医学科普
发表者:许加军 人已读

全前脑畸形(holoprosencephaly)也称前脑无裂畸形,是前脑发育障碍引起的一组复杂的颅面畸形,病变几乎累及幕上所有结构。全前脑畸形是一种神经系统和面部多发性的畸形,该畸形发生率约1/8 000,86%的病例可由产前超声检出,此类畸形患者的中枢神经系统功能预后很差,故加强对此类畸形的认识、早期发现、及时终止妊娠是十分必要的,对优生优育的意义很大。
流行病学
1全面脑畸形是指在胚胎4~8周时,原始前脑分化发育过程中发生障碍,使前脑大部分没有分开。而出现终脑与间脑的高度形成不全。1882年,Kundrat最早对这类畸形以无嗅脑畸形加以记载,指出典型的无嗅脑畸形满足以下3个条件:
1、面部中线性畸形,如唇、腭裂畸形。
2、嗅球、嗅束缺如。
3、单脑室。后来人们改称为“全端脑畸形“和“全前脑畸形“,以更确切地表示畸形的特点。
1959年Yakovlev提倡以“全前脑畸形“称之此种畸形,1963年DeMyer和Zeman将之正式命名为“全前脑畸形“。

发病原因
该病病因不明,部分与遗传有关。原始前脑在胎儿期第4~8周经分裂与憩化形成端脑、前脑,并分化出脑室系统,某些原因使此过程发生障碍时,使前脑大部分没有分开而出现一组颅面畸形。基本病理特点为侧脑室分离不全而呈单脑室,无大脑镰、胼胝体、透明隔及半球间裂,脑重量小于100g,仅包括一个残留的原始中线脑沟,其沟回结构大而简单,基底核和丘颅神经核均未分化,且为单一大脑前动脉。按分化程度不同分成无脑叶型、半脑叶型和全脑叶型三类。

辅助检查
该病临床表现无特异性,CT 和MRI检查准确可靠,可确诊。
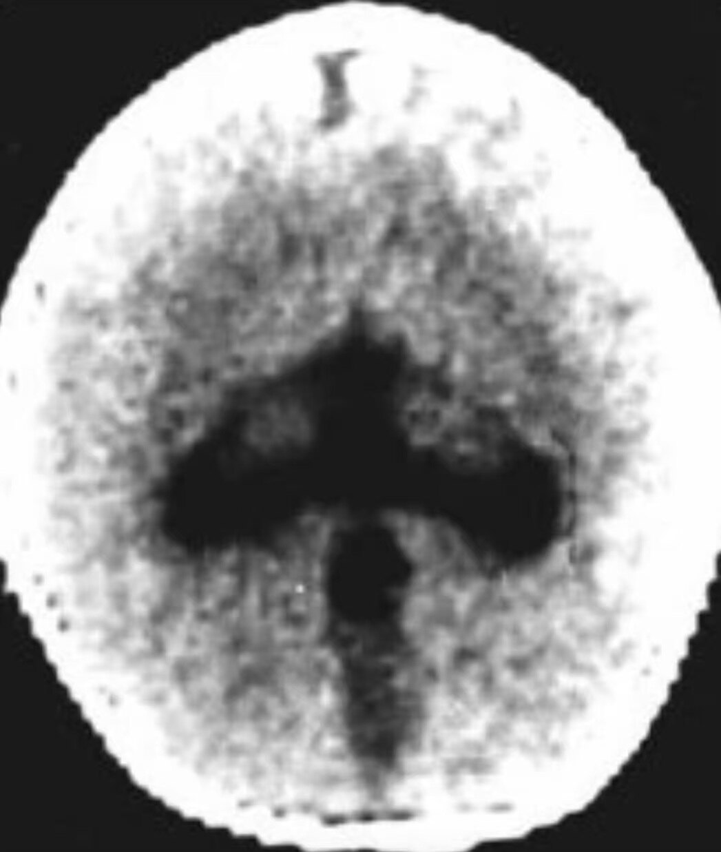
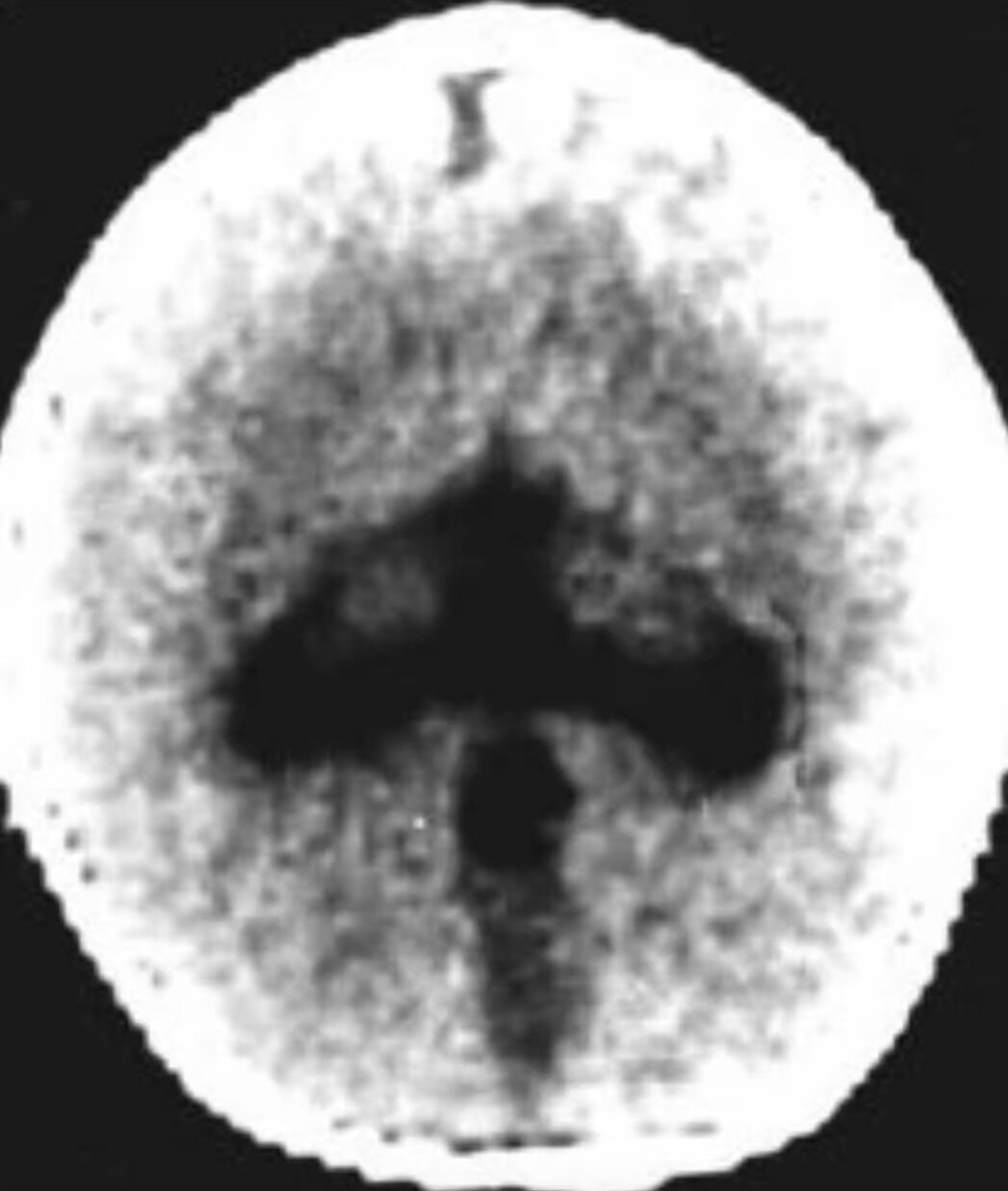
影像学检查
CT和MRI表现依畸形轻重程度而异。

半脑叶型影像
1、无脑叶型:无大脑半球,仅有一层菲薄的原始皮质围绕单一扩大的脑室,第三脑室位于单脑室下方,第四脑室正常。MRI可显示半球间裂与大脑镰完全缺如,单侧无脑叶常呈盾形,胼胝体缺如,鞍上单脑室马靴形,第三脑室缺如等。此型最严重。
2、半脑叶型:CT和MRI可见大脑后部半球间裂、大脑镰及有关硬膜已部分形成,胼胝体仅具雏形,或未发育。侧脑室颞角、枕角部分可辨,第三脑室已初步形成。
3、脑叶型:有明确的侧脑室,常扩张,额角顶部扁平或呈方形,丘脑被发育完好的第3脑室分开,透明隔一般缺如,但大脑镰与胼胝体已部分形成,半球间裂已形成,但残存的脑叶融合,常见于半球前部及扣带回处。
4、视隔发育不全:可见透明隔缺如,侧脑室和第三脑室中度扩大,双额角上方呈方形,视神经和视交叉小,第三脑室视隐窝扩大,视交叉位置异常。
超声检查
超声发现:12周前即可做出诊断。
无分叶和半叶型:
1、单一,镰刀样或马蹄样的脑室,共同脑室引流入背囊。
2、半球裂,胼胝体,透明隔缺如,中线回声缺如。
3、皮质缘薄。
4、单一,融合的丘脑。
5、小头畸形。
6、脑室扩大,脑积水。
7、相关颜面部畸形:
眼距过短;独眼畸形。
象鼻 或异常鼻骨形成。
中央面裂,唇裂,腭裂。
分叶型:额叶脑室融合,侧脑室后角可见分离。
(A)矢状位显示残余脑组织和单一脑室。从上到下显示全前脑呈薄饼样,杯样和球样。灰色显示残余的脑组织。(B)新生儿矢状位,显示杯样无叶全前脑,C单一脑室,向后延伸为背囊S。
(C)矢状位显示薄饼样全前脑,V单一脑室腔向后延伸为背囊C。枕叶脑组织(弯箭)和额叶脑组织(直箭),以及脉络丛(开口箭)可见。

临床表现
无脑叶型常造成流产、死产或1岁内死亡,临床罕见。中国有报道7个月和4个月无脑叶型患儿,表现为智力低下和脑瘫。半脑叶型较轻,头小,精神呆滞,脑瘫。全脑叶型和视隔发育不全可活至成年,常表现各种神经精神症状,如运动迟缓、智力低下等,后者癫癎发作常见。其他有视力障碍、视盘发育不良、粗大眼球震颤及下丘脑垂体功能障碍导致尿崩、侏儒等。各型均有不同程度面部中线结构畸形,如独眼、唇裂、胼胝体发育不良等。
治疗方法
无特殊治疗。合并脑积水者可行脑脊液分流术,无脑叶型或半脑叶型多流产或死于新生儿期,少数存活1年。全脑叶型可活至成年,多有智残。应加强优生指导,对严重型延长生命的治疗措施似无必要。
本文是许加军版权所有,未经授权请勿转载。 本文仅供健康科普使用,不能做为诊断、治疗的依据,请谨慎参阅
发表于:2024-11-14