精选内容
-
腹腔镜下复杂肝肿瘤消融术:微创精准,守护肝脏健康
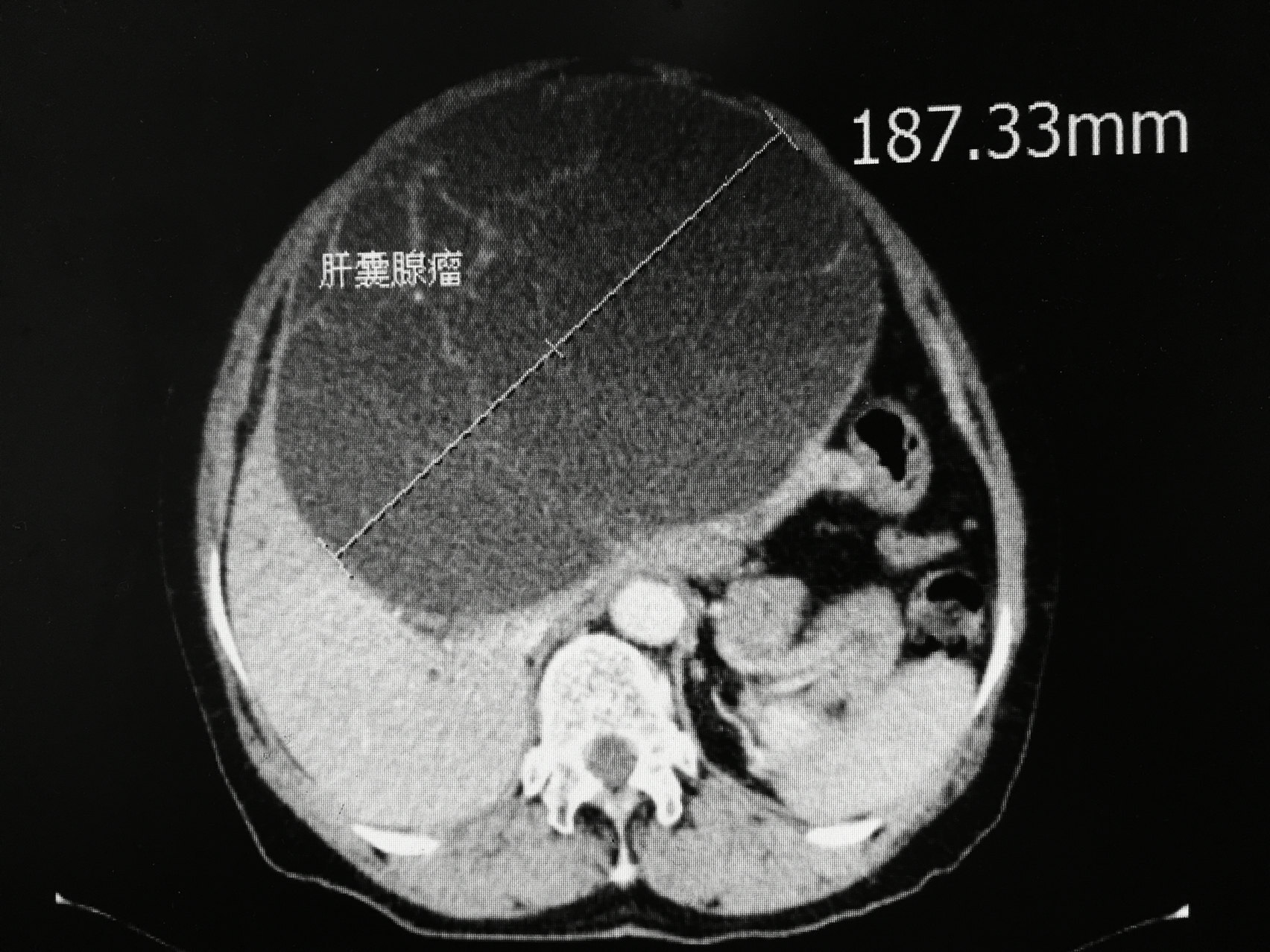
腹腔镜下复杂肝肿瘤消融术:微创精准,守护肝脏健康肝脏是人体重要的代谢器官,但肝肿瘤的发病率近年来呈上升趋势。对于早期或无法手术切除的肝肿瘤,腹腔镜下复杂肝肿瘤消融术成为一种安全有效的治疗选择。这项技术结合了腹腔镜微创与热消融技术,既能精准打击肿瘤,又能最大限度保护正常组织,让患者少受罪、快康复。一、什么是腹腔镜下肝肿瘤消融术?简单来说,这项技术通过几个小孔(约1厘米)将腹腔镜和消融针送入腹腔,在高清视野下直接定位肿瘤,利用微波或射频能量产生高温,使肿瘤细胞迅速凝固坏死,达到“烧死”肿瘤的目的。相比传统开腹手术,它无需大切口,术后疼痛轻、恢复快,住院时间也更短。二、腹腔镜辅助,为何能“事半功倍”?1.精准“锁定”肿瘤:腹腔镜自带高清摄像头和超声探头,能清晰显示肝脏全貌,甚至发现CT、磁共振都“漏掉”的微小病灶。医生可一次性处理多个肿瘤,降低复发风险。2.保护“邻居”器官:肝脏周围有肠道、胆囊、血管等重要结构。传统经皮消融可能因操作不当损伤这些器官,而腹腔镜直视下操作能精准避开,减少并发症(如出血、胆漏)。3.特殊位置肿瘤的“克星”:若肿瘤长在肝脏深处、靠近大血管或膈肌等复杂位置,腹腔镜可“深入敌后”进行消融,避免开腹手术的大创伤。三、哪些患者适合这种治疗?1.肿瘤较小且数量少:单个肿瘤≤5厘米,或不超过3个小肿瘤(最大≤3厘米)。2.位置特殊或高风险:如靠近胃肠道、胆囊、心脏等区域的肿瘤。3.肝功能欠佳或高龄患者:无法耐受传统手术,但仍有较好肝功能储备(ChildA/B级)。4.术后复发或转移患者:对复发性肝癌、其他癌症肝转移也有较好效果。四、术后恢复快,生活影响小多数患者术后当天即可下床活动,1-2天出院。由于创伤小,疼痛轻,患者无需长期卧床,术后1周内可逐步恢复正常生活。五、真实案例1、患者信息:李先生,68岁,乙肝肝硬化病史15年。MRI检查发现肝脏2枚直径约3cm肝癌,1其中1枚紧邻胆囊;肝功能Child-PughB级(白蛋白28g/L,胆红素35μmol/L);多学科会诊评估:传统手术风险高,肿瘤位置邻近胆囊。2、治疗选择:行腹腔镜下复杂肝肿瘤消融术。腹腔镜探查发现1枚肿瘤位于肝脏膈面,距离膈肌仅0.5cm;1枚位于胆囊床一侧。超声引导下精准穿刺,开胆囊床及大血管;消融热场覆盖完全,术中超声实时监测无残留。3、术后恢复:当日下床活动,24小时进食流质;第3天复查肝功能指标显著改善(白蛋白32g/L,胆红素28μmol/L);术后5天出院,无出血、胆漏等并发症。4、随访结果:术后1个月增强CT显示肿瘤完全坏死,无强化灶;3个月AFP降至正常水平,肝功能恢复至ChildA级;目前随访18个月,未见局部复发及新发病灶。5、典型意义:该病例充分体现腹腔镜消融术的四大优势。微创性:避免开腹,减少对肝功能储备的打击;精准性:直视下精准布针,保护邻近器官;高效性:单次消融彻底,缩短住院周期;安全性:肝功能不全患者获益明显,降低围术期风险。五、写在最后腹腔镜下肝肿瘤消融术为复杂肝肿瘤患者提供了新的治疗希望,但具体是否适用需由医生根据肿瘤大小、位置、肝功能等综合评估。若您或家人面临肝肿瘤困扰,建议尽早就诊专业中心,通过专业检查制定个性化方案。(注:除案例外其他图片均来源于网络)
李叶晟医生的科普号
2025年03月21日
211
1
0
-
肝脏的病灶为什么一定要做增强的影像检查才能判断?
肝脏病灶在影像检查中需要进行增强扫描,主要是因为增强扫描能够更准确地判断病灶的性质、范围以及血供情况,从而提高诊断的准确性和可靠性。以下是增强影像检查在肝脏病灶诊断中的重要性及优势:1.增强扫描的优势更清晰显示病灶细节:在普通平扫CT或MRI中,肝脏病灶的密度或信号与周围正常肝组织的差异可能较小,难以准确判断病灶的边界、大小和性质。而增强扫描通过注射造影剂,能够使病灶在不同时间点(如动脉期、门静脉期、延迟期)的强化特征更加明显,从而更清晰地显示病灶的细节。准确判断病灶性质:增强扫描可以观察到病灶的血供特点,这对于区分良性和恶性病变至关重要。例如,肝细胞癌常表现为“快进快出”(动脉期快速强化,门静脉期快速减退)的强化模式;而肝血管瘤则多表现为“慢进慢出”(动脉期缓慢强化,延迟期持续强化)。这些特征有助于医生更准确地判断病灶的性质。发现微小病灶:增强扫描能够提高对微小病灶的检出率,尤其是对于直径小于1cm的病灶,其检出率明显高于普通平扫。这对于早期发现和诊断肝脏病变具有重要意义。评估肝脏功能和血流灌注:增强MRI还可以进行功能成像,如肝脏灌注成像、磁共振波谱成像等,提供肝脏的血流灌注、代谢等信息,有助于更全面地评估肝脏的功能状态。2.增强CT与增强MRI的对比增强CT:优势:扫描速度快,适用于急诊患者或需要快速诊断的情况;空间分辨率高,能够清晰显示肝脏的解剖结构和病变细节。局限性:对微小病灶的检出率相对较低,可能漏诊一些小的病灶。增强MRI:优势:多参数成像,能够提供更多的信息,有助于更全面地了解肝脏病变的性质;软组织分辨率高,能够更清晰地显示肝脏的细微结构和病变;无辐射,适用于需要多次检查的患者。局限性:检查时间较长,对患者的配合要求较高。3.临床应用肝脏肿瘤的诊断和分期:增强CT和增强MRI在肝脏肿瘤的诊断和分期中都具有重要价值。增强CT可以通过观察肿瘤的血供情况来判断肿瘤的性质,而增强MRI则可以通过多参数成像和功能成像提供更全面的信息,有助于准确评估肿瘤的范围、侵犯程度和治疗效果。慢性肝脏疾病的诊断:对于慢性肝脏疾病,如肝硬化、肝炎等,增强MRI的软组织分辨率高和功能成像的优势更为突出,能够更好地显示肝脏的细微结构和病变。肝脏病灶的增强影像检查能够提供更全面、更准确的诊断信息,有助于早期发现和准确判断肝脏病变的性质,从而为临床治疗提供重要依据。增强CT和增强MRI各有优势,医生会根据患者的具体情况选择合适的检查方法。
易勇医生的科普号
2025年02月07日
180
0
0
-
197、肝脏粘液性囊性肿瘤(MCN-L)/囊腺瘤严重吗?如何治疗?
MCN-L是一种罕见但异质性明显的肝实质囊性肿瘤,占所有肝囊肿的比例不到5%。2019年,世界卫生组织(WHO)将胆道囊腺瘤重新归类为MCN-L,被定义为一种上皮性囊性肿瘤,由立方、柱状或产生黏液的上皮衬覆。MCN-L女性多发,且恶变风险高达10%。与其他良性病变相似,MCN-L通常无症状,在影像学检查中偶然发现,但较大的病变可引起占位效应,导致可触及的腹部肿块、腹部不适、早饱、恶心、消化不良、厌食或体重减轻。肿瘤标记物CA19-9及囊液抽吸活检对鉴别良恶性没有帮助。高达76%的MCN-L发生在左肝,尤其是IV段。在超声上,MCN-L通常表现为低回声病变,并伴有不规则的厚壁、分隔、壁结节、囊内碎片等。若超声发现复杂囊肿,应行CT或MRI横断面检查。一般来说,MRI是评估囊性病变的首选检查。在CT或MRI上,MCN-L通常是一个巨大的囊性多房性病变,常伴有不同厚度的分隔。分隔的存在和位置是鉴别MCN-L和单纯性肝囊肿的重要特征,分隔的多样性也是MCN-L的一个显著特征。MCN-L需要与胆管内乳头状粘液瘤(IPNB)、单纯性肝囊肿、囊性转移、胆管囊肿和肝脓肿等相鉴别。由于存在恶变风险,所有MCN-L均应进行完整切除,不推荐行囊肿抽吸硬化治疗、开窗、部分切除等。无法手术的患者则需密切随访。每个患者均有特殊性,具体病因、治疗指征和方式请咨询专科医生。欢迎收藏及转发给有需要的亲人朋友。
孙平医生的科普号
2024年12月29日
153
0
1
-
190、肝细胞腺瘤或肝腺瘤如何治疗?
指南建议如下:(1)肝腺瘤≥5cm的妇女应消除危险因素,观察6-12个月,如果病变未缩小到5cm以下,则行切除。(2)男性肝腺瘤患者因恶变风险增加,无论病变大小,均应考虑手术切除。(3)妊娠期间应定期监测肝腺瘤,若其生长大于6.5cm或有出血性破裂的高危特征,应及时治疗。(4)任何大小的肝腺瘤,若影像学提示恶变,应当行肝细胞癌(HCC)治疗,如手术切除、局部治疗、肝移植。(5)肝腺瘤患者建议停用口服避孕药或含激素的宫内节育器。(6)鼓励超重或肥胖肝腺瘤患者减肥。(7)对于肝腺瘤<5cm的女性,建议停用外源性激素,并建议超重或肥胖的人减肥。(8)对于肝腺瘤<5cm的女性患者,建议每6个月进行一次增强成像,持续2年,随后每年复查一次。(9)需要治疗的肝腺瘤患者如果无法进行手术切除,建议栓塞或消融。(10)如果肝腺瘤破裂,建议稳定血流动力学后,行栓塞和/或手术切除。每个患者均有特殊性,具体病因、治疗指征和方式请咨询专科医生。欢迎收藏及转发给有需要的亲人朋友。
孙平医生的科普号
2024年12月10日
198
0
1
-
189、肝细胞腺瘤或肝腺瘤是什么病?如何确诊?
肝细胞腺瘤(HCA)是肝脏的一种良性肿瘤,发生率约0.007%–0.012%,通常无症状。其发病的危险因素包括女性服用口服避孕药(OCP)、使用合成类固醇激素、肥胖、糖原贮积病和多囊卵巢综合征。肝腺瘤通常是良性的,但有出血(高达15%)和/或恶变(高达5%)的风险。指南建议使用多期增强检查(优选磁共振)来区分肝腺瘤与其他肝脏良恶性病变。如果影像学表现不典型或出现恶性转化的改变时,应进行组织活检。每个患者均有特殊性,具体病因、治疗指征和方式请咨询专科医生。欢迎收藏及转发给有需要的亲人朋友。
武汉协和医院肝胆外科科普号
2024年12月08日
225
0
1
-
医生好,腹部彩超提示肝内高回声团块,下一步需要查什么?
张引强医生的科普号
2024年11月06日
26
0
0
-
肝FNH会长大吗?#肝 #肝结节
孟泽武医生的科普号
2024年10月29日
47
0
0
-
胎儿肝肿瘤
胎儿肝肿瘤极其罕见。胎儿肝肿瘤有肝血管瘤、肝母细胞瘤、肝腺瘤、错构瘤、肝转移性肿瘤等,其中以肝血管瘤(60.3%)、间叶性错构瘤(23.2%)、肝母细胞瘤(16.5%)这三大类最常见。胎儿肝肿瘤的共同声像特点:肝实质内出现囊性、实性或混合性回声肿块,肿块边界一般清楚,边缘规则整齐,囊肿内部无回声,实质性肿块多为强回声,肿瘤有出血、坏死、钙化时,出现相应的超声图像特征。较大的胎儿肝血管瘤及肝母细胞瘤可导致肝增大,多为混合性回声肿块。较大的胎儿肝血管瘤可出现广泛的动静脉瘘而导致胎儿高心排血量性心力衰竭,进一步发展可导致胎儿水肿,但这种情况相当罕见。诊断先天性肝囊肿时,应注意与胎儿胆囊、胎儿肝内段脐静脉曲张等相鉴别。继发于胎儿水肿、呼吸窘迫、心力衰竭,会发生羊水过多。胎儿肝肿瘤的预后,取决于其组织类型。如肝局灶性的血管瘤预后好,部分还会发生自发性消退;肝间叶性错构瘤预后好,可以通过手术治愈;肝母细胞瘤预后差,存活率只有25%。肝肿瘤较大伴胎儿水肿、心力衰竭、严重贫血、血小板减少症、肿瘤破裂后出血预后不良。 根据《胎儿畸形产前超声诊断学》内容编辑
窦肇华医生的科普号
2024年10月24日
101
0
0
-
肝脏环形强化病变的影像诊断
肝脏环形强化是指肝脏占位病变做CT或MR增强扫描,动脉期时病变外周相对中央部位呈明显强化表现。环形强化是部分肝脏病变特征性的表现,在影像报告描述中并不少见。其病理基础与病变边缘肿瘤细胞代谢活跃、炎性肉芽组织、代偿性异常灌注等因素致血供增加有关。中央区低密度(信号)与囊变、坏死、出血、脂肪浸润、纤维化、钙化有关。环形强化病变有很多,既有良性又有恶性病变,大致分为血管性、炎性及肿瘤病变。环形强化病变大体诊断思路是:观察环壁的均匀性、完整性、是否有壁结节及其他辅助征象。下面仅就三种最常见的环形强化病变的典型表现做简单介绍。这三种病变是遇到环形强化时首先考虑要排除的。①肝脓肿:环壁厚度均匀、完整、光滑,门脉期及延迟期病灶范围逐渐缩小等。②转移瘤:环壁不规则、中断,或见强化的壁结节等。③胆管癌:环形强化呈向心性充填、邻近肝包膜收缩、胆管扩张等。三种病变均出现弥散受限改变,MR上DWl序列出现高信号,信号强度脓肿>转移瘤>胆管癌。环形强化还可见于原发肝癌、肝转移瘤介入治疗(栓塞、消融)术后复查影像。术后炎症(充血、水肿)、间质纤维化,早期(一个月内)可出现线状环形强化,属正常反应,特点是环壁薄(小于5mm)、光滑连续、无结节。此表现可持续存在3-6个月。反之环壁不均匀增厚、出现强化结节及邻近异常灌注,需排除肿瘤残留及复发可能。不同病变的影像征象包括环形强化经常有相互重叠的情况,当遇到不典型环形强化及少见病变时,对影像科医师是不小的挑战,临床病史包括炎性指标、肿标等有重要的参考价值,有些病例不得不依赖穿刺活检才能定性。
任安医生的科普号
2024年09月15日
1184
0
5
-
1例(男/66岁)原发肝脏肿瘤-TOMO放疗
1例(男/66岁)原发肝脏肿瘤-TOMO放疗中国卫健委肝癌诊疗规范和CSCO指南解读-放疗部分--20241例(男/50岁)原发肝癌广发转移(肝内,腹膜后及骨等)以局部治疗为先导的综合治疗-TOMO治疗蒋某某(CG),男,66岁(出生时间:1958-9-14)
武汉市第六医院科普号
2024年09月11日
128
0
1
肝肿瘤相关科普号

刘宇斌医生的科普号
刘宇斌 主任医师
广东省人民医院
肝胆外科
422粉丝3.4万阅读

王英超医生的科普号
王英超 主任医师
吉林大学第一医院
肝胆胰外科
1312粉丝25.3万阅读

朱小东医生的科普号
朱小东 副主任医师
复旦大学附属中山医院
肝胆肿瘤与肝移植外科
2173粉丝16.5万阅读
-
推荐热度5.0张友磊 主任医师海军军医大学第三附属医院 肝胆外科肝癌 423票
胆结石 171票
肝肿瘤 45票
擅长:精通各种类型肝、胆、胰、脾疾病的开腹手术和机器人、腹腔镜微创治疗。国内最早和德国、瑞士合作开展肝切除的3D虚拟手术规划、术中实时导航和手术风险控制技术。手术精准娴熟,成功率极高,并发症极少。精通肿瘤靶向和免疫治疗,钇90选择性内放射治疗,抗转移复发治疗。在长期实践中形成了完备的系统化诊治体系,并积累了丰富的个体化治疗经验。 具体擅长诊治病种如下: (1)肝脏良恶性肿瘤,如原发性肝癌、转移性肝癌、肝内胆管癌,肝血管瘤、FNH等 (2)胆管癌、胆囊癌,壶腹癌,肝内外胆管结石,胆囊结石,胆囊息肉,胆囊炎 (3)胰腺肿瘤,如胰头癌,钩突癌,胰腺囊肿,胰体尾肿瘤 (4)脾脏占位,脾脏肿瘤,脾亢 (5)门脉高压症,上消化道出血,脾亢,食管胃底静脉曲张 (6)十二指肠乳头癌,实性假乳头状瘤等 -
推荐热度4.9易勇 副主任医师复旦大学附属中山医院 肝胆肿瘤与肝移植外科肝癌 117票
肝肿瘤 51票
肝血管瘤 28票
擅长:微创外科治疗肝肿瘤(包括原发性肝癌、转移性肝癌、肝血管瘤及其他良恶性肝脏肿瘤)肝囊肿、肝腺瘤、肝局灶结节性增生,开腹手术治疗肝脏肿瘤。 -
推荐热度4.7高杰 主任医师北京大学人民医院 肝胆外科肝癌 263票
胆结石 201票
胆管癌 75票
擅长:1.肝癌手术及综合治疗;肝脏肿瘤、胰腺肿瘤、胆囊疾病及黄疸的诊治。 2.肝移植治疗肝癌、肝硬化、肝功能衰竭等终末期肝病。 3.胆囊癌、胆管癌、胰腺癌的手术及综合治疗。 4.脾淋巴瘤的外科治疗。