医学科普
发表者:郑立岗 人已读
最近来自广东佛山顺德的小何,15岁,鼻塞1年多了,非常的影响学习和睡眠。在当地医院吃了不少的药物,效果比较差。这次放假来找耳鼻喉郑立岗医生要去能彻底的解决自己的鼻塞问题,要不然影响学习时的注意力。

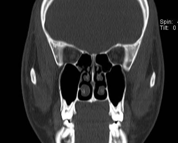
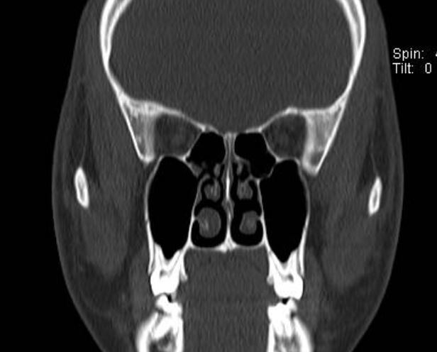
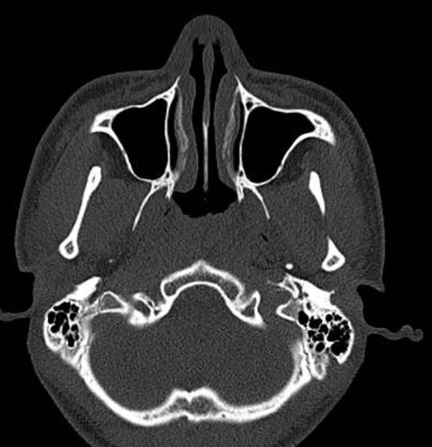
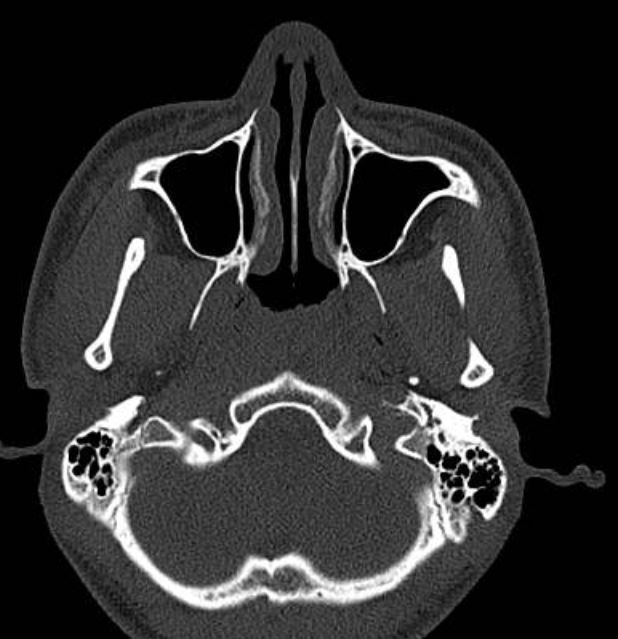
做了鼻内镜和鼻窦CT检查后发现主要的问题是下鼻甲肥大,堵塞了鼻腔。这种情况如果药物治疗效果不好,通过鼻内镜微创手术是可以解决的。

由于要中考,就及时入院了。这次安排的是全麻鼻内镜下下鼻甲射频消融术。插管全麻后就开始了手术,在鼻内镜下用射频针消融双侧的下鼻甲,这样下鼻甲就可以明显的缩小,而且不会明显的影响下鼻甲的功能。整个的手术用时约30分钟,非常的顺利。术后查房患者无明显的不适,无手术相关的并发症。

对于鼻塞,如果您还有什么问题,欢迎留言和耳鼻喉郑立岗医生进一步交流。
本文是郑立岗版权所有,未经授权请勿转载。 本文仅供健康科普使用,不能做为诊断、治疗的依据,请谨慎参阅
发表于:2024-03-10