学术前沿
发表者:陆明 人已读
背景:肺外神经内分泌癌一线治疗目前标准方案是EP,有效率40-50%,免疫治疗在该类肿瘤疗效欠佳,缺少循证医学证据,LBL-024(PD-L1/41BB)是新一代免疫药物,高亲和PD-L1和低亲和41BB,实现免疫增效的作用;早期单药探索研究中,已经显示出在该类肿瘤的明显疗效,并获得推荐剂量,基于此,北大肿瘤医院沈琳教授牵头LBL-024+EP一线治疗肺外转移性NEC的II期研究,本次ASCO会议被选为口头报告,进行数据发布。
研究设计:项目首先采取3+3剂量爬坡,获得6mg/kg和15mg/kg两个剂量组,各入组20例患者,主要研究终点是客观有效率、疾病进展时间,不良反应,总生存期等;

研究设计
研究结果:2024.1-2025.4, 55例患者入组本研究,Ib期15例,II期40例;原发部位主要包括胃、食管、胰腺、结直肠、胆囊、泌尿生殖系统等,其中Ib期入组2例小细胞肺癌;

入组患者特征
总体客观有效率75%,疾病控制率92.3%,II期6mg剂量组有效率73.7%,疾控率94.7%,15mg剂量组有效率83.3%,疾病控制率100%。疗效可评估人群,30/52(57.7%)肿瘤退缩超过50%,截至数据分析日期,4例患者治疗已经超过48周,PFS时间仍在随访中。

疗效

肿瘤退缩和控制时间图
安全性方面:整体该方案耐受性良好,15mg和6mg剂量组相当,常见的不良反应主要是EP/EC相关的白细胞减少、中性粒细胞减少、血小板减少,贫血、恶心呕吐等;免疫相关不良反应发生率低,12.7%,主要发生于一例患者。

常见不良反应

免疫相关不良反应

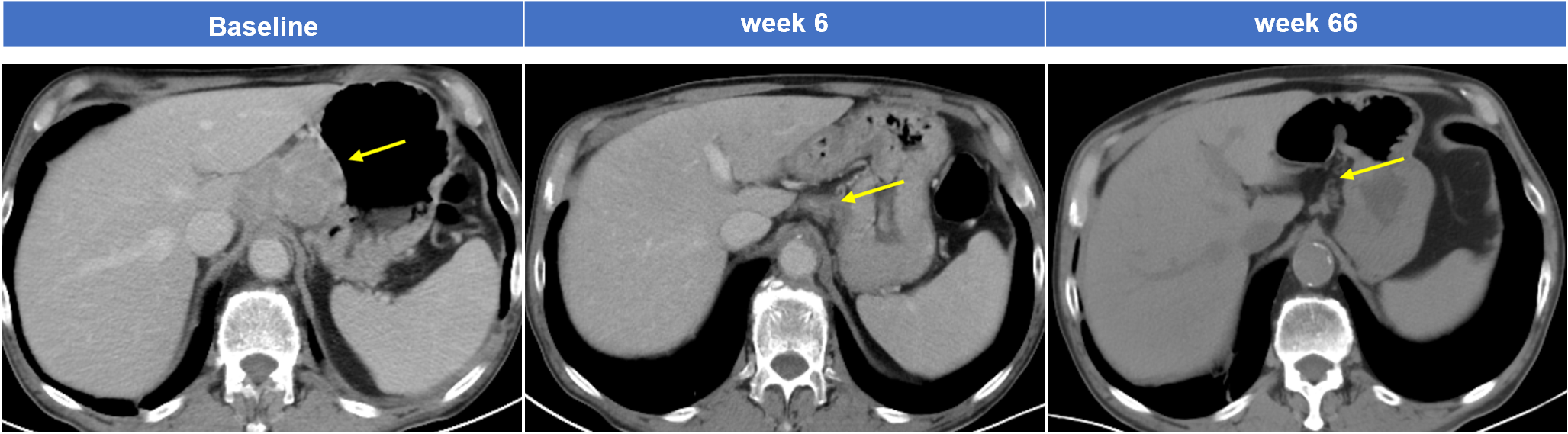
典型案例1

典型案例2
研究结论:LBL - 024 在 52 例可进行疗效评估的患者中,所有剂量水平的客观缓解率(ORR)为 75.0%,疾病控制率(DCR)为 92.3%。在剂量优化阶段,15mg/kg 组的客观缓解率高于 6mg/kg 组。治疗反应显著且持久。4 例小细胞神经内分泌癌(EP - NEC)患者接受治疗已超过 48 周,57.7%(30/52)的疗效可评估患者肿瘤缩小超过 50%。这些有前景的疗效结果,加上良好的安全性,支持开展一项关键的 III 期试验,比较 LBL - 024 联合依托泊苷 / 卡铂(EP/EC)与安慰剂联合 EP/EC 作为 EP - NEC 一线治疗的效果。正在进行LBL - 024 单药治疗≥三线 EP - NEC 的关键试验,以及 LBL - 024 联合标准治疗(SOC)用于小细胞肺癌(SCLC)、非小细胞肺癌(NSCLC)、卵巢癌(OC)等适应证的探索性研究。
本文是陆明版权所有,未经授权请勿转载。 本文仅供健康科普使用,不能做为诊断、治疗的依据,请谨慎参阅
发表于:2025-06-03