媒体报道
发表者:楚瑞阁 人已读

气管镜可见肿瘤不完全阻塞总气道

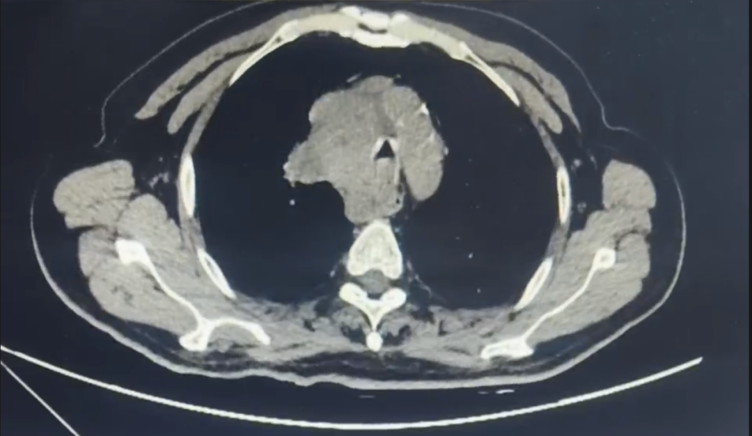
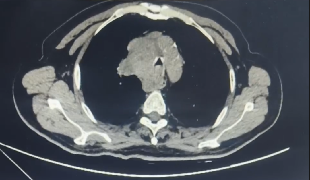
胸部CT增强检查见肿瘤阻塞总气道

术前气管镜下见肿瘤严重阻塞总气道

术中使用激光治疗仪切除肿瘤

切除肿瘤后气道通畅,但仍存在肿瘤外压导致气管塌陷的情况

激光切除肿瘤后植入气道支架
今年73岁的蔡伯,近半年来时常感觉胸痛、呼吸不畅,偶尔还出现咯血。起初他并没有重视,后来症状越来越严重,到我院住院完善相关检查,诊断为肺恶性肿瘤,而且肿瘤已经侵犯总气管,把气管腔宽度“压”到只有正常的12%。
由于蔡伯气管腔严重狭窄,同时有肝恶性肿瘤的病史,麻醉和手术风险大大提高,经过多学科会诊(MDT),综合多学科的意见,通过呼吸介入的手段,为其切除总气管上的肿瘤,植入气道支架,开放呼吸通道。
本文是楚瑞阁版权所有,未经授权请勿转载。 本文仅供健康科普使用,不能做为诊断、治疗的依据,请谨慎参阅
发表于:2024-09-26