的是全麻耳内镜粘连性中耳炎微创手术,在耳内镜下不用做任何的体表切口,直接翻起外耳道鼓膜皮瓣,完整翻起内陷的上皮组织后发现听骨链是完整,活动可。取合适大小的耳屏软骨加强鼓膜,整个的手术非常的顺利,持续约60分钟。术后查房患者无明显的不适,无手术相关的并发症。

对于鼓膜内陷的患者来说,及时的做耳内镜微创手术是非常必要的,一般保守治疗效果不好。如果您还有任何问题,欢迎留言和耳鼻喉郑立岗医生进一步交流

。
本文是郑立岗版权所有,未经授权请勿转载。 本文仅供健康科普使用,不能做为诊断、治疗的依据,请谨慎参阅
发表于:2023-06-16