正畸科普
发表者:张栋梁 人已读
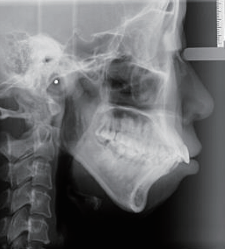
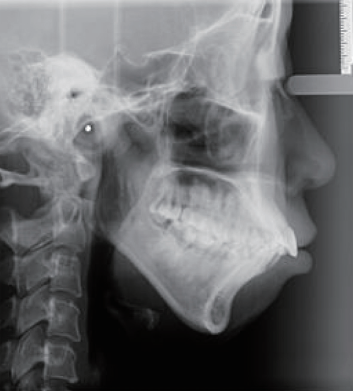
在临床矫正中,发现一个显著的现象:下巴后缩的病例比例明显上升,而且越来越呈现年轻化趋势。
越来越多人关注的不仅是牙齿排列,更多是面部整体美观与协调,今天我们就来谈一谈,为什么越来越多人出现下巴后缩,以及牙齿矫正如何科学有效地改善这个问题。
首先判断自己或者家人是否有下巴后缩?
可以对镜自测,伸出一根手指放在鼻尖和下巴上(下巴和鼻尖连成一线),通过鼻尖点及颏部最凸点的切线构成,用于评价上下唇的突度,和下巴后缩的情况。

或者轻轻闭上嘴唇,观察是否需要用力才能让嘴唇闭合。如果需要明显用力,或者自然状态下双唇无法闭合,这提示下颌发育不足。
为什么越来越多人下巴后缩?
下巴后缩并不全是遗传因素问题,现代生活方式、牙齿咬合和习惯的改变,也是导致下巴后缩日益普遍的原因。
1、遗传因素
如果父母一方或双方存在下颌骨短小、体部长度不足或者升支高度较短的情况,这种“小下颌”的骨性特征就很容易遗传给下一代。这是导致下巴后缩最直接的遗传形式。
有时问题不一定完全出在下巴本身。如果遗传了相对前突或过大的上颌骨,即使下颌骨大小正常,在对比之下也会显得下巴后缩,形成“II类面型”。
2、牙齿咬合
如深覆合、牙齿排列不整齐、牙弓狭窄、下前牙唇倾凸出等,也可能会影响下颌骨的位置和形态,进而影响下巴的大小和位置,导致下巴后缩,看起来下巴变短。
其实对下颌骨的生长,还有一个控制性因素就是后牙的咬合平面,当咬合平面是水平正常的时候,咬合关系就会引导下颌前移,如果说这个咬合平面是倾斜向下的,那么咬合关系就会导致下颌后退。

3、饮食精细化,颌骨缺乏锻炼
现代饮食中软性、精加工食物占比高,导致咀嚼频率大幅下降。颌骨缺乏足够的功能性刺激,发育不足,进而影响下颌的正常前伸和宽度扩展。
4、口呼吸替代鼻呼吸
口呼吸(尤其是儿童和青少年)会导致舌体低位、上颚狭窄、下颌顺时针旋转、后缩,出现典型的“腺样体面容”。鼻炎高发也在加剧这一问题。
5、不良口腔习惯
儿童时期如吮指、咬唇、吐舌、异常吞咽等习惯,都会对颌骨和牙齿施加不正当的压力,长期可能抑制下颌向前发育。
6、早期矫治意识不足
以前很多家长认为学习最重要,牙齿并不重要,导致成年后才开始注重面型的变化。现在也有些家长认为换牙期不用干预,等牙齿换完再矫正也不迟。
其实生长发育期是促进下颌骨生长的黄金时机,一旦错过,骨性问题定型,矫正难度也会增加。
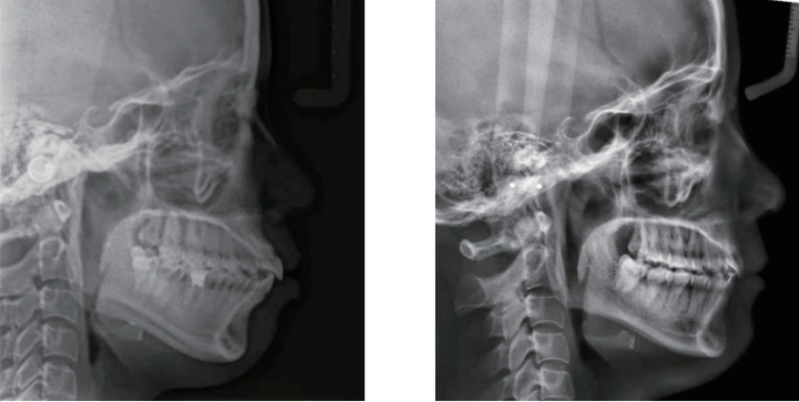
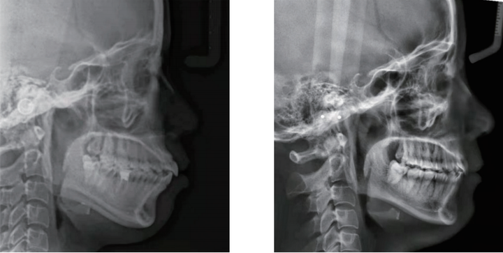
牙齿矫正如何改善下巴后缩?
1、针对儿童及青少年早期矫正
矫正重点:儿童早期矫正重在“引导”和“去除限制”,为下颌发育“拆墙松土”。利用孩子自身生长发育的潜力,引导颌骨向正常位置方向生长,协调上下颌骨关系。
矫正行动:如果评估确认存在下颌后缩且适合功能矫治,如果是高角下颌后缩,可以考虑Twin-block,头帽肌激动器,均角低角下颌后缩可以考虑斜导,还有无托槽隐形矫治、II类牵引、Grace个性化硅胶矫治器等。对于牙弓狭窄的情况,可以考虑扩弓装置,解除锁结关系,为下颌前伸提供空间。

矫正效果:这些矫治器通过改变口周肌肉的力量和下颌的位置,限制上颌的过度生长,从而达到协调上下颌骨关系、促进下颌发育的目的。在这个生长高峰期进行干预,孩子不用拔牙,且早期矫正效果事半功倍!





2、针对成人牙齿矫正
成人牙齿的位置和倾斜度,下颌骨垂直向生长情况,是否有好的颏部形态,很大程度上决定了嘴唇的突度和下巴的形态。
矫正重点:通过不同面型(高角、低角、均角),设计合适的矫正方案。另外要避免过度内收上前牙,如果一味追求直面型而拔牙过多、内收过多,可能导致 “瘪嘴”,加重下巴后缩视觉效果。
矫正行动:比如高角骨性下巴后缩,我们更多的希望是逆时针旋转,因此牙齿矫正过程中,我们要做好对上前牙的转矩控制,同时上牙不能过长,下前牙必须要足够的压低,并且是直立于基骨,这样可以下巴不会后退。
如果想要引导下巴往前伸,还需要控制好后部的颌平面角度,颌平面一定是平的,不能是倾斜的,如果颌平面越斜,会让下巴后缩。通过这三点来改变下颌骨的位置,从而可以改善下巴后缩的问题。

对于低角或者均角病例来讲,我们不希望逆旋,可能需要的是下颌要平移,所以这个时候加一个斜导的话,是可以允许后牙升高的。
矫正效果:成人不必焦虑年龄限制,明确主诉功能or美观,选择好正畸医生,制定合适的正畸方案。把咬合的一些因素去掉,把下巴行的情况,尽量引导出来,所以看起来下颌骨位置好了,有下巴了。





所以正畸医生做的就是这三点:上前牙的位置的控制,下前牙位置充分直立,还有颌平面的角度调整,通过这三点来改变下颌骨的位置,从而可以改善下巴后缩的问题。
本文是张栋梁版权所有,未经授权请勿转载。 本文仅供健康科普使用,不能做为诊断、治疗的依据,请谨慎参阅
发表于:2025-09-12