精选内容
-
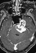
经鼻微创切除三叉神经鞘瘤
三叉神经鞘瘤是一种常见的颅内肿瘤,常表现为面部的麻木,疼痛,感觉异常,肿瘤体积较大时还可能出现复视,头痛,听力障碍,走路不稳等症状。三叉神经鞘瘤是良性肿瘤,但由于其位于颅底深在位置,周围有颅神经以及颈内动脉等大血管,手术存在一定的难度和风险。以往三叉神经鞘瘤都是采用开颅手术,手术创伤也比较大,病人恢复时间比较长,随着神经内镜技术的发展和进步,越来越多的三叉神经鞘瘤可以采用神经内镜技术经鼻进行肿瘤的微创切除,创伤更小,恢复更快。来自广西的黄先生是因为左侧面部麻木在当地MRI检查发现的左侧鞍旁肿瘤,考虑为三叉神经鞘瘤可能,来到广州求医的。中山大学附属肿瘤医院神经外科柯超教授团队接诊后对病情进行了详细的评估,认为可以采用神经内镜经鼻技术切除这个肿瘤。手术由柯超教授主刀采用经鼻翼突入路,彻底切除了肿瘤并很好的保护了三叉神经等重要的结构。随着神经内镜技术的发展以及对颅内肿瘤认识的加深,原来很多必须要开颅手术才能切除的颅内肿瘤,已经可以采用神经内镜经鼻技术切除了,虽然鼻腔也有一定的创伤,但是和开颅手术比起来创伤更小,病人恢复时间更短。
中山大学附属肿瘤医院科普号
2024年11月30日
63
0
0
-
三叉神经鞘瘤
治疗前女性患者,50岁,因左侧面部麻木3年于2023-11-24入院。患者于3年前无明显诱因出现左侧面部麻木,为持续性,无规律,伴有面部肌肉萎缩,半年前出现肢体无力、共济失调、步态障碍,伴吞咽困难、声音嘶哑、饮水呛咳,半月前出现复视。体检:神志清,精神可。左侧面部感觉减退;左侧颞肌、咬肌萎缩。右侧肢体肌力4级。影像检查:左侧中后颅窝见不规则哑铃状长短混杂T1信号影,强化不均,最大截面积约38mmx45mm×26mm,第三脑室下部受压,幕上脑室系统扩张。脑实质内未见明显异常强化信号影。诊断:左侧三叉神经瘤手术经过:病人平卧位,头右旋60度。全麻成功,行腰椎置管引流。选左耳前直切口,长约6公分。常规消毒铺单,沿切口标记切开头皮并止血,颞肌向前翻转,剥离骨膜,显露颧弓根部。颅钻钻孔至硬膜,铣刀骨瓣成型。硬脑膜止血并悬吊,硬膜外剥离硬膜,暴露棘孔。切断硬脑膜中动脉,直至三叉神经外侧,显露肿瘤后,瘤内部分切除肿瘤减压。磨除岩尖,切除岩尖下方肿瘤。剪开硬脑膜向颞底翻转,抬起颞叶,滑车神经后方切开小脑幕缘。切除幕下肿瘤,肿瘤质韧,血供一般。术中见肿瘤与外展神经粘连紧密,部分残留,动眼神经、滑车神经和外展神经保护完好,骨蜡封堵磨除的岩尖部后,用胶将部分肌肉和硬膜粘合于磨除的岩尖处,预防脑脊液漏,创面彻底止:血后清点物品无误,缝合硬脑膜并人工硬脑膜修补,骨瓣复位并钛钉钛片固定,留置颅内压监测,逐层缝合颞肌、帽状腱膜和头皮。治疗后治疗后7天病人术后无新增神经功能缺失症状,恢复中。
窦以河医生的科普号
2023年12月16日
119
0
0
-
三叉神经鞘瘤(trigeminal neurinoma)的治疗选择-手术 OR立体定向放疗/SABR
三叉神经鞘瘤(trigeminalneurinoma)的治疗选择-手术OR立体定向放疗/SABRtrigeminalneurinoma听神经瘤的治疗选择/桥脑一小脑角(CPA)综合征-手术or立体定向放疗听神经瘤(acoustictumor)的治疗选择-手术OR立体东西放疗OR随访观察立体定向中央放射消融(SCART)-iSABR-SRS-SABR-SBRT-TOMO放疗一、概述三叉神经鞘瘤占颅内肿瘤的0.2%~1%,在颅神经肿瘤中仅次于听神经瘤而居第二位。为良性肿瘤,常见于35~60岁,女性多发,男女比例为1:2。起源于三叉神经髓鞘的神经膜细胞,常见囊性变和出血坏死,有包膜,属脑外肿瘤。瘤体常发生于中颅窝岩骨尖部的三叉神经半月节,可沿一个或多个分支蔓延,也可发生于后颅窝三叉神经根上进人桥小脑角区。三叉神经鞘瘤中有50%源于三叉神经半月节,25%起于中颅窝三叉神经根神经节,属硬膜内肿瘤;另25%常见中、后颅窝,系硬膜内、外硬膜肿瘤。根据肿瘤的生长特点分为跨颅窝型、颅中窝型和颅后窝型。二、临床表现临床表现可归纳为三个主要方面,即三叉神经症状、邻近组织侵害症状及颅内高压症。(一)三叉神经症状为首发症状,发生率最高,早期主要表现为患侧颜面肉跳、面部及口腔麻木感、痛觉减退、及角膜反射迟钝或消失;其次为症状性三叉神经痛,咀嚼肌、颞肌萎缩。三叉神经眼支损害可有顽固性角膜炎。(二)邻近组织侵害症状取决于肿瘤的起始部位和发展方向。颅中窝型可因向内侵及海绵窦,向前侵及眶上裂而引起患侧突眼,外展及动眼神经麻痹、视力障碍等。压迫颞叶产生癫病、幻嗅。颅中窝型易破坏颅底形成颅内外沟通瘤。颅后窝型则多表现桥脑小脑角综合症,包括Ⅵ、Ⅶ、Ⅷ颅颅神经损害、锥体束征、小脑性共济失调及眼震。肿瘤向下发展可损害后组颅神经。哑铃型肿瘤可兼有前二型症状,但多以肿瘤首发或主体部位的症状为主。(三)颅内高压症肿瘤体积过大或压迫导水管、四脑室产生脑积水时可出现颅内压增高.三、辅助检查(一)颅脑CT表现颅中窝和颅后窝交界处卵圆形或哑铃形肿物,呈等密度或低密度。瘤体周围一般无脑水肿。相邻脑池和脑室可受压变形。题骨岩部尖端破坏。增强后实性者呈均一强化.囊性变者呈环状强化。骑跨颅中窝、颅后窝者呈哑铃状,为三叉神经鞘瘤特征性表现。CT典型图像如图1-6-9和图1-6-10所示。(二)MRI检查由于MRI具有多维成像和无颅骨伪影的特点,是诊断三叉神经鞘瘤重要的检查方法。MR表现;岩骨尖部或跨越中后颅窝的圆形、类圆形或哑铃状肿物、T1WI像为低或等信号。T2WI像为高或等信号,病灶周围一般无水肿,相邻脑池和脑室可受压变形。增强后多数明显均一强化,少数囊变者环形强化。MRI典型图像如图四、诊断与鉴别诊断(一)诊断本病根据临床表现及辅助检查多数可明确诊断。(二)鉴别诊断主要与脑膜瘤和听神经瘤相鉴别。1.桥小脑角区脑膜瘤:呈类形或半圆形,基底宽与岩骨相连,边缘清楚,囊性变较少,局部骨质为增生性改变,瘤体显著强化,可见“鼠尾征”。内听道往往不扩大。若脑膜瘤伴钙化,肿瘤边缘环绕不规则T2WI像高信号水肿区,结合局部骨质增生及脑膜增厚等表现诊断不难。2.听神经瘤:为桥脑小脑角区圆形或类圆形肿块,T1WI呈稍低或等信号,T2WI呈高信号,以内听道口为中心改变,内听道扩大,通常不跨越颅窝。五、治疗(一)手术治疗应尽早手术治疗,并应争取全切除。一期全切除困难者,亦应争取大部或次全切除,若情况允许,可行二期手术,以期根治。1.手术人路①后窝型宜采用一侧枕下桥小脑角入路。②颅中窝型及哑铃型与颅底结构关系密切,可侵及海绵窦、颈内动脉、眶部、岩骨甚更广泛的组织结构、且可形成颅底沟通瘤,因此应根据不同情况采取适宜的手术路径。③对于体积较大的肿瘤除应尽量采取颅底人路外,有时尚需采取联合入路,如哑铃型肿瘤在幕上、下部分均较大时,幕上下联合入路会提供更多的肿瘤全切除机会。④对于大的颅底沟通瘤,特别是颅内、外瘤体均较大时,单纯颅底或领面入路均会感到困难,宜采取经题下一耳前一题下窝人路,可提高全切除率,降低术后并发症。2.术中注意要点:可参照“岩斜区脑膜瘤”、“海绵窦脑膜瘤”等章节。3.手术前后典型图像如图1-6-15和图1-6-16所示。(二)放射治疗参见听神经瘤(三)药物治疗对肿瘤无效(×)。对症治疗可减轻三叉神经痛的症状
曾辉医生的科普号
2023年08月11日
77
0
0
-
世界上最小的三叉神经鞘瘤长得怎样?
世界上最小的三叉神经鞘瘤长得怎样?一位来自贵州的68岁的女性,因面部剧烈疼痛5年余,多种方法治疗都难以缓解,遂到中南大学湘雅医院神经外科找到专门治疗三叉神经痛的杨治权教授,经过仔细的问诊和检查,确诊是三叉神经痛,这种病被称为“天下第一痛”。没有其它疼痛比这种病更痛的了。由于疼痛剧烈,药物治疗无法缓解,患者最终决定接受这种微创治疗。在手术中细心的杨治权教授发现在神经的表面有一长度约2.5mm的黄色肿物,显然不是正常的神经组织,但因为太小,影像学检查不能发现肿瘤,根据经验,这是异常的病变,但经验丰富的杨教授也难以确定这个异常的病变到底是什么,凭职业敏感,就将异常的病变切了下来,切除肿瘤后,再将三叉神经做相应的处理,术后面部的疼痛消失,恢复也很顺利!手术后送检组织经病理检查,证实是“三叉神经鞘瘤”,是一种良性性神经性肿瘤,它所引起的后果就是面部疼痛和麻木,如果肿瘤长得很大,有可能会导致颅内压力高,严重时可危及生命。查阅文献后发现,目前尚没发现比这更小的三叉神经鞘瘤。从某种意义上说,杨治权教授创造了一个世界第一!
杨治权医生的科普号
2023年05月29日
206
0
0
-
中后颅窝占位性病变:三叉神经鞘瘤
患者女性26岁,于2021年11月无明显诱因出现视物重影,主要为远处重影,未重视,2022年6月逐渐出现视物重影加重,同时伴有右侧肢体乏力,行走不利,间断出现耳鸣,休息可缓解,8月出现饮水呛咳,10月出现吞咽困难及头部胀痛,偶有恶心呕吐,就诊于威海卫医院行头颅核磁提示:右侧颅底内可见哑铃状团块影,边缘清楚,周围脑组织受压,中脑导水管受压,第三脑室稍扩张,中线居中,考虑神经源性肿瘤可能性大。患者及家属为进一步治疗来就诊。根据患者影像学检查及现病史,考虑右侧三叉神经鞘瘤可能性大,肿瘤体积大,周围组织明显受压,为避免病情进展脑疝形成,建议手术切除病变。入院后完善术前准备,择期行右侧慕上下开颅中、后颅窝占位性病变切除术➕侧脑室外引流术。术中分块切除肿瘤组织,手术顺利结束。术后患者神志清楚,精神好,面部感觉正常,眼球运动正常,四肢感觉运动正常。术后恢复好
牛建星医生的科普号
2022年12月30日
130
0
1
-
什么是伽马刀?有什么禁忌症和适应症?
大多数人初次听说“伽玛刀”,常常会认为它是手术刀的一种。其实,伽玛刀全称是伽玛射线立体定向治疗系统,是一种先进的放射治疗设备。它的治疗原理类似放大镜的聚焦过程。我们把放大镜置于阳光下,地面上会出现一个耀眼的光斑,即焦点。焦点外,我们感觉如常,但焦点处却有很高的热度,足以使一些物体点燃。伽玛刀就是将很多束很细的伽玛射线(γ射线)从不同的角度和方向照射过人体,并使它们都在一点上汇聚起来形成焦点,作用于靶区摧毁病灶。在治疗过程中,伽玛射线几乎不对非靶区组织产生伤害,治疗照射靶区与周边正常组织界限分明,边缘仿佛刀割一般,故称作“刀”。适应症:1)颅内各种血管畸形:脑动静脉畸形、硬脑膜动静脉瘘、海绵状血管瘤等;2)功能性脑神经疾病:三叉神经鞘痛、癫痫等;3)颅内各种良恶性肿瘤:脑膜瘤、垂体瘤、听神经瘤、胶质瘤、颅咽管瘤等。禁忌症:1)患者无法配合;2)基础状态较差。
王杰医生的科普号
2022年07月15日
1056
0
2
-
内镜经鼻-翼突入路切除海绵窦内三叉神经鞘瘤3例--后续
对于“海绵窦内三叉神经鞘瘤”,传统方法多采用“巨大骨瓣开颅切除”的方式,术后大多遗有严重神经功能障碍。“神经内镜下经鼻-翼突入路切除海绵窦病变”能够实现“不用开颅而切除颅内病变”,该术式利用颈内动脉与颅神经之间的“神经-血管间隙”操作,“不损伤神经功能”,不影响脑组织而实现“闪电式出院”。最近,我们团队完成3例“经鼻-翼突入路海绵窦内三叉神经鞘瘤切除术”,3例,具体如下。手术治疗后3月,可见术区填塞物基本吸收,手术通道区域愈合良好,局部未见明显肿瘤复发迹象。所有患者复查均未见明显颅神经损伤症状。随着病例积累,截至目前,我们已经完成内镜经鼻侧颅底肿瘤切除术17例,均确定良好效果。相关结果,我们已经形成科学论文,会近期发表。
李雪元医生的科普号
2022年03月21日
372
0
2
-
【专家解析】三叉神经鞘瘤对患者的影响?要不要手术?
交一颅底颅神经疾病诊疗组:三叉神经鞘瘤(trigeminalnerveschwannoma)仅次于听神经瘤,是第二位的颅内神经鞘瘤,三叉神经鞘瘤可产生于半月神经节(中颅窝)、神经根(桥小脑角)和神经的三个分支(中颅窝)。可以想象,一些肿瘤可同时波及这些部位,以致外形上类似哑铃型。罕见肿瘤通过位于眶内和颞下窝的颅外神经分支侵入颅外,这些肿瘤通过眶上裂进入眼眶,通过圆孔或卵圆孔进入颞下窝。肿瘤最常见的部位是中颅窝(50%),其次是后颅窝(30%)及哑铃型(20%)。常可见到肿瘤进入海绵窦内。三叉神经鞘瘤对周边的结构仅是推移而不是浸润,因此在绝大多数病例中,可以进入海绵窦的外侧区安全切除肿瘤。发现三叉神经鞘瘤应不应该手术?由于三叉神经由脑干腹侧面发出,向上前侧方经脑桥小脑角池走向岩顶部。在三叉神经孔处穿过颅中窝的硬膜,位于小脑幕侧联合和岩上窦的下方。小脑后动脉和小脑上动脉跨过其根部上方,小脑前动脉自其下方经过。岩静脉位于神经根的侧方和后方,在岩上窦下方进入三叉神经孔。滑车神经位于三叉神经根上方,第Ⅶ、Ⅷ对脑神经位于其下方。因此三叉神经鞘瘤患者几乎都有三叉神经功能减退的症状,典型的症状主要是感觉减退,这决定于肿瘤累及的三叉神经分支不同而表现为不同部位。由角膜反射消失导致产生的角膜炎是个重要的体征,表明三叉神经功能出现障碍,因为三叉神经可能在角膜反射中起作用。三叉神经运动支支配咀嚼肌,包括腭帆张肌、二腹肌和下颌舌骨肌,临床上非常少见这些肌肉瘫痪。其他症状主要是由于肿瘤对周围神经产生的占位效应,较大的肿瘤可能出现面瘫、听力和前庭功能减退。动眼神经或外展神经受压产生复视,或者是由于肿瘤占位压迫眼球导致突眼而引起复视。如果患者已经出现以上症状,明确诊断的患者,就应该尽早手术,降低手术风险及并发症的发生,避免肿瘤长期压迫神经,造成不可逆的损伤。西安交大一附院神经外科姜海涛教授介绍:随着肿瘤的增大,可能会进一步向里面压迫,海绵窦内的神经,导致眼球运动的问题,三叉神经本身会引起面部的麻木,甚至咀嚼肌的萎缩。三叉神经鞘瘤导致继发性三叉神经痛:三叉神经鞘瘤引起的面部疼痛的特点是持续时间长、缺乏明确扳机点的类似电击样疼痛。这些患者的疼痛对用于三叉神经痛的卡马西平和其他神经止痛药耐药,对于部分患者在肿瘤切除的同时进行三叉神经后跟部分切断手术,达到彻底根除疼痛的目的。再往后面发展会向后颅窝发展,就会压迫脑干,引起脑干的一些症状,这样就会更加危险,建议患者应尽早手术治疗。
姜海涛医生的科普号
2022年02月14日
513
0
0
-
颅内的神经鞘瘤严重吗
神经鞘瘤是一种起源于神经鞘膜细胞的良性肿瘤,由于神经鞘膜沿着神经纤维在身体内分布广泛,因此体内绝大部分位置都可以发生神经鞘瘤。神经外科最常见的神经鞘瘤的发生部位包括颅内和椎管内,神经鞘瘤因为起源的神经不同,因此压迫周围的结构不同而出现相应不同的症状。即使是同一根神经起源的神经鞘瘤,也会因为肿瘤起源的部位不同而出现不同的症状。三叉神经鞘瘤是一种常见的起源于三叉神经鞘膜细胞的颅内良性肿瘤,它可以向中颅窝、后颅窝生长,也可以骑跨在中、后颅窝生长形成哑铃型结构的肿瘤。三叉神经鞘瘤常常影响其感觉根神经出现面部感觉异常,也可以压迫眼球运动神经导致眼球运动障碍,还可能压迫脑组织和小脑等出现偏袒、走路不稳等局灶性症状,随着肿瘤体积增大还可能出现头痛等颅内压增高症状。三叉神经鞘瘤一般需要手术治疗,而且手术切除完全后,多数能够取得比较好的治疗效果。黄女士今年36岁,1年前开始左侧面部感觉不舒服,特别是冷风吹过后明显的疼痛,这1年来面部疼痛的频率越来越高,也越来越严重,即使吃了止痛药物也没有效果。而且,黄女士还出现了左侧眼睛睁不开,看东西模糊的现象。黄女士在进一步的检查中发现脑部有个肿瘤,磁共振报告显示神经鞘瘤的可能性比较大。黄女士来到广州中山大学肿瘤医院神经外科,柯超教授团队为其进行了肿瘤的显微切除。手术后黄女士的面部疼痛和眼睛睁不开的症状得到了明显的缓解。三叉神经鞘瘤是脑部第二常见的神经鞘瘤,因为肿瘤生长的部位在深部的颅底,手术有一定的难度和风险。广州中山大学附属肿瘤医院神经外科柯超教授指出,颅内的三叉神经鞘瘤是常见的良性肿瘤,通过显微手术或者神经内镜切除肿瘤,一般在肿瘤切除后能够获得满意的治疗效果。
柯超医生的科普号
2021年09月17日
990
0
0
-
面部麻木、眼皮抬不起、听力下降...可能是这种疾病在“捣乱”
病例回顾家住咸阳的小敏从小天资聪颖,学习成绩在全年级一直名列前茅, 备受身边亲朋好友的关注。然而,半年前,小敏突然发觉自己右侧半边舌头没有感觉,吃饭索然无味,接着右侧半边脸也出现莫名其妙的麻木疼痛,就连喝个水也会被呛住,更糟糕的是逐渐出现听力、视力下降,整天头晕乎乎的,不想吃东西,有时还呕吐,最后连路都走不稳了,右眼无法完全闭合,根本无法正常上课学习。小敏的父母非常紧张,赶紧带孩子到当地医院就诊,做头部核磁共振检查才发现孩子颅内长了一个大瘤子,入院查体见病人右侧三叉神经、滑车神经、面神经、位听神经及小脑均有不同程度的功能损害,初步诊断为三叉神经鞘瘤,医生直言风险较大。三叉神经鞘瘤 颅内第二大神经鞘瘤神经鞘瘤是一种起源自神经鞘的肿瘤,大多数为良性肿瘤。如果把神经比作是一根电线的话,那么神经鞘就是包裹这根电线的塑料绝缘层,当塑料绝缘层长了肿瘤,就是我们所说的“神经鞘瘤”。在颅脑中共有12对颅神经,其中第5对颅神经具有眼神经、上颌神经及下颌神经三个分支,因此,被称为三叉神经,主管浅表感觉、控制运动及部分咀嚼肌,负责咀嚼和咬合。三叉神经鞘瘤多起源于三叉神经根或三叉神经节,一般生长缓慢,发病率仅次于最常见的听神经鞘瘤。临床上,三叉神经鞘瘤患者早期多出现一侧面部阵发性疼痛、麻木或同侧三叉神经痛。随着病情的加重,患者可能表现出咀嚼肌无力及萎缩。除此之外,当三叉神经鞘瘤位于后颅窝时,肿瘤可能累及面听神经,表现出听力减退和同侧面瘫;当肿瘤没有及时处理、不断生长的时候,患者可能出现恶心、呕吐等症状。三叉神经鞘瘤严重吗?如果三叉神经鞘瘤体积比较小,病人症状则不是很严重,治疗也不是很复杂。但是如果三叉神经鞘瘤体积非常大,病人出现严重的咀嚼功能障碍,出现耳鸣、耳聋的情况,治疗则非常复杂,手术难度相应的提高,是非常严重的。肿瘤在产生的初期或多或少地都会暴露出一些“蛛丝马迹”,抓住它,就能为接下来的治疗抢占出时机。应对三叉神经鞘瘤有妙招三叉神经鞘瘤的首次治疗选择尤为重要。三叉神经起源于脑干,跨越多个颅底孔道,分布范围深,周围毗邻脑干、海绵窦、颈内动脉及多条颅神经,手术较为复杂,需要根据肿瘤的大小及部位等因素选择合适的术式,一般对就诊医院的手术设备及主刀医生的技术要求较高。如果选择了欠妥当的治疗手段,不但不能解决患者的病痛,还会增加后续治疗的难度,治疗策略主要是根据患者的年龄、症状的类型与严重程度、以及肿瘤的大小所决定。早发现早治疗也十分关键。因为当三叉神经鞘瘤长大后,会增加手术难度,同时也会对周围组织造成压迫,从而进一步产生相关症状,比如面瘫、走路不稳、听力下降等。对于体积较小,以面部麻木,或是以轻中度疼痛为症状、以及年龄较大的患者,可以考虑放疗。对于肿瘤较大的患者,放疗一般无法即刻缓解疼痛症状,也无法在短期内缩小肿瘤体积,甚至由于放射性坏死的出现,肿瘤体积进一步的增大,产生更加严重的压迫症状。这时,手术切除才是更佳的治疗方案。
贾栋医生的科普号
2021年09月15日
694
0
0
三叉神经瘤相关科普号

张家墅医生的科普号
张家墅 副主任医师
中国人民解放军总医院第一医学中心
神经外科
1482粉丝4.2万阅读

杨治权医生的科普号
杨治权 主任医师
中南大学湘雅医院
神经外科
8895粉丝50.4万阅读

柯超医生的科普号
柯超 副主任医师
中山大学肿瘤防治中心
神经外科
2107粉丝38万阅读
-
推荐热度5.0夏成雨 主任医师广医一院 神经外科脑膜瘤 150票
垂体瘤 54票
脑肿瘤 44票
擅长:脑膜瘤(尤其岩斜部、矢状窦旁脑膜瘤等复杂脑膜瘤有突出比较优势)、垂体瘤、听神经瘤、颈静脉孔区肿瘤、脑转移瘤、胶质瘤:烟雾病搭桥、颈动脉狭窄,胆脂瘤(表皮样囊肿)其他各种颅脑肿瘤 各种颅底肿瘤(鞍结节、蝶骨嵴脑膜瘤、嗅沟脑膜瘤、枕骨大孔区脑膜瘤、鞍区颅咽管瘤、海绵窦区三叉神经鞘瘤) -
推荐热度5.0夏海坚 主任医师重医大附一院 神经外科脑膜瘤 49票
听神经瘤 43票
脑肿瘤 42票
擅长:颅脑疾病的个体化微创治疗:1.听神经瘤;2.脑膜瘤;3.三叉神经鞘瘤;4.胆脂瘤;5.血管母细胞瘤;6.室管膜瘤;7.髓母细胞瘤;8.胶质瘤;9.颅脑损伤;10.脑积水等。 -
推荐热度4.9马杰 主任医师上海儿童医学中心 神经外科脑肿瘤 36票
蛛网膜囊肿 28票
脊髓拴系综合征 21票
擅长:1、脑肿瘤(主编国家十四五规划《小儿神经外科学》;牵头制定中国《儿童低级别胶质瘤指南》、《儿童高级别胶质瘤指南》及《中国儿童脑积水专家共识》;主译《儿童经鼻内镜颅底外科学》、《美国小儿神经外科疾病手册》等20余部指南和共识);擅长脑干肿瘤、室管膜瘤、胶质瘤、髓母细胞瘤、颅咽管瘤、松果体区肿瘤、颅内生殖细胞肿瘤等的微创治疗 2、狭颅症、脊髓栓系、囊肿(万余例手术经验,微创手术创伤小、对周围脑组织损伤小、术后并发症少且恢复快); 3、脑积水(主持《儿童脑积水脑积水专家共识》,治愈率高,术后症状好转、生活质量可明显提高); 各种病因导致的脑积水,如:肿瘤、脑外伤、脑卒中、颅内良性囊肿、开颅术后、颅内感染等; 4、各种难治性癫痫、脑瘫微创手术治疗,治愈率高。 5、各种头皮及颅骨的病变(肿物)、脊髓损伤后截瘫的外科功能修复治疗等; 6、颅内各种病变,脑血管病以及其他神经外科相关疾病 7、各种原因导致的尿失禁,昏迷促醒等神经外科疾病。