医学科普
发表者:许加军 人已读
颅底陷入症是临床常见神经系统发育异常性疾病,本病是以枕骨大孔为中心的颅底骨组织、寰椎及枢椎骨质发育畸形,寰椎向颅腔内陷入,枢椎齿状突高出正常水平进入枕骨大孔,使枕骨大孔狭窄,后颅窝变小,从而压迫延髓、小脑及牵拉神经根产生一系列症状,同时可有椎动脉受压出现供血不足表现。
病因
主要发病原因为先天性骨质发育不良所致,由于在胚胎发生学上,神经管在寰枕部闭合最晚,所以先天性畸形容易发生在此区,少数可继发于其他疾病。

临床表现
患者可因畸形的程度及合并症的不同,症状与体征差异较大,一般症状可有头痛,眩晕,耳鸣,复视和呕吐等,患者可有头颈部偏斜,面颊不对称,颈项粗短,后发际低,颈部活动受限且固定于特殊的角度位置,正常的颈椎前突消失及外貌异常,患者常诉颈部强直,多以进行性下肢无力和行走困难为首发症状,起病一般为隐匿,逐渐加重,亦可在头部外伤后突然发病或加重,即在头部轻微外伤或仰头或屈颈过猛后出现肢体麻木无力,甚至发生四肢瘫痪和呼吸困难等,症状反复多次发作,整个病情呈进行性加重。
多数患者症状进展缓慢,偶有缓解,有些患者可无症状,仅在X线检查时发现有枕骨大孔区畸形,颅底凹陷,患者可有颈短,发际低,颅形不正,面颊耳郭不对称,但无明显神经系统症状。
神经系统症状及体征主要表现为枕骨大孔区综合征,其主要临床表现为:
1.上颈神经根刺激症状
主要是由于颅底畸形骨质刺激和压迫寰枕筋膜,韧带和硬脊膜,使其发生增生,肥厚或形成纤维束带,压迫上颈神经根,患者常常诉说枕部慢性疼痛,颈部活动受限,感觉减退,一侧或双侧上肢麻木,疼痛,肌肉萎缩,强迫头位等。
2.后组脑神经障碍症状
常因脑干移位,牵拉或蛛网膜粘连,使后组脑神经受累,而出现吞咽困难,呛咳,声音嘶哑,舌肌萎缩,言语不清,咽反射减弱等球麻痹的症状,以及面部感觉减退,听力下降,角膜反射减弱等症状。
3.延髓及上颈髓受压体征
主要因小脑扁桃体下疝,局部病理组织压迫延髓及上颈髓和继发脊髓空洞症所致,患者表现为四肢无力,感觉障碍,锥体束征阳性,尿潴留,吞咽,呼吸困难,手指精细动作障碍,位置觉消失;有时出现脊髓颈胸段单侧或双侧节段性痛,温觉消失,而触觉和深感觉存在,这种分离性感觉障碍为脊髓空洞症的特征表现。
4.小脑功能障碍
以眼球震颤为常见,多为水平震颤,亦可为垂直或旋转震颤,晚期可出现小脑性共济失调,表现为行走不稳,说话不清,查体可见指鼻试验不准,跟膝胫试验不稳,闭目难立征阳性等。
5.椎动脉供血障碍
表现为发作性眩晕,视力障碍,恶心呕吐,共济失调,面部感觉障碍,四肢瘫痪及球麻痹等临床症状。
6.颅内压增高症状
早期患者一般无颅内压增高,一旦出现说明病情严重,而且多为晚期,症状系发生梗阻性脑积水所致,个别出现较早的患者可能为合并颅内肿瘤或蛛网膜囊肿的原因,患者表现为剧烈头痛,恶心呕吐,视盘水肿,甚至发生枕骨大孔疝,出现意识障碍,呼吸循环障碍或突然呼吸停止而死亡。

检查
1.颅骨平片
利用颅骨平片诊断颅底凹陷需要进行各种测量,由于枕骨大孔区局部正常解剖变异较大,尽管测量方法较多,但还没有一种理想的方法对诊断本病十分可靠,因此,至少需要根据以下方法2种明显异常的测量结果才能做出诊断。
2.CT扫描
主要是显示脑组织及脑室的改变,有时可行脑室造影CT扫描,在脑室内注入非离子水溶性造影剂后行CT扫描,可观察到脑室大小,中脑水管是否通畅及第四脑室及脑干的改变,并可勾画出小脑扁桃体下缘的位置。
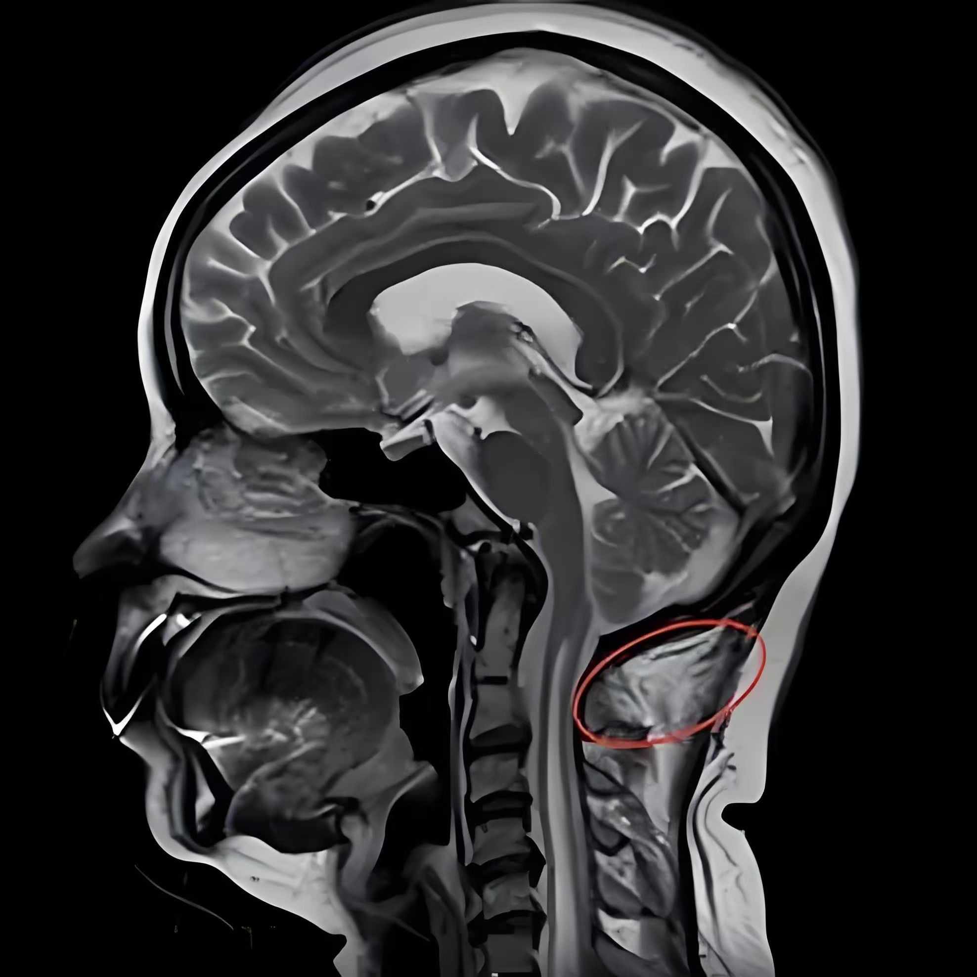
3.MRI检查
MRI是诊断本病最好的检查手段之一,尤其在矢状位可清楚的显示中脑水管,第四脑室及脑干的改变,小脑扁桃体下疝的程度及颈髓受压的情况,便于决定手术治疗方案。
治疗
1.非手术治疗
颅底凹陷常导致颅后窝和上颈部椎管有效空间缩小,故治疗的目的在于给予足够空间进行减压术。对于偶然发现的无症状者,一般不需要治疗,应嘱患者防止头颅部外伤及过度剧烈头部屈伸。对症状轻微而病情稳定者,可以随访观察。
2.手术治疗
一旦出现进行性加重,应手术治疗,手术方式主要为枕肌下减压术。但必须指出,症状轻微患者即使影像学发现畸形也不宜手术。目前手术指证为:①有延髓和上颈髓受压表现者。②有小脑征症状及颈神经症状,并呈进行性加重者。③有颈神经根受累和伴有脊髓空洞者。④有脑脊液循环障碍或颅内压增高者。⑤伴有颅后窝肿瘤或蛛网膜囊肿者。

本文是许加军版权所有,未经授权请勿转载。 本文仅供健康科普使用,不能做为诊断、治疗的依据,请谨慎参阅
发表于:2024-09-26