医学科普
发表者:高旭峰 人已读
消化道异物是指消化道内不能被消化且未及时排出而滞留的各种物体。
因儿童本性好奇、喜欢探索、安全防范意识较差,所以在5岁及以下儿童占儿童消化道异物的75%。
异物种类:硬币、电池、磁力珠、生物球、别针、玩具、枣核等等。
由于儿童消化道异物为突发事件,处理不及时或处理不当会产生严重后果。因此,消化道异物的早发现、早诊断和早治疗尤为重要。
其中约80%~90%的消化道异物可自行排出;
10%~20%的消化道异物需要胃镜处理;
少于1%的消化道异物需要外科手术处理;
哪些可以自行排出呢?
答:单一、小型、钝性异物。
哪些需要胃镜取出?
答:位于食管、胃或十二指肠内的尖锐异物、纽扣电池及多个磁性异物或者胃内直径≥2.5 cm(相当于1元硬币)或长度≥6.0 cm 的异物等。
哪些需要手术取出呢?
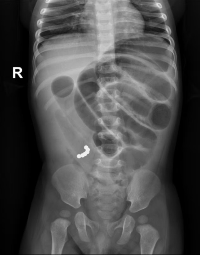
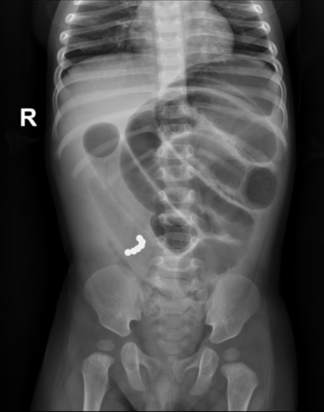
答:因消化道异物引起肠梗阻或者肠穿孔时,最多见的为磁力珠及枣核。

磁力珠异物致肠梗阻
高医生特别提醒:如孩子不慎误吞异物,先保持镇定,寻找专业医生评估,以免错过最佳的治疗时间。
本文是高旭峰版权所有,未经授权请勿转载。 本文仅供健康科普使用,不能做为诊断、治疗的依据,请谨慎参阅
发表于:2025-03-22