精选内容
-
髌骨骨折术后康复全攻略:科学锻炼,稳步回归正常生活
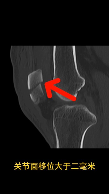
髌骨(俗称“膝盖骨”)是膝关节的重要组成部分,承担着传递膝关节力量、保护关节软骨的关键作用。髌骨骨折多由外伤导致,手术治疗后,科学的康复训练是恢复膝关节功能的核心——若康复不当,可能引发关节僵硬、肌肉萎缩、活动受限等问题。本文将结合临床康复经验,为大家梳理髌骨骨折术后不同阶段的康复重点、训练方法及注意事项,帮助患者安全高效地恢复。一、康复核心目标髌骨骨折术后康复的核心的是:在保护骨折愈合的前提下,逐步恢复膝关节的屈伸活动度、增强腿部肌肉力量、重建关节稳定性,最终实现正常行走、上下楼梯、跑步等日常及运动功能,同时预防并发症。二、分阶段康复训练指南(附时间节点与重点)第一阶段:术后0-4周(急性期,消肿止痛+早期保护)核心任务:减轻伤口肿胀、缓解疼痛,预防血栓,在不影响骨折固定的前提下,进行温和的肌肉收缩训练,避免肌肉萎缩。1.基础护理与状态管理a.术后保持膝关节伸直位固定(石膏或支具),避免弯曲;卧床时抬高患肢(高于心脏水平),促进静脉回流,减轻肿胀。b.伤口护理:保持伤口清洁干燥,遵医嘱换药,观察伤口有无渗血、渗液、红肿等感染迹象,如有异常及时就医。2.安全训练内容a.踝泵运动:缓慢勾脚(脚尖向上勾,尽量让脚后跟向前伸),保持3秒后缓慢绷脚(脚尖向下踩,尽量让前脚掌向前伸),每组10-15次,每天3-4组。作用:促进下肢血液循环,预防深静脉血栓。b.股四头肌等长收缩:在膝关节伸直状态下,用力绷紧大腿前侧肌肉(感觉膝盖骨向上提),保持5秒后放松,每组10-15次,每天3-4组。注意:收缩时避免膝关节弯曲,力度以不引起伤口疼痛为宜。c.腘绳肌等长收缩:坐姿或仰卧位,用力绷紧大腿后侧肌肉(感觉臀部轻微发力),保持5秒后放松,每组10-15次,每天3-2组。作用:平衡大腿前后侧肌肉力量,为后续康复打基础。3.禁忌与注意a.严禁主动弯曲膝关节、负重行走(需借助拐杖,患肢完全不着地)。b.训练时以“轻微酸胀”为度,若出现剧烈疼痛、伤口渗血增多,立即停止。第二阶段:术后5-8周(恢复期,逐步增加活动度+肌力强化)核心任务:在骨折初步愈合(遵医嘱复查X线确认)后,逐步增加膝关节屈伸角度,强化肌肉力量,开始尝试部分负重。1.前提条件a.伤口已愈合拆线,肿胀、疼痛明显减轻;b.X线检查显示骨折断端有骨痂生长,骨折线模糊。2.重点训练内容a.膝关节被动屈伸训练:b.仰卧位屈膝:借助健侧腿辅助,缓慢将患肢膝盖向臀部方向拉,至有轻微牵拉感时保持10秒,缓慢放下,每组5-10次,每天2-3组。每周逐步增加角度,术后8周争取达到90°(膝盖弯曲能贴到臀部下方)。c.坐位垂腿:坐在椅子上,双腿自然下垂,借助重力缓慢弯曲膝关节,如需辅助可轻推小腿后侧,至有牵拉感时保持10秒,每组5-10次,每天2组。肌力强化训练:直腿抬高:仰卧位,膝关节伸直,缓慢抬高患肢(与床面呈30°-45°),保持5秒后缓慢放下,每组10次,每天2-3组。注意:抬腿时保持大腿肌肉绷紧,避免腰部发力。靠墙静蹲(初期):后背靠墙,双脚与肩同宽,脚尖向前,膝关节缓慢弯曲至30°(避免超过45°),保持10-15秒后站起,每组5-8次,每天2组。作用:强化股四头肌力量,提升膝关节稳定性。部分负重训练:借助拐杖,逐步让患肢承受体重(从体重的1/4开始,每周增加1/4),练习缓慢行走。注意:行走时保持膝关节伸直,避免弯曲发力。3.禁忌与注意a.避免暴力掰腿(易导致骨折移位或软组织损伤),角度提升需循序渐进。b.负重时若出现膝关节明显疼痛、晃动,立即减少负重并咨询医生。第三阶段:术后9-12周(强化期,全面恢复活动度+功能重建)核心任务:进一步提升膝关节屈伸角度(达到正常范围120°左右),强化肌肉力量和耐力,恢复日常活动功能(上下楼梯、爬坡等)。1.重点训练内容膝关节全范围屈伸训练:a.俯卧位屈膝:俯卧在床上,缓慢弯曲患肢膝关节,尽量让脚后跟贴到臀部,保持10秒后放松,每组10次,每天2组。b.弹力带抗阻屈伸:将弹力带一端固定,套在患肢脚踝处,缓慢弯曲膝关节(对抗弹力带阻力),再缓慢伸直,每组10-15次,每天2组。作用:提升膝关节屈伸力量和灵活性。肌力强化进阶:a.直腿抬高抗阻训练:在脚踝处绑沙袋(从1kg开始,逐步增加),进行直腿抬高,每组10次,每天2-3组。b.靠墙静蹲进阶:逐步增加屈膝角度(最大不超过90°),延长保持时间(30秒/次),每组10次,每天2组。功能恢复训练:a.上下楼梯训练:从扶扶手、单阶上下开始,健侧腿先上、患肢先下,缓慢进行,每组5次,每天2组。逐步过渡到不扶扶手、多阶连续上下。b.爬坡训练:在平缓的斜坡上(角度不超过15°)缓慢行走,每组5分钟,每天2组。作用:模拟日常场景,提升膝关节实用功能。2.禁忌与注意a.避免剧烈运动(如跑步、跳跃、深蹲),防止骨折再次移位。b.训练后若出现膝关节轻微肿胀、酸痛,可通过冷敷(15-20分钟)缓解;若肿胀持续超过24小时或疼痛加剧,及时就医。第四阶段:术后12周以上(回归期,恢复运动+预防复发)核心任务:全面恢复肌肉力量、关节灵活性和运动功能,逐步回归正常生活及运动,建立长期保护习惯。1.重点训练内容a.运动能力恢复:逐步尝试慢跑(从短距离、慢速度开始)、骑自行车(先固定自行车,再过渡到普通自行车)、游泳等低强度运动,每周2-3次,每次30分钟。b.肌肉耐力训练:进行长时间直腿抬高(保持1分钟/次)、靠墙静蹲(保持1分钟/次),提升肌肉持续发力能力。c.平衡训练:单腿站立(从睁眼开始,逐步过渡到闭眼),保持30秒/次,每组5次,每天2组。作用:提升膝关节稳定性,预防运动时受伤。2.长期保护建议a.避免长期深蹲、跪坐,减少膝关节负重;b.运动时佩戴护膝,保护髌骨,避免外伤;c.坚持日常肌肉训练(如直腿抬高、靠墙静蹲),维持肌肉力量,稳定膝关节;定期复查(术后3个月、6个月、1年),根据恢复情况调整运动方案。三、常见康复误区,一定要避开!1.误区1:“早锻炼恢复快”——术后急性期盲目弯曲膝关节,易导致骨折移位、伤口撕裂,加重肿胀疼痛。2.误区2:“怕疼不锻炼”——长期不活动会导致关节僵硬、肌肉萎缩,后续康复难度更大,需在“无痛或轻微痛”范围内科学训练。3.误区3:“暴力掰腿求角度”——强行掰腿可能损伤膝关节韧带、软骨,导致二次损伤,角度提升需循序渐进。4.误区4:“只练屈伸,不练肌肉”——肌肉是膝关节的“保护罩”,忽略肌力训练会导致关节稳定性差,易反复疼痛或受伤。四、总结髌骨骨折术后康复是一个“循序渐进、量力而行”的过程,核心是“在保护骨折愈合的基础上,逐步恢复功能”。不同患者的骨折类型、手术方式、身体状况不同,康复方案需个体化(务必遵医嘱或在专业康复师指导下进行)。只要坚持科学训练、避开误区,多数患者术后3-6个月可恢复正常日常活动,1年左右可逐步回归运动。专家简介:王加波,骨科主任医师,医学博士研究生,九三学社社员,从事骨科专业20余年,擅长脊柱、四肢骨折、骨盆骨折、创伤、关节、骨病等骨科各类疾病的诊断及手术治疗,独立开展脊柱创伤关节绝大部分三级四级大型手术,尤其擅长保守治疗及微创治疗腰椎间盘突出、腰椎管狭窄、腰椎滑脱、颈椎病、四肢骨折、脊柱骨折,骨盆骨折等复杂骨折。专家门诊时间:每周三上午下午,门诊三楼骨科专家诊室。就诊预约电话051783869700或直接好大夫预约。
淮安82医院骨科科普号
2025年11月06日
169
0
0
-
[骨折]科普第25集:髌骨骨折保守治疗效果如何?
吴锋医生的科普号
2025年02月17日
35
0
0
-
髌骨骨折术后康复:如何科学恢复,重获健康?
髌骨骨折是膝关节常见的损伤之一,手术是治疗髌骨骨折的重要手段。然而,手术只是康复的第一步,术后的科学康复同样至关重要。作为您的骨科医生,我希望通过这篇文章,帮助您了解髌骨骨折术后的康复要点,让您少走弯路,早日恢复健康。一、髌骨骨折术后康复的重要性髌骨是膝关节的重要组成部分,负责传递大腿肌肉的力量,帮助完成膝关节的伸展和屈曲。髌骨骨折术后,如果康复不当,可能会导致以下问题:关节僵硬:长期不活动会导致膝关节粘连,活动受限。肌肉萎缩:大腿肌肉(尤其是股四头肌)因缺乏锻炼而萎缩。慢性疼痛:康复不当可能引发膝关节慢性疼痛。骨折愈合不良:过早或过晚活动都可能影响骨折愈合。因此,科学、系统的康复训练是术后恢复的关键。二、髌骨骨折术后康复的四个阶段1.术后早期(0-2周)目标:减轻肿胀和疼痛,预防并发症。康复措施:冰敷:每天冰敷膝关节2-3次,每次15-20分钟,减轻肿胀。抬高患肢:睡觉或休息时抬高患肢,促进血液循环。踝泵运动:活动脚踝,促进下肢血液循环,预防血栓。肌肉等长收缩:轻轻收缩大腿肌肉(股四头肌),保持5秒后放松,每天做3组,每组10次。2.术后中期(2-6周)目标:恢复膝关节活动度,防止肌肉萎缩。康复措施:被动屈膝训练:在医生指导下,逐步增加膝关节屈曲角度。直腿抬高训练:平躺,伸直患肢并抬高,保持5秒后放下,每天做3组,每组10次。使用支具:根据医生建议佩戴膝关节支具,保护髌骨。3.术后后期(6-12周)目标:增强肌肉力量,恢复膝关节功能。康复措施:主动屈膝训练:在无痛范围内主动屈曲膝关节,逐步增加角度。抗阻训练:使用弹力带进行抗阻训练,增强大腿肌肉力量。步态训练:在医生指导下逐步恢复行走,避免跛行。4.术后恢复期(3个月后)目标:全面恢复膝关节功能,重返正常生活。康复措施:功能性训练:如上下楼梯、蹲起等,逐步恢复日常生活能力。有氧运动:如游泳、骑自行车等低冲击运动,增强心肺功能。定期复查:每3个月复查一次,评估康复进展。三、髌骨骨折术后注意事项遵医嘱活动:术后早期避免过度活动,中期逐步增加活动量,后期全面恢复功能。合理饮食:多摄入富含蛋白质、钙和维生素D的食物,如牛奶、鸡蛋、鱼类等,促进骨折愈合。是否负重:根据医生建议逐步恢复。预防感染:保持伤口清洁干燥,按时换药,如有红肿、渗液等异常情况及时就医。四、心理调适:康复是一场马拉松髌骨骨折术后康复是一个漫长的过程,可能会让您感到焦虑或沮丧。请记住:保持耐心:康复需要时间,不要急于求成。积极沟通:与医生、康复师和家人保持沟通,寻求支持和帮助。设定小目标:每天进步一点点,逐步恢复信心。五、结语髌骨骨折术后康复是一个系统工程,需要您的耐心、毅力和科学的指导。作为您的医生,我会全程陪伴您,帮助您度过每一个康复阶段。如果您在康复过程中有任何疑问,请随时联系我。相信在我们的共同努力下,您一定能够重获健康,重返美好生活!温馨提示本文仅供参考,具体康复方案请遵循主治医生的指导。如果您有其他问题,可以通过好大夫在线平台与我联系,我将为您提供更详细的解答。
潘普照主治医生的科普号
2025年02月16日
412
0
1
-
髌骨骨折术后的康复治疗
髌骨骨折-占全身骨折的1%-关节囊内骨折-可造成髌股关节及胫股关节的严重挛缩与粘连-髌骨是股四头肌肌腱中的籽骨-髌骨是重要的伸膝装置-损伤后股四头肌可发生明显的抑制与萎缩髌内侧支持带(MedialRetinaculum)髌外侧支持带(LateralRetinaculum)最后15°的终末端伸膝需要的力矩是从完全屈膝到伸膝15°需要的力矩的2倍,髌骨能够很好的为伸膝动作提供力矩,而髌骨骨折患者就容易出现伸膝滞后的现象,在伸膝最后15°膝控变差。髌骨增加了股四头肌的杠杆臂,增加了伸肌力量的30%。髌股关节压力髌股关节压力站立屈膝30°=体重站立屈膝60°=体重×4站立屈膝90°=体重×6平地行走时=体重×0.6平地快速行走=体重×1.5上下楼梯=体重×3.3下蹲站起=体重×8从完全屈曲到伸直髌骨大约移动7cm,在整个rom中,只有13-38%的髌骨关节面与股骨接触。髌股间接触区屈膝时随屈曲运动髌骨接触面上移,同时接触面积增加。膝伸直时,髌骨下方与股骨髌面接触,屈曲至90度时则接触区移到髌骨上部和髁间窝。损伤机制&骨折分型直接暴力间接暴力内固定类型“8”字张力带钢丝张力带对于术后康复的重要意义拉应力转化为压应力从而有利于骨折愈合,因此非负重状态下的股四头肌力量训练有助于骨折愈合然骨折未愈合前,内固定承担了远远高于体重的压力,过早进行肌力训练有发生内固定断裂的危险术后1-7天常规术后患肢抬高、持续冷疗、TENS镇痛、踝泵股四头肌力量训练等长收缩(轻柔)直腿抬高SLR(内固定牢固)早期ROM训练根据术中情况决定安全角度(术中记录屈膝到多少度骨折断端依然稳定-如90°)主动屈膝被动伸膝借住扶柺或助行器,直腿支具保护下(3-4w)可耐受的负重行走2-6周髌骨滑动-轻柔NMES肌肉再教育5-6周可开始无阻力的功率自行车,座位抬高6w后X-Ray验证骨折愈合情况闭链训练微蹲mini-squats台阶(台阶高度4-inch,约10cm)PT凳滑行stoolscoots腘绳肌力量训练-负重屈小腿增加功率自行车训练量并发症膝关节僵硬:最常见的并发症感染:少见内固定松动、断裂Upto20%创伤性骨关节炎:骨不连<1%内固定造成的疼痛:约15%因此去除内固定
科普,宣教
2025年02月07日
208
0
0
-
髌骨骨折术后如何康复
伤口护理与疼痛管理要注意伤口的清洁和消毒,避免感染。如果术后切口疼痛,可根据医生的建议给予止痛剂,如度冷丁、美菲康等,药物必须足够早,疗效较好;但如果术后肿胀导致绷带包扎疼痛过紧,给予止痛剂往往效果不好,此时检查区域可感张力过高,必须立即松开绷带,观察四肢血液循环,许多患者松开绷带疼痛迅速缓解,也不需要使用止痛药。制动与开始简单锻炼若骨折固定不是很稳定(如部分髌骨粉碎性骨折),可能需要早期制动,2-3周复查片子,如果没问题再逐渐开始关节活动以及力量练习。如果骨折固定后很稳定,在早期就可以开始功能锻炼,最开始需要整体下肢肌肉放松,以便屈曲膝关节。同时要寻找股四头肌的发力方式,可以用好腿带着伤腿进行股四头肌的锻炼,有助于尽早恢复伸膝的力量。另外,术后第1-2天,如果疼痛不是非常明显,就应该主动进行踝关节背伸跖屈运动,每天训练量达到200下左右,分成几组,1次30下,有助于保持股四头肌肉的强度,增加髌骨稳定性,避免出现大腿肌肉萎缩。二、术后中期(2周-2个月左右)功能锻炼加强术后15天左右拆线后,在医师的指导下可以进行功能锻炼,需要遵循循序渐进的过程,逐渐增加运动时间2。例如可以进行膝关节的屈伸活动,刚开始可以坐床沿,小腿下垂,通过重力牵拉,一般膝关节能够达到九十度,达到九十度以后,可以卧床时行屈髋,屈膝以及双手抱小腿后拉的锻炼,牵拉开膝关节周围的粘连组织。也可以坐在床沿上,固定膝关节,然后按压踝部进行屈曲膝关节来锻炼膝关节的活动度。在确保骨折稳定的情况下,行膝关节的屈伸,蹲起的活动,以锻炼下肢的肌肉力量,还可以每日弯膝数次避免膝关节发生僵硬。不过屈膝锻炼的时候,需要循序渐进,避免过于粗暴,不然会导致伤口裂开或者骨折移位,每次锻炼的时间大概10分钟,一天锻炼的总时间大概1-2个小时。药物辅助与其他护理根据情况使用消炎药,防止炎症扩散,比如阿莫西林、头孢等3。还可以进行中药外洗(多在术后3-4周开始),例如用艾叶30g,透骨草30g,伸筋草30g,当归15g,海风藤30g,威灵仙30g,红花15g,络石藤30g,加水2000ml,煎30分钟,用温热的药渣洗净,每天30分钟-5次,可活血舒筋,通络消肿,促进膝关节功能恢复。三、术后后期(2个月-6个月左右)进一步康复训练与检查术后1个半月左右,如果肿胀疼痛现象不明显,可以以平躺姿势适当的弯曲活动膝关节和髋关节,期间还可以通过针灸,艾灸,推拿的方法恢复膝关节的正常屈伸功能,还可以烫洗以后,加大力度进行膝关节功能锻炼,后期可以进行伸腿勾脚,收缩肌肉,按摩肌肉,来恢复肌肉力量。髌骨骨折术后的第一周开始主动伸膝以及腿部抬高训练,随着恢复时间增加,根据检查的结果再进行下一步较难的训练。愈合后的第三个月髌骨部位发力已正常,可不再借助支架等工具的帮助,六个月之后可正常的进行体育项目。但如果检查恢复不理想还需继续修养与康复训练,直到骨头能够灵活的做腿部弯曲等动作。恢复较差需减少锻炼的时间,在没有完全恢复的情况下,尽量卧床休息。四、饮食与生活习惯饮食注意饮食方面需要禁忌辛辣刺激性食物,戒烟戒酒,因为这些会影响病人骨折愈合35。患者的身体比较虚弱,如果想要快速恢复,需要加强营养,有利于髌骨损伤的尽快恢复,平时生活中可以多补充一些钙质,多吃一些动物肝脏、奶制品,饮食以清淡为主。生活习惯休养期间,应当避免长时间压迫膝关节和下肢,尽量保持膝关节,以及下肢放松5。同时要注意避免再次受伤,预防伤口外伤预防伤口感染,以及膝关节软组织感染。
董尧医生的科普号
2024年12月18日
316
0
1
-
[骨折]科普第三集:髌骨粉碎性骨折,内固定牢固,快速康复
吴锋医生的科普号
2024年12月16日
25
0
0
-
粉碎性髌骨骨折在手术后能取得什么样的疗效?
韩宁医生的科普号
2024年06月11日
80
0
3
-
髌骨骨折术后常见问题解答
髌骨骨折术后康复髌骨骨折是老年女性多发问题,大多数是外伤,今天介绍一些髌骨骨折术后常见康复问题1,肿胀,术后会出现相应的肿胀,不要担心,我们可以进行适当的冰敷和一些促进血液循环的手法,来帮助我们消除肿胀,因人而异,有的2-5天就消失,有的2周,随着时间的变化,肿胀终究会离我们而去2,角度,大部分髌骨骨折的患者术后进行早期康复角度基本上不会差太多,术后固定不动的4周过来的,在专业的康复师治疗下2-3个月才能达到基本全角,慢一点的患者甚至需要半年的时间,所以我们要早进行康复锻炼,不耽误恢复进程3,负重,髌骨不是下肢大骨头,负重几乎用不到,只是杠杆作用,但是也不能负重太早,我建议在术后1周后---2周以后开始负重,注意疼痛变化,不是疼痛的疼,可以早,疼痛剧烈,就晚点负重4,疼痛,髌骨骨折术后,会伴随疼痛,一般3-7天就不会出现疼痛,但是有部分患者也会在术后早期,能在髌骨周围感知明确的疼痛,屈膝或伸膝手触及到关节周围的异常凸起。这就是髌骨内固定物,钢丝或钢钉产生的副作用,大髌骨,髌骨术后常见问题。大多数人在一定时间节点这些异物造成的疼痛会逐渐消失,在术后1年左右拆除内固定物后就基本完全消失了。所以不必过度担心5,肌肉,术后常见肌肉萎缩,术后肌肉锻炼一定要跟上,3天左右就会肌肉萎缩,我们股四头肌的力量训练,要跟上,会有些疼痛,这个要控制在2-3分之间,是可以的,不用担心,我们手术固定物是非常结实的,相信他
张得雨医生的科普号
2024年05月21日
366
0
0
-
微创手术治疗髌骨骨折(关节镜辅助下探查清理髌骨闭合复位空心钉固定术)
患者男性,35岁,因下雪不慎滑倒摔伤膝关节导致右侧髌骨骨折24小时入院。查体:右侧膝关节局部红肿淤青,屈伸活动受限。术前影像资料:入院诊断:髌骨骨折、关节腔血肿、韧带损伤手术方案设计:关节镜辅助下探查清理髌骨闭合复位空心钉固定术术中透视:手术顺利恢复良好。
孙胜医生的科普号
2024年02月26日
139
0
0
-
髌骨骨折
过年期间,很多人都趁着假期出门游玩,爬山、逛庙,“讨”红包。但是,一定要注意安全。最近科里来了3个骨折病人,都是髌骨骨折。髌骨骨折大约占全身骨折的1%,患者以20~50岁的中青年为主。髌骨骨折主要由直接或间接暴力作用于膝关节前侧引起,导致不同程度的骨折移位以及股四头肌腱损伤。1、非手术治疗的指征,包括无移位的骨折以及伸肌装置无损伤。也包括因麻醉限制而无法实施手术的患者,或者不愿接受手术治疗的患者。在针对髌骨骨折的保守治疗中,需要采用过膝的管型石膏或者夹板固定4~6周,并辅以循序渐进的恢复性锻炼。对于采取保守治疗的患者,应提醒其疗效可能不理想。2、所有移位的髌骨骨折都具备手术治疗的指征。骨折粉碎伴随关节面损伤,软骨骨折伴关节内游离体,开放性骨折,以及所有伴有同侧肢体骨折的患者,都应采取手术治疗来达到早期活动的目的。
吕帅洁医生的科普号
2024年02月14日
240
0
1
髌骨骨折相关科普号

熊文医生的科普号
熊文 副主任医师
武汉市第四医院
骨关节科
2058粉丝8.6万阅读

包洪卫医生的科普号
包洪卫 主任医师
靖江市人民医院
骨科
397粉丝1.9万阅读

蔡斌医生的科普号
蔡斌 主任医师
上海交通大学医学院附属第九人民医院
康复医学科
1901粉丝87.8万阅读
-
推荐热度5.0袁锋 主任医师上海市第六人民医院 骨科-运动医学科膝关节损伤 914票
肩关节损伤 244票
关节镜 69票
擅长:专精于关节镜微创手术,每年主刀关节镜手术量3600余例,擅长肩袖损伤缝合,肩周炎360度松解,半月板损伤特色修复,前后交叉韧带及多发韧带损伤超强重建,髌骨脱位微创二/三联术,腘窝囊肿微创切除,内外侧副韧带损伤,滑膜炎,肩关节习惯性脱位,膝关节骨关节炎,膝关节粘连,游离体,臀肌挛缩,踝关节韧带损伤等疾病的关节镜微创手术治疗;骨科疾病,关节疾病,运动损伤,膝关节损伤,肩关节损伤,踝关节损伤的诊治。国内关节镜手术最多的医生之一。 -
推荐热度4.2吴鹏 主任医师上海市东方医院 运动医学专科膝关节损伤 169票
肩关节损伤 130票
踝部扭伤 33票
擅长:1 擅长髋膝肩肘人工关节置换、肩膝髋肘踝腕关节镜和四肢脊柱骨折手术。2膝关节镜,包括半月板损伤,前后交叉韧带损伤,内外侧副韧带损伤,膝关节滑膜炎,游离体等; 3 肩关节镜,包括肩关节痛,肩周炎,冷冻肩,肩袖损伤撕裂,肩峰撞击综合症,肩锁关节脱位;4 踝关节镜,包括踝骨折,距腓前韧带损伤,跟腱炎等;5 臀肌挛缩; 6 髋关节镜,髋关节骨刺增生,髋关节撞击综合症,游离体等; 7 髋关节置换,包括股骨头坏死、成人髋关节脱位、成人髋臼发育不良、髋关节骨关节炎、股骨颈骨折等; 8 膝关节置换,包括膝关节炎、膝关节内外翻畸形;9 肩肘关节置换,肩关节炎、肱骨头坏死、肘关节炎、肘关节畸形等; 10 复杂髋、膝、肩、肘等人工关节置换与翻修; -
推荐热度4.1王海军 主任医师北医三院 运动医学科膝关节损伤 334票
先天性膝关节畸形 5票
关节镜 4票
擅长:膝关节运动损伤的治疗,包括各种髌骨脱位,前、后交叉韧带损伤,半月板损伤和滑膜炎等,尤其对髌骨脱位诊治有丰富的经验。