精选内容
-
当椎动脉“路口”堵车:一场无需“金属支架”的精准修复术
在我们身体里,有四条为大脑供血的“生命高速公路”。其中两条椎动脉,如同穿过颈椎隧道的神秘小路,默默滋养着掌管平衡、呼吸和心跳的“生命中枢”——脑干。这条“小路”的起点(医学上称为“开口”),却是最常出故障的“事故高发区”。椎动脉开口狭窄就像路口变窄,血流锐减,会导致头晕、眼花、行走不稳,一旦完全堵死,便是致命的后循环脑卒中(中风)!以往,解决这个问题的主流方法是在狭窄处放置一个金属支架。它像一根微型的弹簧网,撑开血管,恢复血流。效果虽好,但代价是:·永久植入:金属支架将终身留在体内,身体可能视其为“异物”,刺激血管内膜过度增生,导致“桥下再生杂草”,造成再狭窄。·长期服药:为防止血液在金属网上凝固,患者需长期甚至终身服用两种抗血小板药物(双抗),这不仅带来经济负担,更伴随着长期的出血风险。如今,一项革新性技术为患者提供了更优的选择——椎动脉药物球囊。它实现了“修复而不植入”的精准医疗理念。它的工作方式堪称“智慧艺术”:1.预备道路:医生先用普通球囊对狭窄部位进行初步扩张,为后续操作做好准备。2.精准给药:换上药物球囊。其表面覆盖着一层能抑制细胞增生的特效药物。3.“药膜”拓印:球囊在病变处精准充盈,紧贴血管壁,像一枚“邮票”一样,在60-90秒内将药物均匀地释放并渗透至血管内膜中。4.全身而退:最关键的一步!完成给药后,球囊放气,整个系统被完全撤出体外,血管内不留任何金属异物。1.无植入,降低长期风险·体内无残留:没有金属支架的永久留存,从根本上避免了由异物刺激引发的慢性炎症和再狭窄问题,为血管保留了自然的生理结构和未来的治疗空间。2.药物精准靶向,持久抑窄·直达病灶:药物被直接输送至病变处,并在局部形成高浓度储备,持续抑制内膜过度增生,如同在“杂草”根部喷洒了长效除草剂,显著降低再狭窄发生率,保障长期通畅。3.大幅缩短双抗疗程,提升生活品质·这是革命性的进步!由于没有金属支架残留,形成血栓的根基不复存在。因此,患者术后仅需短期(通常1-3个月)的双抗治疗,之后大多可转为单一药物抗凝。这极大地减少了长期服药带来的出血风险和经济负担,显著提高了患者的生活安全性和质量。如果说传统支架是在血管里搭建一座永久的“金属桥”,那么椎动脉药物球囊技术则像是一次高效的“纳米级精准养护”。它完成了最关键的治疗步骤——输送药物、抑制增生,而后功成身退,实现了“治本”且“减负”的双重目标。对于椎动脉开口这类再狭窄高发的病变,药物球囊技术代表了一种更现代、更人性化的治疗方向。当然,最终治疗方案还需由您的血管专科医生,根据您的具体“路况”来量身定制。
江泓医生的科普号
2025年09月20日
80
0
2
-
椎动脉狭窄术后,给东北病人的生活指导,高油高盐饮食不可取。
冯睿-血管外科国之名医
2025年06月20日
38
0
3
-
赵医生椎动脉细小需不需要治疗
赵桂宪医生的科普号
2025年04月20日
50
0
2
-
椎动脉开口药物支架:让血管“畅通无阻”的小能手
椎动脉狭窄可不是小事!它就像一条被堵住的高速公路,血液流不过去,脑干、小脑这些“重要城市”就会闹“饥荒”,结果就是——脑梗!脑梗不仅让人手脚不听使唤,还可能危及生命。所以,解决椎动脉狭窄,就是在给大脑“保命”!药物支架可不是普通的支架,它是“武装到牙齿”的高科技产品!表面涂了一层抗增殖药物(比如紫杉醇或雷帕霉素),就像给支架穿了一件“防弹衣”,能阻止血管内膜过度增生。比起传统的裸金属支架,药物支架在防止血管再次狭窄方面,简直就是“王者级选手”!药物支架可不是随便用的,它是有“使命”的!再狭窄?不存在的! 药物支架能让血管内膜“冷静下来”,大大降低再狭窄的风险。血流畅通无阻:支架一放,狭窄的血管瞬间“豁然开朗”,血流恢复,脑梗风险直线下降!告别卒中复发:药物支架不仅能撑开血管,还能稳定斑块,让卒中复发的概率大大降低。药物支架的安全性可是经过“千锤百炼”的!微创手术,轻松搞定:手术创伤小,恢复快,术后并发症少,患者不用太担心。药物释放,精准打击:药物只在支架周围缓慢释放,不会“伤及无辜”,全身副作用几乎为零。长期效果,值得信赖:研究显示,药物支架长期使用也不会增加严重风险,妥妥的“安全担当”!药物支架最牛的地方就是——再狭窄率超低!内膜增生?NO! 药物涂层能让血管内膜“安分守己”,不再乱增生。长期通畅,稳稳的:研究证明,药物支架植入1年后,再狭窄率比传统支架低得多。量身定制,效果更佳:医生会根据患者的具体情况选择最合适的支架,治疗效果更上一层楼!手术成功只是第一步,术后管理才是关键!吃药不能停:术后要长期服用抗血小板药物(如阿司匹林和氯吡格雷)和他汀类药物,防止血栓和斑块捣乱。定期复查,心中有数:术后1个月、6个月和1年要做影像学检查(如CTA或DSA),看看支架是不是依然“坚挺”。健康生活,从点滴做起:戒烟限酒、控制血压血糖血脂,健康的生活方式能让支架“延年益寿”!总结椎动脉开口药物支架,不仅是血管的“疏通工”,更是脑梗的“防火墙”!它凭借低再狭窄率和高安全性,成为治疗椎动脉狭窄的“明星选手”。如果你或身边的人有类似问题,别犹豫,赶紧找医生聊聊,让药物支架为你的健康保驾护航!🚀💪
上海瑞金医院神经外科科普号
2025年02月11日
199
0
1
-
椎动脉闭塞3个月,介入开通
毛立武医生的科普号
2025年01月04日
47
0
3
-
搭桥手术
治疗前患者男性,41岁,既往高血压、高脂血症病史,有吸烟及饮酒史。患者2月前出现枕叶和小脑梗塞,1月前在当地行DSA发现左侧椎动脉V1-V2(至C5水平)闭塞,枕动脉肌支自V3供血,并向近心端返流至C5水平,呈震荡血流,考虑梗塞是由于震荡血流造成椎动脉内斑块脱落引起,患者存在罕见的椎动脉残腔综合征(VertebralArteryStumpSyndrome,VASS),这是后循环缺血性卒中的少见原因。治疗中治疗方案:因椎动脉起始端闭塞过长,故设计手术方案为颈外动脉-桡动脉-椎动脉搭桥(ECA-RA-VAbypass),术中行脑氧、TCD和电生理监护等多模态监护。该患者情况因为既往放置主动脉内覆膜支架无法行介入微创治疗。治疗后治疗后1年术后脑灌注CT对比术前改善,术后患者诉视物光线较术前明亮清晰,术后一年复查搭桥血管通畅良好。
郭毅医生的科普号
2024年12月01日
173
0
0
-
椎动脉狭窄中医经典验方有哪些?
对于椎动脉盗血综合征,中医常需根据具体的辨证分型来选用方剂。 一、气血不足型可选用归脾汤加减。方中有人参、白术、黄芪、炙甘草等健脾益气,龙眼肉、酸枣仁、茯神等养血安神,当归补血活血。可改善因气血不足导致的眩晕、乏力等症状。 二、肝肾阴虚型左归丸加减较为合适。熟地、山药、枸杞、山茱萸等滋补肝肾;菟丝子、鹿角胶、龟板胶等益精填髓。对肝肾阴虚引起的头晕目眩、耳鸣等有一定疗效。 三、痰浊中阻型半夏白术天麻汤可用。半夏、白术、天麻燥湿化痰、平肝息风;茯苓、橘红健脾理气化痰;甘草、生姜、大枣调和脾胃。可缓解因痰浊中阻所致的眩晕、头重如裹等症状。 需要注意的是,中医治疗需在专业中医师的辨证指导下进行,且往往需要结合现代医学的检查和治疗方法综合治疗椎动脉盗血综合征,不能单纯依靠中药验方。同时,患者应保持良好的生活习惯,如低盐低脂饮食、适度运动、避免过度劳累等。
您的神外健康领航者郏县齐学锋
2024年09月24日
62
0
1
-
助力可降解支架在神经介入的应用
天坛医院神经外科刘爱华主任,于05-08当选为中国医药生物技术协会医工结合分会副主任委员并主题发言。对头颈部可降解金属血管支架的研发与临床转化进行报告,同时介绍了刘主任团队正在开展的降解金属血管支架治疗椎动脉狭窄的临床研究。期待与更多医工结合科研人员合作,推动神经介入可吸收支架时代的到来!!
刘爱华医生的科普号
2024年06月06日
85
0
1
-
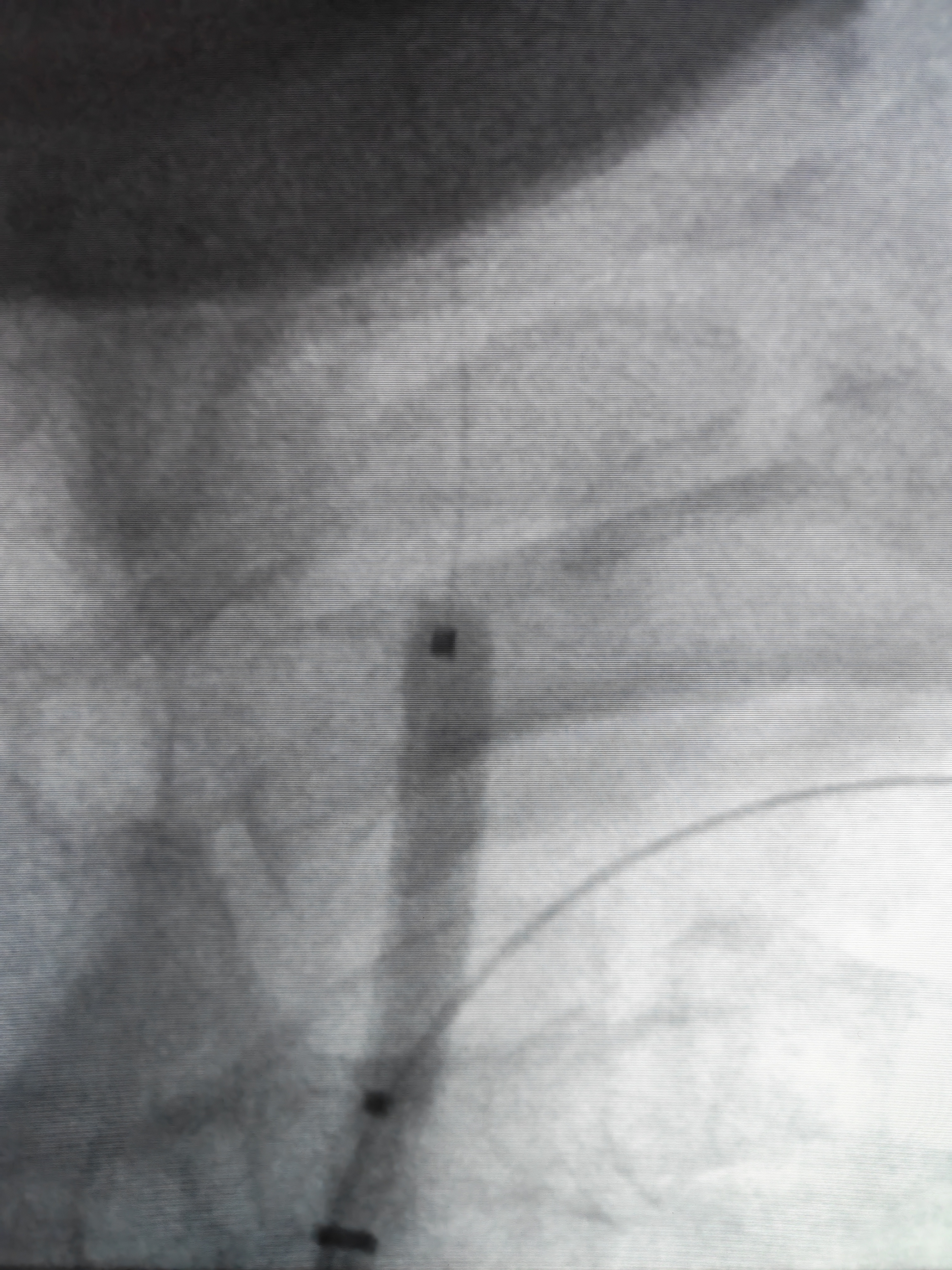
今日话题:在跳动的血管当中精准植入支架消除椎动脉开口狭窄
今日话题:在跳动的血管当中精准植入支架消除椎动脉开口狭窄椎动脉开口狭窄看似是一个简单的手术。但是,要把这个手术做好,也绝非易事。实战花絮:支架的下缘犹如刀切样置于血管壁的上缘(图4-6),是我们追求的目标之一
赵开军医生的科普号
2023年05月31日
608
0
0
-
主任右侧椎动脉闭塞,未见明显血流,左侧椎动脉狭窄需要介入治疗吗
邓一鸣医生的科普号
2023年05月13日
154
0
0
椎动脉狭窄相关科普号

汪阳医生的科普号
汪阳 主任医师
首都医科大学附属北京朝阳医院
神经外科
445粉丝2.7万阅读

刘爱华医生的科普号
刘爱华 主任医师
首都医科大学附属北京天坛医院
神经外科
4602粉丝66.9万阅读

邓一鸣医生的科普号
邓一鸣 主任医师
首都医科大学附属北京天坛医院
脑血管病中心-介入神经病学科
5876粉丝3.4万阅读
-
推荐热度5.0王涛 主任医师北医三院 神经外科颈动脉狭窄 361票
颈动脉体瘤 294票
脑动脉瘤 7票
擅长:脑血管病(颈动脉狭窄、颈动脉体瘤、动脉瘤、颈动脉闭塞、颈动脉支架置入后再狭窄、颈动脉狭窄合并冠脉狭窄、烟雾病、脑血管畸形、颈动脉颅外段动脉瘤等)、脑肿瘤(脑膜瘤、垂体瘤、胶质瘤)、脑外伤、脊髓椎管内肿瘤、先天性畸形(脑积水、小脑扁桃体下疝畸形)、功能性疾病(三叉神经痛、面肌痉挛)等手术。尤其擅长颈动脉内膜斑块切除术(CEA),在颈动脉狭窄手术治疗方面走在国内前列,颈动脉CEA手术,颈动脉手术包括大量复杂、高危颈动脉手术、外院转诊的疑难手术、同期颈动脉内膜切除术联合冠脉搭桥术、巨大颈动脉体瘤切除术、颅外段颈动脉动脉瘤手术等。 -
推荐热度4.8陈飞 副主任医师宣武医院 神经内科颈动脉狭窄 251票
脑梗塞 138票
脑血管病 42票
擅长:缺血性脑血管病,脑梗死,脑卒中,短暂性脑缺血发作的药物治疗以及介入支架治疗;房颤,卵圆孔未闭导致的脑栓塞;颈动脉狭窄,椎动脉狭窄,锁骨下动脉狭窄,大脑中动脉狭窄,基底动脉狭窄的支架治疗。 颈动脉斑块,高脂血症的强化治疗。 颈动脉闭塞,椎动脉闭塞,大脑中动脉闭塞,基底动脉闭塞,烟雾病,夹层等脑血管闭塞的造影评价 急性脑梗死的取栓,溶栓治疗 -
推荐热度4.4高鹏 主任医师宣武医院 神经外科颈动脉狭窄 143票
脑梗塞 56票
脑血管病 34票
擅长:脑血管病的外科和介入治疗,包括:缺血性脑血管病(颅内外血管搭桥术、急诊脑卒中取栓、颅内支架置入术、颈动脉狭窄支架、颈动脉内膜剥脱、锁骨下动脉和椎动脉支架等);出血性脑血管病(颅内动脉瘤夹闭术、栓塞术等)