就诊指南
发表者:梁炳生 人已读
舟骨骨折的发生率高,占腕骨骨折的60%~70%,多发生在舟骨腰部,占舟骨骨折的70%,舟骨结节及舟骨近端骨折各占10%-15%。
因舟骨表面多为关节软骨所覆盖,血供较差,骨折后容易出血延迟愈合、不愈合或缺血性坏死。
一、解剖
1、舟骨是腕骨中唯一跨越远、近排腕骨的骨骼,在远、近排腕骨之间起到连接杆的作用,所以舟骨腰部在外伤时极易发生骨折。

解剖示意图
2、手舟骨的血供分布情况:
血供主要来自于桡动脉,分为背侧组和掌侧组。
(1)背侧组:主要来自桡动脉舟骨背侧支,多在桡腕背侧韧带附着处、背侧嵴远侧2/3入骨,逆向供应舟骨近侧的70~80%血供。

血供背侧组供近端
(2)掌侧组:多数来自桡动脉舟骨掌侧支,在结节部的掌外侧进入,负责远侧20~30%的血供。

血供掌侧组供远端
3、舟骨的血供主要从腰部和结节部进入,血流方向是从远而近地分布,腰部骨折可使近端骨血流中断。舟骨周围大部分为软骨面,无骨膜覆盖,骨折后需要靠内生骨痂才能连接,骨折后损伤营养血管,近侧断端由于缺血易发生无菌性坏死。

近侧断端由于缺血易发生无菌性坏死。
二,骨折分型
主要根据骨折的位置、骨折线的方向及稳定性分型。最常用的分型方法是Russe分型、Herbert分型及AO分型。
1、按骨折部位分类
1)手舟骨结节骨折
2)手舟骨远 1/3 骨折
3)手舟骨腰部骨折
4)手舟骨近 1/3 骨折

骨折部位分型
2、Herbert分型
A型:稳定型骨折
A1手舟骨结节骨折
A2 腰部骨折无移位。

A型稳定型
B型:不稳定型骨折
B1 手舟骨远端斜行骨折
B2 手舟骨腰部骨折有移位
B3 手舟骨近端骨折
B4 手舟骨骨折伴有腕骨脱位(经手舟骨月骨周围脱位)

B型不稳定型
C型:延迟愈合 伤后(4-6个月没有愈合)

C型延迟愈合型
D型:明确的骨不连 (伤后6个月没有愈合)
D1 纤维连接型骨折
D2 假关节形成型骨折

D型假关节型
3、AO分型
AO分型将舟骨骨折分为A、B、C三个亚型。
A型-结节撕脱型骨折:
B型-腰部骨折:
C型-多块骨折或粉碎性骨折:

AO分型
三、诊断
1、外伤史,多因坠落或跌倒手掌着地所致。
2、伤后腕桡侧肿胀疼痛。鼻咽窝凹陷变浅或消失,局部压痛明显,拇指外展位纵向挤压拇指时疼痛加剧。腕关节活动受限,第1、2掌骨头纵向叩击痛阳性。
3、X片检查
❶拍摄标准腕关节正侧位片和舟骨位X线片(腕尺偏30°正位);
❷舟骨轴位(腕关节背伸尺偏位)
作用:充分展现舟骨轴长,避免腕骨重叠,便于观察骨折线及移位情况。此体位与腕关节尺偏位相关,是舟骨检查的关键体位之一。
拍摄方法:腕关节背伸并尺偏。
4、CT
CT对于高度怀疑舟骨骨折而X线片不明显的可选择。
5、MR检查
MRI诊断舟骨骨折的敏感性为100%、特异性为92%,可了解近端骨折块血供情况以及是否伴有韧带损伤。
四、治疗
Herbert曾报道,采用非手术治疗的舟骨骨折愈合率为63%,非稳定的舟骨骨折非手术治疗后发生骨不连发生率高达46%~55%,非稳定的舟骨骨折手术治疗的愈合率则为 85%。
1、非手术治疗方式
无移位,稳定性舟骨骨折 Herbert A型为稳定型骨折,非手术治疗行管型石膏固定为首选治疗方案。非手术治疗方案主要为长臂管型石膏托固定6周,之后改短臂管型石膏再固定6周。
2、有移位不稳定性舟骨骨折经皮内固定
对于移位的不稳定性舟骨骨折,如果在前后位或斜位x线片上骨折块错位超过1mm,手法复位+经皮空心螺钉或穿针固定并应用长臂拇指人字形石膏固定。
3、Herbert B型舟骨骨折切开复位内固定术作为首选的治疗方案。
❶B1、B2、B4 型适用于掌侧入路。
❷B3 型(近端骨折)适用于背侧入路。
❸Herbert C型、D型骨折需行切开植骨内固定术,植骨材料可选择自体髂骨及桡骨远端。
背侧带蒂植骨治疗对于复位良好的近端骨折有明显作用。 目前认为植骨比改善血供更为重要,其主要作用是置人的骨块能提供骨折愈合所需的结构稳定。
五、经皮内固定
1、掌侧经皮舟骨骨折内固定术
1)臂丛麻醉,仰卧位,前臂外展。
2)腕关节背侧垫无菌绷带卷,手腕处于背伸状态。

标记腕舟骨结节
3)于体表触摸腕舟骨结节,并用克氏针标记进针方向:透视调整,用记号笔标记。

克针标记进针方向
4)腕舟骨结节做小切口,分离周围软组织,自远端向近端,分别向背侧、尺侧各倾斜45°打入导针。

向腕尺侧45°进针

向腕背侧45°进针
5)透视正侧位,调整导针位置,透视下见导针位置良好后用空心钻沿着导针钻孔,拧入螺钉,加压包扎伤口。

拧入空心螺钉
2、背侧经皮手舟骨骨折内固定术
1)臂丛麻醉 ,于体表鼻烟窝处触摸舟骨,并用克氏针标记进针方向,透视后调整。
2)鼻烟窝处做小切口,自远端向近端,向尺骨茎突方向打人导针,
3)透视正侧位,调整导针位置,透视下见导针位置良好后,用空心钻沿着导针钻孔,拧入螺钉,加压包扎伤口或者缝合一针。

拧入空心钉

空心钉加压

缝合一针
六、切开复位内固定
1、腕舟骨掌侧切开复位内固定术
掌侧入路是舟骨骨折手术治疗的经典入路,多用于舟骨远端1/3和舟骨腰部骨折,暴露充分,不破坏背侧血供。
1)前臂旋后,以舟骨结节为中心做切口,切口近侧沿桡侧屈腕肌腱桡侧缘延伸2cm(其尺侧有正中神经掌皮支),向远端延长至掌横纹,然后稍转向桡侧,朝向舟大多角和大多角掌骨关节(第一掌骨基底桡侧)(切口中部相当于桡骨茎突),在大多角骨表面沿肌纤维方向切开鱼际肌起点。
注意切口呈“Z”子形,避免腕掌侧形成索条状疤痕。

切口避免直线
2)保护感觉神经,结扎桡动脉掌浅支。切开桡侧腕屈肌腱鞘,将肌腱牵向尺侧并切开腱鞘的深面。在大多角骨表面沿肌纤维方向切开鱼际肌起点,显露舟大多角关节。
3)从远侧的舟骨结节部至近侧的桡骨茎突尖纵行切开关节囊。在切口的近端关节囊增厚(舟月韧带)好像桡腕关节的关节唇,将其切开,更好地暴露舟骨近极。进而显露舟骨整个掌侧面。
4)找到舟大多角关节,插入剥离子,显露舟骨远极,在舟骨远极关节囊切口的远端横向切开关节囊。(舟骨腰部位于桡侧腕屈肌腱和近侧腕横纹的交叉处)。
5)右利手术者坐在病人头侧(右腕舟骨骨折),
腕轻度桡偏并将舟骨置于垂直位,从舟骨结节部尖端尺侧缘插入克针,沿舟骨长轴将克针指向偏背侧方向打入舟骨。要确保导针位于近极和远极的中心。自舟骨远端Herbert钉固定。
6)植骨,修复舟月韧带,由近及远褥式缝合关节囊及舟大多角关节囊。
2、腕舟骨背侧入路切开复位内固定术
1)适用于舟骨近侧1/3骨折
2)鼻烟窝 S 切口,长约4~5cm,保护桡神经浅支及桡A腕背支,分别牵开拇长伸肌腱与拇短伸肌腱,切开关节囊,腕尺偏显露舟骨骨折部。
3)从舟骨结节部尖端尺侧缘插入克针,腕轻度桡偏并将舟骨置于垂直位,沿舟骨长轴,将克针指向偏背侧方向打入舟骨。

鼻烟窝S切口
3、腕舟骨背侧逆行法入路切开复位内固定术
1)以Lister结节为中心做3~4cm直切口,游离拇长伸、桡侧腕长短伸牵向桡侧,纵行切开舟月关节浅面的腕关节囊,显露骨折,1.0克针临时固定。
2)完全屈曲腕关节,充分显露舟骨近极,自近极尖端,沿舟骨中轴(向掌侧和桡侧方向,与外展拇指的方向一致)钻孔,置入Herbert钉,埋入关节软骨下。(注意:螺丝钉指向舟骨掌桡侧结节部)
3)适用于舟骨近侧1/3骨折,屈腕切开关节囊,看到舟骨近极和舟月联合。螺丝钉入点尽可能靠近舟月韧带,稍偏于拇指列掌侧。

逆行法入路空心钉自近端打入
4)不打石膏,6周复查。
七,术后康复锻炼:
1、固定期(0-6周)以制动为主,辅以手指被动活动预防僵硬。
2、功能恢复期(6-12周):逐步进行腕关节屈伸、桡尺偏训练,结合物理治疗改善活动度。
3、强化期(12周后):针对职业需求(如运动员)设计力量训练,避免过早负重。
4、工作期(半年后):开始逐渐恢复原工作。
八,腕舟骨骨折内固定术后常见并发症
1,腕关节活动受限 少数患者长期石膏固定后腕关节活动受限,经积极康复锻炼后一般能恢复。
2、瘢痕挛缩 腕舟骨骨折切开复位后少数患者可能出现瘢痕挛缩。部分患者掌侧皮神经或桡神经背侧感觉支受到损伤,术后出现神经瘤等并发症。术者在具体操作时应小心谨慎,避免损伤。
3.腕舟骨骨折延迟愈合、不愈合
移位舟骨骨折骨不连率92%,缺血性坏死率30~40%,常见于近端1/3骨折。
腕舟骨骨折内固定术后可能出现延迟愈合,若出现延迟愈合,可以增加外固定的时间,定期复查。
若出现骨折不愈合,可以植骨、带血管骨瓣移植修复术。
4.腕舟骨坏死
❶近侧骨折块切除术(骨折块小于舟骨1/4,硬化,粉碎,移位。同时桡骨茎突切除)。
❷ 近侧列腕骨切除术。
❸ 部分或全部腕关节融合术。
5、舟骨不愈合塌陷分期 (SLAC腕)
SLAC腕 是指舟月骨晚期塌陷,是腕部关节炎的最常见形式。
❶舟骨骨折不愈合不可避免发生退行性关节炎,可能需数年时间。
❷X片表现:桡舟间隙变窄,头月间隙变窄,囊性变,明显的背侧嵌入节段的不稳定。
❸ 典型的退变变化有特定的顺序,这是由于舟骨、月骨、桡骨关节面的排列顺序问题引起的。最初累及桡舟关节,然后跨过桡月关节累及头月关节。

舟骨骨折不愈合进行性塌陷分期: 1期:桡骨茎突关节炎; 2期:舟状窝关节炎; 3期:头月关节炎; 4期:广泛腕关节炎;
❹ 舟骨骨折不愈合伴有关节炎术式选择:
1)桡骨茎突切除;
2)近侧骨折块切除;远侧骨折块和罕见的整个舟骨切除术;
3)近侧列腕骨切除术;
4)传统的植骨术;
5)带血管的骨移植;
6)部分或全部腕关节融合术。
7)Preiser病(舟骨骨坏死)表现为腕部疼痛。X片、MRI 和 CT 可以确定舟骨的血供及舟骨破坏的程度。
可采用血管成形术来保护舟骨的结构(治疗方法同月骨缺血性坏死)。
如果发生严重的舟骨塌陷或者桡腕关节炎,可以采取“舟骨切除并头月三角钩骨融合术(四角融合)”。
或者近侧列腕骨切除手术。
九、临床病例
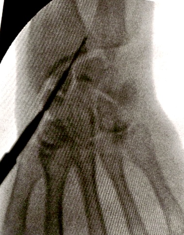
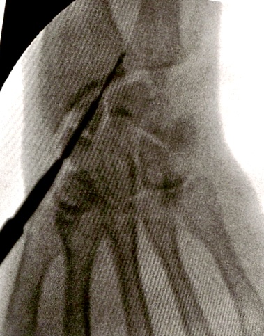
xx 男 36岁 腕舟骨骨折 掌侧切开复位内固定术 。

术前X片显示舟骨腰部骨折

术前X片显示舟骨腰部骨折,AO分型B2型。

掌侧入路

Herbert钉固定

Herbert钉固定
2025.7.1于太原
联系方式:
山西医科大学第二医院骨显微手外科
病区地点与电话:
山大二院住院部3号楼7层.0351-3365107
❶门诊预约挂号:“健康山西网”预约挂号
门诊预约加号:“好大夫网”
山大二院专家门诊:山大二院骨科门诊1017诊室
门诊时间:周二上午(梁炳生主任医师)
特需专家门诊:山大二院体检中心2楼
门诊时间:周一下午
山大二院南院区专家门诊:南院骨科门诊
门诊时间:周一上午
❷山西老年康复医院门诊预约挂号:现场预约
门诊预约加号:“好大夫网”
山西老年康复医院专家门诊地点:一楼骨科门诊
门诊时间:周五上午
文章部分内容引用于“坎贝尔骨科手术学”“格林手外科学”“津下手外科学”“手外科全书”与网络,如果侵权请联系删除。
本文是梁炳生版权所有,未经授权请勿转载。 本文仅供健康科普使用,不能做为诊断、治疗的依据,请谨慎参阅
发表于:2025-07-02