医学科普
发表者:许加军 人已读

脑穿通畸形(porencephaly),又称脑穿通性囊肿,是一种特殊类型的脑积水。临床分为先天性和后天性两类,先天性脑穿通畸形多见于婴幼儿,尤其是早产儿、难产儿和过期产儿。后天性脑穿通畸形可见于任何年龄,外伤性多见儿童和青壮年,脑血管性多见于老年人。临床表现多种多样,主要取决于病变部位、囊肿大小及脑脊液循环是否通畅等。最有效的治疗方法仍是手术治疗。
疾病概述
Heschl于l859年最早提出“脑穿通畸形”这一术语,指大脑半球脑实质先天性缺损并与脑室相通。后来又有人称为“脑穿通囊肿”、“先天性脑空洞症”、“脑积水性空洞脑”、“脑憩室”、“良性脑囊肿”等。1925年LeCount将之定义为“与脑室相通的囊或表面覆盖蛛网膜的并由一薄层脑组织与脑室相隔的囊肿”。脑穿通畸形又分真性脑穿通畸形及假性脑穿通畸形。前者指大脑皮层原发性异常的囊肿,与脑室相通;后者即所谓的“良性脑囊肿”,不与脑室相通,单发或多发脑空洞,主要是继发于脑血管闭塞,并常沿大脑中动脉分布区发生。目前,脑穿通畸形多指真性脑穿通畸形而言,一般定义为大脑半球内有空洞或囊肿与脑室相通,其内充满脑脊液,有时扩延至软脑膜,但不进入蛛网膜下腔的一种疾病。其囊壁为结缔组织。

病因与发病机制
脑穿通畸形以先天发育异常最为常见,主要是胚胎期神经系统发育障碍所致。后天性脑穿通畸形主要与新生儿颅内出血、缺血缺氧性脑病、颅脑损伤及脑血管疾病等相关。
脑损伤后发生缺血性坏死软化,局部脑组织缺损,当脑室内压增高,或在瘢痕形成过程中牵拉脑室,使脑室向脑软化处膨出扩大。脑脊液可在脑组织囊肿样膨大处积聚,或穿通该处脑实质与蛛网膜下腔或硬脑膜下腔贯通。多见于侧脑室额角或颞角,偶见于枕角。其囊肿样膨大形状和大小不一,最大者可充满整个半侧颅腔。

临床症状
一般有脑组织局部缺失相应的神经系统症状和体征,以癫痫发作多见。如脑脊液通路无阻塞,可没有颅内压增高的表现。先天性脑穿通畸形主要表现为颅骨局限性隆起、颅骨变薄及单侧颅骨透光阳性、脑电图明显病侧低电压三大特征;婴幼儿多表现为头围增大、颅骨畸形、癫痫、肢体瘫痪等;儿童青少年可见智力低下、脑性瘫痪、癫痫、颅内高压症、脑积水、视力减退或失明、颅神经麻痹、共济失调等症状。

辅助检查
(一)脑电图 主要显示为病变侧明显低电压。可能与脑组织缺损及局部脑萎缩和脑脊液聚集有关。
(二)颅骨平片 除有颅内压增高征象外尚有局限性颅骨隆起、颅骨板变薄、颅脑穹窿变小等。
(三)脑血管造影 可表现为脑内无血管区占位。易与脑内血肿相混淆。有时可见静脉窦扩大或动脉栓塞等表现。
(四)气脑和脑室造影 在无CT的情况下,脑室造影为首选检查方法。多有不同程度的脑室扩大、变形或中线结构移位及脑积水等。若造影剂进入囊腔即可确诊,表现为与脑室相通的、不规则的、不等大的脑内囊肿。
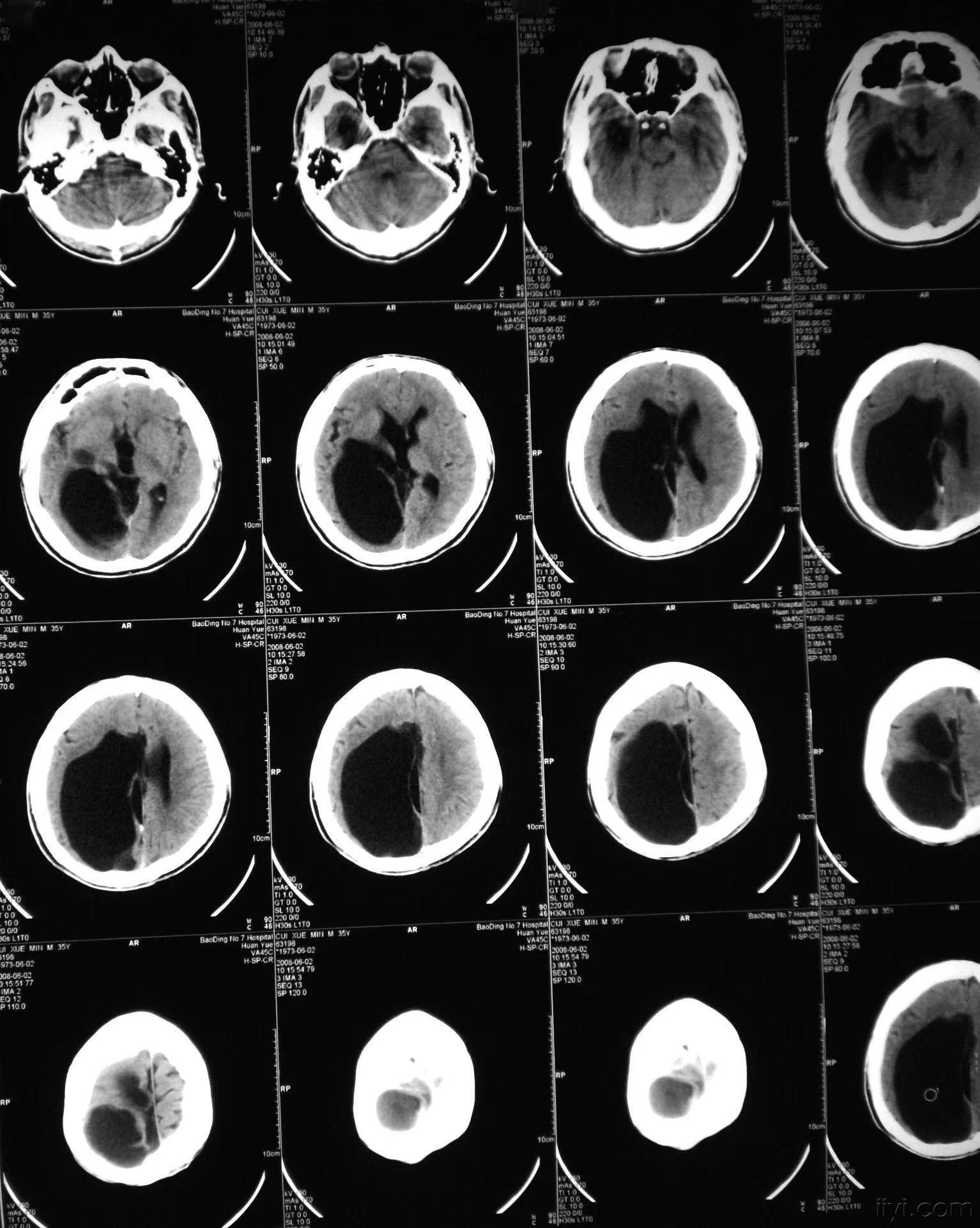
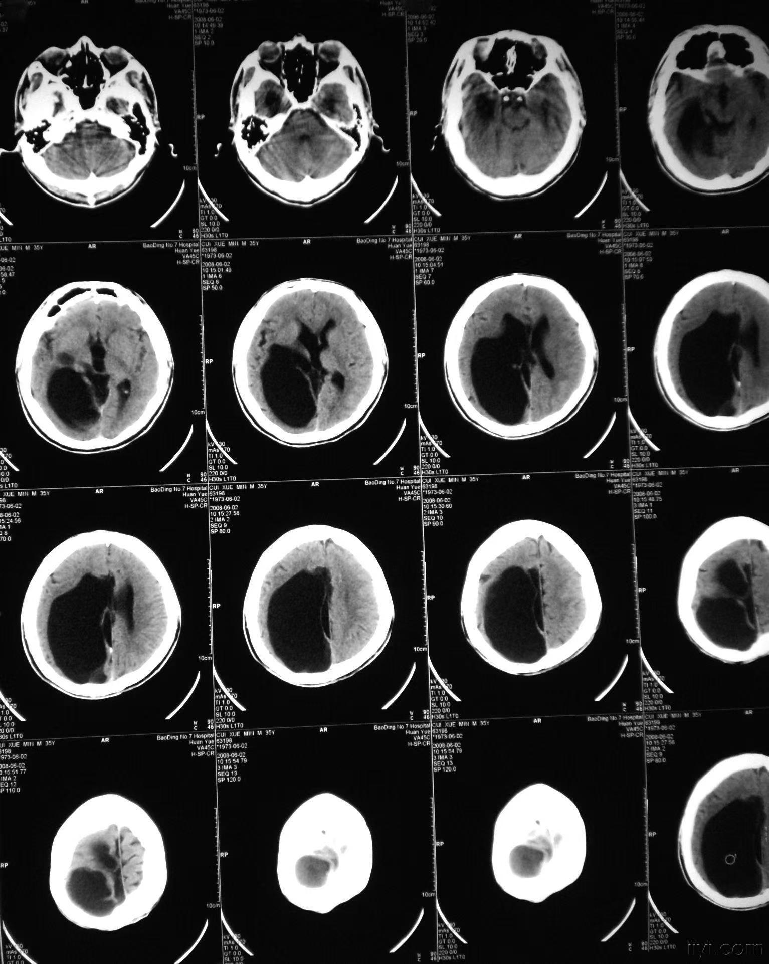
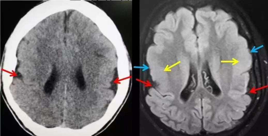
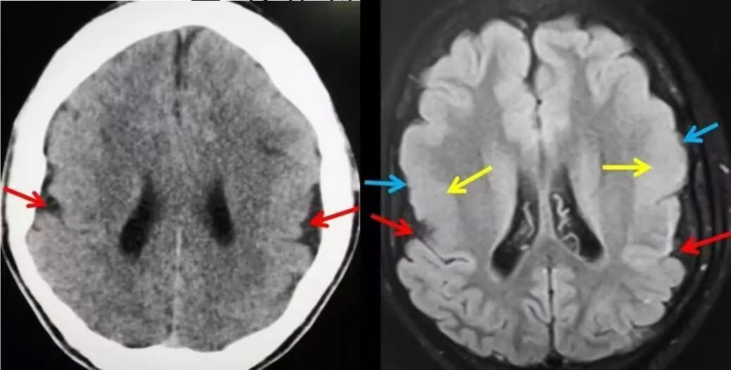
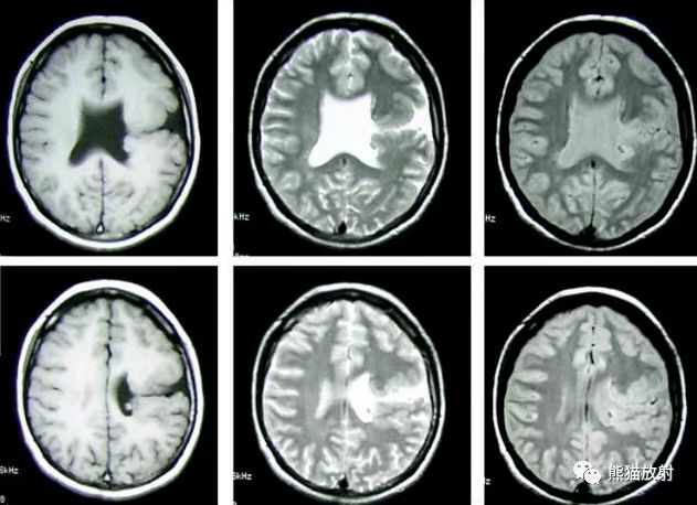
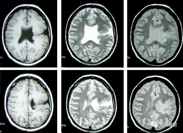
(五)CT扫描 能直观地显示脑穿通畸形的存在及类型,对了解囊肿的大小、部位、形态、数目及治疗方案选择、预后估计、鉴别诊断等均有重要意义。CT表现脑内囊肿性病变,CT值与脑脊液相似,病灶部位低密度影,与脑室相通。其他表现有脑积水、脑皮层萎缩等。强化扫描不增强。
(六)核磁共振(MRI) 呈长T1和长T2象,常与脑脊液一样,在T1加权象上呈囊状低信号,在T2加权象上呈高信号。
临床诊断
脑穿通畸形临床表现复杂多样,单凭症状和体征难以准确判断,除了详细询问家族史、妊娠史、生产史、外伤史之外,尚需借助影像学检查加以明确。
治疗方法
脑穿通畸形虽为良性病变,却有潜在的危害性,一旦确诊,宜尽早手术治疗。无颅内高压和中、重度脑积水者可暂时采用保守方法治疗。
本文是许加军版权所有,未经授权请勿转载。 本文仅供健康科普使用,不能做为诊断、治疗的依据,请谨慎参阅
发表于:2024-10-27